Ваша карта москвича – ключ к здоровой улыбке

Ваша карта москвича
– ключ к здоровой улыбке

Ваша карта москвича – ключ к здоровой улыбке

Как воспользоваться предложением?

Если вы хотите исправить прикус - скидка до 30 000 руб.

Запишитесь на бесплатную консультацию к ортодонту

Выберите удобное время по телефону или через форму на сайте.

Приходите на консультацию
и принесите карту москвича

На этом визите вы получите максимум информации:

  • Полный осмотр и диагностику от ведущего специалиста.
  • 3D-сканирование зубов для создания цифровой модели вашей улыбки.
  • Обсуждение всех подходящих вам вариантов: брекеты или элайнеры.
  • Точный план лечения со сроками и итоговой стоимостью, в которую уже будет включена ваша скидка до 30 000 руб.

Начните лечение
по выгодной цене!

После полной диагностики и согласования плана мы назначаем дату установки.

Если вам нужны другие
стоматологические услуги – скидка до 10%

Запишитесь на прием
к нужному специалисту

(терапевту, гигиенисту, хирургу и т.д.)
и получите необходимую услугу.

Перед оплатой покажите администратору вашу
карту москвича

Мы сразу же применим скидку до 10% к вашему чеку. Просто и выгодно!


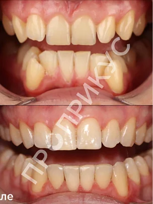
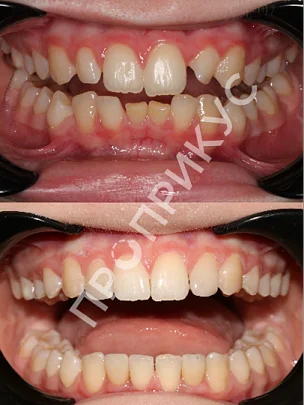
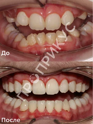
Улыбки, которые вдохновляют

Фото #3
Фото #5
Фото #4
Фото #6

До и После: реальные истории, реальные улыбки

Фото #1
Фото #4
Фото #7
Фото #5

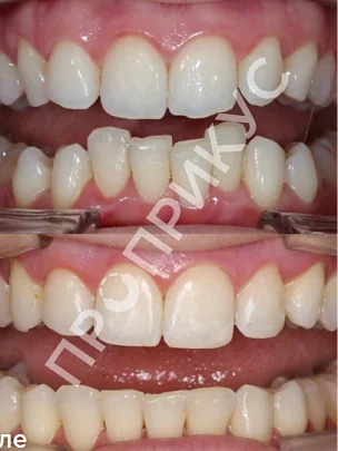
Еще больше До и После

Фото #4
Фото #3
Фото #8
Фото #1
Оставьте заявку на запись на бесплатную консультацию ортодонта
В консультацию входит 3D-диагностика, визуализация вашей новой улыбки, индивидуальный план лечения, расчёт стоимости «под ключ».
Нажимая на кнопку «Бесплатная консультация», вы соглашаетесь с политикой конфиденциальности.
Оставьте заявку на запись на бесплатную консультацию ортодонта