Гингивит

Гингивит — воспалительный процесс, поражающий слизистую оболочку десен.
5288
Время на прочтение: 5 мин.
Дьячкова Инна Владимировна
Информация проверена экспертом клиники ПРОПРИКУС
Стоматолог - ортодонт
Стаж более 11 лет
★★★★★ 5.0

Гингивит — воспалительный процесс, поражающий слизистую оболочку десен. Для заболевания характерны такие симптомы, как отек и покраснение слизистой десен, кровоточивость и появление воспалительного экссудата после чистки зубов, отталкивающий запах, появление эрозий. Своевременное лечение гарантирует положительный прогноз на выздоровление. Запущенная форма заболевания опасна пародонтозом, потерей зубов и другими неприятными осложнениями. В этой статье мы поговорим о причинах гингивита, особенностях патологии и способах ее лечения.

Причины появления гингивита

В полости рта постоянно присутствует большое скопление патогенных бактерий. При ухудшении иммунных сил болезнетворная микрофлора начинает интенсивно размножаться. Чаще это связано с недостаточной гигиенической обработкой полости рта, скоплением мягкого налета или зубного камня. Аномальный прикус также может быть провоцирующим фактором, на фоне которого частицы еды подолгу задерживаются на зубах, становясь питанием для микроорганизмов. Реже гингивит вызывают вирусы и грибки.

К развитию заболевания приводят разные причины — они делятся на две категории: внешние и внутренние.

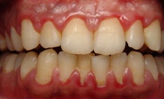
гингивит - изображение 1

К внешним причинам относятся:

  • инфекционные факторы, занесенные извне: ОРВИ, грязные руки, недостаточно хорошо вымытые продукты и пр.;
  • механические травмы слизистой, например попадание инфекции в рану после удаления зуба;
  • прием определенных лекарственных средств;
  • нелеченый кариес.

Внутренние причины:

  • недостаточная гигиена; мягкие зубные отложения, скапливающиеся на поверхности эмали, формируют прочную пленку, если ее не удалить, через несколько дней пленка начинает кристаллизоваться, постепенно превращаясь в твердый зубной камень — хронический источник инфекции во рту; к тому же он может травмировать нежные ткани десны, дополнительно провоцируя инфицирование;
  • авитаминоз, как причина недостаточного питания тканей пародонта;
  • патологический прикус, на фоне которого зубные единицы постоянно травмируют слизистую рта;
  • рост зубов - при этом процессе целостность десны временно нарушается, при присоединении инфекции не исключено развитие гингивита.

Симптомы гингивита десен

Клинические признаки, при которых возникает необходимость обратиться к стоматологу:

  • кровоточивость, отек десен;
  • повышенная чувствительность, боль;
  • видимые повреждения или ранки, даже не вызывающие дискомфорта;
  • изменение цвета тканей слизистой оболочки;
  • появление десневых или пародонтальных карманов (ткани десны словно отходят от основания зуба).

Воспаленная слизистая имеет рыхлую структуру, становится более мягкой, шероховатой. Если повышается температура тела, развивается слабость — ситуация указывает на острый характер воспалительного процесса, генерализацию инфекции, что требует немедленного врачебного вмешательства.

симптомы гингивита фото

Классификация

Обычно гингивит не становится причиной нарушений зубодесневого соединения. Заболевание может протекать по-разному, с учетом вида воспалительного процесса или его особенностей — перечислим их:

  • Острый. Картина патологии характеризуется яркими симптомами прогрессирующего воспаления: выраженной гиперемией и отеком десен, увеличением температуры тела, резкой болезненностью и гиперсаливацией. Также выявляется кровоточивость слизистой при малейшем контакте с деснами. 
  • Хронический. Развивается при отсутствии терапии при острой фазе заболевания. Клинические проявления патологии обычно смазаны. Ведущий симптом — гиперплазия или разрастание тканей воспаленной десны, иногда сопровождаемые появлением эрозий или пузырьков на слизистой.
  • Катаральный. Основные симптомы: дискомфорт при контакте со слизистой, дурной запах, ярко выраженная кровоточивость и точечные кровоизлияния в ткани, резкие болевые ощущения на химические или механические раздражающие факторы. При осмотре виден значительный отек десны, цианотичный окрас слизистой, локальные очаги поражения на десневых сосочках.
  • Гипертрофический. Чаще определяется во фронтальной зоне зубных единиц нижней или верхней челюсти. Патология протекает в генерализованной и локальной формах. На начальной стадии гипертрофический гингивит протекает стерто, какой-либо дискомфорт отсутствует. Позднее наблюдается гипертрофия десневых сосочков, нарастание тканей которых постепенно закрывает большую часть поверхности зуба. Если лечение отсутствует, болезнь продолжает прогрессировать, вызывая интенсивные болевые ощущения в области десен, множественный кариес.
  • Язвенный. Форма воспалительного процесса считается осложнением нелеченого катарального гингивита. Для заболевания характерен некроз отдельных участков слизистой десен, появление специфических язвочек на ее поверхности, ухудшение самочувствия, повышение температуры тела. Из-за местного угнетения иммунитета и активного размножения болезнетворной микрофлоры появляется галитоз или отталкивающий запах из полости рта. Острые болевые ощущения вынуждают пациента отказываться от еды и других привычных действий.
гингивит десен фото

Возможные осложнения

Гингивит нельзя отнести к безобидным патологиям, как полагают многие. Воспаленные ткани полости рта являются постоянным источником инфекции, которая может распространяться на другие органы, вызывая серьезные осложнения. К основным последствиям гингивита относятся:

При воспалении слизистой эпителий постепенно разрушается, если не приступить к лечению болезни вовремя. На раннем этапе гингивита процесс обратим, однако при отсутствии врачебного вмешательства здоровые ткани десен гипертрофируются, постепенно замещаясь грануляционной тканью. Болезнетворные бактерии начинают проникать в незащищенные структуры пародонта, провоцируя шаткость зубов с их выпадением. Поэтому гингивит вполне может стать причиной потери здоровых зубных единиц.

Патогенная микрофлора, размножающаяся в зубодесневом пространстве, приводит к пришеечному кариесу. В запущенных случаях воспаление распространяется на структуры челюсти, провоцируя изменения на уровне лицевого скелета. Не исключено развитие остеомиелита — осложнения, разрушающего ткани зубочелюстной системы с формированием проходов или свищей, посредством которых гнойный экссудат попадает из очага воспаления в ротовую полость. Это отрицательно сказывается на самочувствии пациента, вызывая общую интоксикацию.

Болезнетворные возбудители могут попасть в другие органы, вызывая развитие ЛОР-патологий, пиелонефрита, инфекционного миокардита.

Гингивит в детском возрасте

Гингивит встречается не только у взрослых, но и у детей — чаще в катаральной форме. Поскольку иммунитет ребенка несовершенен, он не во всех случаях может быстро распознать и устранить инфекцию. Познавая мир, ребенок тянет в рот разные вещи, повреждая и инфицируя слизистую. Также проблема может быть связана с патологическим прикусом или недостаточным гигиеническим уходом за ребенком в домашних условиях.

Особенность заболевания у детей — возможность быстрого выздоровления на фоне адекватного лечения с исключением рецидивов. Но иногда патология может прогрессировать, переходя в более сложные формы, если не обращаться к врачу длительное время.

Диагностика

При первичном осмотре специалисту виден пораженный участок десны, что позволяет оценить распространенность воспалительного процесса, степень его сложности. После сбора анамнеза для подтверждения диагноза назначается рентгенография, уточняющая состояние корней зубных единиц, пародонта и структур челюстной кости. При генерализованной форме патологии необходимы лабораторные исследования крови.

Лечение гингивита

Перед началом лечения необходимо устранить основную причину патологии: проводится профгигиена полости рта, направленная на удаление зубных отложений. На начальной стадии болезни назначаются местные антисептические средства для снятия симптомов воспаления. Чтобы улучшить регенерацию поврежденной слизистой, местно назначается обработка «Солкосерилом» или другими ранозаживляющими препаратами.

Если воспаление оказалось вызвано сколом зуба, нарушением целостности пломбы или искусственной коронки, стоматолог убирает дефекты, чтобы ликвидировать повреждающий фактор. При генерализованной или распространенной форме патологии, когда нарушено общее состояние, назначается курс антибактериальной терапии, иммуномодуляторы, витаминные комплексы. В случае интенсивных болевых ощущений к схеме лечения добавляют анальгетические средства.

Комплексная терапия включает физиотерапевтические методы — к ним относятся:

  • электрофонофорез;
  • фонофорез;
  • дарсонвализация;
  • лазерная терапия;
  • вакуумный массаж.

В случае гипертрофической формы патологии указанная схема лечения не всегда эффективна. Гипертрофированную ткань удаляют инъекциями склерозирующих препаратов, методами криодеструкции, диатермокоагуляции или хирургическим скальпелем, выполняя гингивэктомию.

лечение гингивита фото

Прогноз и профилактические меры

При своевременно начатой терапии прогноз на выздоровление положительный. Восстановление поврежденных мягких тканей происходит в полном объеме, а при условии устранения причины патологии рецидивы будут исключены. Неблагоприятный прогноз касается лиц с сахарным диабетом: таким пациентам нужна поддерживающая терапия, предупреждающая возникновение осложнений и улучшающая трофику тканей.

Основной мерой профилактики гингивита является соблюдение гигиены — для этого необходимо:

  • ежедневно чистить зубы, используя щетку мягкой или средней жесткости, дополнительно применяя ополаскиватели, флосс и ирригатор;
  • своевременно проходить профосмотры у стоматолога, лечить кариес и прочие заболевания;
  • не медлить с обращением в стоматологию, если коронка или зуб постоянно травмируют десну.

Стоимость лечения гингивита в Москве

Вовремя диагностировать гингивит, определить форму заболевания и подобрать эффективный протокол лечения — задача врача-пародонтолога. Если вы столкнулись с проблемой воспаления десен, обращайтесь в клинику «ПРОПРИКУС». Высококвалифицированные специалисты проведут качественную диагностику и назначат комплексную терапию, а также дадут профессиональные рекомендации с учетом клинической картины заболевания. Стоимость лечения гингивита в клиниках Москвы составляет от 16 500 тыс. рублей.

Заявка на бесплатную консультацию
В консультацию входит 3D-сканирование, визуализация вашей новой улыбки, индивидуальный план лечения, расчёт стоимости «под ключ»
Нажимая на кнопку «Бесплатная консультация», вы соглашаетесь с политикой конфиденциальности.
Заявка на бесплатную консультацию

Запишитесь на бесплатное 3D моделирование будущей улыбки!

+ рассрочка 0% на лечение
Запишитесь на бесплатное 3D моделирование будущей улыбки!

Почему выбирают ПРОПРИКУС

11000+ пациентов

Исправляют у нас прикус и лечат зубы в целом

835 пациентов

Пришли из других клиник, потому что там не решили их проблему

более 45% новых пациентов

Приходят к нам по рекомендации тех, кто уже лечится

100% гарантия

На все виды лечения и рассрочка на все услуги

Подходящие услуги

Установка элайнеров
Установка элайнеров
Элайнеры – это прозрачные капы из тонкого медицинского пластика мягко и точно перемещают зубы в нужное положение.
Узнать подробнее
Консультация ортодонта
Консультация ортодонта
Каждый пациент заинтересован, чтобы его лечил лучший ортодонт. Во время осмотра понаблюдайте, комфортно ли вам находиться рядом с врачом.
Узнать подробнее
Установка брекетов
Установка брекетов
Брекеты позволяют избавиться от скученности, устранить межзубные промежутки и получить ровные зубы. Длительность и стоимость терапии зависят от клинической картины.
Узнать подробнее
Лечение кариеса
Лечение кариеса
Кариес – поражение твердых тканей зубной единицы. Возникает при воздействии бактерий в полости рта. Сначала начинается деминерализация эмали.
Узнать подробнее
Лечение периодонтита
Лечение периодонтита
Периодонтит - сильное воспаление окружающих тканей зубной единицы. В голове человека расположено множество нервных волокон и кровеносных сосудов.
Узнать подробнее
20
660
/blog/lechenie/gingivit/
50
2000
comment@vnikuda.ru
/bitrix/components/ktoto/comments

Оставить комментарий


Оставьте заявку на запись на бесплатную консультацию ортодонта
В консультацию входит 3D-диагностика, визуализация вашей новой улыбки, индивидуальный план лечения, расчёт стоимости «под ключ».
Нажимая на кнопку «Бесплатная консультация», вы соглашаетесь с политикой конфиденциальности.
Оставьте заявку на запись на бесплатную консультацию ортодонта