Брекеты Damon

Заберите лучшие условия на установку брекетов Damon - акция до конца месяца.

  • Старт всего 35 000 р.
  • Бесплатная консультация ортодонта
  • 3D-диагностика в подарок
  • Рассрочка 0% до 12 мес. без переплат
  • Фиксированная цена на весь курс
2160
Время на прочтение: 5 мин.
Брекеты Damon
Дмитриева Елена Сергеевна
Информация проверена экспертом клиники ПРОПРИКУС
Ведущий ортодонт
Стаж более 17 лет
★★★★★ 4.9

Современная ортодонтическая система Damon (Дэймон) произвела революцию в сфере исправления прикуса. Отличительная особенность — отсутствие привычных резиночек (лигатур), которые традиционно используются для фиксации дуги в пазе брекет-системы. Вместо них брекеты Damon (Дэймон) используют специальные крышки-замочки, которые позволяют дуге самолигироваться и свободно скользить, обеспечивая мягкое и физиологичное лечение. Система предлагает пациентам больший комфорт и сокращает общий срок лечения.

Что такое брекеты Damon?

Damon – это самолигирующие брекеты, разработанные доктором Дуайтом Дэймоном. Ключевое отличие этой системы заключается в механизме фиксации ортодонтической дуги. В традиционных (лигатурных) системах дуга фиксируется к каждому замку с помощью резиновых колечек или тонкой проволоки, что создает значительное трение. В брекетах Damon используется особый механизм защелкивания (клипса), который позволяет дуге двигаться более свободно и с меньшим усилием воздействовать на зубы. Это значительно снижает дискомфорт и болевые ощущения.

Система Damon работает по принципу низкого трения и слабых сил. Такое деликатное, но постоянное воздействие на зубы более физиологично и способствует быстрому перемещению зубов в правильное положение. Это один из важнейших факторов, объясняющих популярность инструмента для лечения сложных ортодонтических случаев. Каждый брекет в этой системе — высокоточный инструмент, обеспечивающий максимальную эффективность.

Показания и противопоказания к установке брекетов Damon

Показания

  • Скученность зубов любой степени — в том числе с расширением дуги без удалений
  • Глубокий, открытый, перекрёстный прикус
  • Дистальный и мезиальный прикус
  • Диастемы и тремы
  • Неправильное положение отдельных зубов
  • Сложные случаи с дефицитом места — Damon позволяет избежать удаления здоровых зубов

Противопоказания

  • Неудовлетворительная гигиена полости рта — до её улучшения
  • Нелеченый кариес и пародонтит в острой стадии
  • Отсутствие большого числа зубов — требует предварительного протезирования
  • Тяжёлые соматические заболевания
  • Острые воспалительные заболевания полости рта
  • Онкологические заболевания ЧЛО

Таким образом, система брекетов Damon подходит для большинства пациентов, стремящихся к красивой и здоровой улыбке, однако требует предварительной оценки состояния полости рта. Грамотная диагностика и консультация с ортодонтом помогают определить, подходит ли данный метод именно вам. При соблюдении всех рекомендаций специалиста лечение проходит комфортно и эффективно. Современные технологии Damon позволяют сократить сроки коррекции прикуса и сделать процесс более эстетичным и удобным для пациента.

Виды и модели брекетов Damon

Система Damon представлена несколькими моделями, что позволяет подобрать оптимальную брекет-систему с учетом клинической картины, эстетических пожеланий и бюджета пациента. Все модели самолигируются и работают по принципу слабого трения.

Металлические брекеты Damon Q

Это металлический вариант брекетов Damon. Они максимально надежны, долговечны и обладают наименьшим профилем (плоские и компактные), что делает их более комфортными для пациента. В этой системе применяется усовершенствованный механизм защелкивания SpinTek, позволяющий врачу быстро и легко открывать/закрывать брекет, сокращая время коррекции.

Керамические брекеты Damon Clear

В отличие от Damon Q, брекеты изготовлены не из стали, а из поликристаллического бесцветного оксида алюминия прозрачного или полупрозрачного. Это делает брекет практически незаметным на зубах, что крайне важно для взрослых пациентов. Они также самолигируются, обеспечивая все преимущества системы Damon, но при этом выглядят значительно более эстетично. По стоимости они выше металлических аналогов.

Damon 3 и Damon 3MX

Damon 3 и Damon 3MX более ранние модели Дэймон, но могут все еще использоваться в некоторых клиниках.

  • Damon 3 – комбинированная система, в которой основание брекета (прилегающее к зубу) металлическое, а видимая часть из композитного материала (пластика). Это компромисс между эстетикой и ценой. Пластиковая часть, однако, могла со временем окрашиваться, что привело к разработке более совершенных моделей.
  • Damon 3MX – полностью металлический брекет, который по конструкции и принципу действия предшествовал Damon Q. Отличается высокой надежностью, но при этом несколько более громоздкий по сравнению с моделью Q.

Брекеты Damon созданы так, чтобы лечение было максимально эффективным, комфортным и при этом выглядело эстетично. Они подходят для людей любого возраста и рода занятий.

Процесс установки и лечения зубов на брекетах Damon

Лечение с брекетами Damon начинается с тщательной диагностики, которая включает осмотр, снимки и слепки челюстей. Это позволяет ортодонту составить детальный план.

Процесс установки брекетов Damon включает следующие этапы:

  1. Профессиональная чистка зубов и, при необходимости, лечение кариеса.

  2. Поверхность зуба подготавливается специальным раствором. Затем на каждый зуб с помощью специального ортодонтического клея фиксируется брекет.

  3. В пазы брекетов вставляется тонкая дуга, которая самолигируется с помощью встроенных замочков.

Сама установка брекетов занимает около часа-полутора. На начальном этапе дуга очень тонкая и гибкая, она оказывает самое мягкое воздействие, чтобы зубы начали самолигироваться в правильное положение.

В процессе лечения пациент посещает врача-ортодонта значительно реже, чем при использовании традиционных систем (обычно раз в 6-10 недель), потому что система самолигируется и дуге требуется больше времени для работы. На этих приемах врач меняет дуги на более жесткие или активирует брекет для дальнейшего лечения.

Сроки лечения на брекетах Дэймон

Одним из главных преимуществ брекетов системы Дэймон является сокращение общего срока лечения. Благодаря механизму, позволяющему дуге саморегулироваться и работать с меньшим трением, зубы перемещаются более эффективно. При несложных случаях лечение может занять от 12 до 18 месяцев. В более сложных ситуациях срок лечения может быть от 1,5 до 2 лет, что на несколько месяцев быстрее, чем лечение лигатурными брекетами, где их нужно использовать 2-3 года и более. Точный срок может назвать только ваш ортодонт после диагностики, так как он зависит от индивидуальной клинической ситуации и особенностей организма.

Почему пациенты выбирают систему Damon?

  • Комфорт. Благодаря тому, что дуга самолигируется и использует слабые силы, брекет вызывает меньше дискомфорта и болезненных ощущений.

  • Эффективность. Система позволяет решать более сложные ортодонтические задачи, часто без удаления здоровых зубов.

  • Сокращение времени. Меньшее трение и более физиологичное воздействие сокращают общий срок лечения.

  • Редкие визиты. Поскольку брекет самолигируется, посещение ортодонта требуется реже.

  • Гигиена. Отсутствие лигатур упрощает уход за брекетами.

Брекеты Damon – это инвестиция в ваше здоровье и красоту, которая позволяет получить идеальную улыбку максимально комфортно и быстро.

Подберем лучшее лечение

Приглашаем на бесплатную консультацию к ортодонту

  • Поставим правильный диагноз
  • Сделаем 3D-модель будущей улыбки
  • Предложим рассрочку

Какой тип брекетов выбрать именно вам?

Не нужно гадать, достаточно записаться на бесплатную дигностику к ортодонту в нашей клинике.

  • Сделаем 3D-модель улыбки;
  • Диагностируем что не так с прикусом;
  • Предоставим варианты лечения;

Диганостика полностью беслпатная и ни к чему вас не обязывает.

Какой тип брекетов выбрать именно вам?

Совет врача

Система Damon - это то, что я выбираю для пациентов со сложной скученностью и нехваткой места в зубных дугах. Её ключевое преимущество -  брекет работает с минимальным трением, что позволяет расширять дугу без избыточного давления на периодонт.

На практике это означает, что многим пациентам удается обойтись без удаления здоровых зубов. Если вам в другой клинике сказали, что нужно удалять, то это не всегда окончательный вердикт - приходите, я дам второе мнение после диагностики.

Протокол Damon также предполагает более редкие визиты к врачу по сравнению с лигатурными системами - раз в 6-10 недель. Это удобно для занятых пациентов.
Записаться на бесплатную консультацию
Дмитриева Елена Сергеевна
Дмитриева Елена Сергеевна
Ведущий ортодонт

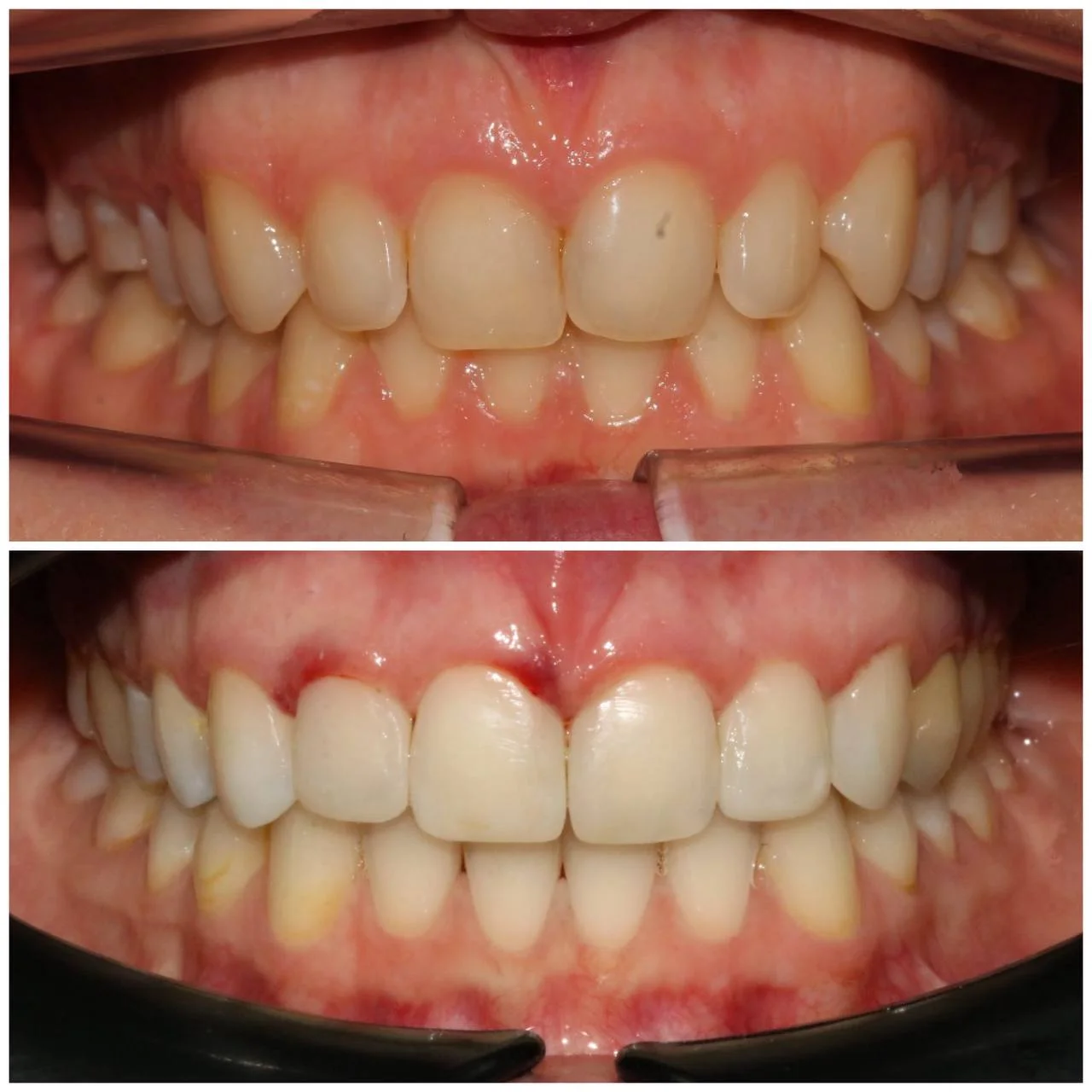
Кейс: Глубокий прикус и сужение челюстей — лечение на брекетах Damon

Пациентка, 33 года. Неровные зубы, неправильный прикус.

Диагностика: Глубокий прикус — верхние зубы слишком сильно перекрывали нижние. Обе челюсти сужены, зубам не хватало места. Верхняя челюсть выступала вперёд относительно нижней с обеих сторон (II класс по Энглю).

План лечения: Металлические самолигирующие брекеты Damon на обе челюсти. Расширить зубные дуги, выровнять зубы, исправить глубокий прикус и нормализовать смыкание.

Ход лечения: Ретенция проводилась поэтапно: сначала ретейнер и капа на нижнюю челюсть, затем на верхнюю. Пациентка параллельно наблюдалась у ортопеда.

Результат: Зубы выровнены, глубокий прикус исправлен, смыкание нормализовано. Установлены несъёмные ретейнеры на обе челюсти, изготовлены ретенционные капы. Ортопедический этап пройден у Повтарь В.В.

Этот кейс не является гарантией результата. Сроки и итоги лечения зависят от индивидуальных особенностей.


Хочу бесплатную консультацию

Протокол лечения на брекетах Damon в ПРОПРИКУС

Бесплатная консультация и 3D-диагностика
Врач проводит 3D-сканирование челюстей, проверяет прикус и называет предварительную стоимость лечения «под ключ». Никаких слепков и скрытых доплат.
Согласование плана лечения
На компьютере моделируем движение зубов и показываем, как будет выглядеть ваша улыбка после лечения. 
Вы утверждаете план — мы начинаем.
Консилиум специалистов
Ортодонт, ортопед, гигиенист, терапевт и хирург вместе составляют план лечения. 
Командная работа исключает ошибки.
Диагностика ВНЧС
Проверяем состояние височно-нижнечелюстного сустава и мышц. 
Это гарантирует стабильный результат без рецидивов.
Санация полости рта
Проводим профгигиену, лечим кариес, при необходимости удаляем зубы мудрости. 
Брекеты ставим только на здоровые зубы.
Подбор брекет-системы
Выбираем оптимальный вариант: классическая лигатурная или самолигирующая. Каждый случай уникален.
Установка и лечение
Фиксируем брекеты (1–1,5 часа), даём инструкции по уходу. 
Далее — визиты на активацию раз в 4–6 недель.
Окончание лечения и ретенция
Снимаем брекеты и изготавливаем индивидуальные ретейнеры, чтобы закрепить результат. 
Если нужно — бесплатно корректируем план.

Результаты лечения

Лечение на брекетах действительно меняет улыбку до неузнаваемости. Врачи Проприкуса за последние 8 лет исправили более 11000 улыбок. В качестве примера приводим несколько клинических случаев.
Скученность и сужение челюстей вылечили на брекетах всего за 15 месяцев
Выровняли и подготовили к реставрации зубы на керамических брекетах Damon за 14 месяцев
Ортодонтическое лечение зубов на брекет-системе Damon

Стоимость установки брекетов Damon

Первичная консультация и диагностика
Бесплатно
Лечение с использованием брекет-системы Damon Clear (цена под ключ)
от 360 000 ₽
Лечение с использованием брекет-системы Damon Q (цена под ключ)
от 360 000 ₽
Рассрочка на 6 или 12 месяцев,
либо кредит на весь срок лечения
Снятие брекет-системы (установленной в сторонней клинике)
20 000 ₽

Ждем вас на консультацию

Это бесплатно, безболезненно и очень полезно!

  • Сделаем 3D-модель улыбки;
  • Диагностируем что не так с прикусом;
  • Предоставим варианты лечения;

Консультация ничего не стоит и ни к чему вас
не обязывает.

Ждем вас на консультацию

Вопросы и ответы

Какую модель Damon выбрать: металлическую или керамическую?
Выбор зависит от ваших приоритетов. Damon Q (металлические) отличаются максимальной прочностью, компактностью и более доступной ценой. Damon Clear (керамические) практически незаметны на зубах и идеальны для тех, кому важна эстетика. По эффективности обе модели работают одинаково. Популярный компромисс: Clear на верхнюю челюсть, Q на нижнюю.
Можно ли на брекетах Damon исправить сложный прикус без удаления зубов?
Система Damon известна тем, что во многих случаях позволяет избежать удаления здоровых зубов благодаря способности расширять зубной ряд. Однако это не универсальное правило. При сильной скученности или выраженных аномалиях челюсти удаление может быть необходимо для достижения стабильного результата. Решение принимается индивидуально после диагностики.
Почему система Damon считается одной из лучших в мире?
Система Damon разработана американской компанией Ormco и используется более 20 лет. Её главная особенность запатентованный механизм SpinTek, обеспечивающий минимальное трение и мягкое физиологичное перемещение зубов. Клинические исследования подтверждают эффективность системы при различных нарушениях прикуса. Damon стала стандартом качества в сегменте самолигирующих брекетов.
Сколько длится лечение системой Damon?
Лечение брекетами Damon при легких аномалиях прикуса занимает 6-12 месяцев. В более сложных случаях - 1 - 1,5 года.

Есть ли ограничения по возрасту для установки брекетов Damon?
Возрастных ограничений для установки брекетов Damon нет. Их можно использовать как для подростков, так и для взрослых. Рекомендуется устанавливать брекеты детям в возрасте от 12 лет, когда постоянные зубы уже прорезались.
В чем преимущество брекетов Damon по сравнению с другими самолигирующими системами?
Брекеты Damon отличаются от других самолигирующих систем особой конструкцией замка SpinTek, который обеспечивает более легкое открывание и закрывание, а также меньшее трение, чем в других аналогичных системах.

Отзывы

Наши контакты

Клиника «Арбат»
Москва, ул. Большая Молчановка, 18
Метро Арбатская
Ежедневно с 9:00 до 21:00.
Клиника «Сокольники»
Москва, ул. Русаковская, 31 вход на 3-м этаже ТЦ "Сокольники"
Метро Сокольники
Ежедневно с 9:00 до 21:00.

Акции

Элайнеры по подписке
Элайнеры по подписке
  • 3D-диагностика и план лечения бесплатно
  • Рассрочка на весь срок лечения
  • Подарили уже 11000 улыбок за 8 лет
Подробнее
Лечение на брекетах за 10000 рублей
Лечение на брекетах за 10000 рублей
  • 3D-диагностика и план лечения бесплатно
  • Рассрочка на весь срок лечения
  • Официальные брекеты высокого качества
  • Подарили уже 11000 улыбок за 8 лет
Подробнее
Ваша карта москвича – ключ к здоровой улыбке
Ваша карта москвича – ключ к здоровой улыбке
  • Скидка до 30 000 руб. на брекеты и элайнеры.
  • Скидка до 10% на другие стоматологические услуги.

Это не первый взнос, а чистое уменьшение итоговой стоимости вашего лечения.

Лечение кариеса, профессиональная чистка, отбеливание - экономьте на всех услугах!

Просто покажите вашу карту администратору при расчете.

Подробнее
Бесплатная консультация ортодонта до конца месяца
Бесплатная консультация ортодонта до конца месяца
+ 3D сканирование в подарок
  • Точный диагноз
  • 3D-визуализация вашего будущего результата
  • Персональный план лечения
Абсолютно бесплатно! Без обязательств.
Подробнее
Приводи друзей! За рекомендацию другу до 20000 бонусов в подарок.
Приводи друзей! За рекомендацию другу до 20000 бонусов в подарок.

Приводи друзей! За рекомендацию другу до 20000 бонусов в подарок.

Другу начисление до 10000 бонусов в подарок.

Узнай подробности у менеджера.

Подробнее
Фотосессия за виниры*
Фотосессия за виниры*
Ослепительная фотосессия от #ПРОПРИКУС в подарок!
Подробнее

Другие услуги

Элайнеры Click Aligners
Элайнеры Click Aligners
Элайнеры Click Aligners нового поколения от российского производителя, разработанные ведущими ортодонтами. Протоколы лечения на элайнерах Click помогают точно спланировать перемещение зубов.
Подробнее
Установка элайнеров
Установка элайнеров
Элайнеры – это прозрачные капы из тонкого медицинского пластика мягко и точно перемещают зубы в нужное положение.
Подробнее
Элайнеры для детей
Элайнеры для детей
Элайнеры для детей - эффективный и безопасный способ создания идеальной улыбки.
Подробнее
Установка ретейнеров
Установка ретейнеров
Ретейнер — это ортодонтическая конструкция, которую устанавливают сразу после снятия брекетов.
Подробнее
Консультация ортодонта
Консультация ортодонта
Каждый пациент заинтересован, чтобы его лечил лучший ортодонт. Во время осмотра понаблюдайте, комфортно ли вам находиться рядом с врачом.
Подробнее
Установка брекетов
Установка брекетов
Брекеты позволяют избавиться от скученности, устранить межзубные промежутки и получить ровные зубы. Длительность и стоимость терапии зависят от клинической картины.
Подробнее
Брекеты для детей
Брекеты для детей
Детский брекет – это несъемная конструкция, которую врач-ортодонт ставит на зубы ребенку для их постепенного перемещения и исправление прикуса.
Подробнее
Металлические брекеты
Металлические брекеты
Металлические брекеты, несмотря на то, что выделяются, полностью компенсируют данный ньюанс высокой эффективностью и точностью перемещения зубов.
Подробнее
Керамические брекеты
Керамические брекеты
Керамические брекеты — современное решение в ортодонтии, сочетающее эффективность коррекции прикуса с высокой эстетикой.
Подробнее
Сапфировые брекеты
Сапфировые брекеты
Сапфировые брекеты — ортодонтическая система с замками из монокристаллического оксида алюминия. Подходят взрослым и подросткам, которым важен эстетичный вид во время лечения.
Подробнее
Безлигатурные (самолигирующие) брекеты
Безлигатурные (самолигирующие) брекеты
Безлигатурные (самолигирующие) брекеты — это системы, в которых дуга фиксируется в замке без помощи специальных лигатур. Они имеют ряд плюсов по сравнению с другими системами.
Подробнее
Брекеты Damon Q
Брекеты Damon Q
Брекет-система Damon Q — эстетичные саморегулирующие металлические брекеты, популярные, эстетичные и самые современные самолигирующие металлические брекеты от американского бренда ORMCO.
Подробнее
Брекеты Damon Clear
Брекеты Damon Clear
Ортодонтические конструкции Damon разработаны специалистами американской компании Ormco, имеющей все необходимые лицензии для обеспечения качества и безопасности лечения.
Подробнее
Консультация детского ортодонта
Консультация детского ортодонта
Выбор врача юному пациенту — важный шаг в лечении. Специалист должен выстроить с детьми доверительные отношения, создать уютную атмосферу во время приема.
Подробнее
Брекеты на нижнюю челюсть
Брекеты на нижнюю челюсть
Ортодонтическое лечение брекет-системами дает хорошие результаты в исправлении прикуса, улучшая эстетику улыбки и жевательную функцию.
Подробнее
Брекеты на верхнюю челюсть
Брекеты на верхнюю челюсть
Верхние зубы далеки от идеала – в голове почти сразу возникает мысль о брекетах.
Подробнее
Аппарат Хаас
Аппарат Хаас
Аппарат Хааса – это знаковая разработка в детской ортодонтии, получившая имя своего создателя, немецкого врача Э. Хааса, и впоследствии усовершенствованная итальянским специалистом Марко Росса
Подробнее

Полезная информация

Капы и глубокий прикус
Капы и глубокий прикус
Исправить глубокий прикус у взрослых можно брекетами или элайнерами (прозрачными капами) — в большинстве случаев без хирургии. Метод подбирается индивидуально после диагностики: ключевой критерий — глубина перекрытия и наличие скелетной аномалии.
Виды прикуса
Виды прикуса
Прикус бывает правильный и неправильный. И отличия не столько в эстетике, сколько в функциональности зубочелюстной системы. Если она нарушена, значит, речь идет о патологических видах прикуса, при которых ортодонтическое лечение – необходимость.
Стерильность в клинике ПРОПРИКУС
Стерильность в клинике ПРОПРИКУС
Безопасность пациента – наш приоритет. Поэтому соблюдению стерильности в нашей клинике уделяется максимум внимания.
Страхи или реальность?
Страхи или реальность?
Кто же в детстве не боялся бормашины! Шумно, больно, непонятно… И несмотря на то, что современная стоматологическая аппаратура выглядит не такой пугающей, страх лечить зубы до сих пор существует. Причем одолевает он не только детей, но и многих взрослых. Как с ним справляться? Да и надо ли?
Керамические или сапфировые брекеты: какие лучше выбрать
Керамические или сапфировые брекеты: какие лучше выбрать
Керамические и сапфировые брекеты — два вида эстетических несъёмных систем для исправления прикуса. Оба незаметны на зубах, не дают аллергии и работают по одному принципу. Но материал, из которого сделаны замочки, определяет разницу в прозрачности, поведении дуги в пазу и сроках лечения. Разбираемся, чем именно отличаются эти системы и в какой ситуации каждая из них подходит лучше.
Брекеты при скученности зубов
Брекеты при скученности зубов
Дьячкова Инна Владимировна, врач-ортодонт ПРОПРИКУС, разбирает: как степень дефицита места определяет тактику лечения, в каких случаях удаления зубов можно избежать, чем отличаются типы брекет-систем при разной тяжести скученности и почему без ретейнера результат не держится.
Вестибулярные брекеты: виды, установка и сроки лечения
Вестибулярные брекеты: виды, установка и сроки лечения
Вестибулярные брекеты — самая распространённая ортодонтическая система в мире. В этой статье разберём, как устроена конструкция, какие бывают виды по материалу и типу фиксации, кому подходит лечение и сколько оно стоит.
Лингвальные брекеты: что это, как работают и сколько стоит лечение
Лингвальные брекеты: что это, как работают и сколько стоит лечение
Лингвальные брекеты — это внутренние брекет-системы, которые крепятся к зубам со стороны языка и абсолютно невидимы при разговоре и улыбке. В статье разбираем, кому они подходят, как проходит установка, сколько длится адаптация и почему их цена выше, чем у классических вестибулярных систем. Также сравниваем лингвальные брекеты с элайнерами и отвечаем на три самых популярных вопроса пациентов.
Отклеился ретейнер: что делать, насколько это опасно?
Отклеился ретейнер: что делать, насколько это опасно?
Ретейнер отклеился — ситуация неприятная, но не катастрофическая, если действовать быстро. Даже частичное отклеивание с одного зуба требует визита к ортодонту: проволока, потерявшая фиксацию, не удерживает зубы и может травмировать десну.
Съёмный ретейнер для зубов
Съёмный ретейнер для зубов
Съёмный ретейнер — финальный и самый долгий этап ортодонтического лечения. Без него результат, достигнутый брекетами или элайнерами, постепенно сходит на нет. Зубы возвращаются к исходному положению.
20
1534
/uslugi/ortodontiya/brekety-damon/
50
2000
comment@vnikuda.ru
/bitrix/components/ktoto/comments

Оставить комментарий


Валя Корнева
02 июля 2025
Доброе утро. У меня был удален зуб и теперь зубы сместились. Могут брекеты помочь восстановить прикус?
Стоматология "ПРОПРИКУС"
04 июля 2025
Добрый день. Да, брекеты Damon могут быть использованы для восстановления зубного ряда после потери зуба. Они позволяют перемещать зубы, закрывая промежутки и создавая место для последующей имплантации или протезирования.
Игорь
09 июля 2025
Добрый вечер. У меня перекрестный прикус, когда нижние зубы перекрывают верхние с одной стороны. Насколько эффективны брекеты damon в моем случае?
Стоматология "ПРОПРИКУС"
19 июля 2025
Здравствуйте, Игорь. Брекеты Damon эффективны для лечения перекрестного прикуса. Они позволяют осуществлять точное перемещение зубов и исправить неправильное смыкание зубных рядов. Оставьте заявку на консультацию, наш ортодонт оценит степень перекрестного прикуса и составит индивидуальный план лечения.
Андрей
20 июля 2025
Здравствуйте. Мне 50, диагностировали хронический пародонтит. Зубы разъехались. Обычные брекеты запретили. Можно ли ставить Damon?
Стоматология "ПРОПРИКУС"
28 июля 2025
Здравствуйте. Пародонтит является одним из противопоказаний к установке брекетов Damon. Рекомендуем обратиться к ортодонту для диагностики.
Елена
12 декабря 2025
Добрый вечер! Мне 36 лет, хочу поставить Damon, но в другой клинике сказали, что у меня узкая челюсть и без удаления зубов не обойтись. А я читала, что Damon позволяет лечить без удалений. Это правда? Или всё-таки придётся удалять?
Стоматология "ПРОПРИКУС"
18 декабря 2025
Добрый вечер, Елена! Система Damon действительно известна тем, что во многих случаях позволяет избежать удаления здоровых зубов благодаря способности расширять зубной ряд. Но это не универсальное правило — всё зависит от конкретной клинической ситуации: степени скученности, размера челюсти, положения зубов мудрости и других факторов. Иногда удаление всё же необходимо для достижения стабильного результата. Рекомендуем получить независимое мнение: приходите на консультацию с снимками — наш ортодонт оценит возможности лечения без удаления в вашем случае.
Дмитрий
24 декабря 2025
Интересует вопрос по срокам. Везде пишут, что Damon сокращает лечение. У меня сильная скученность и глубокий прикус. Реально ли уложиться в 1,5 года или это только для простых случаев?
Стоматология "ПРОПРИКУС"
01 января 2026
Здравствуйте, Дмитрий! Сокращение сроков на Damon — не миф, но и не гарантия для всех случаев. При сильной скученности и глубоком прикусе 1,5 года — это оптимистичный, но реалистичный сценарий. Многое зависит от индивидуальной скорости перемещения зубов, вашей дисциплины (ношение эластиков, соблюдение рекомендаций) и регулярности визитов. В среднем сложные случаи на Damon занимают 18-24 месяца, тогда как на лигатурных системах — 24-30 месяцев. Точный прогноз врач даст после диагностики, когда увидит снимки и составит план.
Ольга
27 декабря 2025
Ношу Damon Clear уже 10 месяцев, очень довольна! Но вот вопрос: ортодонт говорит, что скоро нужно будет носить эластики (резинки между челюстями). Зачем они, если система и так самолигирующая? Это значит, что что-то идёт не по плану?
Стоматология "ПРОПРИКУС"
02 января 2026
Здравствуйте, Ольга! Рады, что лечение проходит хорошо! Эластики (межчелюстные тяги) — это абсолютно нормальный этап лечения, а не признак проблем. Самолигирование означает, что дуга фиксируется в брекете без резинок-лигатур. А эластики — это совсем другое: они соединяют верхнюю и нижнюю челюсти и помогают корректировать прикус, то есть взаимоположение челюстей относительно друг друга. Брекеты двигают зубы, а эластики «учат» челюсти правильно смыкаться. Это стандартная практика при любых брекетах, включая Damon.
Марина
01 января 2026
Добрый день! Везде читаю про Damon как про революцию в ортодонтии. Но хочу понять: это действительно что-то особенное или просто раскрученный бренд? Чем конкретно Damon лучше других самолигирующих систем?
Стоматология "ПРОПРИКУС"
05 января 2026
Здравствуйте, Марина! Damon — не просто маркетинг, это действительно одна из самых продуманных систем на рынке. Главное отличие — запатентованный механизм SpinTek: замок открывается и закрывается одним движением, что ускоряет приёмы и делает их комфортнее. Система работает по принципу пассивного самолигирования с минимальным трением — зубы перемещаются мягче и физиологичнее. Кроме того, Damon имеет самый низкий профиль среди аналогов (брекеты очень компактные), что снижает дискомфорт. Есть ли альтернативы? Да, но Damon — это проверенная временем система с предсказуемым результатом.
Александр
01 января 2026
Здравствуйте. Мне предложили Damon Q или Damon Clear. Разница в цене ощутимая. При этом ортодонт говорит, что работают они одинаково. Тогда за что переплата у Clear? Только за эстетику?
Стоматология "ПРОПРИКУС"
08 января 2026
Здравствуйте, Александр! Вы правильно поняли — механизм работы у Damon Q и Damon Clear идентичен, оба используют технологию SpinTek. Разница в материале: Q — металлические, Clear — из прозрачного поликристаллического оксида алюминия. Переплата за Clear — это именно эстетика: брекеты практически незаметны на зубах. Для пациентов, которым важен внешний вид во время лечения (публичные профессии, активная социальная жизнь), это оправданная инвестиция. Если эстетика не приоритет — Damon Q даст тот же результат, но дешевле.
Оставьте заявку на запись на бесплатную консультацию ортодонта
В консультацию входит 3D-диагностика, визуализация вашей новой улыбки, индивидуальный план лечения, расчёт стоимости «под ключ».
Нажимая на кнопку «Бесплатная консультация», вы соглашаетесь с политикой конфиденциальности.
Оставьте заявку на запись на бесплатную консультацию ортодонта