Стираемость зубов, отсутствующий зуб и неправильный прикус — лечение на элайнерах Spark + имплантация

Стираемость зубов, отсутствующий зуб и неправильный прикус — лечение на элайнерах Spark + имплантация

У меня похожий случай
Итоги по кейсу
Пол
Женский
Возраст
36 лет
Жалоба
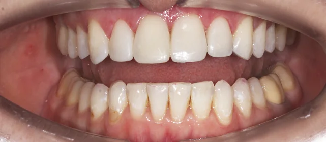
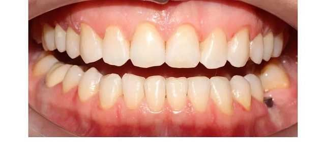
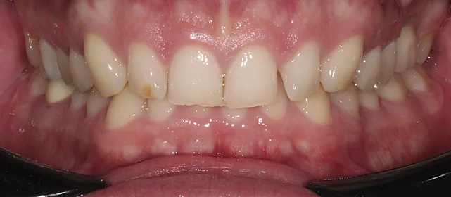
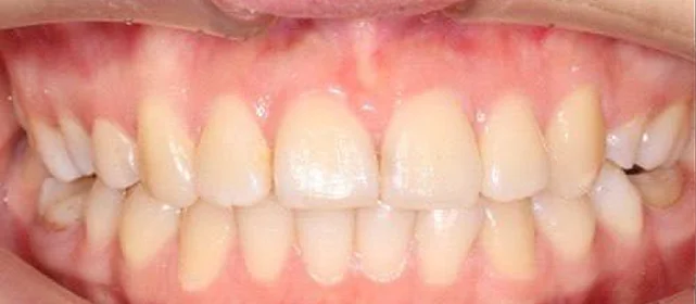
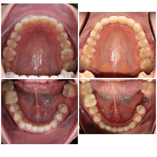
Не нравилась эстетика улыбки, неправильный прикус, отсутствует зуб на нижней челюсти.
Диагностика
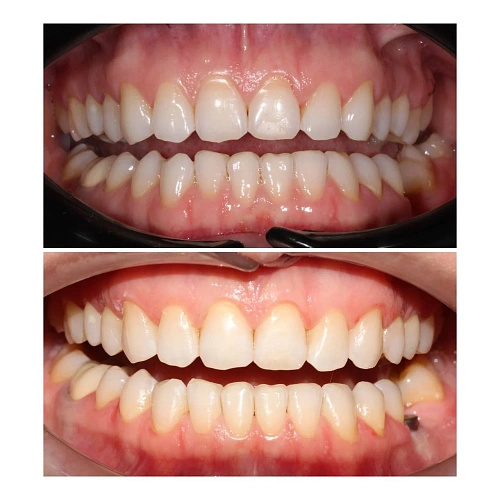
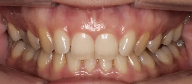
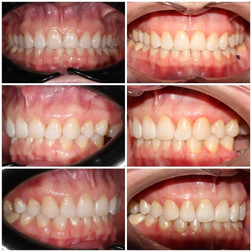
Передние зубы на обеих челюстях были наклонены внутрь (ретрузия). Отсутствовал нижний жевательный зуб (36). Генерализованная стираемость — эмаль истончена на зубах обеих челюстей.
План лечения
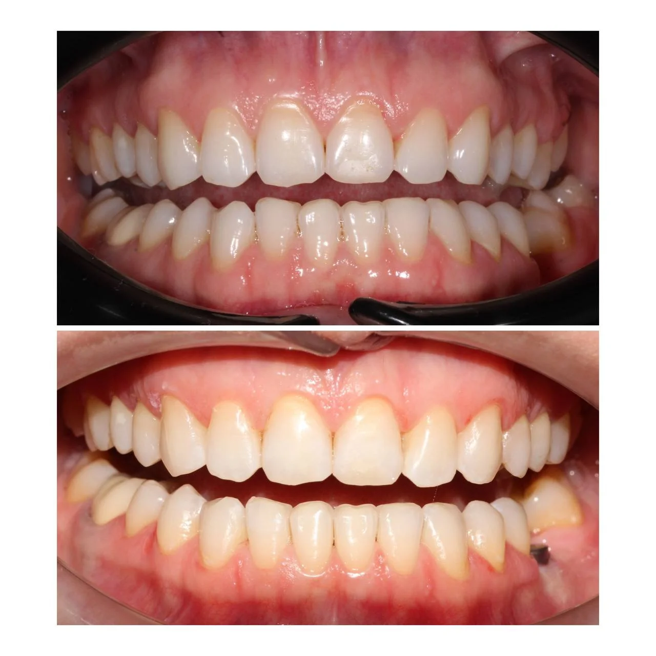
Комплексное лечение в несколько этапов: сначала элайнеры Spark для выравнивания зубов и исправления прикуса, параллельно — имплантация на место отсутствующего зуба, затем ортопедическая реабилитация. Срок ортодонтии — около 2 лет.
Ход лечения
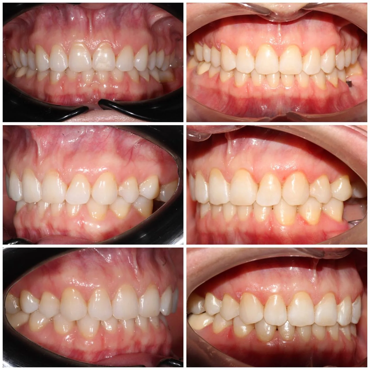
Ортодонтическое лечение заняло 23 месяца (сентябрь 2023 — август 2025). Параллельно хирург установил имплант на место отсутствующего зуба. Перед ретенцией проведена профессиональная гигиена со снятием. Совместная консультация ортодонта и ортопеда для планирования финального этапа.
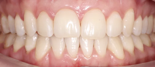
Результат
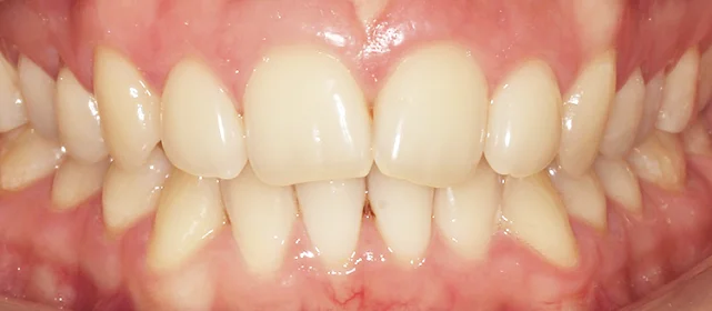
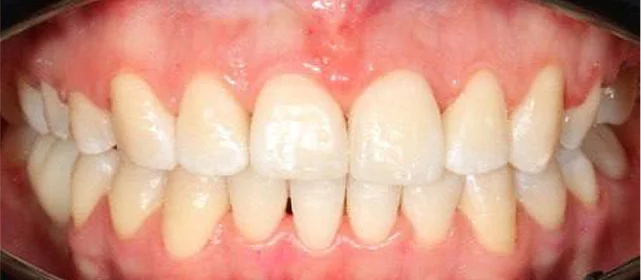
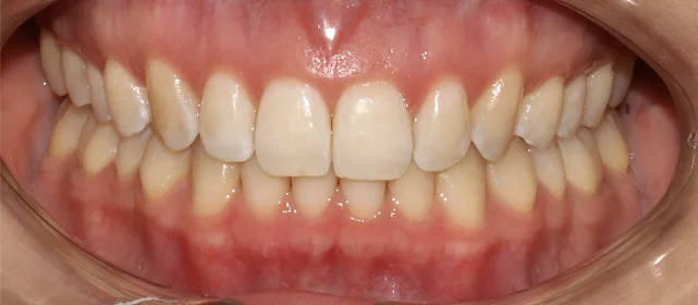
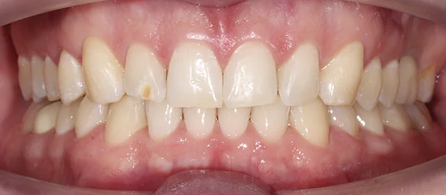
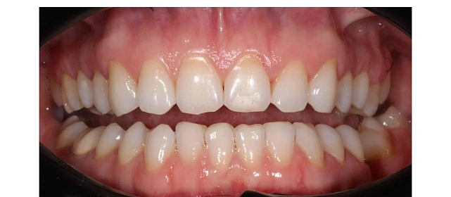
Зубы выровнены, прикус исправлен, имплант установлен. Ретейнеры зафиксированы на обе челюсти, сняты слепки для ретенционных кап. С октября пациентка начинает ортопедическую реабилитацию — коронка на имплант и восстановление стёртой эмали.

Дата публикации: 08.04.26

Фотографии опубликованы с согласия пациента

Проблема: Пациентку беспокоило сразу несколько вещей: не нравился внешний вид зубов, прикус был неправильным, а один жевательный зуб на нижней челюсти отсутствовал. При осмотре выяснилось, что передние зубы на обеих челюстях наклонены внутрь, а эмаль на всех зубах заметно стёрта. Нужно было решать не одну проблему, а комплекс — и в правильной последовательности.
Решение: Лечение шло в несколько параллельных потоков. Ортодонт поставила элайнеры Spark на обе челюсти — за 23 месяца выровняли зубы, исправили наклон резцов и нормализовали прикус. Параллельно хирург установил имплант на место отсутствующего зуба. Перед ретенцией провели профессиональную гигиену. Ортодонт и ортопед совместно спланировали финальный этап — протезирование и восстановление стёртой эмали. Пациентка начнёт ортопедическую реабилитацию в клинике: коронка на имплант плюс работа со стираемостью. Три специалиста, один план, всё под одной крышей.
Арутюнова Екатерина Ашотовна
Зав. отделением ортодонтии на Арбате
Стаж более 8 лет
★★★★★ 5.0
Хочу консультацию
Отзыв пациента
У меня было всё сразу: и кривые зубы, и стёртая эмаль, и дырка на месте зуба. Казалось, что это на годы и непонятно с чего начинать. Но в клинике разложили всё по шагам — что сначала, что потом, что параллельно. Элайнеры носила почти два года, имплант ставили в это же время. Сейчас впереди коронки и реставрации, но самое масштабное уже сделано. И мне впервые нравится, как выглядят мои зубы.
Комментарий врача
Случай, где один специалист не справился бы. Нужна была ортодонтия, имплантация и ортопедия — и всё в определённой последовательности. Элайнеры Spark отработали за 23 месяца, параллельно хирург поставил имплант. Совместно с ортопедом спланировали финальный этап — он начнётся, когда ортодонтический результат полностью стабилизируется. Именно так работает командный подход: каждый делает своё, но по общему плану.
Арутюнова Екатерина Ашотовна
Зав. отделением ортодонтии на Арбате
Оставьте заявку на запись на бесплатную консультацию ортодонта
В консультацию входит 3D-диагностика, визуализация вашей новой улыбки, индивидуальный план лечения, расчёт стоимости «под ключ».
Нажимая на кнопку «Бесплатная консультация», вы соглашаетесь с политикой конфиденциальности.
Оставьте заявку на запись на бесплатную консультацию ортодонта