Консультация ортодонта

Консультация ортодонта

Бесплатная консультация ортодонта до конца месяца.

  • 3D-диагностика в подарок
  • Расскажем какой способ выравнивания подходит именно вам
  • Составим план лечения
  • Рассчитем точную стоимость сразу без скрытых переплат
3383
Время на прочтение: 5 мин.
Консультация ортодонта
Куканова Алена Витальевна
Информация проверена экспертом клиники ПРОПРИКУС
Стоматолог - ортодонт
Стаж более 5 лет
★★★★★ 4.9

Неправильный прикус — проблема не только эстетическая. Кривые зубы доставляют трудности при гигиене полости рта, влияют на работу ЖКТ, симметрию лица. Своевременная диагностика дефектов ускорит решение проблемы. Чем раньше удается обнаружить патологию, тем легче она поддается корректировке.

Что делает стоматолог-ортодонт?

Специализируется на устранении аномалий окклюзии зубных рядов. Его задача — выявить причину неправильного прикуса, восстановить функционал жевательной системы и красоту улыбки.

В сети ортодонтических клиник ПРОПРИКУС прием ведут квалифицированные стоматологи. Бесплатная консультация ортодонта в нашей клинике позволит избежать осложнений.

Показания и противопоказания к посещению врача-ортодонта

Показания

  • Видимая скученность, неровность зубов или межзубные промежутки
  • Любые нарушения прикуса (глубокий, открытый, дистальный, мезиальный, перекрёстный)
  • Щелчки, боли или дискомфорт в области ВНЧС
  • Жалобы на затруднённое жевание или боль при жевании
  • Стираемость зубов, трещины на эмали
  • Нарушения дикции и дыхания
  • Желание улучшить эстетику улыбки перед протезированием или имплантацией
  • Плановый осмотр ребёнка в возрасте 6–7 лет для оценки формирования прикуса

Противопоказания

  • Острые воспалительные заболевания полости рта — консультацию лучше перенести до устранения острого состояния
  • Общее инфекционное заболевание в острой стадии (ОРВИ, грипп)
  • Тяжёлое общее состояние пациента, при котором невозможен осмотр

Как проходит первичный осмотр ортодонта

На первой консультации в нашей клинике вы познакомитесь с врачом, расскажете о своих симптомах, предпочтениях в методах коррекции. Врач оценит состояние полости рта пациента.

Важно рассказать доктору о наличии сопутствующих заболеваний, хронических патологиях. Чтобы составить план ортодонтического лечения, доктор предложит пройти диагностику. Все процедуры можно пройти на базе нашей клиники.

Стандартная диагностика состоит из:

  • рентгенологического исследования;
  • панорамного снимка ОПТГ;
  • при необходимости, компьютерной томографии;
  • снятия слепков челюстей или 3D-сканирования;
  • фотопротокола;
  • аксиографии.

Уже на первом приеме врач-ортодонт может порекомендовать метод коррекции. Совместно с пациентом доктор обсуждает тактику, длительность коррекции, ее стоимость.

Наши врачи используют лингвальные, вестибулярные модели брекетов, сапфировые, керамические, металлические системы. Элайнеры — съемные капы из полимерного материала. Перед установкой элайнеров доктор проводит 3D-моделирование будущей улыбки. Уже на консультации с помощью программы Digital Smile Design вы увидите, как будут выглядеть ваши зубы.

Чтобы начать лечение, нужно записаться на прием к ортодонту. Сделать это можно по телефону или на сайте.

Повторный прием

Доктор снимает слепки зубных дуг, передает их в лабораторию к зубному технику. Он изготовит брекеты или элайнеры.

Врач будет вести фотопротокол на протяжении всего лечения, чтобы проследить движение зубных единиц. Пациенту необходимо раз в несколько недель приходить на прием к ортодонту: врач будет регулировать нагрузку, наблюдать изменения прикуса при элайнерах.

Услуги ортодонта в Москве

  • Первичный осмотр: постановка диагноза, диагностика, составление плана лечения.
  • Установка брекет-систем: вестибулярный и лингвальных, саморегулирующих и лигатурных, металлических, керамических, сапфировых и комбинированных конструкций.
  • Коррекция расположения зубов с помощью съемных прозрачных кап — элайнеров.
  • Проведение регулярных контрольных осмотров и коррекции.
  • Фиксация ретейнеров, ретенционных кап на завершающем этапе лечения.
  • Устранение деформаций челюстно-лицевой области.
  • Исправление дисфункции височно-нижнечелюстного сустава.
  • Синус-лифтинг — наращивание костной ткани челюсти.

Запись на бесплатный прием стоматолога-ортодонта в Москве

Частный ортодонт ПРОПРИКУС тщательно исследует вашу проблему и предложит варианты ее устранения. Запись на прием — первый шаг к исправлению проблемы.

Стоматологи в клинике ПРОПРИКУС помогают пациентам с самыми тяжелыми деформациями. Наш ортодонт в Москве проводит лечение дистального, мезиального, открытого, глубокого прикусов.

Преимущества консультации ортодонта в ПРОПРИКУС

  • Комплексность. Услуги под ключ, с участием всех специалистов клиники. Вы приходите на одну консультацию, а получаете комплекс лечения по всем направлениям.
  • Безопасность. Стоматологические технологии развиваются, и мы не отстаем. За последний год поменяли 40% всего оборудования.
  • Экспертиза. ПРОПРИКУС — единственная клиника, которая берется за сложные проблемы прикуса на элайнерах и проводит нейромышечную диагностику.
  • Гарантия. ПРОПРИКУС дает гарантию до 5 лет на все процедуры в клинике.

Подберем лучшее лечение

Приглашаем на бесплатную консультацию к ортодонту

  • Поставим правильный диагноз
  • Сделаем 3D-модель будущей улыбки
  • Предложим рассрочку

Запишитесь на бесплатную консультацию

Это бесплатно, безболезненно и очень полезно!

  • Сделаем 3D-модель улыбки;
  • Диагностируем что не так с прикусом;
  • Предоставим варианты лечения;

Консультация ничего не стоит и ни к чему вас
не обязывает.

Запишитесь на бесплатную консультацию

Совет врача

Первый визит к детскому ортодонту я рекомендую в 6-7 лет - это не значит, что сразу начнётся лечение. Это означает, что мы увидим, как формируется прикус, и при необходимости направим процесс в правильное русло малоинвазивными методами.

В своей работе я уделяю особое внимание функции: как ребёнок дышит, жуёт, глотает, есть ли напряжение в мышцах. Эти факторы формируют прикус не меньше, чем генетика. Родителям хочу сказать главное: не откладывайте визит из страха перед «ранним лечением». Наоборот - чем раньше мы видим проблему, тем меньше потребуется вмешательства в будущем.

Консультация никого ни к чему не обязывает, зато даёт вам полную картину.
Записаться на бесплатную консультацию
Куканова Алена Витальевна
Куканова Алена Витальевна
Стоматолог - ортодонт

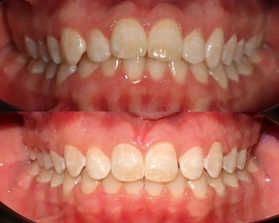
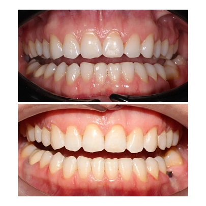
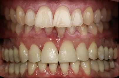
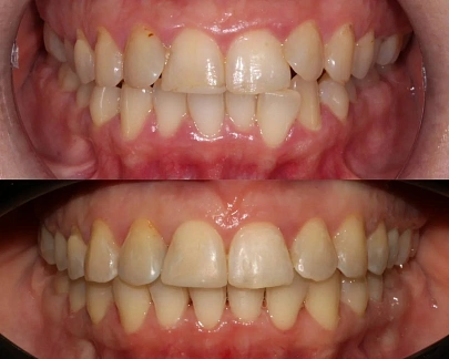
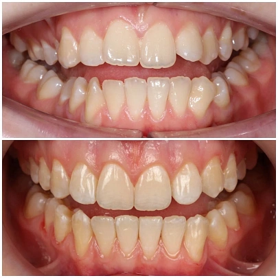
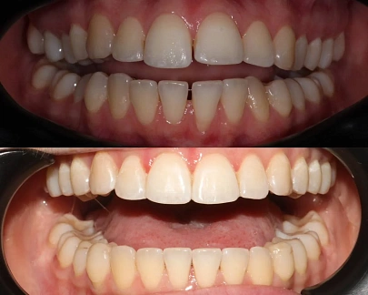
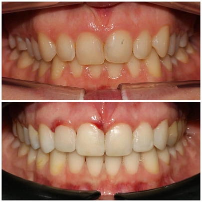
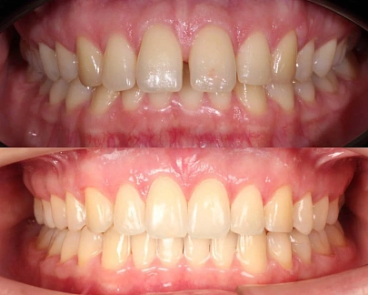
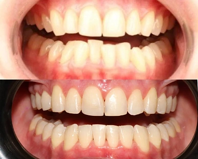
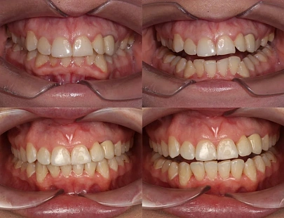
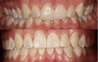
Результаты лечения

Лечение скученности и неправильного прикуса на элайнерах 3D Smile
Лечение неправильного прикуса зубов на элайнерах Click Aligners за 23 месяца
Лечение неправильного положения зубов на брекет-системе за 14 месяцев
Стираемость зубов, отсутствующий зуб и неправильный прикус — лечение на элайнерах Spark + имплантация
Лечение неправильного прикуса на элайнерах Click Aligners
Неправильный прикус — лечение на элайнерах Spark
Неправильный прикус и положение зубов — лечение на элайнерах 3D Smile
70 кап без единого дозаказа — сложный случай на элайнерах Spark за 3,5 года
Скученность, глубокий прикус и старые коронки — лечение на элайнерах Click Aligners
Неровные зубы и нарушение прикуса — лечение на элайнерах 3D Smile
Скученность, сужение челюстей и открытый прикус — лечение на элайнерах Click за 9 месяцев
Выровняли и подготовили к реставрации зубы на керамических брекетах Damon за 14 месяцев
Комплексный подход в лечении прикуса на элайнерах 3D Smile
Скученность зубов — выравнивание зубов на элайнерах Click Aligners
Лечение на элайнерах 3D Smile — выровняли зубы и исправили смыкание
Лечение прикуса на элайнерах Invisalign — от неправильного прикуса к ровной улыбке
Сужение челюстей, выступающие резцы и скученность — 81 капа на элайнерах Spark
Исправили неправильный прикус на элайнерах Star Smile за 25 месяцев
Устранили скученность и тесное положение зубов на элайнерах Sparks
Ортодонтическое лечение зубов на брекет-системе Damon

Стоимость консультации ортодонта

Первичная консультация и диагностика
Бесплатно
Консультация главного врача-ортодонта
5 500 ₽
Консультация завотделением ортодонтии
4 500 ₽

Вопросы и ответы

Можно ли на консультации сразу узнать точную стоимость лечения?
Да, после осмотра и диагностики мы рассчитываем стоимость лечения «под ключ», которая фиксируется и не меняется в процессе. В неё входят все этапы: установка системы, контрольные визиты, активации, снятие и установка ретейнеров. Вы сразу понимаете полную сумму и можете оформить беспроцентную рассрочку при необходимости.
Нужно ли как-то готовиться к консультации ортодонта?*
Специальной подготовки не требуется. Если у вас есть свежие рентгеновские снимки или результаты предыдущих обследований, возьмите их с собой. Также полезно заранее подумать о своих пожеланиях и вопросах: какой результат вы хотите получить, есть ли предпочтения по типу системы, важна ли вам эстетика во время лечения. Это поможет врачу подобрать оптимальный вариант.
Что входит в первичную консультацию ортодонта в вашей клинике?
На первичной консультации мы проводим осмотр полости рта, оцениваем состояние зубов и прикуса, делаем 3D сканирование и обсуждаем ваши пожелания. Вы увидите виртуальную модель будущей улыбки и получите предварительный план лечения с расчётом стоимости. Консультация занимает около 30 40 минут. Это позволяет вам принять взвешенное решение.
Какие вопросы можно задать ортодонту на консультации?
На консультации у вас будет возможность обсудить любые вопросы, связанные с вашим случаем, включая доступные методы лечения, их продолжительность, стоимость, возможные альтернативы и ожидаемые результаты.

Как долго длится консультация?
Средняя продолжительность первичной консультации — 30-45 минут. Этого времени достаточно для осмотра, обсуждения проблемы и вариантов ее решения.
Когда нужно обращаться к ортодонту?
Обращаться к ортодонту рекомендуется:



1. В детском возрасте (с 6-7 лет) для оценки правильности формирования прикуса и своевременного выявления проблем.

2. При наличии видимых нарушений прикуса, таких как скученность зубов, промежутки между зубами, неправильное смыкание челюстей.

3. При наличии дискомфорта при жевании или разговоре.

4. При наличии проблем с височно-нижнечелюстным суставом (ВНЧС).



Какие процедуры делает врач-ортодонт?
  • Московский ортодонт ПРОПРИКУС помогает исправить врожденные, приобретенные изъяны прикуса у пациентов любого возраста.
  • Устанавливает брекеты и элайнеры — коррекционные системы, выравнивающие положение зубов.
  • Назначает и фиксирует ретенционные конструкции (капы и ретейнеры) после снятия брекетов или элайнеров.
Что нужно сделать перед тем, как идти к ортодонту?
  • Выбирая врача, следует изучить информацию о его опыте, просмотреть результаты выполненных работ. Так вы убедитесь в его навыках.
  • Если вы отправляетесь на консультацию впервые, соберите информацию о хронических заболеваниях, ранее излеченных или обнаруженных патологиях зубочелюстной системы. Эта информация важна врачу.
  • Почистите зубы перед приемом, чтобы удалить все остатки пищи и налет.
  • Подготовьте список вопросов, которые вы бы хотели задать доктору.
Что смотрит стоматолог-ортодонт?
На приеме врач оценит пропорции лица, симметрию, форму и размер челюстей, расположение губ и языка. Особенно тщательно осматривает зубы и десны. Проверяет наличие кариеса, пародонтита. Выявляет неправильное смыкание зубов, их неверное положение. Проверяет функционирование височно-нижнечелюстного сустава. К стоматологу-ортодонту стоит записаться сразу после обнаружения признаков патологии прикуса.
Какие заболевания лечит стоматолог-ортодонт?

Записаться к ортодонту на консультацию стоит, если:

  • ваша эмаль быстро стирается, на ней образуются трещины;
  • верхние зубы заметно выходят вперед — дистальный прикус;
  • подвижная челюсть выступает перед верхней — мезиальный;
  • есть промежутки между зубными элементами — диастемы и тремы;
  • скученность зубов;
  • верхние резцы сильно перекрывают нижние — глубокий прикус;
  • между челюстями в районе резцов образовалась щель — открытый;
  • верхние зубы перекрывают нижние и наоборот — перекрестный;
  • щелкает челюсть в области сустава — дефект ВНЧС;
  • есть нарушения дикции, дыхания, жевательной функции.

Отзывы

Наши контакты

Клиника «Арбат»
Москва, ул. Большая Молчановка, 18
Метро Арбатская
Ежедневно с 9:00 до 21:00.
Клиника «Сокольники»
Москва, ул. Русаковская, 31 вход на 3-м этаже ТЦ "Сокольники"
Метро Сокольники
Ежедневно с 9:00 до 21:00.

Акции

Элайнеры по подписке
Элайнеры по подписке
  • 3D-диагностика и план лечения бесплатно
  • Рассрочка на весь срок лечения
  • Подарили уже 11000 улыбок за 8 лет
Подробнее
Лечение на брекетах за 10000 рублей
Лечение на брекетах за 10000 рублей
  • 3D-диагностика и план лечения бесплатно
  • Рассрочка на весь срок лечения
  • Официальные брекеты высокого качества
  • Подарили уже 11000 улыбок за 8 лет
Подробнее
Ваша карта москвича – ключ к здоровой улыбке
Ваша карта москвича – ключ к здоровой улыбке
  • Скидка до 30 000 руб. на брекеты и элайнеры.
  • Скидка до 10% на другие стоматологические услуги.

Это не первый взнос, а чистое уменьшение итоговой стоимости вашего лечения.

Лечение кариеса, профессиональная чистка, отбеливание - экономьте на всех услугах!

Просто покажите вашу карту администратору при расчете.

Подробнее
Бесплатная консультация ортодонта до конца месяца
Бесплатная консультация ортодонта до конца месяца
+ 3D сканирование в подарок
  • Точный диагноз
  • 3D-визуализация вашего будущего результата
  • Персональный план лечения
Абсолютно бесплатно! Без обязательств.
Подробнее
Приводи друзей! За рекомендацию другу до 20000 бонусов в подарок.
Приводи друзей! За рекомендацию другу до 20000 бонусов в подарок.

Приводи друзей! За рекомендацию другу до 20000 бонусов в подарок.

Другу начисление до 10000 бонусов в подарок.

Узнай подробности у менеджера.

Подробнее
Фотосессия за виниры*
Фотосессия за виниры*
Ослепительная фотосессия от #ПРОПРИКУС в подарок!
Подробнее

Другие услуги

Элайнеры Click Aligners
Элайнеры Click Aligners
Элайнеры Click Aligners нового поколения от российского производителя, разработанные ведущими ортодонтами. Протоколы лечения на элайнерах Click помогают точно спланировать перемещение зубов.
Подробнее
Установка элайнеров
Установка элайнеров
Элайнеры – это прозрачные капы из тонкого медицинского пластика мягко и точно перемещают зубы в нужное положение.
Подробнее
Элайнеры для детей
Элайнеры для детей
Элайнеры для детей - эффективный и безопасный способ создания идеальной улыбки.
Подробнее
Установка ретейнеров
Установка ретейнеров
Ретейнер — это ортодонтическая конструкция, которую устанавливают сразу после снятия брекетов.
Подробнее
Установка брекетов
Установка брекетов
Брекеты позволяют избавиться от скученности, устранить межзубные промежутки и получить ровные зубы. Длительность и стоимость терапии зависят от клинической картины.
Подробнее
Брекеты для детей
Брекеты для детей
Детский брекет – это несъемная конструкция, которую врач-ортодонт ставит на зубы ребенку для их постепенного перемещения и исправление прикуса.
Подробнее
Металлические брекеты
Металлические брекеты
Металлические брекеты, несмотря на то, что выделяются, полностью компенсируют данный ньюанс высокой эффективностью и точностью перемещения зубов.
Подробнее
Керамические брекеты
Керамические брекеты
Керамические брекеты — современное решение в ортодонтии, сочетающее эффективность коррекции прикуса с высокой эстетикой.
Подробнее
Сапфировые брекеты
Сапфировые брекеты
Сапфировые брекеты — ортодонтическая система с замками из монокристаллического оксида алюминия. Подходят взрослым и подросткам, которым важен эстетичный вид во время лечения.
Подробнее
Безлигатурные (самолигирующие) брекеты
Безлигатурные (самолигирующие) брекеты
Безлигатурные (самолигирующие) брекеты — это системы, в которых дуга фиксируется в замке без помощи специальных лигатур. Они имеют ряд плюсов по сравнению с другими системами.
Подробнее
Брекеты Damon
Брекеты Damon
Брекеты Даймон – безлигатурные системы нового поколения, с помощью которых можно качественно выровнять зубной ряд и откорректировать прикус.
Подробнее
Брекеты Damon Q
Брекеты Damon Q
Брекет-система Damon Q — эстетичные саморегулирующие металлические брекеты, популярные, эстетичные и самые современные самолигирующие металлические брекеты от американского бренда ORMCO.
Подробнее
Брекеты Damon Clear
Брекеты Damon Clear
Ортодонтические конструкции Damon разработаны специалистами американской компании Ormco, имеющей все необходимые лицензии для обеспечения качества и безопасности лечения.
Подробнее
Консультация детского ортодонта
Консультация детского ортодонта
Выбор врача юному пациенту — важный шаг в лечении. Специалист должен выстроить с детьми доверительные отношения, создать уютную атмосферу во время приема.
Подробнее
Брекеты на нижнюю челюсть
Брекеты на нижнюю челюсть
Ортодонтическое лечение брекет-системами дает хорошие результаты в исправлении прикуса, улучшая эстетику улыбки и жевательную функцию.
Подробнее
Брекеты на верхнюю челюсть
Брекеты на верхнюю челюсть
Верхние зубы далеки от идеала – в голове почти сразу возникает мысль о брекетах.
Подробнее
Аппарат Хаас
Аппарат Хаас
Аппарат Хааса – это знаковая разработка в детской ортодонтии, получившая имя своего создателя, немецкого врача Э. Хааса, и впоследствии усовершенствованная итальянским специалистом Марко Росса
Подробнее

Полезная информация

Капы и глубокий прикус
Капы и глубокий прикус
Исправить глубокий прикус у взрослых можно брекетами или элайнерами (прозрачными капами) — в большинстве случаев без хирургии. Метод подбирается индивидуально после диагностики: ключевой критерий — глубина перекрытия и наличие скелетной аномалии.
Виды прикуса
Виды прикуса
Прикус бывает правильный и неправильный. И отличия не столько в эстетике, сколько в функциональности зубочелюстной системы. Если она нарушена, значит, речь идет о патологических видах прикуса, при которых ортодонтическое лечение – необходимость.
Стерильность в клинике ПРОПРИКУС
Стерильность в клинике ПРОПРИКУС
Безопасность пациента – наш приоритет. Поэтому соблюдению стерильности в нашей клинике уделяется максимум внимания.
Страхи или реальность?
Страхи или реальность?
Кто же в детстве не боялся бормашины! Шумно, больно, непонятно… И несмотря на то, что современная стоматологическая аппаратура выглядит не такой пугающей, страх лечить зубы до сих пор существует. Причем одолевает он не только детей, но и многих взрослых. Как с ним справляться? Да и надо ли?
Керамические или сапфировые брекеты: какие лучше выбрать
Керамические или сапфировые брекеты: какие лучше выбрать
Керамические и сапфировые брекеты — два вида эстетических несъёмных систем для исправления прикуса. Оба незаметны на зубах, не дают аллергии и работают по одному принципу. Но материал, из которого сделаны замочки, определяет разницу в прозрачности, поведении дуги в пазу и сроках лечения. Разбираемся, чем именно отличаются эти системы и в какой ситуации каждая из них подходит лучше.
Брекеты при скученности зубов
Брекеты при скученности зубов
Дьячкова Инна Владимировна, врач-ортодонт ПРОПРИКУС, разбирает: как степень дефицита места определяет тактику лечения, в каких случаях удаления зубов можно избежать, чем отличаются типы брекет-систем при разной тяжести скученности и почему без ретейнера результат не держится.
Вестибулярные брекеты: виды, установка и сроки лечения
Вестибулярные брекеты: виды, установка и сроки лечения
Вестибулярные брекеты — самая распространённая ортодонтическая система в мире. В этой статье разберём, как устроена конструкция, какие бывают виды по материалу и типу фиксации, кому подходит лечение и сколько оно стоит.
Лингвальные брекеты: что это, как работают и сколько стоит лечение
Лингвальные брекеты: что это, как работают и сколько стоит лечение
Лингвальные брекеты — это внутренние брекет-системы, которые крепятся к зубам со стороны языка и абсолютно невидимы при разговоре и улыбке. В статье разбираем, кому они подходят, как проходит установка, сколько длится адаптация и почему их цена выше, чем у классических вестибулярных систем. Также сравниваем лингвальные брекеты с элайнерами и отвечаем на три самых популярных вопроса пациентов.
Отклеился ретейнер: что делать, насколько это опасно?
Отклеился ретейнер: что делать, насколько это опасно?
Ретейнер отклеился — ситуация неприятная, но не катастрофическая, если действовать быстро. Даже частичное отклеивание с одного зуба требует визита к ортодонту: проволока, потерявшая фиксацию, не удерживает зубы и может травмировать десну.
Съёмный ретейнер для зубов
Съёмный ретейнер для зубов
Съёмный ретейнер — финальный и самый долгий этап ортодонтического лечения. Без него результат, достигнутый брекетами или элайнерами, постепенно сходит на нет. Зубы возвращаются к исходному положению.
20
1254
/uslugi/ortodontiya/konsultatsiya-ortodonta/
50
2000
comment@vnikuda.ru
/bitrix/components/ktoto/comments

Оставить комментарий


Людмила
29 июня 2025
Подскажите, пожалуйста, сколько раз нужно посещать ортодонта после начала лечения брекетами?
Стоматология "ПРОПРИКУС"
01 июля 2025
Добрый день. После установки брекетов ортодонта нужно посещать каждые 4-6 недель.
Михаил Кочетов
18 июля 2025
Доброе утро. В вашей клинике можно получить рассрочку на лечение, если оно окажется дорогим?
Стоматология "ПРОПРИКУС"
30 июля 2025
Здравствуйте, Михаил. Да, мы предлагаем оплату лечения рассрочкой. Ее условия обсуждаются индивидуально с администратором клиники после составления плана лечения и определения его стоимости.
Константин
28 июля 2025
Добрый день! У меня сложный случай, несколько зубов мудрости еще не прорезались и есть скученность передних зубов. Сможет ли ортодонт оценить мою ситуацию на первой консультации, или нужны дополнительные обследования?
Стоматология "ПРОПРИКУС"
30 июля 2025
Здравствуйте. Ортодонт проведет первичную оценку состояния вашей ротовой полости на консультации. Однако, для постановки точного диагноза и планирования лечения, в большинстве случаев потребуются дополнительные обследования.
Алексей
18 декабря 2025
Здравствуйте. У меня щёлкает челюсть при открывании рта, иногда бывает дискомфорт. Терапевт сказал обратиться к ортодонту. Это действительно ваш профиль? Что будут смотреть на консультации?
Стоматология "ПРОПРИКУС"
24 декабря 2025
Здравствуйте, Алексей! Да, проблемы с височно-нижнечелюстным суставом (ВНЧС) — это наша специализация. Щелчки, дискомфорт, боль при открывании рта часто связаны с нарушениями прикуса. На консультации врач оценит работу сустава, проверит смыкание зубов, симметрию лица и при необходимости назначит дополнительную диагностику — аксиографию или КТ. ПРОПРИКУС — одна из немногих клиник в Москве, где проводят нейромышечную диагностику для таких случаев. Запишитесь на приём — разберёмся с причиной и подберём лечение.
Наталья
30 декабря 2025
Добрый день! Мне 32 года, всю жизнь стеснялась улыбаться из-за кривых зубов, но всё откладывала визит к ортодонту. Сейчас решилась, но переживаю — не поздно ли в моём возрасте исправлять прикус? И правда ли, что первая консультация бесплатная?
Стоматология "ПРОПРИКУС"
09 января 2026
Здравствуйте, Наталья! Исправлять прикус никогда не поздно — у нас успешно проходят лечение пациенты и в 40, и в 50 лет. Современные методы позволяют добиться отличных результатов в любом возрасте. Да, первичная консультация в нашей клинике бесплатная, в неё входит осмотр, 3D-сканирование и визуализация будущего результата. Вы сразу увидите, как изменится ваша улыбка. Ждём вас на приёме — первый шаг самый важный!
Екатерина
01 января 2026
Добрый вечер! Планирую беременность в ближайший год. Имеет ли смысл сейчас начинать исправление прикуса? Слышала, что во время беременности брекеты носить нельзя. Или лучше отложить?
Стоматология "ПРОПРИКУС"
03 января 2026
Добрый вечер, Екатерина! Это важный вопрос, и хорошо, что вы думаете заранее. Носить брекеты или элайнеры во время беременности можно — это не противопоказание. Однако есть нюансы: в первом триместре мы стараемся не делать рентген, а гормональные изменения могут влиять на состояние дёсен. Если начать лечение сейчас, к моменту беременности вы уже пройдёте активную фазу. На консультации мы составим план с учётом ваших планов и подберём оптимальное время для старта. Приходите — обсудим все детали.
Ирина Мазурова
05 января 2026
Хочу записать дочь 14 лет на консультацию. Зубы вроде ровные, но она постоянно дышит ртом и жалуется на головные боли. Педиатр говорит, что это может быть связано с прикусом. Ортодонт сможет это определить?
Стоматология "ПРОПРИКУС"
09 января 2026
Здравствуйте, Ирина! Педиатр дал правильную рекомендацию. Ротовое дыхание и головные боли действительно могут быть связаны с нарушениями в развитии челюстно-лицевой области — даже если внешне зубы кажутся ровными. На консультации ортодонт оценит положение челюстей, работу мышц, осанку, проверит функцию ВНЧС. В 14 лет ещё идёт активный рост, и многие проблемы можно скорректировать достаточно быстро. Приводите дочь — проведём полную диагностику и дадим рекомендации.
Владимир
13 января 2026
Был на консультации в другой клинике, там сказали нужны брекеты на 2 года. Хочу получить второе мнение. Можно ли прийти к вам со снимками, которые уже есть, или придётся делать всё заново?
Стоматология "ПРОПРИКУС"
15 января 2026
Здравствуйте, Владимир! Конечно, приходите со своими снимками — если они свежие (до 3-6 месяцев) и хорошего качества, мы их обязательно учтём. Наш ортодонт проведёт независимый осмотр и даст своё заключение. Возможно, мы предложим альтернативные варианты лечения — например, элайнеры вместо брекетов, если случай это позволяет. Второе мнение — это правильный подход. Записывайтесь на бесплатную консультацию, всё обсудим.
Оставьте заявку на запись на бесплатную консультацию ортодонта
В консультацию входит 3D-диагностика, визуализация вашей новой улыбки, индивидуальный план лечения, расчёт стоимости «под ключ».
Нажимая на кнопку «Бесплатная консультация», вы соглашаетесь с политикой конфиденциальности.
Оставьте заявку на запись на бесплатную консультацию ортодонта