Установка ретейнеров

Установка ретейнеров

Возможна оплата в кредит
или рассрочку 0% до 12 мес.
4180
Время на прочтение: 5 мин.
Установка ретейнеров
Дмитриева Елена Сергеевна
Информация проверена экспертом клиники ПРОПРИКУС
Ведущий ортодонт
Стаж более 17 лет
★★★★★ 4.9

Ретейнер — это ортодонтическая конструкция, которую устанавливают сразу после снятия брекетов. Клиника ПРОПРИКУС устанавливает ретейнеры в Москве на Арбате и в Сокольниках.

После снятия брекетов костная ткань вокруг корней зубов продолжает перестраиваться ещё 6–12 месяцев. В этот период зубы без фиксации начинают смещаться обратно — это рецидив. Ретейнер удерживает достигнутый результат и не даёт зубному ряду вернуться в исходное положение. Пациенты ПРОПРИКУС, которые соблюдают ретенционный протокол, сохраняют результат лечения в среднем на 5–7 лет без повторной коррекции.

Как работают ретейнеры в коррекции прикуса

Ношение брекет-систем для нормализации прикуса оказывает постоянную равномерную нагрузку на корни зубов. С помощью брекетов происходит постепенное смещение зубных единиц в заданном положении. Это продолжительный процесс, он занимает немало времени, причем на начальной стадии коррекция положения зубов достаточно нестабильна. Под действием естественной нагрузки, например, при жевании, зубной ряд может повторно смещаться, вновь занимая аномальное положение.

В подобной ситуации важно сохранить достигнутый терапевтический эффект и не допустить образования повторной аномалии зубного прикуса. Именно поэтому специалисты рекомендуют установку ретейнеров после брекетов. Ортодонтическая ретенционная конструкция в данном случае выполняет роль механического фиксатора, который надежно удерживает зубные единицы в анатомически правильном положении, достигнутом при ношении брекет-систем.

Ретейнеры являются завершающим этапом коррекции аномального прикуса. В отличие от брекет-конструкций они не оказывают давления на корни, не сдвигают зубной ряд, а, напротив, удерживают их в достигнутом положении. Медицинское исследование MDPI

Показания и противопоказания к ретейнерам

Показания

  • Завершение активного ортодонтического лечения на брекетах любого типа
  • Завершение курса лечения элайнерами (прозрачными капами)
  • Риск рецидива после исправления скученности зубов
  • Риск рецидива после закрытия диастемы (щели между зубами) или трем
  • Профилактика смещения зубов после исправления глубокого, открытого или перекрёстного прикуса
  • Удержание результата после устранения дистального или мезиального прикуса
  • Стабилизация зубного ряда после ортодонтического лечения в детском или подростковом возрасте
  • Предупреждение смещения зубов мудрости после удаления
  • Рецидив после ранее проведённого ортодонтического лечения — повторная фиксация после коррекции
  • Подготовка к протезированию: фиксация зубов в нужном положении перед установкой коронок или имплантов

Противопоказания

  • Активное воспаление дёсен (гингивит, пародонтит в стадии обострения) — до устранения воспаления
  • Множественный нелеченый кариес — установка возможна только после санации полости рта
  • Подвижность зубов III–IV степени вследствие тяжёлого пародонтита
  • Острые воспалительные заболевания слизистой полости рта (стоматит, герпес) — до выздоровления
  • Разрушенные или значительно изменённые опорные зубы, на которые невозможно надёжно зафиксировать конструкцию
  • Аллергия на материалы конструкции (металл, акрил, силикон) — требует подбора альтернативного материала
  • Онкологические заболевания челюстно-лицевой области — установка согласовывается с онкологом
  • Бруксизм в тяжёлой форме — требует предварительного изготовления защитной капы, иначе ретейнер быстро повреждается
  • Недостаточная гигиена полости рта — установка откладывается до обучения пациента корректному уходу
  • Возраст до завершения формирования постоянного прикуса — установка несъёмного ретейнера нецелесообразна до прорезывания всех постоянных зубов

Виды ретейнеров

Съемные ретейнеры

Представляет собой легкую, прозрачную пластиковую систему, предназначенную для ношения на верхней челюсти. Ретейнер крепится к зубному ряду с внутренней стороны. Съемный ретейнер чаще всего используется для длительного или постоянного ношения. Установка ретейнера съемного типа помогает закрепить достигнутый терапевтический эффект в случаях, когда коррекция аномального прикуса осуществлялась путем значительного линейного перемещения зубных единиц. Основные преимущества съемных конструкций – легкость, незаметность, простота гигиены и чистки зубов.

Несъемные ретейнеры

Удобная, легкая и надежная проволочная конструкция из тонкого, но прочного металла, практически незаметная в полости рта. Подобная ретенционная система обеспечивает максимально комфортное ношение, никак не влияет на вкус пищи, не нарушает дикцию. Вместе с тем специалисты предупреждают, что при ношении несъемного ретейнера необходимо более тщательно следить за гигиеной зубов.

Комбинированные ретейнеры

Это оптимальный вариант для стабилизации зубного ряда после снятия брекетов, который представляет собой ортодонтическую конструкцию, включающую съемные и несъемные элементы.

Комбинированная ретенционная система помогает удерживать от смещения зубные единицы верхней и нижней челюсти. Ношение комбинированных ортодонтических аппаратов гарантирует длительный устойчивый результат, надежно защищая ровные, красивые зубы от повторного смещения. Комбинированные пластины выглядят достаточно эстетично и при правильном ношении надолго сохраняют полученный эффект после снятия брекетов.

Пациентам нашей клиники в Москве могут быть и также предложены варианты установки временных или активных ретейнеров:

  • Временные фиксирующие системы надеваются на зубы с целью предупреждения повторного нарушения прикуса во время длительных перерывов в лечении или перед установкой окончательных несъемных конструкций.

  • Активные ретенционные устройства используются в коррекции небольших дефектов естественного положения зубного ряда. Их устанавливают на зубы, как правило после того, как завершено основное ортодонтическое лечение.

Решение о том, какой из вариантов ретейнеров использовать для предотвращения смещения зубов после того, как будут сняты брекет-системы, принимается ортодонтом. Рекомендации по установке ретенционных систем требуют индивидуального подхода и даются по показаниям, в зависимости от сложности аномалии прикуса.

Установка ретейнеров: особенности процедуры

Ретейнеры устанавливаются на верхнюю или нижнюю челюсть сразу после того, как врач снимает брекеты. Данная процедура в нашей клинике в Москве осуществляется поэтапно:

  1. Осмотр и подготовка ротовой полости. После снятия брекет-систем проводится профессиональная гигиена, удаляются возможные очаги кариеса на зубах, полируется эмаль.

  2. Установка. Предварительно ретенционное устройство изготавливается по индивидуальному слепку. Далее длительность и специфика процесса фиксации ретейнера зависит от типа ортодонтической пластинки.

Врач надевает съемный ретейнер на зубные единицы и дает рекомендации по дальнейшему применению и уходу. Несъемная конструкция фиксируется на зубах при помощи пломбировочного материала. Для достижения максимальной гладкости в местах крепления проволочной системы врач проводит полировку зубов.

Время использования ретенционных устройств на зубах в каждом случае индивидуально. Оно во многом зависит от клинической картины и достигнутого терапевтического эффекта. Период ношения ретейнеров определяет врач-ортодонт. Оптимально продолжительность этого периода рассчитывается, исходя из времени ношения брекетов, увеличенного в два раза. Также стоит учитывать, что в особо сложных клинических случаях специалист может рекомендовать постоянное ношение ретенционных пластин.

В качестве материала для изготовления ретейнеров на зубы чаще всего используется металлическая проволока, если речь идет о несъемных пластинах. Для съемных ретенционных систем в нашей клинике применяются акрил, пластмасса или силикон. Все используемые материалы экологически безопасны, гипоаллергенны и рассчитаны на длительное ношение.

Сроки ношения ретейнеров после брекетов

Ретейнеры носят вдвое дольше, чем шла коррекция. Если брекеты стояли 18 месяцев, ретенционный минимум составит 3 года. Продолжительность ретенционного периода зависит от трех факторов: сложности аномалии прикуса, длительности активного лечения на брекетах или элайнерах и возраста пациента. Большинство рецидивов случается у тех, кто снял ретейнер сам. Первые 2–3 месяца зубы стоят на месте — и кажется, что ничего страшного. Потом начинается медленное, равномерное смещение. Остановить его без повторного ортодонтического лечения уже нельзя.

Контрольные осмотры в ретенционный период: раз в 3 месяца в первый год, затем раз в 6 месяцев. Врач проверяет состояние ретейнера, положение зубов и при необходимости меняет режим ношения.

Подберем лучшее лечение

Приглашаем на бесплатную консультацию к ортодонту

  • Поставим правильный диагноз
  • Сделаем 3D-модель будущей улыбки
  • Предложим рассрочку

Запишитесь на бесплатную консультацию

Это бесплатно, безболезненно и очень полезно!

  • Сделаем 3D-модель улыбки;
  • Диагностируем что не так с прикусом;
  • Предоставим варианты лечения;

Консультация ничего не стоит и ни к чему вас
не обязывает.

Запишитесь на бесплатную консультацию

Совет врача

Ретейнер - это не «дополнение» к лечению. Это его продолжение, без которого всё сделанное может обнулиться. Я всегда объясняю пациентам: зубы не стоят на месте. Даже после идеального результата они стремятся вернуться - особенно в первые 6-12 месяцев после снятия брекетов или завершения курса элайнеров. 

Несъёмный ретейнер (тонкая проволочка с внутренней стороны) работает сам по себе, без вашего участия - это его главное преимущество. Съёмный - отличное дополнение на ночь. Раз в 6 месяцев проверяйте несъёмный ретейнер у врача: если один зуб «отцепился», фиксация потеряна и начнётся смещение. 

Не ждите болей или видимых изменений - приходите на плановый контроль.



Записаться на бесплатную консультацию
Дмитриева Елена Сергеевна
Дмитриева Елена Сергеевна
Ведущий ортодонт

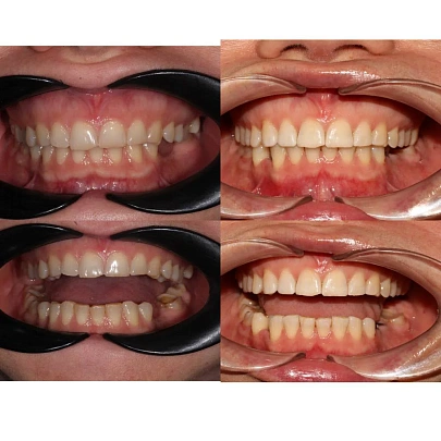
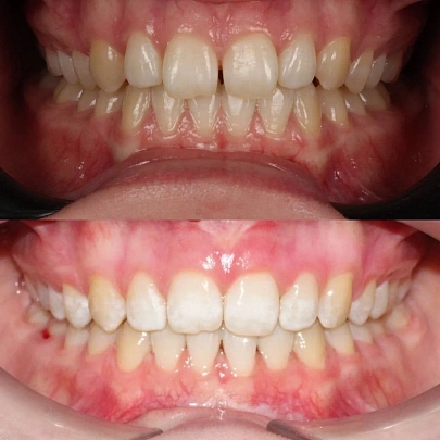
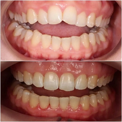
Результаты лечения

Скученность и сужение челюстей вылечили на брекетах всего за 15 месяцев
Лечим прикус на металлических брекетах H4 при сужении обеих челюстей за 25 месяцев
Исправление прикуса на брекетах за 28 месяцев перед протезированием

Стоимость установки ретейнеров

Подклейка несъемного ретейнера (1 зуб)
1 700 ₽
Фиксация несъемного ретейнера
10 500 ₽
Снятие несъемного ретейнера (1 челюсть)
3 500 ₽
Подклейка несъемного ретейнера установленного в сторонней клинике (1 зуб)
4 000 ₽

Вопросы и ответы

Сколько лет нужно носить ретейнеры после ортодонтического лечения?
Минимальный срок ношения ретейнеров составляет от 1 года, но многие ортодонты рекомендуют носить их как можно дольше, в идеале всю жизнь (особенно несъёмные). Зубы имеют тенденцию к смещению с возрастом, и ретейнер защищает от этого. Несъёмный ретейнер не ощущается и не мешает, поэтому его длительное ношение не вызывает дискомфорта.
Какой тип ретейнера лучше: съёмный или несъёмный?
Оба типа эффективны, но применяются в разных ситуациях. Несъёмный ретейнер (тонкая проволока на внутренней поверхности зубов) удобен тем, что работает постоянно и не требует от вас никаких действий. Съёмные капы надевают на ночь, их легко чистить, но нужна дисциплина. Часто мы рекомендуем комбинацию: несъёмный ретейнер на нижнюю челюсть и съёмную капу на верхнюю.
Обязательно ли носить ретейнеры после снятия брекетов?
Да, ретенционный период является обязательным этапом ортодонтического лечения. Без ретейнеров зубы постепенно вернутся в прежнее положение, и результат лечения будет потерян. Костная ткань после перемещения зубов ещё не полностью стабилизировалась и нуждается в поддержке. Ретейнеры фиксируют достигнутый результат и сохраняют вашу новую улыбку на долгие годы.

Как ухаживать за съемным ретейнером?
Съемный ретейнер необходимо чистить зубной щеткой и пастой после каждого использования. Хранить его следует в специальном контейнере.
Как ухаживать за несъемным ретейнером?
Необходимо тщательно чистить зубы, особенно в области ретейнера, используя зубную нить и ершики для удаления остатков пищи. Регулярно посещайте стоматолога для профессиональной чистки зубов и осмотра.
Может ли сломаться ретейнер?
Да, несъемный ретейнер может отклеиться от зуба или сломаться, а съемный - треснуть или деформироваться. В таких случаях необходимо немедленно обратиться к ортодонту для ремонта или замены.
Есть ли гарантия на ретейнеры для выравнивания зубов?
Установка ретейнера по выгодной цене в Москве доступна в клинике ПРОПРИКУС. Мы предоставляем гарантию 5 лет на на любые услуги, в том числе ортодонтическое лечение.
Что делать, если зубной ретейнер отклеился или сломался?

В случае, если несъемная скоба отпала или переломилась, следует обратиться к ортодонту. Он подклеит старый ретейнер или установит новый.

Постоянные металлические дуги не рекомендуют переклеивать часто. Для установки новой скобы необходимо очистить зубы от клея, который держал старую проволоку. В ходе шлифовки стоматолог снимает и небольшую часть эмали, истончая ее. Из-за этого возрастает риск проникновения бактерий и развития кариеса. Поэтому периодически нужно посещать ортодонта для контроля состояния ретейнера.

Нужно ли менять ретейнеры для зубов каждый месяц?

Несъемные ретейнеры после элайнеров или брекетов устанавливаются разово. Пациент носит их положенный срок — минимум 5 лет В некоторых случаях рекомендуют держать скобу всю жизнь.

Съемные конструкции также не предусматривают замену. В большинстве случаев их надевают только на ночь, поэтому они почти не изнашиваются.

Можно ли обойтись без ретейнеров?

За 1,5-2 года активного ортодонтического лечения костная ткань вокруг зубов перестраивается, за счет чего двигаются зубы. И если просто снять брекеты или элайнеры без фиксации ретейнеров, неокрепшая кость не сможет удержать зубы.

Поэтому применение несъемных проволочных ретейнеров и ночных ретенционных кап является обязательным условием стабильного результата.

В каком случае ставят ретейнеры?
Установка ретейнеров после брекетов или кап — завершающий этап исправления прикуса. После снятия коррекционных аппаратов зубы еще находятся в подвижном положении и без фиксации будут смещаться в изначальное положение.

Отзывы

Наши контакты

Клиника «Арбат»
Москва, ул. Большая Молчановка, 18
Метро Арбатская
Ежедневно с 9:00 до 21:00.
Клиника «Сокольники»
Москва, ул. Русаковская, 31 вход на 3-м этаже ТЦ "Сокольники"
Метро Сокольники
Ежедневно с 9:00 до 21:00.

Акции

Элайнеры по подписке
Элайнеры по подписке
  • 3D-диагностика и план лечения бесплатно
  • Рассрочка на весь срок лечения
  • Подарили уже 11000 улыбок за 8 лет
Подробнее
Лечение на брекетах за 10000 рублей
Лечение на брекетах за 10000 рублей
  • 3D-диагностика и план лечения бесплатно
  • Рассрочка на весь срок лечения
  • Официальные брекеты высокого качества
  • Подарили уже 11000 улыбок за 8 лет
Подробнее
Ваша карта москвича – ключ к здоровой улыбке
Ваша карта москвича – ключ к здоровой улыбке
  • Скидка до 30 000 руб. на брекеты и элайнеры.
  • Скидка до 10% на другие стоматологические услуги.

Это не первый взнос, а чистое уменьшение итоговой стоимости вашего лечения.

Лечение кариеса, профессиональная чистка, отбеливание - экономьте на всех услугах!

Просто покажите вашу карту администратору при расчете.

Подробнее
Бесплатная консультация ортодонта до конца месяца
Бесплатная консультация ортодонта до конца месяца
+ 3D сканирование в подарок
  • Точный диагноз
  • 3D-визуализация вашего будущего результата
  • Персональный план лечения
Абсолютно бесплатно! Без обязательств.
Подробнее
Приводи друзей! За рекомендацию другу до 20000 бонусов в подарок.
Приводи друзей! За рекомендацию другу до 20000 бонусов в подарок.

Приводи друзей! За рекомендацию другу до 20000 бонусов в подарок.

Другу начисление до 10000 бонусов в подарок.

Узнай подробности у менеджера.

Подробнее
Фотосессия за виниры*
Фотосессия за виниры*
Ослепительная фотосессия от #ПРОПРИКУС в подарок!
Подробнее

Другие услуги

Элайнеры Click Aligners
Элайнеры Click Aligners
Элайнеры Click Aligners нового поколения от российского производителя, разработанные ведущими ортодонтами. Протоколы лечения на элайнерах Click помогают точно спланировать перемещение зубов.
Подробнее
Установка элайнеров
Установка элайнеров
Элайнеры – это прозрачные капы из тонкого медицинского пластика мягко и точно перемещают зубы в нужное положение.
Подробнее
Элайнеры для детей
Элайнеры для детей
Элайнеры для детей - эффективный и безопасный способ создания идеальной улыбки.
Подробнее
Консультация ортодонта
Консультация ортодонта
Каждый пациент заинтересован, чтобы его лечил лучший ортодонт. Во время осмотра понаблюдайте, комфортно ли вам находиться рядом с врачом.
Подробнее
Установка брекетов
Установка брекетов
Брекеты позволяют избавиться от скученности, устранить межзубные промежутки и получить ровные зубы. Длительность и стоимость терапии зависят от клинической картины.
Подробнее
Брекеты для детей
Брекеты для детей
Детский брекет – это несъемная конструкция, которую врач-ортодонт ставит на зубы ребенку для их постепенного перемещения и исправление прикуса.
Подробнее
Металлические брекеты
Металлические брекеты
Металлические брекеты, несмотря на то, что выделяются, полностью компенсируют данный ньюанс высокой эффективностью и точностью перемещения зубов.
Подробнее
Керамические брекеты
Керамические брекеты
Керамические брекеты — современное решение в ортодонтии, сочетающее эффективность коррекции прикуса с высокой эстетикой.
Подробнее
Сапфировые брекеты
Сапфировые брекеты
Сапфировые брекеты — ортодонтическая система с замками из монокристаллического оксида алюминия. Подходят взрослым и подросткам, которым важен эстетичный вид во время лечения.
Подробнее
Безлигатурные (самолигирующие) брекеты
Безлигатурные (самолигирующие) брекеты
Безлигатурные (самолигирующие) брекеты — это системы, в которых дуга фиксируется в замке без помощи специальных лигатур. Они имеют ряд плюсов по сравнению с другими системами.
Подробнее
Брекеты Damon
Брекеты Damon
Брекеты Даймон – безлигатурные системы нового поколения, с помощью которых можно качественно выровнять зубной ряд и откорректировать прикус.
Подробнее
Брекеты Damon Q
Брекеты Damon Q
Брекет-система Damon Q — эстетичные саморегулирующие металлические брекеты, популярные, эстетичные и самые современные самолигирующие металлические брекеты от американского бренда ORMCO.
Подробнее
Брекеты Damon Clear
Брекеты Damon Clear
Ортодонтические конструкции Damon разработаны специалистами американской компании Ormco, имеющей все необходимые лицензии для обеспечения качества и безопасности лечения.
Подробнее
Консультация детского ортодонта
Консультация детского ортодонта
Выбор врача юному пациенту — важный шаг в лечении. Специалист должен выстроить с детьми доверительные отношения, создать уютную атмосферу во время приема.
Подробнее
Брекеты на нижнюю челюсть
Брекеты на нижнюю челюсть
Ортодонтическое лечение брекет-системами дает хорошие результаты в исправлении прикуса, улучшая эстетику улыбки и жевательную функцию.
Подробнее
Брекеты на верхнюю челюсть
Брекеты на верхнюю челюсть
Верхние зубы далеки от идеала – в голове почти сразу возникает мысль о брекетах.
Подробнее
Аппарат Хаас
Аппарат Хаас
Аппарат Хааса – это знаковая разработка в детской ортодонтии, получившая имя своего создателя, немецкого врача Э. Хааса, и впоследствии усовершенствованная итальянским специалистом Марко Росса
Подробнее

Полезная информация

Капы и глубокий прикус
Капы и глубокий прикус
Исправить глубокий прикус у взрослых можно брекетами или элайнерами (прозрачными капами) — в большинстве случаев без хирургии. Метод подбирается индивидуально после диагностики: ключевой критерий — глубина перекрытия и наличие скелетной аномалии.
Виды прикуса
Виды прикуса
Прикус бывает правильный и неправильный. И отличия не столько в эстетике, сколько в функциональности зубочелюстной системы. Если она нарушена, значит, речь идет о патологических видах прикуса, при которых ортодонтическое лечение – необходимость.
Стерильность в клинике ПРОПРИКУС
Стерильность в клинике ПРОПРИКУС
Безопасность пациента – наш приоритет. Поэтому соблюдению стерильности в нашей клинике уделяется максимум внимания.
Страхи или реальность?
Страхи или реальность?
Кто же в детстве не боялся бормашины! Шумно, больно, непонятно… И несмотря на то, что современная стоматологическая аппаратура выглядит не такой пугающей, страх лечить зубы до сих пор существует. Причем одолевает он не только детей, но и многих взрослых. Как с ним справляться? Да и надо ли?
Керамические или сапфировые брекеты: какие лучше выбрать
Керамические или сапфировые брекеты: какие лучше выбрать
Керамические и сапфировые брекеты — два вида эстетических несъёмных систем для исправления прикуса. Оба незаметны на зубах, не дают аллергии и работают по одному принципу. Но материал, из которого сделаны замочки, определяет разницу в прозрачности, поведении дуги в пазу и сроках лечения. Разбираемся, чем именно отличаются эти системы и в какой ситуации каждая из них подходит лучше.
Брекеты при скученности зубов
Брекеты при скученности зубов
Дьячкова Инна Владимировна, врач-ортодонт ПРОПРИКУС, разбирает: как степень дефицита места определяет тактику лечения, в каких случаях удаления зубов можно избежать, чем отличаются типы брекет-систем при разной тяжести скученности и почему без ретейнера результат не держится.
Вестибулярные брекеты: виды, установка и сроки лечения
Вестибулярные брекеты: виды, установка и сроки лечения
Вестибулярные брекеты — самая распространённая ортодонтическая система в мире. В этой статье разберём, как устроена конструкция, какие бывают виды по материалу и типу фиксации, кому подходит лечение и сколько оно стоит.
Лингвальные брекеты: что это, как работают и сколько стоит лечение
Лингвальные брекеты: что это, как работают и сколько стоит лечение
Лингвальные брекеты — это внутренние брекет-системы, которые крепятся к зубам со стороны языка и абсолютно невидимы при разговоре и улыбке. В статье разбираем, кому они подходят, как проходит установка, сколько длится адаптация и почему их цена выше, чем у классических вестибулярных систем. Также сравниваем лингвальные брекеты с элайнерами и отвечаем на три самых популярных вопроса пациентов.
Отклеился ретейнер: что делать, насколько это опасно?
Отклеился ретейнер: что делать, насколько это опасно?
Ретейнер отклеился — ситуация неприятная, но не катастрофическая, если действовать быстро. Даже частичное отклеивание с одного зуба требует визита к ортодонту: проволока, потерявшая фиксацию, не удерживает зубы и может травмировать десну.
Съёмный ретейнер для зубов
Съёмный ретейнер для зубов
Съёмный ретейнер — финальный и самый долгий этап ортодонтического лечения. Без него результат, достигнутый брекетами или элайнерами, постепенно сходит на нет. Зубы возвращаются к исходному положению.
20
1252
/uslugi/ortodontiya/ustanovka-reteynerov/
50
2000
comment@vnikuda.ru
/bitrix/components/ktoto/comments

Оставить комментарий


Екатерина
05 июля 2025
Если у ребенка уже были ретейнеры, и они слетели, можно установить такие же заново? Или нужно проходить какую-то новую процедуру?
Стоматология "ПРОПРИКУС"
05 августа 2025
Добрый день. Если ретейнеры слетели, то, скорее всего, потребуется установка новых. В зависимости от того, как долго они были установлены и не произошло ли смещения зубов, может потребоваться небольшая коррекция или даже снятие слепков заново. Лучше всего записаться на осмотр, чтобы врач оценил состояние зубов.
Натали Костюкова
25 июля 2025
Доброе утро. Я прочитала в статье, что ретейнеры бывают съемные и несъемные. Какой вариант лучше подойдет для ребенка?
Стоматология "ПРОПРИКУС"
26 июля 2025
Добрый день. Выбор между съемными и несъемными ретейнерами зависит от конкретной клинической ситуации, рекомендованной ортодонтом. Несъемные ретейнеры обеспечивают постоянную поддержку. Съемные капы более удобны для гигиены, но требуют для ребенка непрерывного соблюдения курса лечения.
Владислав Е
31 июля 2025
Сыну поставили несъемные ретейнеры, и теперь зубы стали более чувствительными. Это нормально?
Стоматология "ПРОПРИКУС"
06 августа 2025
Здравствуйте. Небольшая чувствительность в первое время после установки несъемных ретейнеров является нормальным.
Света Каширская
30 ноября 2025
Хочу поделиться опытом! Носила брекеты 1,5 года, потом 4 года с ретейнером — и вот решила его снять, потому что надоело. Врач предупреждал, но я не послушала. Через полгода передние зубы снизу начали расходиться! Пришлось снова надевать капы на ночь. Так что всем советую: не снимайте ретейнеры раньше времени, даже если кажется, что всё уже стабильно!
Стоматология "ПРОПРИКУС"
05 декабря 2025
Светлана, спасибо, что поделились своим опытом! Ваш случай — наглядный пример того, почему мы рекомендуем носить ретейнеры максимально долго. Зубы имеют тенденцию возвращаться в прежнее положение, особенно передние нижние — они наиболее склонны к смещению. Хорошо, что вы вовремя заметили изменения и начали носить капы. Надеемся, ваш опыт поможет другим пациентам серьёзнее отнестись к ретенционному периоду. Здоровья вам и красивой улыбки!
Юлия
22 декабря 2025
Добрый вечер! Мне установили комбинированные ретейнеры: несъёмный на нижнюю челюсть и съёмную капу на верхнюю. Капу нужно носить только ночью. Но я иногда забываю её надеть — может, раз в неделю пропускаю. Это критично? Зубы не разъедутся?
Стоматология "ПРОПРИКУС"
24 декабря 2025
Юлия, здравствуйте! Редкие пропуски (1–2 раза в неделю) в первые месяцы после снятия брекетов нежелательны, так как зубы ещё нестабильны. Однако если вы носите ретейнеры уже более полугода и пропускаете изредка — критичных последствий быть не должно. Главное — не допускать систематических пропусков. Если заметите, что капа стала надеваться туго или с дискомфортом — это сигнал, что зубы начали смещаться. В таком случае сразу обратитесь к ортодонту для коррекции.
Ольга
23 декабря 2025
Добрый день! Сняла брекеты месяц назад, установили несъёмный ретейнер на нижнюю челюсть. Первую неделю язык постоянно цеплялся за проволоку, было очень неприятно. Сейчас уже привыкла, но переживаю — это нормально, что проволока немного ощущается? Или она должна быть полностью незаметной?
Стоматология "ПРОПРИКУС"
09 января 2026
Здравствуйте, Ольга! То, что вы описываете — абсолютно нормальная адаптация. В первые 1–2 недели язык действительно может цепляться за ретейнер, но постепенно привыкает и перестаёт его замечать. Проволока очень тонкая, однако полностью «исчезнуть» она не может — лёгкое ощущение при прикосновении языком будет сохраняться. Главное, чтобы ретейнер не царапал, не натирал и не вызывал болезненных ощущений. Если всё комфортно — значит, всё в порядке.
Максим
30 декабря 2025
Здравствуйте. Ношу ретейнер уже 3 года после брекетов. Врач говорит, что нужно носить дальше. Неужели это на всю жизнь? Честно говоря, устал от постоянных ограничений. Когда уже можно будет снять?
Стоматология "ПРОПРИКУС"
31 декабря 2025
Максим, здравствуйте! Понимаем ваше желание завершить ретенционный период, но именно ретейнер гарантирует, что зубы останутся в идеальном положении. Костная ткань и связки имеют «память» и могут возвращать зубы в прежнее положение даже спустя годы. Многие ортодонты рекомендуют носить несъёмный ретейнер максимально долго — в идеале всю жизнь. При этом он не требует особых ограничений: достаточно качественной гигиены и регулярных осмотров. Если ретейнер вас не беспокоит, лучше оставить его как страховку вашей улыбки.
Игорь
04 января 2026
Добрый день. Ношу съёмный ретейнер (капу) на ночь уже полгода. Заметил, что на ней появился белый налёт, который сложно отчистить обычной щёткой. Чем лучше чистить капу? Может, есть специальные средства?
Стоматология "ПРОПРИКУС"
05 января 2026
Игорь, здравствуйте! Белый налёт на капе — это минеральные отложения, которые накапливаются со временем. Для ежедневной чистки используйте мягкую зубную щётку и неабразивную пасту или жидкое мыло. Раз в неделю рекомендуем замачивать капу в специальном растворе для очистки ортодонтических конструкций — такие таблетки продаются в аптеках. Также можно использовать раствор с содой или специальные ультразвуковые ванночки. Не используйте горячую воду — она может деформировать пластик.
Юля Данилова
06 января 2026
Добрый день! У меня вопрос по стоимости. Ретейнеры входят в цену лечения на брекетах «под ключ» или оплачиваются отдельно? И сколько примерно стоит переустановка, если ретейнер сломается через пару лет?
Стоматология "ПРОПРИКУС"
10 января 2026
Юлия, здравствуйте! В нашей клинике стоимость ретейнеров, как правило, включена в пакет лечения «под ключ» — это касается первичной установки после снятия брекетов или элайнеров. Если ретейнер отклеится или сломается в течение гарантийного периода (5 лет), переустановка выполняется бесплатно. После истечения гарантии стоимость зависит от типа конструкции и объёма работы. Точную цену для вашего случая рассчитает администратор на консультации.
Дмитрий
10 января 2026
Вчера заметил, что несъёмный ретейнер отклеился с одной стороны — проволока болтается. Зубы пока на месте. Насколько срочно нужно к врачу? Можно подождать до конца недели или бежать завтра?
Стоматология "ПРОПРИКУС"
11 января 2026
Дмитрий, здравствуйте! Рекомендуем обратиться как можно скорее — желательно в течение 1–2 дней. Пока ретейнер не зафиксирован, зубы могут начать смещаться, особенно если после снятия брекетов прошло менее года. Чем быстрее подклеите, тем меньше риск потерять достигнутый результат. До визита старайтесь не нагружать эту зону при жевании и аккуратно чистите зубы, чтобы не зацепить проволоку.
Елена
13 января 2026
Здравствуйте! Дочке 15 лет, скоро снимают брекеты. Ортодонт предложил на выбор съёмный или несъёмный ретейнер. Какой лучше для подростка? Боюсь, что съёмный она будет забывать носить, а несъёмный сложнее чистить.
Стоматология "ПРОПРИКУС"
13 января 2026
Елена, здравствуйте! Ваши опасения понятны, и оба варианта имеют свои плюсы. Для подростков мы чаще рекомендуем несъёмный ретейнер именно потому, что он работает постоянно и не зависит от дисциплины. Да, гигиена требует чуть больше внимания: нужны ёршики или ирригатор для очистки под проволокой. Но это быстро входит в привычку. Съёмные капы хороши как дополнение — например, на ночь на верхнюю челюсть. Оптимальный вариант для вашей дочери подберёт ортодонт с учётом особенностей её случая.
Алексей Рудаков
18 января 2026
Здравствуйте. Мне сняли брекеты 5 лет назад, всё это время ношу несъёмный ретейнер. Недавно делал чистку, и гигиенист сказала, что под проволокой начал образовываться камень. Это опасно? Может, лучше снять ретейнер совсем?
Стоматология "ПРОПРИКУС"
18 января 2026
Алексей, здравствуйте! Образование камня под ретейнером — распространённая проблема при недостаточной гигиене в этой зоне. Это не повод снимать ретейнер, но сигнал усилить уход: используйте ёршики, зубную нить с жёстким кончиком (суперфлосс) или ирригатор для очистки пространства под проволокой. Профессиональную чистку с ретейнером рекомендуем проводить каждые 4–6 месяцев. Если камень образуется слишком быстро, ортодонт может предложить заменить проволочный ретейнер на съёмную капу.
Марина
19 января 2026
Всем привет! Сняла элайнеры 2 месяца назад, ношу ретейнеры. Заметила, что один зуб на нижней челюсти как будто немного сдвинулся — или мне кажется? Ретейнер на месте, не отклеивался. Такое возможно?
Стоматология "ПРОПРИКУС"
21 января 2026
Марина, здравствуйте! Небольшие микродвижения зубов в ретенционный период возможны, особенно в первые месяцы. Однако если вы визуально замечаете смещение — это повод для осмотра у ортодонта. Возможно, ретейнер установлен не на все зубы, которые склонны к движению, или требуется дополнительная фиксация. Также причиной может быть ночное скрежетание зубами (бруксизм). Не откладывайте визит — чем раньше выявим причину, тем проще скорректировать ситуацию.
Оставьте заявку на запись на бесплатную консультацию ортодонта
В консультацию входит 3D-диагностика, визуализация вашей новой улыбки, индивидуальный план лечения, расчёт стоимости «под ключ».
Нажимая на кнопку «Бесплатная консультация», вы соглашаетесь с политикой конфиденциальности.
Оставьте заявку на запись на бесплатную консультацию ортодонта