Поленок Мария Сергеевна
Поленок Мария Сергеевна

Поленок Мария Сергеевна

★★★★★
4.9
Ортодонт
С ранних лет я знала что свяжу свою жизнь с медициной - всегда хотелось помогать людям, а биология с химией в школе увлекали и давались легко. В подростковом возрасте когда мне сняли брекеты, я подумала - это оно: я хочу дарить такие эмоции людям, делая их не только здоровыми, но и красивыми, повышая качество их жизни делать их счастливее. В 2016 году, едва коснувшись мира ортодонтии, я поняла, что назад не отступлю. Далее медицинский университет и кафедра, на которую я так мечтала попасть. Моя специальность - наука, где есть место творчеству и бесконечное развитие. Я благодарна своему выбору и поддержке близких за то, что мой путь привёл меня в ту реальность, где я каждый день счастлива идти на работу. Вдохновляюсь невероятными возможностями новейших протоколов лечения и улыбками моих любимых пациентов.
85
Вылечено пациентов
5
Стаж врача

На приеме за 45 минут вы получите:

Диагностику и оценку вашей текущей ситуации
Консультацию с ведущим врачом
3D-сканирование полости рта
Демонстрацию вашей улыбки после лечения
Фотопротокол для определения влияния прикуса на ваше тело
Подбор вида лечения в зависимости от ваших пожеланий и клинической ситуации

Биография врача

Профессиональный рост
Закончила Кемеровский государственный медицинский университет, специальность «Стоматология»

Ординатура по ортодонтии, Уральский государственный медицинский университет.

Повышение квалификации:
Современные протоколы ортодонтического лечения в России и за рубежом, включая Протокол Питтса, Evolution 2.0, курсы по цифровой ортодонтии, Anti-Age протоколам, применению микроимплантов и 3D-моделированию.

Достижения
Цифровая диагностика и 3D- моделирование в ортодонтическом лечении, широкое применение микроимплантов в практике при лечении на элайнерах и брекетах Протоколы Anti-Age ортодонтии

Какие проблемы прикуса я лечу?

Скученность зубов
Скученность зубов
Выпирающий ряд зубов
Выпирающий ряд зубов
«Съехавший» ряд зубов
«Съехавший» ряд зубов
«Хищные» клыки
«Хищные» клыки
Глубокий прикус
Глубокий прикус
Нет смыкания
Нет смыкания

Выполненные работы

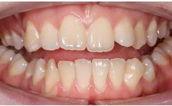
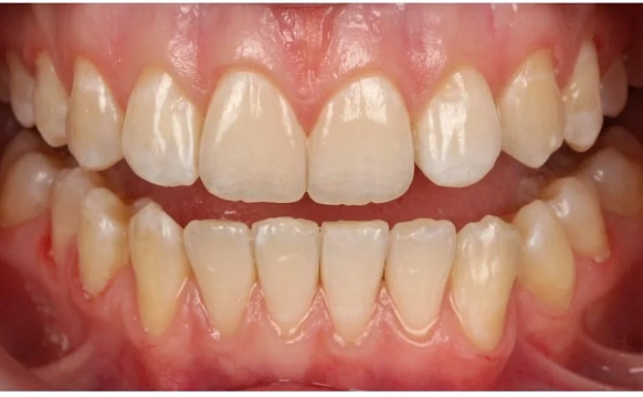
Неровные зубы и нарушение прикуса — лечение на элайнерах 3D Smile

Проблема
Врач
Поленок Мария Сергеевна

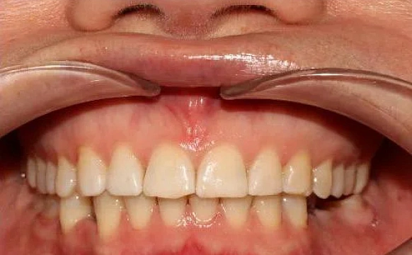
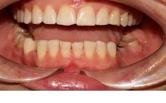
Исправление прикуса на брекетах за 28 месяцев перед протезированием

Проблема
Врач
Поленок Мария Сергеевна

Подход к лечению

Доказательная база

Для эффективного лечения зубов необходима качественная диагностика. Врач применяет только научно-обоснованные решения.

Комплексность

При необходимости подключает логопеда, миотерапевта и других смежных специалистов — чтобы результат был не только красивым, 
но и функционально стабильным.

Простые объяснения

Сложные рекомендации переводит на понятный язык, показывает наглядные кейсы «до/после».

Сложные случаи

Врач справляется даже с самыми сложными случаями. 
Вы можете вылечить прикус с помощью прозрачных кап или классических брекетов, а также установить виниры и коронки, пройти профессиональную гигиену для взрослых
и детей, вылечить кариес, а также удалить зубы мудрости.
Блок картинки

Сертификаты

Сертификат №1 Поленок Мария Сергеевна
Сертификат №2 Поленок Мария Сергеевна
Сертификат №3 Поленок Мария Сергеевна
Сертификат №4 Поленок Мария Сергеевна
Сертификат №5 Поленок Мария Сергеевна

Оказываемые услуги

Установка элайнеров
Элайнеры – это прозрачные капы из тонкого медицинского пластика мягко и точно перемещают зубы в нужное положение.
Узнать подробнее
Установка брекетов
Брекеты позволяют избавиться от скученности, устранить межзубные промежутки и получить ровные зубы. Длительность и стоимость терапии зависят от клинической картины.
Узнать подробнее
Консультация ортодонта
Каждый пациент заинтересован, чтобы его лечил лучший ортодонт. Во время осмотра понаблюдайте, комфортно ли вам находиться рядом с врачом.
Узнать подробнее

Публикации врача

Съёмный ретейнер для зубов
Съёмный ретейнер — финальный и самый долгий этап ортодонтического лечения. Без него результат, достигнутый брекетами или элайнерами, постепенно сходит на нет. Зубы возвращаются к исходному положению.
Узнать подробнее
Белые пятна на зубах у ребенка - что делать?
Белые пятна на зубах у ребенка — частая причина обращения родителей к детскому стоматологу.
Узнать подробнее
Антибиотики после удаления зуба мудрости
Удаление зуба мудрости — это достаточно распространенная, а также технически непростая стоматологическая процедура, особенно если речь идет о ретинированных или дистопированных “восьмерках”, зубах мудрости, которые имеют трудности в прорезывании. 
Узнать подробнее
Исправление прикуса
Неправильный прикус – патология смыкания зубов верхней и нижней челюстей. Работа зубочелюстной системы выходит за рамки нормы, поэтому возникают сопутствующие заболевания.
Узнать подробнее
Вывих зуба
Вывих зуба – стоматологическое травмирование резца или клыка, после которого они меняют свое положение в лунке.
Узнать подробнее
Оставьте заявку на запись на бесплатную консультацию ортодонта
В консультацию входит 3D-диагностика, визуализация вашей новой улыбки, индивидуальный план лечения, расчёт стоимости «под ключ».
Нажимая на кнопку «Бесплатная консультация», вы соглашаетесь с политикой конфиденциальности.
Оставьте заявку на запись на бесплатную консультацию ортодонта