Арбат
Сокольники
Поиск
Пн-Вс с 9:00 до 21:00
+7 (499) 681-95-69
Обратный звонок
Онлайн запись
Услуги
Врачи
Цены
Работы
Акции
Блог
О нас
Новости
Пресса о нас
Отзывы
Контакты
Я пациент
Главная
Работы
Работы
Все отделения
Ортодонтия
Протезирование
Имплантация
Эстетическая стоматология
Профессиональная гигиена
Кариес
Сбросить
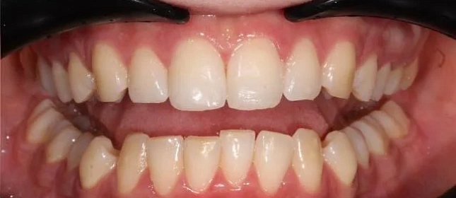
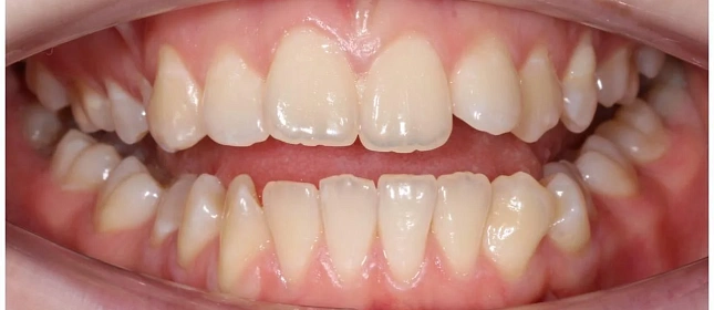
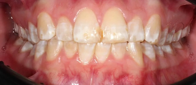
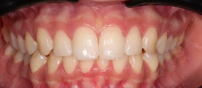
70 кап без единого дозаказа — сложный случай на элайнерах Spark за 3,5 года
Врач:
Арутюнова Екатерина Ашотовна
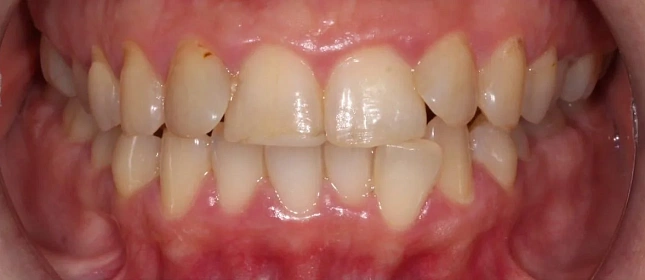
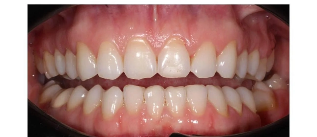
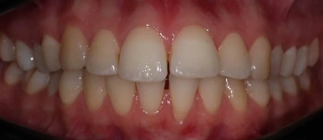
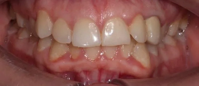
Скученность, глубокий прикус и старые коронки — лечение на элайнерах Click Aligners
Врач:
Данилова Виктория Юрьевна
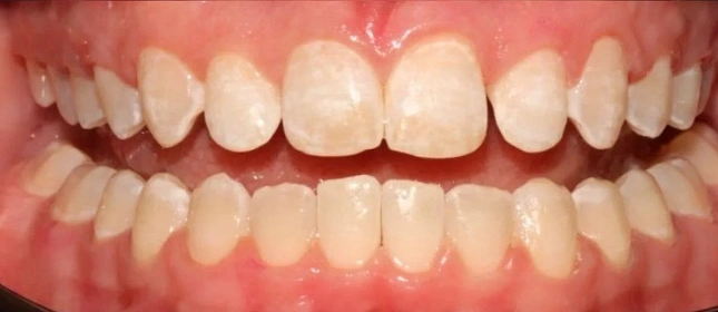
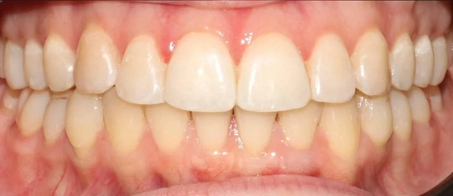
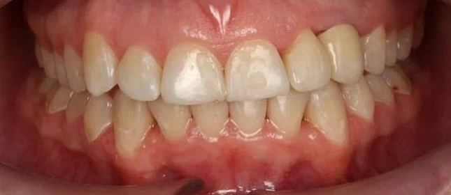
Неровные зубы и нарушение прикуса — лечение на элайнерах 3D Smile
Врач:
Поленок Мария Сергеевна
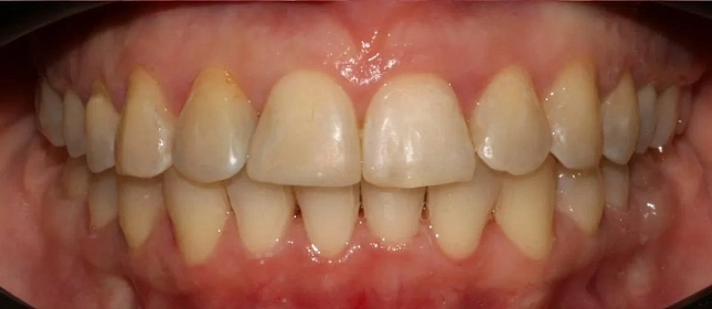
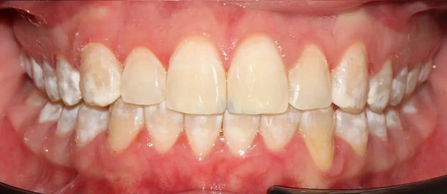
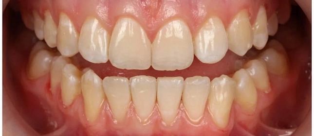
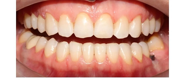
Выровняли и подготовили к реставрации зубы на керамических брекетах Damon за 14 месяцев
Врач:
Куканова Алена Витальевна
Скученность зубов — выравнивание зубов на элайнерах Click Aligners
Врач:
Куканова Алена Витальевна
Устранили скученность и тесное положение зубов на элайнерах Sparks
Врач:
Арутюнова Екатерина Ашотовна
Стираемость зубов, отсутствующий зуб и неправильный прикус — лечение на элайнерах Spark + имплантация
Врач:
Арутюнова Екатерина Ашотовна
Лечение скученности и неправильного прикуса на элайнерах 3D Smile
Врач:
Шевченко Алина Борисовна
Лечение неправильного прикуса зубов на элайнерах Click Aligners за 23 месяца
Врач:
Арутюнова Екатерина Ашотовна
1
2
3
4
5
Оставьте заявку на запись на бесплатную консультацию ортодонта
В консультацию входит 3D-диагностика, визуализация вашей новой улыбки, индивидуальный план лечения, расчёт стоимости «под ключ».
Нажимая на кнопку «Бесплатная консультация», вы соглашаетесь с
политикой конфиденциальности
.
Услуги
Врачи
Цены
Работы
Акции
Блог
О нас
Новости
Пресса о нас
Отзывы
Контакты
Я пациент
Чат-бот для пациентов
Telegram
8 (499) 681-95-69