Работы наших врачей

Больше 12000 пациентов за 8 лет работы. На этой странице — часть новых улыбок, вылепленных нашими руками.




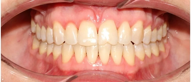
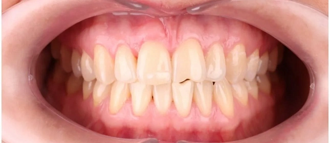
Нарушение соотношения челюстей и неправильное положение зубов — зубные ряды смыкались некорректно, зубы стояли со смещением.
Лечащий врач
Ортодонт Стаж более 5 лет
Подробнее
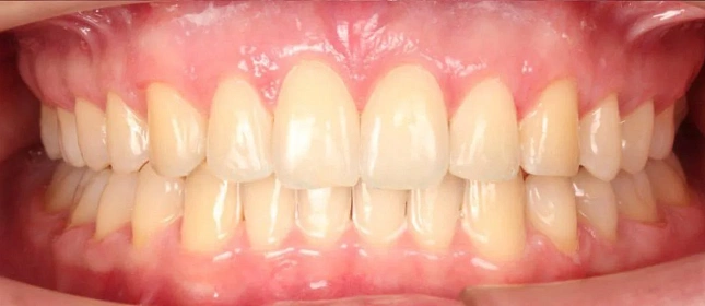
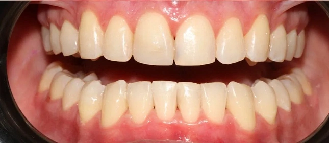
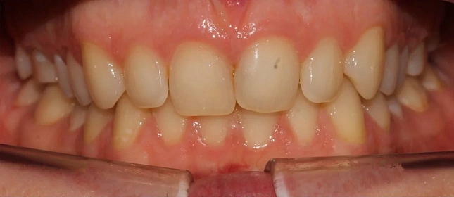
Нарушение соотношения челюстей и неправильное положение зубов — зубные ряды смыкались некорректно, зубы стояли со смещением.
Лечащий врач
Ортодонт Стаж более 5 лет
Подробнее
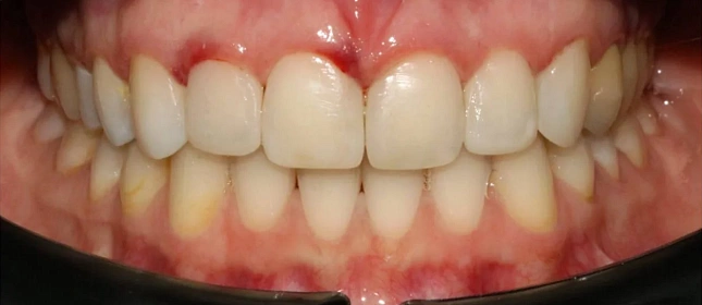
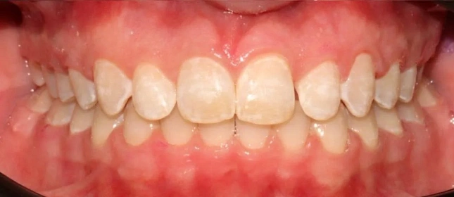
КЛКТ, интраоральное сканирование, пародонтологическое обследование. Подвижности зубов нет, глубина зондирования — в пределах нормы. 
Убыль кости — начальная, не превышает 1/4 длины корня.
Лечащий врач
Ортодонт Стаж более 3 лет
Подробнее
Нарушение соотношения челюстей и неправильное положение зубов — зубные ряды смыкались некорректно, зубы стояли со смещением.
Лечащий врач
Ортодонт Стаж более 10 лет
Подробнее
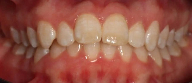
Нарушение соотношения челюстей и неправильное положение зубов — зубные ряды смыкались некорректно, зубы стояли со смещением.
Лечащий врач
Ведущий стоматолог-ортодонт Стаж более 11 лет
Подробнее
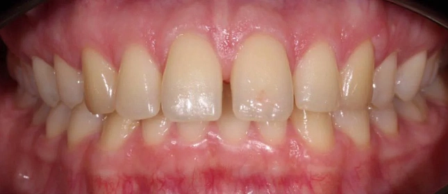
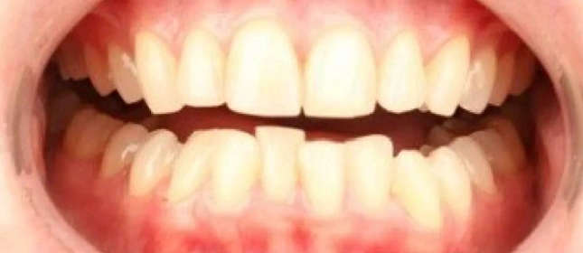
Обе челюсти сужены, передние зубы стояли скученно. Средние линии верхних и нижних зубов не совпадали. Тенденция к открытому прикусу — передние зубы не смыкались полностью. При этом клыки смыкались правильно (I класс по Энглю) — основная проблема в положении зубов, а не в соотношении челюстей.
Лечащий врач
Ортодонт Стаж более 5 лет
Подробнее
Оставьте заявку на запись на бесплатную консультацию ортодонта
В консультацию входит 3D-диагностика, визуализация вашей новой улыбки, индивидуальный план лечения, расчёт стоимости «под ключ».
Нажимая на кнопку «Бесплатная консультация», вы соглашаетесь с политикой конфиденциальности.
Оставьте заявку на запись на бесплатную консультацию ортодонта