Данилова Виктория Юрьевна
Данилова Виктория Юрьевна

Данилова Виктория Юрьевна

★★★★★
5.0
Ортодонт
Я ортодонт, специализируюсь на лечении детей и взрослых. Использую в своей практике съемные и несъемные детские аппараты, брекет-системы и элайнеры.  Провожу ордонтическую подготовку взрослых пациентов к ортопедической работе. Работаю с пациентами, которым требуется КРО (были кейсы на брекет-системе)

Я выбрала стоматологию  по нескольким причинам. Уже с детства я наблюдала, как мой дядя помогал моим близким и друзьям, и это вдохновляло меня. Я видела, как благодарные пациенты выражали свою признательность и улыбались после посещения врача. Это дало мне понять, что я хочу делать то же самое - помогать людям и приносить им радость. Кроме того, стоматология - это область медицины, которая постоянно развивается и предлагает много возможностей для профессионального роста. Я всегда стремилась к знаниям и новым навыкам, и стоматология предоставляет мне такую возможность.
Ортодонтия привлекает меня своей спецификой и возможностью создавать индивидуальные планы лечения для каждого пациента. Каждый случай уникален, и я хочу разрабатывать индивидуальные подходы к каждому пациенту, чтобы помочь им достичь оптимальных результатов. Это требует тщательного анализа и планирования, что является одним из аспектов работы ортодонта, который меня привлекает.
350
Вылечено пациентов
10
Стаж врача

Видео-приглашение врача

На приеме за 45 минут вы получите:

Диагностику и оценку вашей текущей ситуации
Консультацию с ведущим врачом
3D-сканирование полости рта
Демонстрацию вашей улыбки после лечения
Фотопротокол для определения влияния прикуса на ваше тело
Подбор вида лечения в зависимости от ваших пожеланий и клинической ситуации

Биография врача

Профессиональный рост
РНИМУ (2009-2014)-врач стоматолог;
РНИМУ (2014-2015)- интернатура;
ЦНИИС и ЧЛХ(2015-2017)-ординатура ,врач ортодонт.
Сертификаты. Курсы и тренинги :
Октябрь, 2015 - «Современные подходы и нюансы лечения пациентов с дистальным прикусом», Liza Alberto
Май, 2016 - 17 съезд Профессионального Общества Ортодонтии России, г. Санкт-Петербург.
Январь, 2016 - «Механика ортодонтического лечения» Ренато Коккони.
Октябрь, 2017 - «ВНЧС. Мифы и Реальность. Взгляд ортодонта»
Сентябрь, 2018 - Theoretical course Prof. Mariano Rocobado
. Октябрь, 2018 - Искусство ортодонтии- от основ к мастерству. Stefano Troyani.
Февраль, 2019 - Приоритеты и руководящие принципы междисциплинарного лечения отсутствующих зубов в зоне улыбки. Семинар Marco Rosa.
Июнь, 2019- Первый российско-итальянский гнатологический форум.
Июнь, 2019 - «КЛКТ и МРТ- радиографическая диагностика в ортодонтии» Dania Tamimi.
Декабрь, 2019- Основы хирургической ортодонтии, доктор Itamar Fridland.
Июль, 2020 - Сертификационный курс Инвизилайн.
Февраль, 2021 - Сертификационный курс Флексилайн.
Март, 2022 - TADs+ элайнеры: комбинированное использования. Chris Chang(Ohi-s).
Март, 2022 - Методы/ способы лечения элайнерами в сложных случаях. Chris Chang(Ohi-s).
Июнь, 2022- Окклюзия с позиции современной стоматологии. Станислав Блум.
Февраль, 2023 - Курс по минивинтам. «От винта» Михаил Есипович.
Март, 2023 - Ошибки и осложнения в ортодонтии А.В. Тихонов.
Сентябрь,2023- конференция С Элайнерами на ты. Парлагашвили М.М.
Октябрь, 2024- Небные расширители, ФитФри. Образовательный центр Пумпа.
Достижения
Взрослая и детская ортодонтия, лечение аппаратами (сьемные/несьемные), брекет-система, элайнеры. Подготовка ортодонтических пациентов к ЧЛХ и их дальнейшая реабилитация.

Какие проблемы прикуса я лечу?

Скученность зубов
Скученность зубов
Выпирающий ряд зубов
Выпирающий ряд зубов
«Съехавший» ряд зубов
«Съехавший» ряд зубов
«Хищные» клыки
«Хищные» клыки
Глубокий прикус
Глубокий прикус
Нет смыкания
Нет смыкания

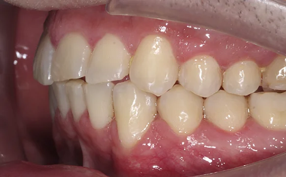
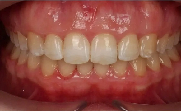
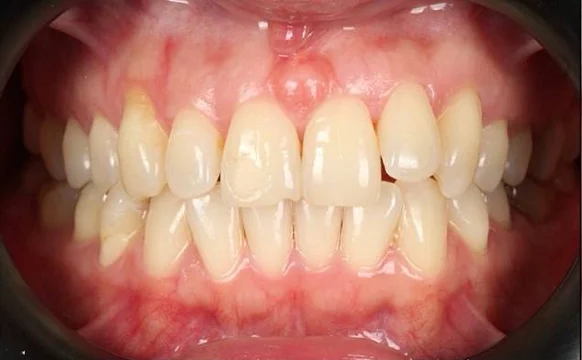
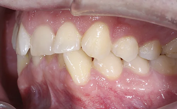
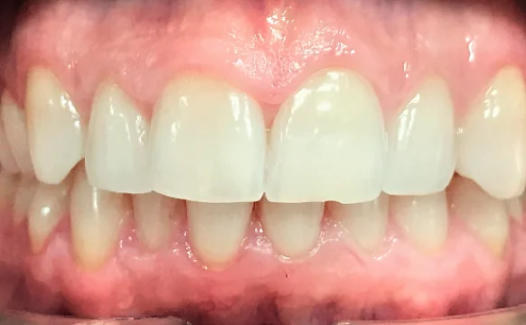
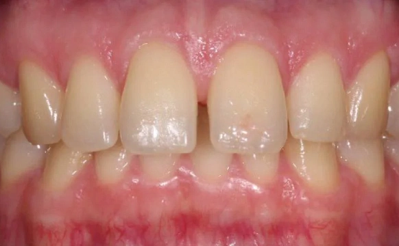
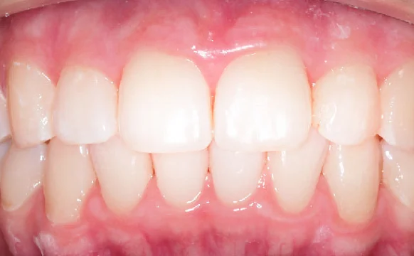
Выполненные работы

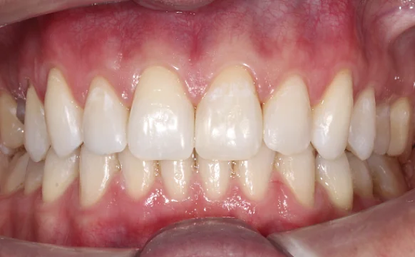
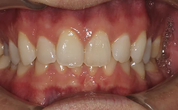
Скученность и сужение челюстей вылечили на брекетах всего за 15 месяцев

Проблема
Врач
Данилова Виктория Юрьевна

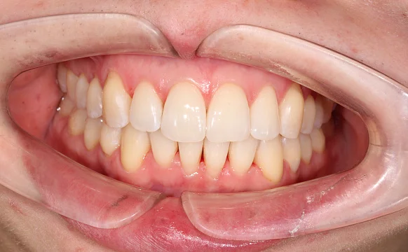
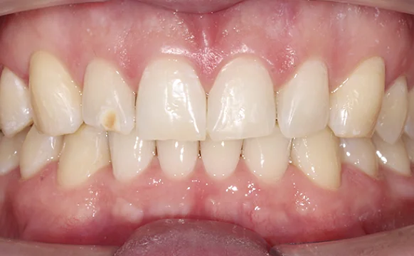
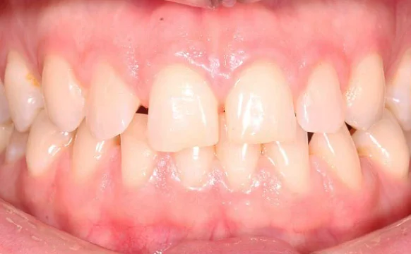
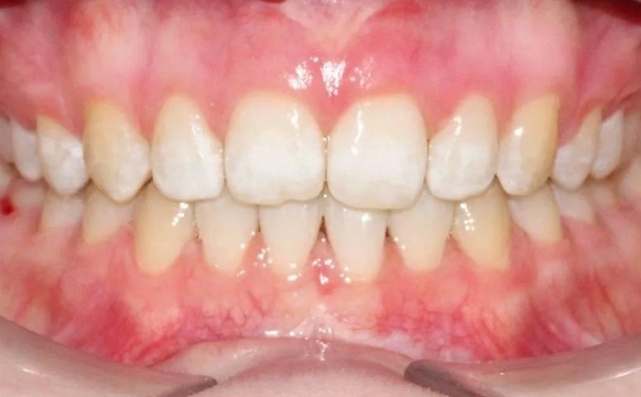
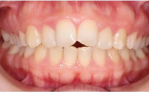
Неправильный прикус и положение зубов — лечение на элайнерах 3D Smile

Проблема
Врач
Данилова Виктория Юрьевна

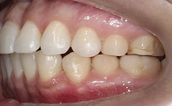
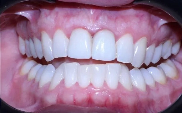
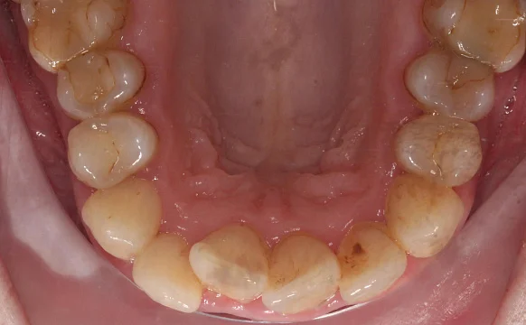
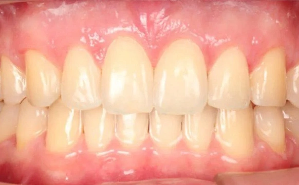
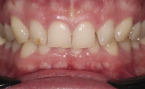
Скученность, глубокий прикус и старые коронки — лечение на элайнерах Click Aligners

Проблема
Врач
Данилова Виктория Юрьевна

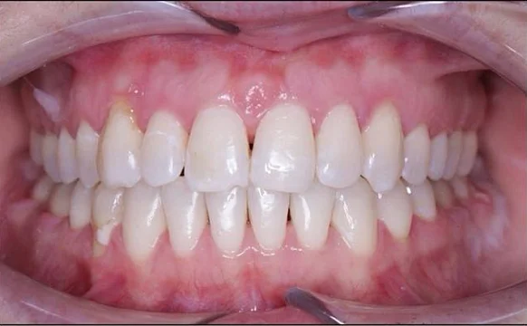
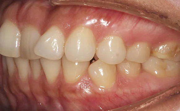
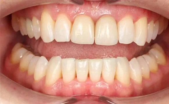
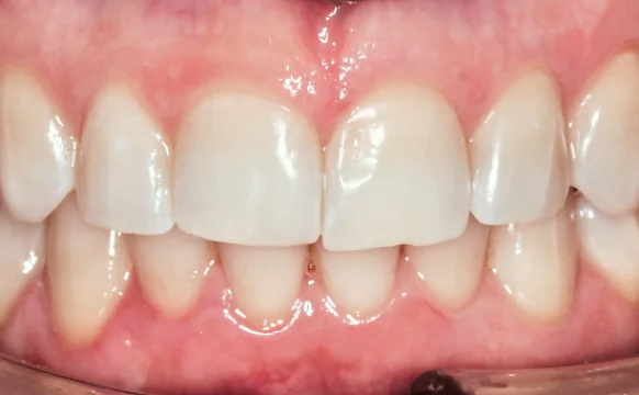
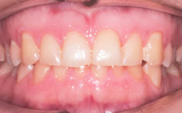
Лечим прикус на металлических брекетах H4 при сужении обеих челюстей за 25 месяцев

Проблема
Врач
Данилова Виктория Юрьевна
Лечение прикуса на брекет-системе Лечение прикуса на брекет-системе

Лечение прикуса на брекет-системе

Проблема
Скученность зубов
Врач
Данилова Виктория Юрьевна

Ортодонтическое лечение с последующей ортопедией

Проблема
Женщина, 27
Количество кап: 47
Врач
Данилова Виктория Юрьевна

Односторонний второй класс смыкания: лечение

Проблема
Mужчина, 28
Количество кап: 53
Врач
Данилова Виктория Юрьевна

Исправление глубокого прикуса

Проблема
скученность, глубокий прикус
Врач
Данилова Виктория Юрьевна

Исправление скученности, второго класса смыкания

Проблема
Женщина, 28
Количество кап: 36
Врач
Данилова Виктория Юрьевна

Исправление скученности зубов на верхней и нижней челюсти

Проблема
Mужчина, 34
Количество кап: 62
Врач
Данилова Виктория Юрьевна
Лечение на Star Smile Лечение на Star Smile

Лечение на Star Smile

Проблема
неправильный прикус
Врач
Данилова Виктория Юрьевна
Лечение на Invisalign Лечение на Invisalign

Лечение на Invisalign

Проблема
прямое смыкание, сужение зубных дуг, скученность
Врач
Данилова Виктория Юрьевна
Лечение скученности зубов капами Инвизилайн Лечение скученности зубов капами Инвизилайн

Лечение скученности зубов капами Инвизилайн

Проблема
17
Врач
Данилова Виктория Юрьевна
Исправление прикуса. 17 кап, 9 месяцев лечения Исправление прикуса. 17 кап, 9 месяцев лечения

Исправление прикуса. 17 кап, 9 месяцев лечения

Проблема
Сужение зубных рядов, глубокое перекрытие
Врач
Данилова Виктория Юрьевна
Исправление прикуса. 27 кап, 14 месяцев лечения Исправление прикуса. 27 кап, 14 месяцев лечения

Исправление прикуса. 27 кап, 14 месяцев лечения

Проблема
дистальный прикус, глубокое перекрытие, сужение зубных рядов, скученность
Врач
Данилова Виктория Юрьевна

Отзывы

Альбина
У меня была подготовка к протезированию, нужно было сначала выровнять зубы. Виктория Юрьевна работала в команде с ортопедом, всё согласовывали между собой. Такой комплексный подход очень понравился. Лечение заняло 14 месяцев, теперь готовлюсь к коронкам. Спасибо Даниловой за профессионализм!
Никита
Обратился к Виктории Юрьевне по рекомендации знакомых. Мне 42 года, думал что уже поздно исправлять прикус. Врач убедила что возраст не помеха и предложила Invisalign. Очень удобно что можно снимать на еду, на работе никто не замечает. Данилова всегда на связи, отвечает на вопросы в мессенджере.
Милана
Выбирала ортодонта для лечения на элайнерах, консультировалась у троих врачей. Виктория Юрьевна показалась самой компетентной, она сразу сказала что случай непростой и объяснила почему. Не стала обещать быстрый результат как другие, честно описала сроки. Ношу капы уже 8 месяцев, всё идёт по плану. Рекомендую Данилову тем кто ценит честность.
Инга
Привела дочку 9 лет к Виктории Юрьевне, нужен был съёмный аппарат для расширения челюсти. Врач нашла подход к ребёнку, объяснила зачем это нужно и как носить. Дочка не капризничает, сама надевает аппарат на ночь. Данилова контролирует процесс, корректирует план если нужно. Опыт у врача огромный, сразу видно.
Анна
Лечусь у Виктории Юрьевны уже полтора года, ношу брекеты. Изначально был сложный случай со скученностью и глубоким прикусом, в других клиниках предлагали удалять зубы. Данилова нашла способ обойтись без удаления, за что ей огромное спасибо. Очень нравится что она всё объясняет простым языком, показывает фото до и после каждого этапа.

Подход к лечению

Доказательная база

Для эффективного лечения зубов необходима качественная диагностика. Врач применяет только научно-обоснованные решения.

Комплексность

При необходимости подключает логопеда, миотерапевта и других смежных специалистов — чтобы результат был не только красивым, 
но и функционально стабильным.

Простые объяснения

Сложные рекомендации переводит на понятный язык, показывает наглядные кейсы «до/после».

Сложные случаи

Врач справляется даже с самыми сложными случаями. 
Вы можете вылечить прикус с помощью прозрачных кап или классических брекетов, а также установить виниры и коронки, пройти профессиональную гигиену для взрослых
и детей, вылечить кариес, а также удалить зубы мудрости.
Блок картинки

Оказываемые услуги

Элайнеры Click Aligners
Элайнеры Click Aligners нового поколения от российского производителя, разработанные ведущими ортодонтами. Протоколы лечения на элайнерах Click помогают точно спланировать перемещение зубов.
Узнать подробнее
Установка элайнеров
Элайнеры – это прозрачные капы из тонкого медицинского пластика мягко и точно перемещают зубы в нужное положение.
Узнать подробнее
Керамические коронки
Керамика - искусственный аналог зубной эмали. Поэтому керамические коронки практически нельзя отличить от настоящего зуба.
Узнать подробнее
Реставрация зубов
В современной стоматологии реставрация зубов сочетает эстетику, профилактику и лечение. Выполненная в клинике художественная реставрация вернет гармонию зубного ряда и функционал поврежденных зубов.
Узнать подробнее
Художественная реставрация зубов
Художественное восстановление зубов исправляет все видимые дефекты современными стоматологическими методиками.
Узнать подробнее
Композитная реставрация зубов
Реставрация зубов композитом позволяет восстановить эстетику улыбки. Поверхность не стирается. Материалы выдерживают высокие нагрузки.
Узнать подробнее
Установка ретейнеров
Ретейнер — это ортодонтическая конструкция, которую устанавливают сразу после снятия брекетов.
Узнать подробнее
Брекеты на верхнюю челюсть
Верхние зубы далеки от идеала – в голове почти сразу возникает мысль о брекетах.
Узнать подробнее
Брекеты на нижнюю челюсть
Ортодонтическое лечение брекет-системами дает хорошие результаты в исправлении прикуса, улучшая эстетику улыбки и жевательную функцию.
Узнать подробнее
Консультация ортодонта
Каждый пациент заинтересован, чтобы его лечил лучший ортодонт. Во время осмотра понаблюдайте, комфортно ли вам находиться рядом с врачом.
Узнать подробнее
Металлические брекеты
Металлические брекеты, несмотря на то, что выделяются, полностью компенсируют данный ньюанс высокой эффективностью и точностью перемещения зубов.
Узнать подробнее
Керамические брекеты
Керамические брекеты — современное решение в ортодонтии, сочетающее эффективность коррекции прикуса с высокой эстетикой.
Узнать подробнее
Сапфировые брекеты
Сапфировые брекеты — ортодонтическая система с замками из монокристаллического оксида алюминия. Подходят взрослым и подросткам, которым важен эстетичный вид во время лечения.
Узнать подробнее
Безлигатурные (самолигирующие) брекеты
Безлигатурные (самолигирующие) брекеты — это системы, в которых дуга фиксируется в замке без помощи специальных лигатур. Они имеют ряд плюсов по сравнению с другими системами.
Узнать подробнее
Брекеты Damon
Брекеты Даймон – безлигатурные системы нового поколения, с помощью которых можно качественно выровнять зубной ряд и откорректировать прикус.
Узнать подробнее
Брекеты Damon Q
Брекет-система Damon Q — эстетичные саморегулирующие металлические брекеты, популярные, эстетичные и самые современные самолигирующие металлические брекеты от американского бренда ORMCO.
Узнать подробнее
Керамические виниры
Из всех методов восстановления зубов в зоне улыбки, именно керамические виниры считаются наиболее долговечным и эстетичным вариантом.
Узнать подробнее
Брекеты Damon Clear
Ортодонтические конструкции Damon разработаны специалистами американской компании Ormco, имеющей все необходимые лицензии для обеспечения качества и безопасности лечения.
Узнать подробнее
Диагностика зубов и полости рта
Качественная стоматологическая диагностика нужна для раннего выявления зубных заболеваний.
Узнать подробнее

Публикации врача

Виды прикуса
Прикус бывает правильный и неправильный. И отличия не столько в эстетике, сколько в функциональности зубочелюстной системы. Если она нарушена, значит, речь идет о патологических видах прикуса, при которых ортодонтическое лечение – необходимость.
Узнать подробнее
Керамические или сапфировые брекеты: какие лучше выбрать
Керамические и сапфировые брекеты — два вида эстетических несъёмных систем для исправления прикуса. Оба незаметны на зубах, не дают аллергии и работают по одному принципу. Но материал, из которого сделаны замочки, определяет разницу в прозрачности, поведении дуги в пазу и сроках лечения. Разбираемся, чем именно отличаются эти системы и в какой ситуации каждая из них подходит лучше.
Узнать подробнее
Налет Пристли у детей
Улыбка ребенка – главный показатель его здоровья и настроения. Но иногда родители замечают, что белизна молочных зубов неожиданно меняется: на их поверхности появляется темные линии или пятна. Это не кариес, не грязь и не признак плохой гигиены. Речь идет о налете Пристли – довольно распространенном явлении, которое пугает своим необычным внешним видом, но на деле редко требует серьезного лечения.
Узнать подробнее
Зубные коронки
Коронки восстанавливают жевательную функцию, удобны при ношении, гарантируют превосходный вид со стороны, выполняют функцию защиты зубов от раздражителей окружающей среды и имеют длительный срок использования.
Узнать подробнее
Винты для брекетов
Мини-винты – ортодонтическая конструкция, которая появилась около 25 лет назад. С их помощью можно ускорить исправление прикуса и не допускать удаления зубов перед началом лечения.
Узнать подробнее
Сколько носят брекеты
В целом, срок ношения брекетов составляет от 1 до 3 лет. Но как узнать точные сроки? Ортодонтическое лечение включает не только создание красивой улыбки.
Узнать подробнее
Капы после брекетов
После снятия конструкции костная ткань и связки могут вернуться в исходное положение. Для закрепления результата ортодонт назначает носить капы после брекетов.
Узнать подробнее
Капы или брекеты - выбираем что лучше
Среди методов коррекции прикуса - брекет-системы и элайнеры. Они предназначены и для исправления неровностей зубного ряда, других дефектов.
Узнать подробнее
Брекеты или элайнеры - выбираем что лучше
Раньше исправить прикус можно было только с помощью брекетов. Но несколько лет назад появилась альтернатива несъемным конструкциям в виде элайнеров – невидимых ортодонтических кап.
Узнать подробнее
Перекрестный прикус
Перекрёстный прикус - нарушение, при котором несколько зубы нижней челюсти перекрывают отделы верхней и наоборот.
Узнать подробнее
Открытый прикус
Одной из распространенных ортодонтических проблем является открытый прикус. При этой разновидности неправильной окклюзии верхний и нижний зубной ряд не смыкаются друг с другом.
Узнать подробнее
Мезиальный прикус
Мезиальный прикус или окклюзия - одна из разновидностей дефектов, при которой нарушается смыкание передних зубных рядов. Внешне это проявляется в доминировании нижней челюсти над верхней.
Узнать подробнее
Расширение челюсти на капах
Одной из распространенных причин неправильного прикуса и скученности зубов является микрогнатия, то есть недоразвитие верхней или нижней челюсти. В план лечения таких пациентов, как правило, входит расширение зубных рядов.
Узнать подробнее
Исправление прикуса без брекетов
Многие пациенты мечтают о ровной улыбке. Но не все готовы несколько лет носить на зубах заметную конструкцию, отвлекающую внимание собеседника при разговоре.
Узнать подробнее
Прозрачные брекеты: правда ли они незаметны?
Ушли в прошлое те времена, когда для исправления прикуса существовали только металлические системы. В клинике ПРОПРИКУС можно установить прозрачные брекеты и решить проблемы с прикусом практически незаметно для окружающих.
Узнать подробнее
Сплинт-терапия
Щелчки и боль в челюстном суставе, хруст при открывании рта, головные боли и шум в ушах — всё это может быть связано с нарушением работы ВНЧС. Сплинт-терапия — метод лечения с помощью индивидуальной окклюзионной шины, которая снимает мышечный спазм и возвращает нижнюю челюсть в правильное положение. Разбираем, как работает метод, кому показан и из каких этапов состоит лечение.
Узнать подробнее
Ксилит для зубов
Многие из нас любят сладкое, основным ингредиентом которого является сахар. При этом мы редко задумываемся о вреде, который он таит для здоровья зубов и организма в целом.
Узнать подробнее
Географический язык
Географический язык – патология, при которой появляются узоры на языке. Название болезни оправдано: пятна расположены словно карта. Признаки воспаления с дистрофическими изменениями следует лечить.
Узнать подробнее
Периостит
Периостит или воспаление надкостницы — довольно неприятный диагноз и одна из самых частых причин обращения пациентов к стоматологу. В клинике ПРОПРИКУС вам будут предложены эффективные методы диагностики и лечения периостита. Учитывая характер и тяжесть заболевания, специалисты подберут консервативную терапию или оперативное лечение любой сложности.
Узнать подробнее
Стоматит: что это и как лечить
Стоматит — воспаление слизистой рта — имеет 5 клинически разных форм с разной терапией. Афтозный проходит за 7–14 дней, герпетический требует противовирусных препаратов, кандидозный — антимикотиков.
Узнать подробнее
Оставьте заявку на запись на бесплатную консультацию ортодонта
В консультацию входит 3D-диагностика, визуализация вашей новой улыбки, индивидуальный план лечения, расчёт стоимости «под ключ».
Нажимая на кнопку «Бесплатная консультация», вы соглашаетесь с политикой конфиденциальности.
Оставьте заявку на запись на бесплатную консультацию ортодонта