Арутюнова Екатерина Ашотовна
Арутюнова Екатерина Ашотовна

Арутюнова Екатерина Ашотовна

★★★★★
5.0
Стоматолог - ортодонт
Временно не ведет прием

Родители приняли решение отдать меня в первый класс в школу, где есть профильный медицинский класс. Видимо уже тогда всё было решено;)
Спасибо им за это.

Когда пришло время определяться с профессией, я поняла, что стоматология — это то, что я хочу. Почему? С самого детства я отличалась общительностью и желанием всем помогать. Поэтому я всегда знала по каким критериям буду выбирать то, чем буду заниматься всю жизнь. Так я поступила в Тверской государственный медицинский университет. Учёба давалась легко, думаю поэтому я выбрала самую интересную и сложную специализацию — ортодонтию. Ну а дальше ординатура, семинары, вебинары, ведь в медицине учёба бесконечна.
1300
Вылечено пациентов
8
Стаж врача

На приеме за 45 минут вы получите:

Диагностику и оценку вашей текущей ситуации
Консультацию с ведущим врачом
3D-сканирование полости рта
Демонстрацию вашей улыбки после лечения
Фотопротокол для определения влияния прикуса на ваше тело
Подбор вида лечения в зависимости от ваших пожеланий и клинической ситуации

Биография врача

Профессиональный рост

Тверской Государственный Медицинский Университет

Ординатура по специальности ортодонтия: Академия постдипломного образования ФГБУ ФНКЦ ФМБА РОССИИ

Достижения

Новые возможности в ортодонтии с абсолютной опорой» 3-4 февраля 2018 С.А. Попов

«Внедрение операционного микроскопа в повседневную практику врача-стоматолога» Leica

«Ортодонтическое лечение детей: что? где? когда?» Сергей Тихонов

«Ортодонтическая резинтура. Современные принципы ортодонтического лечения. Основы диагностики» 7-9 декабря 2018

Первый Invisalign форум : синергия и взаимодействие ноябрь 2019

«Цифровая фотография в стоматологии» Align Technology ноябрь 2019

“Orthodontic diagnosis and treatment planning” Dr.Zafar Husanov апрель 2021

«Сплинт-терапия» Кочкаров Пулат Гулмурзаевич Москва 2020

«Дни ортодонтии» Равиндра Нанда, Кендзи Одзима, Доминго Мартин 15-17 ноября 2021

«Сплинт -терапия для стабилизации нижней челюсти» Апачиди Н.Ю. 14-15 декабря 2021

Какие проблемы прикуса я лечу?

Скученность зубов
Скученность зубов
Выпирающий ряд зубов
Выпирающий ряд зубов
«Съехавший» ряд зубов
«Съехавший» ряд зубов
«Хищные» клыки
«Хищные» клыки
Глубокий прикус
Глубокий прикус
Нет смыкания
Нет смыкания

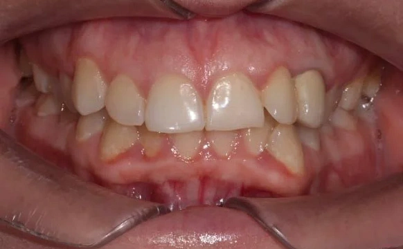
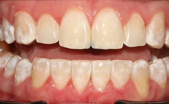
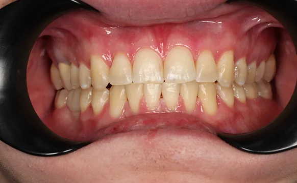
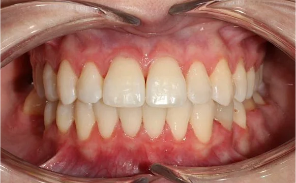
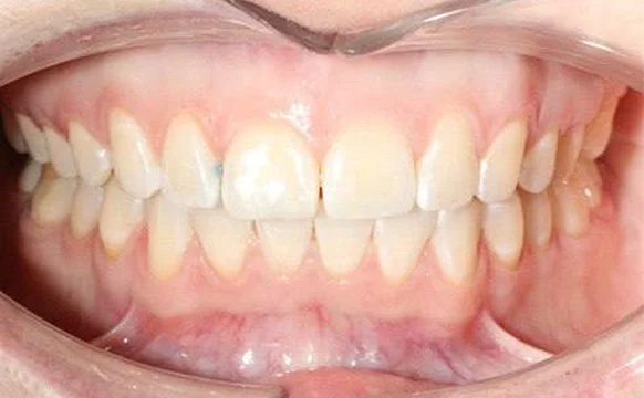
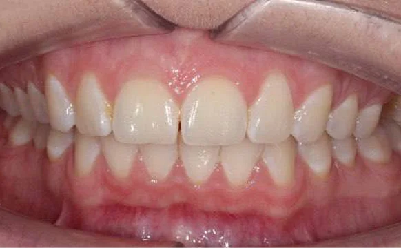
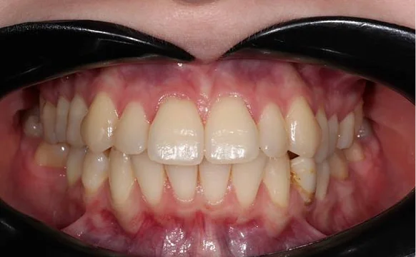
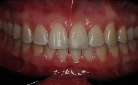
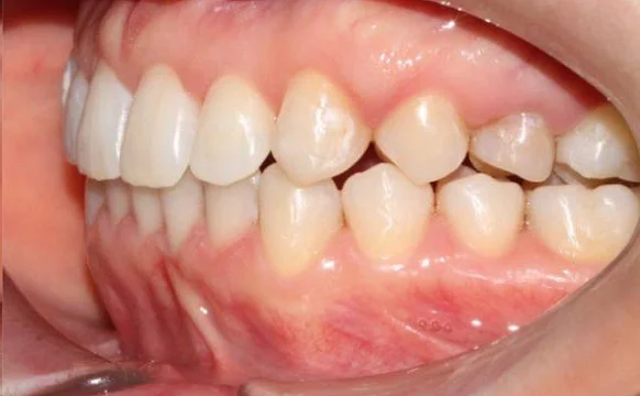
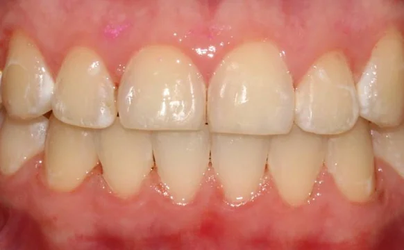
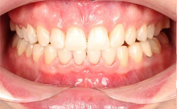
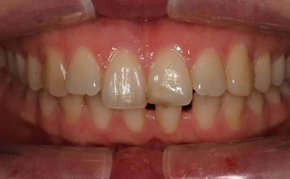
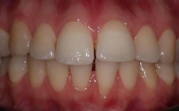
Выполненные работы

Лечение неправильного прикуса зубов на элайнерах Click Aligners за 23 месяца

Проблема
Врач
Арутюнова Екатерина Ашотовна

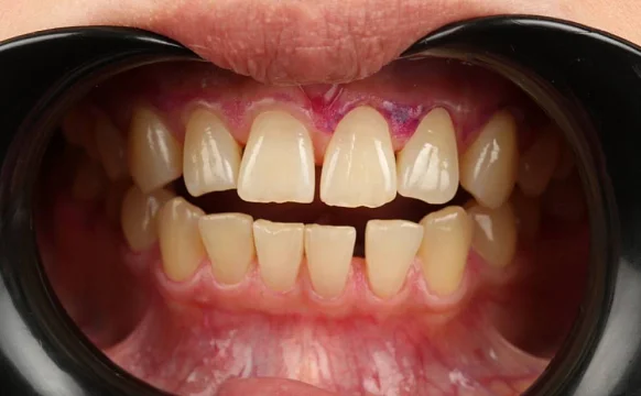
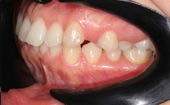
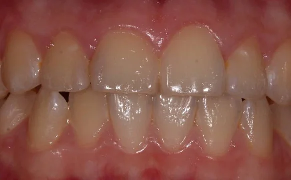
Стираемость зубов, отсутствующий зуб и неправильный прикус — лечение на элайнерах Spark + имплантация

Проблема
Врач
Арутюнова Екатерина Ашотовна

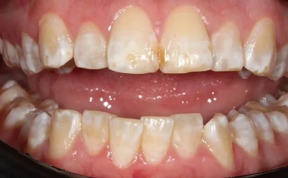
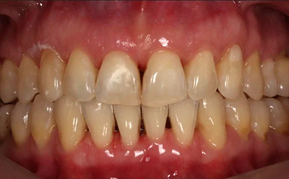
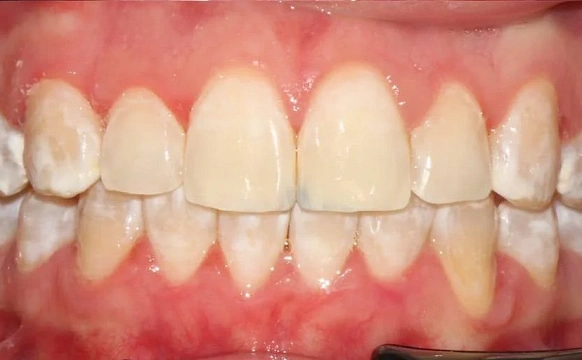
Лечение неправильного прикуса на элайнерах Click Aligners

Проблема
Врач
Арутюнова Екатерина Ашотовна

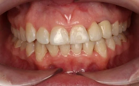
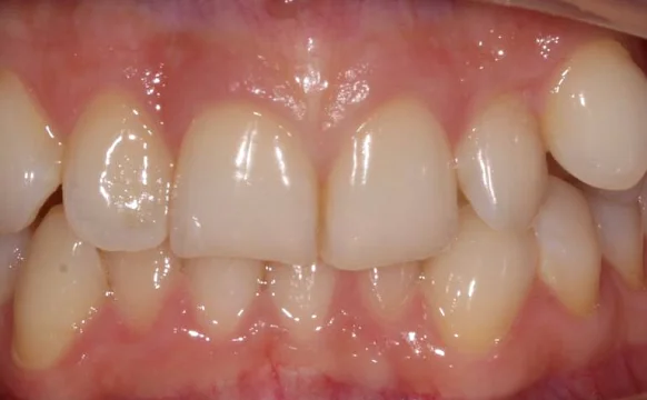
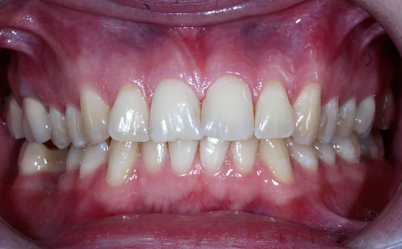
70 кап без единого дозаказа — сложный случай на элайнерах Spark за 3,5 года

Проблема
Врач
Арутюнова Екатерина Ашотовна

Устранили скученность и тесное положение зубов на элайнерах Sparks

Проблема
Врач
Арутюнова Екатерина Ашотовна
Ортодонтическое лечение на системе Click №1 Ортодонтическое лечение на системе Click №1

Ортодонтическое лечение на системе Click №1

Проблема
Скученность зубов на нижней и верхней челюсти.
Врач
Арутюнова Екатерина Ашотовна
Ортодонтическое лечение на элайнерах №10 Ортодонтическое лечение на элайнерах №10

Ортодонтическое лечение на элайнерах №10

Проблема
Врач
Арутюнова Екатерина Ашотовна
Лечение аномалии соотношений зубных дуг на брекет-системе Лечение аномалии соотношений зубных дуг на брекет-системе

Лечение аномалии соотношений зубных дуг на брекет-системе

Проблема
Врач
Арутюнова Екатерина Ашотовна
Коррекция аномалии соотношений зубных дуг элайнерами Коррекция аномалии соотношений зубных дуг элайнерами

Коррекция аномалии соотношений зубных дуг элайнерами

Проблема
узкая зубная дуга, скученность, микродентия боковых верхних резцов
Врач
Арутюнова Екатерина Ашотовна
Лечение протрузии верхних резцов на брекет-системе Лечение протрузии верхних резцов на брекет-системе

Лечение протрузии верхних резцов на брекет-системе

Проблема
Неправильный прикус
Врач
Арутюнова Екатерина Ашотовна
Коррекция дистального прикуса элайнерами Коррекция дистального прикуса элайнерами

Коррекция дистального прикуса элайнерами

Проблема
Врач
Арутюнова Екатерина Ашотовна
Лечение дистальной окклюзии на брекет-системе Лечение дистальной окклюзии на брекет-системе

Лечение дистальной окклюзии на брекет-системе

Проблема
Врач
Арутюнова Екатерина Ашотовна
Коррекция дистальной окклюзия на брекет-системе Коррекция дистальной окклюзия на брекет-системе

Коррекция дистальной окклюзия на брекет-системе

Проблема
Врач
Арутюнова Екатерина Ашотовна
Ортодонтическое лечение на элайнерах №7 Ортодонтическое лечение на элайнерах №7

Ортодонтическое лечение на элайнерах №7

Проблема
дистальный прикус, глубокая резцовая окклюзия
Врач
Арутюнова Екатерина Ашотовна
Ортодонтическое лечение на брекет-системе №3 Ортодонтическое лечение на брекет-системе №3

Ортодонтическое лечение на брекет-системе №3

Проблема
Врач
Арутюнова Екатерина Ашотовна

Отзывы

Варвара
Варвара
Я проходила лечение в клинике ПРОПРИКУС у доктора Арутюновой Екатерины Ашотовны. Я проходила лечение на системе StarSmile. Лечение проходило хорошо, доктор всегда была на связи, подсказывала. В инстаграме я очень часто задавала вопросы, она оперативно отвечала и все понятно подсказывала. Изначально я хотела брекеты и уже оплатила их в другой клинике. Моя подруга посоветовала обратиться к Екатерине в ПроПрикус. Я пришла на консультацию и выяснилось, что элайнеры займут 10 месяцев, а брекеты в моей ситуации выходили примерно 1.5 года, а также элайнеры оказались дешевле.
Natalia
Natalia
Долго я искала себе клинику и врача для исправления прикуса, много обошла различных мест, где говорили, что мне ортогностическую операцию нужно делать, лечиться потом на брекетах, ужас в общем, т.к. я знаю что такое брекеты - рецидив после них... В клинике Проприкус мне показали работы до и после исправления открытого прикуса как у меня на элайнерах и сомнений не осталось, что это самый лучший вариант! И я не разу не пожалела и с удовольствием рекомендую клинику и элайнеры своим друзьям, потому что "Под ключ", т.е. без доб. затрат и отличный сервис, нет ощущения что от тебя пытаются побыстрее избавится после оплаты, если требуются довыпускают доп.капы (без доплат) - главное результат! Огромное спасибо Екатерине Ашотовне за перфекционизм и такую любовь к своей профессии и нам - клиентам ❤️
Екатерина
Екатерина
Два года назад я пришла в Проприкус, чтобы начать лечение на элайнерах. Брекеты я не хотела, хотела именно элайнеры. Попала к Екатерине Ашотовне. Она просто душка! Привыкала я к капам, наверное дня 2. После каждого приёма пищи ты идёшь, чистишь зубки и они у тебя всегда чистые, всегда красивые. Я увидела результат уже через 2 месяца. Я стала чувствовать себя намного увереннее, намного красивее. По поводу Екатерины Ашотовны хочу сказать то, что она просто котик, она самый добрый человек на свете, самый, как мелко чувствующий, то что тебе нужно. И в общем,она очень классная! Я очень рада то, что мы познакомились! То, что именно она была моим доктором. От души всем рекомендую заняться своим прикусом, своей улыбкой, потому чо до/после - это небо и земля.
Татьяна
Татьяна
Привет, друзья! Меня зовут Татьяна Савина. Я телеведущая и преподаватель по голосу, речи и публичным выступлениям.

Екатерина Ашотовна — доктор мой обожаемый. Столько месяцев мы провели вместе и я буду тосковать по моим любимым элайнерам.

Все было сделано качественно, быстро, с удовольствием.

Короче говоря, я точно знаю, что остаюсь в этой клинике и  после того как мы завершаем сейчас мое лечение.

Потому что здесь хорошо. Здесь работают какие-то правильные люди и создана какая-то правильная атмосфера .

И легко это носится, ребят. Правда! Легко носится. Вообще незаметно.

Я ведущая, я в кадре работаю и в них работала. Дикция совершенно не страдает.

Знаете, какой плюс неожиданный ? Мне кажется, все, кто через элайнеры проходил, потом имеют привычку качественно ухаживать за зубами.

Какие минусы ?
Ну, минусы..я не знаю никаких минусов. Вот никаких минусов.
Виолетта
Виолетта
Меня зовут Виолетта, я проходила ортодонтическое лечение год. Мне понравилось в клинике отношение к пациентам. Спасибо за теплоту и доброту, которую врач излучала во время приема. Екатерина потрясающий специалист и профессионал своего дела. Теперь у меня прямые зубы и красивая улыбка!
Юлия
Юлия
Я проходила лечение на элайнерах в стоматологии ПроПрикус у Арутюновой Екатерины Ашотовны. Лечение длилось около года, результат меня очень радует, особенно когда я улыбаюсь, когда я разговариваю я понимаю, что у меня ровные зубы и меня это саму очень радует. Можно сказать о том, что после элайнеров меняется жизнь, потому что когда ты нравишься себе, то и жизнь вокруг становится другой!
Иосиф
Иосиф
Я проходил ортодонтическое лечение элайнерами в клинике проприкус у Екатерины Ашотовны. Было 52 элайнера, мне понравилось! Долго мучился с неровными зубами, но останавливали брекеты. Я очень щепетильно подхожу к приобретению вещей и к инвестициям в своё здоровье, поэтому очень долго изучал этот вопрос и понял, что брекеты - это точно не мое. Потом нашёл информацию о том, что есть такая штука как элайнеры и что в них можно есть практически все, что угодно. Главная задача - выровнять зубы, она решена!
Анна
Анна
Я проходила лечение у Екатерины Ашотовны. В целом лечение мне очень понравилось! Из плюсов: было удобно кушать, так как элайнеры можно снимать, а также гигиена полости рта осталась практически такой же как до ношения элайнеров. Впечатления после приема очень хорошие!
Ольга
Ольга
Я проходила лечение на элайнерах и уже успешно закончила. Я лечилась у Арутюновой Екатерины Ашотовны. Это мой наилюбимейший доктор. Она проявляет заботу к каждому пациенту и каждое посещение для меня - праздник. Я была настолько замотивирована получить красивую улыбку, что мне нравилось абсолютно все!

Подход к лечению

Доказательная база

Для эффективного лечения зубов необходима качественная диагностика. Врач применяет только научно-обоснованные решения.

Комплексность

При необходимости подключает логопеда, миотерапевта и других смежных специалистов — чтобы результат был не только красивым, 
но и функционально стабильным.

Простые объяснения

Сложные рекомендации переводит на понятный язык, показывает наглядные кейсы «до/после».

Сложные случаи

Врач справляется даже с самыми сложными случаями. 
Вы можете вылечить прикус с помощью прозрачных кап или классических брекетов, а также установить виниры и коронки, пройти профессиональную гигиену для взрослых
и детей, вылечить кариес, а также удалить зубы мудрости.
Блок картинки

Сертификаты

Сертификат №1 Арутюнова Екатерина Ашотовна
Сертификат №2 Арутюнова Екатерина Ашотовна
Сертификат №3 Арутюнова Екатерина Ашотовна
Сертификат №4 Арутюнова Екатерина Ашотовна
Сертификат №5 Арутюнова Екатерина Ашотовна
Сертификат №6 Арутюнова Екатерина Ашотовна
Сертификат №7 Арутюнова Екатерина Ашотовна

Оказываемые услуги

Элайнеры Click Aligners
Элайнеры Click Aligners нового поколения от российского производителя, разработанные ведущими ортодонтами. Протоколы лечения на элайнерах Click помогают точно спланировать перемещение зубов.
Узнать подробнее
Установка элайнеров
Элайнеры – это прозрачные капы из тонкого медицинского пластика мягко и точно перемещают зубы в нужное положение.
Узнать подробнее
Установка брекетов
Брекеты позволяют избавиться от скученности, устранить межзубные промежутки и получить ровные зубы. Длительность и стоимость терапии зависят от клинической картины.
Узнать подробнее
Установка ретейнеров
Ретейнер — это ортодонтическая конструкция, которую устанавливают сразу после снятия брекетов.
Узнать подробнее
Брекеты на верхнюю челюсть
Верхние зубы далеки от идеала – в голове почти сразу возникает мысль о брекетах.
Узнать подробнее
Брекеты на нижнюю челюсть
Ортодонтическое лечение брекет-системами дает хорошие результаты в исправлении прикуса, улучшая эстетику улыбки и жевательную функцию.
Узнать подробнее
Консультация ортодонта
Каждый пациент заинтересован, чтобы его лечил лучший ортодонт. Во время осмотра понаблюдайте, комфортно ли вам находиться рядом с врачом.
Узнать подробнее
Брекеты Damon
Брекеты Даймон – безлигатурные системы нового поколения, с помощью которых можно качественно выровнять зубной ряд и откорректировать прикус.
Узнать подробнее
Брекеты Damon Q
Брекет-система Damon Q — эстетичные саморегулирующие металлические брекеты, популярные, эстетичные и самые современные самолигирующие металлические брекеты от американского бренда ORMCO.
Узнать подробнее
Брекеты Damon Clear
Ортодонтические конструкции Damon разработаны специалистами американской компании Ormco, имеющей все необходимые лицензии для обеспечения качества и безопасности лечения.
Узнать подробнее
Диагностика зубов и полости рта
Качественная стоматологическая диагностика нужна для раннего выявления зубных заболеваний.
Узнать подробнее

Публикации врача

Керамические или металлические брекеты: чем отличаются и что выбрать
Металлические или керамические брекеты — вопрос, с которым сталкивается почти каждый пациент на консультации у ортодонта. Оба варианта исправляют прикус и выравнивают зубы, но отличаются по эстетике, цене, комфорту и управляемости в сложных случаях.
Узнать подробнее
Элайнеры при скученности зубов
Элайнеры исправляют скученность зубов — но не в любой ситуации. Все зависит от того, сколько миллиметров не хватает в ряду. В статье разбираем, при каких степенях каппы работают самостоятельно, когда нужна сепарация или расширение дуги, сколько длится лечение и почему без ретейнера результат не держится. Без общих слов — только то, что реально влияет на выбор метода.
Узнать подробнее
Смещение зубов
Мы привыкли думать, что зубы – это неподвижные образования, прочно зафиксированные в костной ткани. Кажется, выросли постоянные, так и останутся на месте до конца жизни. Но на самом деле это не совсем так.
Узнать подробнее
Молочный прикус у детей
Молочный прикус — это первый, временный набор зубов у ребенка. Он состоит из 20 зубов, по 10 на каждой челюсти. В отличие от постоянного прикуса, который включает 32 зуба, в молочном прикусе отсутствуют премоляры (малые коренные зубы) и третьи моляры («зубы мудрости»).
Узнать подробнее
Щелкает челюсть
Дискомфорт и щелчки в челюсти – это признаки нарушения в работе височно-нижнечелюстного сустава (ВНЧС). Патология может возникнуть по нескольким причинам и требует срочного обращения в стоматологическую клинику.
Узнать подробнее
Со скольки лет можно ставить элайнеры
Неправильный прикус провоцирует нарушения в работе зубочелюстного аппарата и других систем организма. Современная медицина нашла много способов коррекции неправильного прикуса.
Узнать подробнее
Лигатурные и безлигатурные брекеты
Безлигатурные (самолигирующие) брекеты фиксируют дугу без резинок-лигатур — через встроенный замок. Визиты к ортодонту реже: раз в 8–10 недель вместо 4–6. Общие сроки лечения при этом не сокращаются.
Узнать подробнее
Болит челюсть
Болевые ощущения со стороны челюсти – распространенный симптом, который при диагностике определяется как одна или даже несколько проблем со здоровьем. Лечением патологии занимаются стоматологи и другие узкие специалисты.
Узнать подробнее
Что делать если отклеился брекет
Неправильный уход, чрезмерное давление, другие причины способствуют поломке или отклеиванию брекетов.
Узнать подробнее
Упражнения для челюсти
Миогимнастика – альтернативный метод профилактики и лечения патологий развития зубочелюстной системы. В ортодонтии такой способ используется самостоятельно и в сочетании с другими лечебными или профилактическими методиками.
Узнать подробнее
Виниры или коронки
Многие пациенты не видят особых различий между коронками и винирами, поэтому наша статья поможет вам разобраться, в чем отличие и какой способ совершенствования улыбки вам подходит.
Узнать подробнее
Наращивание кости
Имплантация невозможна без достаточного объёма костной ткани — а он убывает уже в первый год после потери зуба. Наращивание кости, или остеопластика, решает эту проблему и открывает возможность для вживления имплантата даже при выраженной атрофии. В статье рассказываем, какие методы костной пластики существуют, в чём разница между синус-лифтингом, направленной регенерацией и подсадкой блока, как проходит подготовка и восстановление после операции.
Узнать подробнее
Зубной свищ
Результатом нелеченого воспалительного процесса в зоне корней зуба может стать свищ на десне.
Узнать подробнее
Какую зубную пасту выбрать
Чистка зубов — базовая гигиеническая процедура, пренебрегать которой не рекомендуется.
Узнать подробнее
Глоссит
Глоссит – воспаление языка. Инфекционные и другие заболевания, вредные привычки, повреждения, а также другие причины могут вызвать неприятную патологию.
Узнать подробнее
Оставьте заявку на запись на бесплатную консультацию ортодонта
В консультацию входит 3D-диагностика, визуализация вашей новой улыбки, индивидуальный план лечения, расчёт стоимости «под ключ».
Нажимая на кнопку «Бесплатная консультация», вы соглашаетесь с политикой конфиденциальности.
Оставьте заявку на запись на бесплатную консультацию ортодонта