Элайнеры (капа)
за 19 000 в месяц
Элайнеры с ежемесячной оплатой — ваша новая улыбка по подписке

19 000 в раз в месяц, и мы вам выдаем набор кап на следующий месяц

3D-диагностика и план лечения бесплатно

Элайнеры (капа) за 15 500 в месяц

Новый набор кап раз в 2 месяца

Перед стартом смоделируем вашу улыбку в 3D

Стоматология ПРОПРИКУС — вся ортодонтия в одном месте!

Элайнеры

Брекеты

Ретенционные капы

Лечение ВНЧС

Диагностика

Пластины аппарата Хааса

Чего можно добиться с нашей командой?

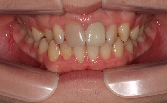
Смещение клыков и моляров по 2 классу по Энглу справа и слева

Проблема
Смещение клыков и моляров по 2 классу по Энглу справа и слева.
Врач
Киргуева Дзерасса Валерьевна

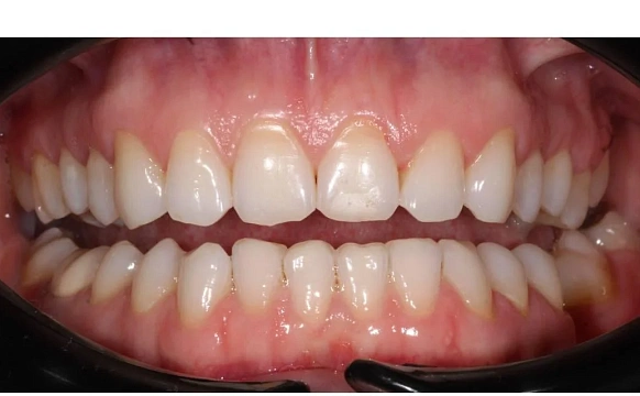
Исправление дистального прикуса элайнерами

Проблема
Дистальный прикус, глубокая резцовая окклюзия , Дистальный прикус, глубокая резцовая окклюзия
Врач
Дьячкова Инна Владимировна
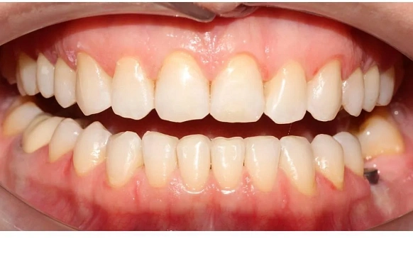
Лечение скученности зубов на брекет-системе Лечение скученности зубов на брекет-системе

Лечение скученности зубов на брекет-системе

Проблема
Узкая зубная дуга, скученность, микродентия боковых верхних резцов
Врач
Дьячкова Инна Владимировна
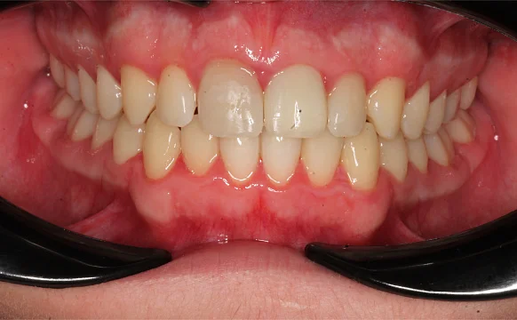
Лечение диастемы на верхней челюсти на элайнерах Click Лечение диастемы на верхней челюсти на элайнерах Click

Лечение диастемы на верхней челюсти на элайнерах Click

Проблема
Прямое смыкание, сужение зубных дуг, скученность
Врач
Дьячкова Инна Владимировна

У нас широкий, как ваша улыбка, опыт исправления прикуса

11000+ пациентов

Исправляют у нас прикус и лечат зубы в целом

835 пациентов

Пришли из других клиник, потому что там не решили их проблему

более 45% новых пациентов

Приходят к нам по рекомендации тех, кто уже лечится

100% гарантия

На все виды лечения и рассрочка на все услуги

Отзывы

Брекеты или элайнеры (капы)?

Брекеты
Брекеты

Несъемная конструкция, которая устанавливается за один визит

Могут быть металлическими (самые модные) или керамическими 
(в цвет зубов)

Исправляют любые, даже самые сложные, случаи неправильного прикуса

Врача нужно посещать раз 
в 1 - 1,5 месяца

Срок лечения: 18-36 месяцев.

Элайнеры
Элайнеры

Прозрачные съемные капы, целый набор таких, которые нужно носить 20-22 часа в день

Всегда прозрачные и съемные. Можно снять в любой момент.

Могут исправить легкие и средне по сложности лечения случаи неправильного прикуса.

Врача нужно посещать раз в 2-4 месяца, он будет выдавать новые наборы кап, которые нужно чередовать каждые пару недель.

Срок лечения: 6-24 месяца.

Как проходит исправление прикуса элайнерами?

Как проходит исправление прикуса элайнерами?
Первичный осмотр
Сомневаетесь в возможностях элайнеров? Запишитесь к ортодонтам клиники ПРОПРИКУС. В ходе осмотра врач внимательно исследует прикус и проверит подойдет ли пациенту эта методика коррекции, а также озвучит стоимость лечения.
Диагностика ВНЧС
На консультации специалист проверяет не только зубы, но и особенности работы челюстной системы в целом, в том числе суставов и мышц. Эти данные обеспечивают высокое качество ортодонтического лечения.
Консилиум
Результаты обследования обсуждаются на консилиуме, в котором участвуют стоматологи различных специальностей: ортопед, гигиенист, терапевт и хирург. Команда составляет план лечения и презентует вам.
Согласование плана лечения
С помощью трехмерного компьютерного моделирования врач наглядно демонстрирует вид ротовой полости до и после вмешательства. Если результат устраивает пациента, план лечения считается утвержденным. Вы видите 3D модель вашей будущей улыбки, которую можно разглядеть со всех сторон.
Санация полости рта
Перед началом ортодонтического лечения в обязательном порядке проводится профессиональная чистка полости рта (гигиена полости рта), удаление зубного камня и налета. При необходимости осуществляется лечение кариеса и заболеваний десен. Также хирург удаляет восьмерки, если необходимо.
Изготовление кап
Отправляем 3D-модель вашей улыбки 
в лабораторию, где мудрые зубные инженеры производят для вас индивидуальный комплект брекетов или кап.
Лечение капами
Выдаем капы (Click или 3D Smile) 
и инструктируем как ими пользоваться, либо назначаем прием, на котором устанавливаем брекеты на зубы.
Окончание лечения
После завершения курса лечения врач оценивает состояние прикуса. В случае лечения капами если результат не достиг идеала, то врач заказывает дополнительный комплект кап за счёт клиники.
Первичный осмотр
Сомневаетесь в возможностях элайнеров? Запишитесь к ортодонтам клиники ПРОПРИКУС. В ходе осмотра врач внимательно исследует прикус и проверит подойдет ли пациенту эта методика коррекции, а также озвучит стоимость лечения.
Диагностика ВНЧС
На консультации специалист проверяет не только зубы, но и особенности работы челюстной системы в целом, в том числе суставов и мышц. Эти данные обеспечивают высокое качество ортодонтического лечения.
Консилиум
Результаты обследования обсуждаются на консилиуме, в котором участвуют стоматологи различных специальностей: ортопед, гигиенист, терапевт и хирург. Команда составляет план лечения и презентует вам.
Согласование плана лечения
С помощью трехмерного компьютерного моделирования врач наглядно демонстрирует вид ротовой полости до и после вмешательства. Если результат устраивает пациента, план лечения считается утвержденным. Вы видите 3D модель вашей будущей улыбки, которую можно разглядеть со всех сторон.
Санация полости рта
Перед началом ортодонтического лечения в обязательном порядке проводится профессиональная чистка полости рта (гигиена полости рта), удаление зубного камня и налета. При необходимости осуществляется лечение кариеса и заболеваний десен. Также хирург удаляет восьмерки, если необходимо.
Изготовление кап
Отправляем 3D-модель вашей улыбки 
в лабораторию, где мудрые зубные инженеры производят для вас индивидуальный комплект брекетов или кап.
Лечение капами
Выдаем капы (Click или 3D Smile) 
и инструктируем как ими пользоваться, либо назначаем прием, на котором устанавливаем брекеты на зубы.
Окончание лечения
После завершения курса лечения врач оценивает состояние прикуса. В случае лечения капами если результат не достиг идеала, то врач заказывает дополнительный комплект кап за счёт клиники.

Акции и специальные условия

О стоматологии ПРОПРИКУС

ПРОПРИКУС — сеть ортодонтических стоматологий в России. У нас вы можете вылечить прикус с помощью прозрачных кап или классических брекетов, а также установить виниры и коронки, пройти профессиональную гигиену для взрослых и детей, вылечить кариес, а также удалить зубы мудрости.
Подробнее

Наши принципы в работе

Делаем ортодонтию доступной

Мы разработали программу лояльности, которая действует не только для пациентов, но и для членов их семей.

Системный подход

Решаем проблему комплексно: кроме ортодонтов, у нас работают терапевты и ортопеды, а план лечения составляется консилиумом врачей.

Цифровая презентация результата

Нам доверяют врачи-ортопеды, реабилитологи, подологи, остеопаты, массажисты.

Личный менеджер

Вся информация по вашему лечению консолидируется у персонального менеджера. Вы всегда будете знать к кому обратиться с любыми вопросами.
Блок картинки
Оставьте заявку на запись на бесплатную консультацию ортодонта
В консультацию входит 3D-диагностика, визуализация вашей новой улыбки, индивидуальный план лечения, расчёт стоимости «под ключ».
Нажимая на кнопку «Бесплатная консультация», вы соглашаетесь с политикой конфиденциальности.
Оставьте заявку на запись на бесплатную консультацию ортодонта

Наши врачи

Дьячкова Инна Владимировна
Ведущий стоматолог-ортодонт
Специализируется на исправлении прикуса элайнерами и брекетами
Шевченко Алина Борисовна
Ортодонт
Специализируется на исправлении прикуса элайнерами и брекетами
Данилова Виктория Юрьевна
Ортодонт
Специализируется на исправлении прикуса элайнерами и брекетами
Куканова Алена Витальевна
Ортодонт
Специализируется на исправлении прикуса элайнерами и брекетами
Арутюнова Екатерина Ашотовна
Ортодонт
Специализируется на исправлении прикуса элайнерами и брекетами у взрослых
Джурабаева Ситорахон Акбаровна
Ортодонт
Специализируется на исправлении прикуса элайнерами и брекетами
Усачёва Арина Романовна
Стоматолог-ортодонт
Специализируется на исправлении прикуса элайнерами и брекетами
Киргуева Дзерасса Валерьевна
Стоматолог-ортодонт
Специализируется на исправлении прикуса элайнерами и брекетами
Кончакова Михалина Михайловна
Ортодонт
Специализируется на исправлении прикуса элайнерами и брекетами
Мирзоев Фарзон Мирославович
Ортопед-гнатолог
Ортопед, специалист по восстановлению эстетики с помощью виниров.

Наши контакты

Клиника «Арбат»
Москва, ул. Большая Молчановка, 18
Метро Арбатская
Ежедневно с 9:00 до 21:00.
Клиника «Сокольники»
Москва, ул. Русаковская, 31 вход на 3-м этаже ТЦ "Сокольники"
Метро Сокольники
Ежедневно с 9:00 до 21:00.

Как добраться

Как проехать и где припарковаться
Как дойти и где пообедать перед приёмом

Лучше всего соблюдать рекомендации навигатора и учитывать, что в центре Москвы большая проблема с парковками. Мы советуем парковаться на противоположной стороне от нас (Арбатская, 15) на большой платной парковке.

Если вы решили не приезжать на автомобиле, чтобы не тратить время на поиски места парковки, то самое близкое и удобное метро Арбатская. Вы выходите из метро, поворачиваете налево и идете прямо до перехода. ТАм вы сворачиваете направо и выходите на Новый Арбат. Следует идти прямо вдоль улицы пока не увидите японское кафе "Якитория", в котором, кстати можно пообедать. Сразу за ним вы сворачиваете налево на Большую Молчановку, проходите вдоль серого здания и видите лестницу к нам. Добро пожаловать

Как проехать и где припарковаться
Как дойти и где пообедать перед приёмом

Мы рекомендуем использовать навигатор. Припарковаться можно внизу, на подземной парковке. Парковка в торговом центре - 50 рублей/час первые два часа, потом 100/час. Можно припарковаться на территории у ресторана Макодональдс, напротив отеля "Новотель", но придется перейти через дорогу.

Выход из метро Сокольники номер 2. После выхода из метро, поворачиваете направо, доходите до ТЦ "Сокольники". Войдя в ТЦ, поворачиваете налево в сторону лифтов, которые располагаются напротив магазина "Перекресток" и поднимаетесь на 3 этаж. Далее выходите из лифтовой зоны и следуйте по указателям.

Если вы приехали на прием, а ТЦ закрыт: от центрального входа ( не заходя в здание) поверните налево и пройдите вдоль здания до вывески "Парковка". Прямо под ней есть серая дверь с домофоном. Она всегда открыта. Нужно зайти в нее и подняться по лестнице до последнего (третьего) этажа. Далее увидите перед собой клинику - вы на месте! Более подробно можно ознакомится тут

Наши направления

Оставьте заявку на запись на бесплатную консультацию ортодонта
В консультацию входит 3D-диагностика, визуализация вашей новой улыбки, индивидуальный план лечения, расчёт стоимости «под ключ».
Нажимая на кнопку «Бесплатная консультация», вы соглашаетесь с политикой конфиденциальности.
Оставьте заявку на запись на бесплатную консультацию ортодонта