Лечение на брекетах за 10000 рублей

Лечение на брекетах — это доступно.
Всего от 10 000 ₽ в месяц.

Лечение на брекетах за 10000 рублей

Как мы придём к вашей идеальной улыбке

Прелесть лечения брекетами, кроме идеальной улыбки и здорового прикуса, еще и в том, что это вполне доступная процедура. Главное, что нужно помнить, что лечение можно оплачивать по частям, а не целиком.

Бесплатная
консультация

Вы знакомитесь с врачом, он проводит 3D-диагностику, подготавливает визуализацию вашей улыбки, составляет план лечения и замораживает цены.

Фиксация
брекет-системы

Установка на одну челюсть — 75 000 ₽, на две — 150 000 ₽.
Можно в рассрочку и с возвратом НДФЛ.

Регулярные визиты
к врачу

Коррекция: с заменой дуги — 10 000 ₽, без замены — 5 000 ₽.
В среднем — 1 визит в месяц.

Ровные зубы
и уверенность в себе

Результат через 1,5–2 года.
Ретенция оплачивается отдельно.
С таким планом лечения, расходы растягивают на 1,5 - 2 года, вам не нужно
искать всю сумму сразу. И это правильно, потому что ваша улыбка - лучшая инвестиция.

Частые вопросы (FAQ)

Сколько длится лечение?
Установка брекетов происходит в первый же месяц, общий срок лечения рассчитывается индивидуально, но обычно составляет от 1,5 до 3 лет.
Что входит в стоимость фиксации за 150 000 ₽?
Полная установка брекетов на обе челюсти “под ключ”: диагностика, план лечения, сама брекет-система и её установка.
Как часто нужно посещать врача?
Примерно раз в месяц.
Можно ли оформить рассрочку?
Да! Можно разбить фиксацию разбить на две оплаты по 75 тысяч рублей. Можно оформить рассрочку на 6 или кредит на 12 месяцев, но тогда стоимость фиксации вырастет до 180 тысяч рублей на обе челюсти. При составлении лечебного плана мы поможем вам выбрать оптимальный способ оплачивать лечение.
Как получить налоговый вычет?
Чтобы получить налоговый вычет, перейдите на эту страницу

Улыбки, которые вдохновляют

Фото #8
Фото #6
Фото #5
Фото #1

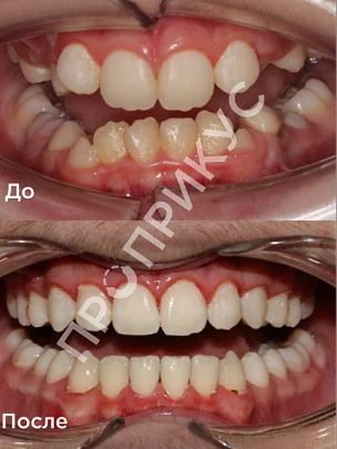
До и После: реальные истории, реальные улыбки

Фото #4
Фото #11
Фото #7
Фото #8

Еще больше До и После

Фото #4
Фото #2
Фото #8
Фото #3
Оставьте заявку на запись на бесплатную консультацию ортодонта
В консультацию входит 3D-диагностика, визуализация вашей новой улыбки, индивидуальный план лечения, расчёт стоимости «под ключ».
Нажимая на кнопку «Бесплатная консультация», вы соглашаетесь с политикой конфиденциальности.
Оставьте заявку на запись на бесплатную консультацию ортодонта