Дьячкова Инна Владимировна
Дьячкова Инна Владимировна

Дьячкова Инна Владимировна

★★★★★
5.0
Ортодонт
Я врач - ортодонт. Мой стаж работы 9 лет. Работаю как со взрослыми, так и с детьми.

Работаю на брекет-системе и на элайнерах. 80% моих пациентов проходят у меня лечение на прозрачной системе, потому что я вылечила более 500 человек на них и знаю абсолютно всё о биомеханике. Также я веду пациентов, с дисфункцией ВНЧС а также подготовкой к ЧЛХ.
  • Являюсь участником международных конференций.
  • Проходила обучение в Польше, Колумбии.
  • Выступала в компаниях с лекцией о «красоте и прикусе» Золотое Яблоко, Озон, А7 и Газпром. 
Моя главная фишка - полностью доверие между пациентом и врачом) поэтому я фотографируюсь с каждым своим пациентом.

Выбрала я свою профессию, не случайно! Благодаря своему пути - у меня была очень сильная скученность, я носила брекет-систему. После получения идеальной улыбки - я поняла точно, что я буду ортодонтом! Именно дарить улыбку своим пациентам и менять жизнь людей. 
658
Вылечено пациентов
11
Стаж врача

Видео-приглашение врача

На приеме за 45 минут вы получите:

Диагностику и оценку вашей текущей ситуации
Консультацию с ведущим врачом
3D-сканирование полости рта
Демонстрацию вашей улыбки после лечения
Фотопротокол для определения влияния прикуса на ваше тело
Подбор вида лечения в зависимости от ваших пожеланий и клинической ситуации

Биография врача

Профессиональный рост

2014 г. — Государственное бюджетное образовательное учреждение высшего профессионального образования «Тверская государственная медицинская академия» Министерства здравоохранения Российской Федерации, г.Тверь

2015 г. — Интернатура, Государственное бюджетное образовательное учреждение высшего профессионального образования «Тверской государственный медицинский университет» Министерства здравоохранения Российской Федерации, г. Тверь

2015 г. — Сертификат специалиста, Государственное бюджетное образовательное учреждение высшего профессионального образования «Тверской государственный медицинский университет» Министерства здравоохранения Российской Федерации, г. Тверь

2017 г. — Ординатура, Федеральное государственное бюджетное образовательное учреждение высшего образования «Тверской государственный медицинский университет» Министерства здравоохранения Российской Федерации, г. Тверь

2017 г. — Сертификат специалиста, Федеральное государственное бюджетное образовательное учреждение высшего образования «Тверской государственный медицинский университет» Министерства здравоохранения Российской Федерации, г. Тверь

2016 г. — Участник VI Конференции начинающих ортодонтов, г.Москва;

2017 г. — «Актуальные вопросы междисциплинарного подхода в ортодонтии» МОСП, г.Москва;

2017 г. — «Основные принципы ортодонтического лечения в период временного и сменного прикуса» «ПУМПА» , руководитель курса Н.Е. Махахова, г.Москва;

2017 г. — Star Smile «Ортодонтия без брекетов», лектор Т.В. Геворкян, г. Москва;

2017 г. — Участник 7 Конференции начинающих ортодонтов, г. Москва;

2017 г.— участник семинара: «Брекет-система Damon-первые шаги к успешному лечению. Диагностика, планирование, выбор прописи, позиционирование», «Школа Ортодонтии», 1 уровень — 32 часа, С.В.Тихонов, г. Москва;

2017 г.— «Рождественские встречи с Ormco 2017г.», г. Москва;

2018 г.— участник семинара: «Этапы лечения системой Damon: от первой дуги до завершения». 2 уровень-32 часа, «Школа Ортодонтии», С.В. Тихонов, г. Москва;

2018 г. — Сертификация по лечению на системе «Invisalign. CourseI», Simon Beard, г. Москва;

2018 г.— участник семинара: «Новые возможности в ортодонтии с абсолютной опорой Vector Tas», С.А. Попов, г. Москва;

2018 г.— «Основные принципы и этапы работы современной несъемной ортодонтической техникой». 3 уровень-32 часа, «Школа Ортодонтии», г. Москва;

2018 г. — теоретический курс «TrueSmile, Элайнеры Без Аттачментов», элайнер — центр True Smile, д-р Д.А. Кузнецов Д.А., г. Москва;

2018 г. — Сертификация по лечению на системе «Invisalign. CourseII», Raphael Pascaud, г. Москва;

2018 г. — участник семинара «Ортодонтическое лечение детей. Что? Где? Когда?», «Школа Ортодонтии», С.В.Тихонов, г. Москва;

2018 г. — участник семинара «Лечение различных аномалий прикуса современной несъемной техникой. Теория и разбор клинических случаев» 4 уровень-32 часа, «Школа Ортодонтии», А.В. Тихонов, г. Москва;

2018 г. — «Грамотное применение системы Damon в ортодонтической практике: от понимания принципов работы до завершающих этапов лечения», А.В. Тихонов, г. Москва;

Какие проблемы прикуса я лечу?

Скученность зубов
Скученность зубов
Выпирающий ряд зубов
Выпирающий ряд зубов
«Съехавший» ряд зубов
«Съехавший» ряд зубов
«Хищные» клыки
«Хищные» клыки
Глубокий прикус
Глубокий прикус
Нет смыкания
Нет смыкания

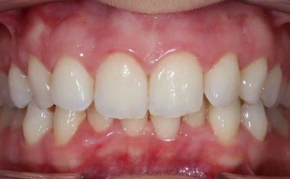
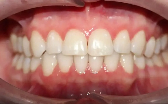
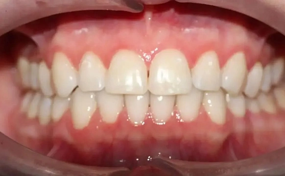
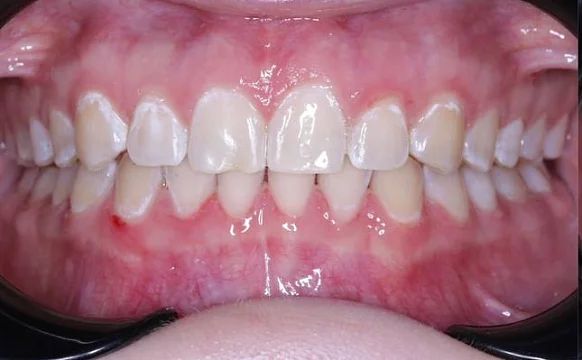
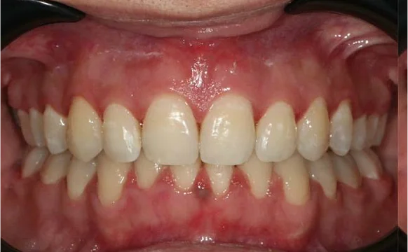
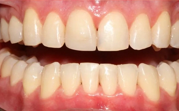
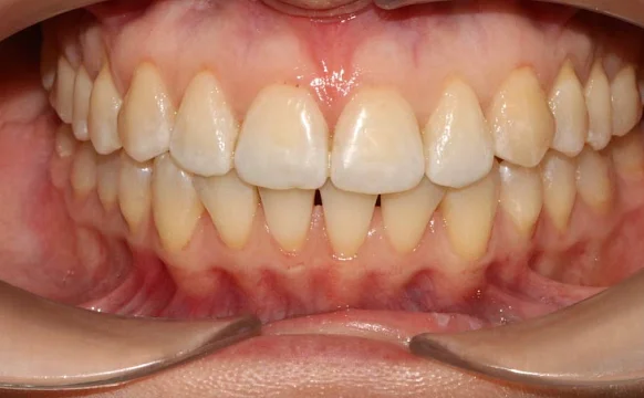
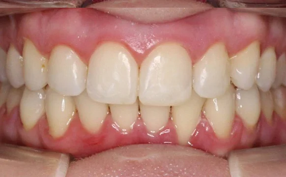
Выполненные работы

Исправление дистального прикуса элайнерами

Проблема
Дистальный прикус, глубокая резцовая окклюзия , Дистальный прикус, глубокая резцовая окклюзия
Врач
Дьячкова Инна Владимировна

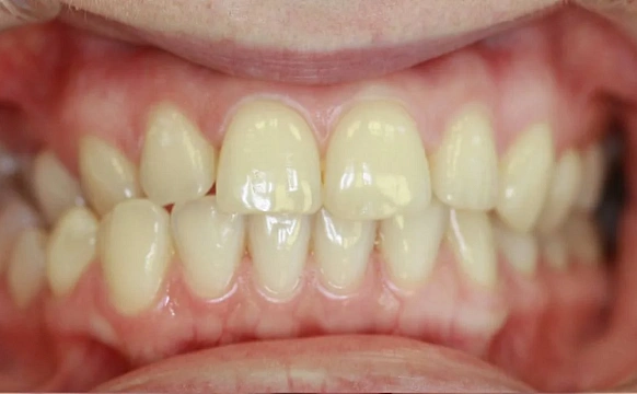
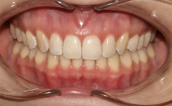
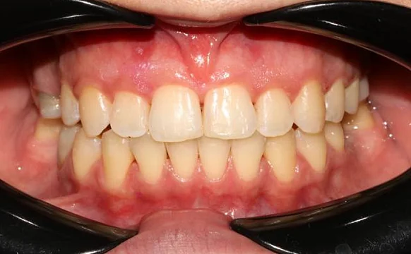
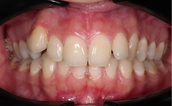
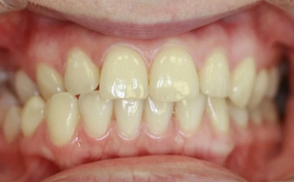
Неправильный прикус — лечение на элайнерах Spark

Проблема
Врач
Дьячкова Инна Владимировна

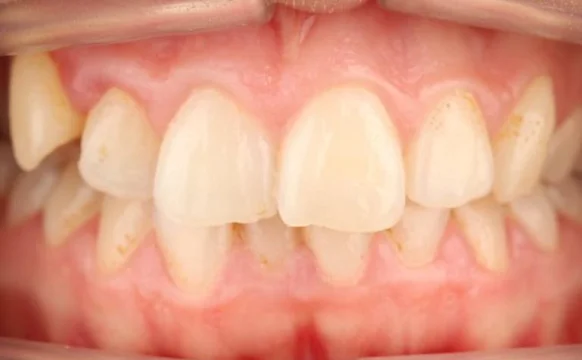
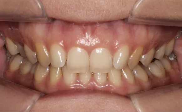
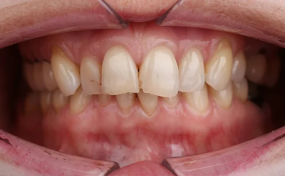
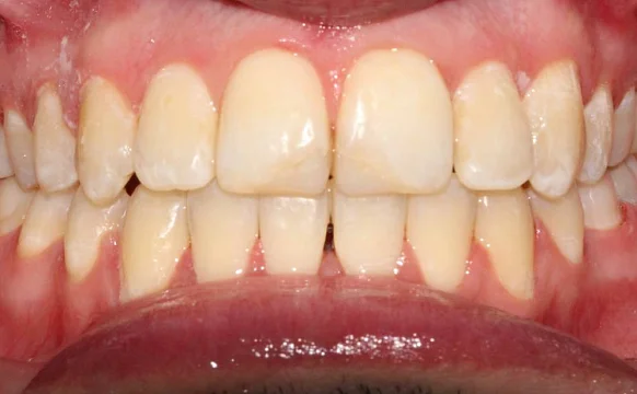
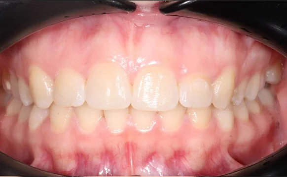
Исправили неправильный прикус на элайнерах Star Smile за 25 месяцев

Проблема
Врач
Дьячкова Инна Владимировна

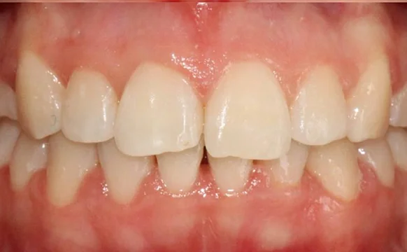
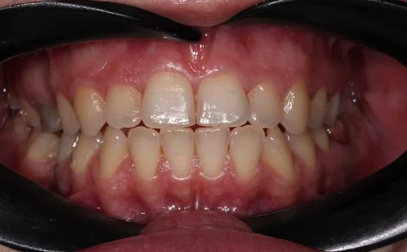
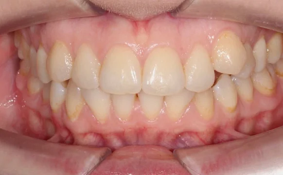
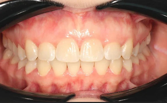
Ортодонтическое лечение на системе StarSmile

Проблема
Аномалии соотношения зубных дуг и аномалии положения зубов
Врач
Дьячкова Инна Владимировна

Ортодонтическое лечение на брекет-системе

Проблема
Открытый дистальный прикус
Врач
Дьячкова Инна Владимировна
Лечение cкученности на нижней челюсти на элайнерах Лечение cкученности на нижней челюсти на элайнерах

Лечение cкученности на нижней челюсти на элайнерах

Проблема
Скученность зубов
Врач
Дьячкова Инна Владимировна
Лечение скученности зубов на элайнерах Лечение скученности зубов на элайнерах

Лечение скученности зубов на элайнерах

Проблема
Скученность зубов
Врач
Дьячкова Инна Владимировна
Лечение аномалии соотношений зубных дуг на элайнерах Лечение аномалии соотношений зубных дуг на элайнерах

Лечение аномалии соотношений зубных дуг на элайнерах

Проблема
Врач
Дьячкова Инна Владимировна
Ортодонтическое лечение на элайнерах №9 Ортодонтическое лечение на элайнерах №9

Ортодонтическое лечение на элайнерах №9

Проблема
Неправильный прикус
Врач
Дьячкова Инна Владимировна
Лечение скученности зубов на брекет-системе Лечение скученности зубов на брекет-системе

Лечение скученности зубов на брекет-системе

Проблема
Сужение ВЧ, скученность, дистальный прикус
Врач
Дьячкова Инна Владимировна
Лечение скученности зубов на брекет-системе Лечение скученности зубов на брекет-системе

Лечение скученности зубов на брекет-системе

Проблема
Узкая зубная дуга, скученность, микродентия боковых верхних резцов
Врач
Дьячкова Инна Владимировна
Лечение диастемы на верхней челюсти на элайнерах Click Лечение диастемы на верхней челюсти на элайнерах Click

Лечение диастемы на верхней челюсти на элайнерах Click

Проблема
Прямое смыкание, сужение зубных дуг, скученность
Врач
Дьячкова Инна Владимировна
Ортодонтическое лечение на брекет-системе №2 Ортодонтическое лечение на брекет-системе №2

Ортодонтическое лечение на брекет-системе №2

Проблема
Скученность зубов
Врач
Дьячкова Инна Владимировна
Лечение скученности зубов элайнерами Лечение скученности зубов элайнерами

Лечение скученности зубов элайнерами

Проблема
Скученность зубов
Врач
Дьячкова Инна Владимировна
Ортодонтическое лечение нa брекет-системе Ортодонтическое лечение нa брекет-системе

Ортодонтическое лечение нa брекет-системе

Проблема
Скученность зубов
Врач
Дьячкова Инна Владимировна

Отзывы

Светлана
Пришла на консультацию по поводу брекетов к Инне Владимировне, очень переживала, потому что у меня сложный случай с прикусом. Доктор всё объяснила спокойно, показала на снимках что и как будет двигаться. Никакого давления, никакой спешки. Уже ношу брекеты четвертый месяц, результат вижу и это очень мотивирует. Отдельное спасибо Инне Владимировне за терпение, я задаю миллион вопросов каждый приём)
Игорь
Обратился к Инне Владимировне с проблемой щелчков в челюсти, до этого был у двух врачей, оба говорили разное. В ПРОПРИКУС сделали нормальную диагностику, Инна Владимировна объяснила причину и предложила план. Не пытались сразу продать дорогое лечение, сначала попробовали консервативный вариант. Щелчки прошли через два месяца. Рекомендую Дьячкову И.В. тем кто уже устал ходить по разным клиникам.
Анастасия
Долго откладывала исправление прикуса, думала в 35 уже поздно. Инна Владимировна убедила что нет) Выбрала элайнеры, хожу уже полгода. Нравится что доктор Дьячкова реально заинтересована в результате, присылает фото прогресса, сравниваем с планом лечения. Когда видишь что зубы двигаются как и должны, доверие к специалисту только растёт.
Ольга
Сыну 14 лет, ставили брекеты у Инны Владимировны. Для подростка это стресс, но доктор нашла подход, объясняла всё именно ему, а не мне. Теперь сын сам следит за гигиеной, сам напоминает про приём. Я удивлена честно. Цены да, не самые низкие, но за такое отношение не жалко. Спасибо Инне Владимировне!
Мария
Лечусь у Инны Владимировны Дьячковой второй год, меняла врача после переезда и очень рада что попала именно сюда. Всегда всё по времени, никаких задержек на час как в других клиниках. Инна Владимировна помнит мою ситуацию, не нужно каждый раз заново рассказывать историю болезни. Ощущение что реально следят за процессом, а не просто подтягивают дуги по шаблону.

Видео отзывы пациентов

Подход к лечению

Доказательная база

Для эффективного лечения зубов необходима качественная диагностика. Врач применяет только научно-обоснованные решения.

Комплексность

При необходимости подключает логопеда, миотерапевта и других смежных специалистов — чтобы результат был не только красивым, 
но и функционально стабильным.

Простые объяснения

Сложные рекомендации переводит на понятный язык, показывает наглядные кейсы «до/после».

Сложные случаи

Врач справляется даже с самыми сложными случаями. 
Вы можете вылечить прикус с помощью прозрачных кап или классических брекетов, а также установить виниры и коронки, пройти профессиональную гигиену для взрослых
и детей, вылечить кариес, а также удалить зубы мудрости.
Блок картинки

Оказываемые услуги

Элайнеры Click Aligners
Элайнеры Click Aligners нового поколения от российского производителя, разработанные ведущими ортодонтами. Протоколы лечения на элайнерах Click помогают точно спланировать перемещение зубов.
Узнать подробнее
Установка элайнеров
Элайнеры – это прозрачные капы из тонкого медицинского пластика мягко и точно перемещают зубы в нужное положение.
Узнать подробнее
Реставрация зубов
В современной стоматологии реставрация зубов сочетает эстетику, профилактику и лечение. Выполненная в клинике художественная реставрация вернет гармонию зубного ряда и функционал поврежденных зубов.
Узнать подробнее
Установка брекетов
Брекеты позволяют избавиться от скученности, устранить межзубные промежутки и получить ровные зубы. Длительность и стоимость терапии зависят от клинической картины.
Узнать подробнее
Художественная реставрация зубов
Художественное восстановление зубов исправляет все видимые дефекты современными стоматологическими методиками.
Узнать подробнее
Установка ретейнеров
Ретейнер — это ортодонтическая конструкция, которую устанавливают сразу после снятия брекетов.
Узнать подробнее
Брекеты на верхнюю челюсть
Верхние зубы далеки от идеала – в голове почти сразу возникает мысль о брекетах.
Узнать подробнее
Брекеты на нижнюю челюсть
Ортодонтическое лечение брекет-системами дает хорошие результаты в исправлении прикуса, улучшая эстетику улыбки и жевательную функцию.
Узнать подробнее
Реставрация передних зубов
Процедура реставрации зубов направлена на восстановление их эстетики и функциональных возможностей после травм или стоматологических заболеваний.
Узнать подробнее
Консультация ортодонта
Каждый пациент заинтересован, чтобы его лечил лучший ортодонт. Во время осмотра понаблюдайте, комфортно ли вам находиться рядом с врачом.
Узнать подробнее
Металлические брекеты
Металлические брекеты, несмотря на то, что выделяются, полностью компенсируют данный ньюанс высокой эффективностью и точностью перемещения зубов.
Узнать подробнее
Керамические брекеты
Керамические брекеты — современное решение в ортодонтии, сочетающее эффективность коррекции прикуса с высокой эстетикой.
Узнать подробнее
Сапфировые брекеты
Сапфировые брекеты — ортодонтическая система с замками из монокристаллического оксида алюминия. Подходят взрослым и подросткам, которым важен эстетичный вид во время лечения.
Узнать подробнее
Безлигатурные (самолигирующие) брекеты
Безлигатурные (самолигирующие) брекеты — это системы, в которых дуга фиксируется в замке без помощи специальных лигатур. Они имеют ряд плюсов по сравнению с другими системами.
Узнать подробнее
Брекеты Damon
Брекеты Даймон – безлигатурные системы нового поколения, с помощью которых можно качественно выровнять зубной ряд и откорректировать прикус.
Узнать подробнее
Брекеты Damon Q
Брекет-система Damon Q — эстетичные саморегулирующие металлические брекеты, популярные, эстетичные и самые современные самолигирующие металлические брекеты от американского бренда ORMCO.
Узнать подробнее
Брекеты Damon Clear
Ортодонтические конструкции Damon разработаны специалистами американской компании Ormco, имеющей все необходимые лицензии для обеспечения качества и безопасности лечения.
Узнать подробнее

Публикации врача

Брекеты при скученности зубов
Дьячкова Инна Владимировна, врач-ортодонт ПРОПРИКУС, разбирает: как степень дефицита места определяет тактику лечения, в каких случаях удаления зубов можно избежать, чем отличаются типы брекет-систем при разной тяжести скученности и почему без ретейнера результат не держится.
Узнать подробнее
Открытый прикус и элайнеры
Статья о том, при каком открытом прикусе элайнеры работают как самостоятельный метод, а когда без минивинтов или операции не обойтись. Разбираем формы и степени по размеру вертикальной щели, механизм закрытия прикуса каппами, этапы лечения и главный риск — рецидив.
Узнать подробнее
Скученность зубов
Скученность зубов — самая распространённая ортодонтическая аномалия: по разным данным, она встречается у 40–70% взрослых. Статья объясняет, почему зубам не хватает места в ряду, как определить степень скученности по числовым порогам и чем лёгкая форма отличается от тяжёлой. Рассмотрены все актуальные методы лечения — от сепарации и элайнеров до брекетов и удаления зубов — с указанием, в каких ситуациях каждый из них применим.
Узнать подробнее
Ангулярный стоматит (заеды)
Ангулярный стоматит, или в просторечии заеды, представляет собой воспалительное заболевание, локализующееся в уголках рта. Это распространенная проблема, которая может возникнуть как у детей, так и у взрослых. Заболевание характеризуется появлением трещин, эрозий, покраснения и болезненных ощущений в области комиссур (углов) рта.
Узнать подробнее
Болит зуб мудрости: что делать?
Когда прорезывается зуб мудрости, многие взрослые сталкиваются с неприятными ощущениями, а порой даже с острой болью. Эти зубы, также называются третьими молярами.
Узнать подробнее
Дренаж в десне
Дренаж в десне – это хирургическая процедура, применяемая для удаления гноя или другого патологического содержимого из воспаленной области десны или пародонтального кармана. 
Узнать подробнее
Композитные виниры - что это такое
Композитные виниры являются более доступной альтернативой керамическим пластинкам. Тонкие накладки крепятся на зубную поверхность, преображая улыбку. Прямые накладки из композита исправляют изъяны зубов. Можно реставрировать как цвет, так и форму. Они справляются со сколами, неровностями, трещинами. Можно корректировать излишние промежутки между зубными единицами.
Узнать подробнее
Со скольки лет можно ставить брекеты
Установка брекет-системы – современный способ лечения неправильного прикуса и исправления положения зубов у взрослых и детей. Если взрослым установить ортодонтическую конструкцию можно в любом возрасте, то ребенок должен достигнуть определенного возраста, чтобы начинать терапию.
Узнать подробнее
Сверхкомплектные зубы
Гипердонтия или полиодонтия – аномалия, при которой в полости рта человека имеются лишние единицы. Они вырастают помимо резцов, премоляров и других зубов. Часто доставляют серьезные неудобства.
Узнать подробнее
Альтернатива брекетам
Стоматология использует разные способы коррекции аномалий. Брекеты, пластинки и другие технологии позволяют избавиться от патологий. Прозрачные и тонкие элайнеры – лучшая альтернатива брекет-системам.
Узнать подробнее
Бруксизм
Бруксизм – это непроизвольное сокращение жевательной мускулатуры, вызывающее скрежет зубов или эпизодичное сжатие челюстей. До конца эта патология не исследована, потому точные причины появления бруксизма назвать нельзя. Однако он может возникнуть в любом возрасте и существенно снизить качество жизни. Регулярное трение твёрдых тканей ведёт к истончению эмали, болевым ощущениям и заболеваниям пародонта.
Узнать подробнее
Болят зубы от брекетов
Коррекция аномалий прикуса – сложный процесс. После крепления конструкции пациент может испытывать неприятную боль. Не стоит этого бояться. Сдавливание и другие дискомфортные ощущения в первые дни после процедуры считаются естественной реакцией. Важно знать, что делать. Обезболивающие препараты облегчат состояние при ношении системы. Улучшить самочувствие помогут и некоторые хитрости.
Узнать подробнее
Дистальный прикус
Дистальный прикус - дефект зубного ряда, который встречается очень часто в детском и подростковом возрасте. При патологии верхняя челюсть смещается вперед относительно нижней.
Узнать подробнее
Санация полости рта
Санация – процедура, которую нужно делать 2 раза в год в рамках профилактики. Она представляет собой профессиональную чистку и лечение в кабинете стоматолога, позволяющие вовремя остановить воспалительные процессы, не допустить повреждение единиц и укрепить эмаль.
Узнать подробнее
Щель между зубами (диастема)
Диастема – щель между стоящими рядом зубами в переднем ряду. Такая проблема наблюдается у каждого пятого пациента. Если пространство между зубами образуется практически не заметно, то это считается нормой.
Узнать подробнее
Что такое виниры
Виниры — тонкие накладки на переднюю поверхность зубов — исправляют цвет, форму и незначительные дефекты без ортодонтического лечения.
Узнать подробнее
Гингивит
Гингивит — воспалительный процесс, поражающий слизистую оболочку десен.
Узнать подробнее
Апноэ
Апноэ — функциональное расстройство сна, связанное с кратковременным уменьшением или полным отсутствием легочной вентиляции.
Узнать подробнее
Световая пломба
Световая пломба — востребованный материал в стоматологии, для отверждения которого нужна фотополимерная лампа. Световые пломбы имеют свою классификацию, и именно они применяются в художественной реставрации зубов при стоматологическом лечении. Предлагаем узнать об особенностях фотополимерных пломб, преимуществах и показаниях к их применению.
Узнать подробнее
Флюс
Флюс, или, как говорят стоматологи, периостит – это воспаление соединительной ткани челюстной кости. Он локализуется на дёснах и обычно проявляется в виде гнойного мешка в области поражённого зуба.
Узнать подробнее
Пародонтоз
Пародонтоз – это заболевание зубодесневого комплекса, сопровождающееся дистрофическими процессами в костной ткани челюсти. Патология развивается на фоне нарушения обменных процессов и ухудшенного кровотока. Симптомы пародонтоза встречаются редко, но при отсутствии своевременной терапии могут привести к ранней утрате зубов.
Узнать подробнее
Пародонтит
Пародонтит – это заболевание зубочелюстной системы, которое характеризуется воспалением мягких тканей дёсен и выраженными болевыми ощущениями при пальпации или механическом воздействии.
Узнать подробнее
Оставьте заявку на запись на бесплатную консультацию ортодонта
В консультацию входит 3D-диагностика, визуализация вашей новой улыбки, индивидуальный план лечения, расчёт стоимости «под ключ».
Нажимая на кнопку «Бесплатная консультация», вы соглашаетесь с политикой конфиденциальности.
Оставьте заявку на запись на бесплатную консультацию ортодонта