Джурабаева Ситорахон Акбаровна
Джурабаева Ситорахон Акбаровна

Джурабаева Ситорахон Акбаровна

★★★★★
4.9
Здравствуйте! Меня зовут Джурабаева Ситорахон Акбаровна. Я врач-стоматолог общей практики и врач-ортодонт .

Безграничная любовь к профессии и чувство ответственности формируют мой собственный стиль работы. Каждый пациент для меня — повод подумать и индивидуально подойти к решению каждой ситуации. Искренне верю в то, что это единственный верный путь

Один из моих руководителей мне однажды сказал фразу, которой я руководствуюсь и сегодня. Он порекомендовал безупречно делать свою работу. Я придерживаюсь этого принципа уже много лет, и он меня не подводит .
45
Вылечено пациентов
5
Стаж врача

На приеме за 45 минут вы получите:

Диагностику и оценку вашей текущей ситуации
Консультацию с ведущим врачом
3D-сканирование полости рта
Демонстрацию вашей улыбки после лечения
Фотопротокол для определения влияния прикуса на ваше тело
Подбор вида лечения в зависимости от ваших пожеланий и клинической ситуации

Биография врача

Профессиональный рост
  • В 2020 году оконочила Кыргызско Российский-Славянский университет им Б.Н.Ельцина
  • В 2022 году окнчила ординатуру по стоматологии общей практики в Киргизской Государственной Медицинской академии им. И.К Ахунбаева.

Какие проблемы прикуса я лечу?

Скученность зубов
Скученность зубов
Выпирающий ряд зубов
Выпирающий ряд зубов
«Съехавший» ряд зубов
«Съехавший» ряд зубов
«Хищные» клыки
«Хищные» клыки
Глубокий прикус
Глубокий прикус
Нет смыкания
Нет смыкания

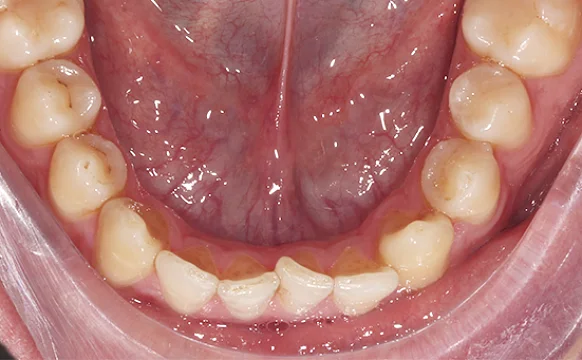
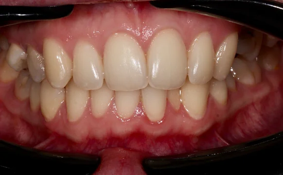
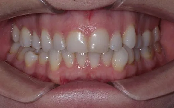
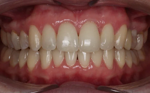
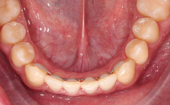
Выполненные работы

Ортодонтическое лечение на брекет-системе №1 Ортодонтическое лечение на брекет-системе №1

Ортодонтическое лечение на брекет-системе №1

Проблема
Скученность зубов
Врач
Джурабаева Ситорахон Акбаровна
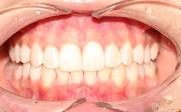
Лечение аномалии соотношения зубных дуг элайнерами Лечение аномалии соотношения зубных дуг элайнерами

Лечение аномалии соотношения зубных дуг элайнерами

Проблема
Неправильный прикус
Врач
Джурабаева Ситорахон Акбаровна
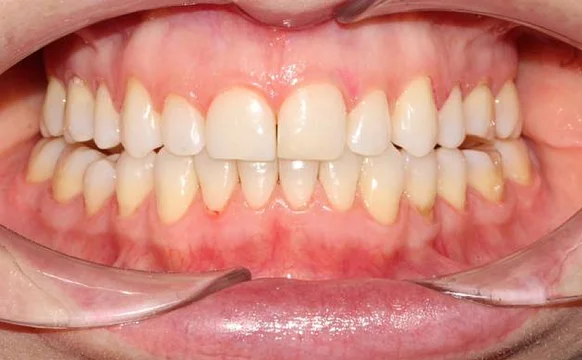
Лечение аномалии соотношения зубных дуг элайнерами Лечение аномалии соотношения зубных дуг элайнерами

Лечение аномалии соотношения зубных дуг элайнерами

Проблема
дистальный прикус, глубокая резцовая окклюзия
Врач
Джурабаева Ситорахон Акбаровна
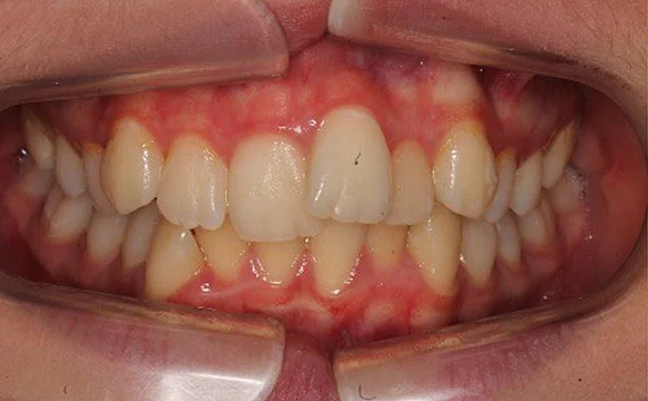
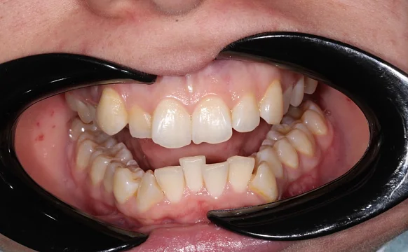
Лечение неправильного прикуса элайнерами Лечение неправильного прикуса элайнерами

Лечение неправильного прикуса элайнерами

Проблема
прямое смыкание, сужение зубных дуг, скученность
Врач
Джурабаева Ситорахон Акбаровна
Ортодонтическое лечение на элайнерах №6 Ортодонтическое лечение на элайнерах №6

Ортодонтическое лечение на элайнерах №6

Проблема
Врач
Джурабаева Ситорахон Акбаровна

Нивелировка зубных рядов

Проблема
Mужчина, 32
Количество кап: 27
Врач
Джурабаева Ситорахон Акбаровна

Расширение элайнерами

Проблема
Женщина, 38
Количество кап: 120
Врач
Джурабаева Ситорахон Акбаровна

Исправление скученности

Проблема
Пациент обратился с проблемой неровности зубов.
Врач
Джурабаева Ситорахон Акбаровна

Коррекция смыкания элайнерами

Проблема
Скученность зубов на верхней и нижней челюстях
Врач
Джурабаева Ситорахон Акбаровна

Лечение перекрестного смыкания в боковом сегменте

Проблема
Сужение зубных рядов, перекрестное смыкание в боковом сегменте слева (в области премоляров полное обратное перекрытие)
Врач
Джурабаева Ситорахон Акбаровна

Устранение глубокого перекрытия с помощью элайнеров

Проблема
Женщина, 25
Количество кап: 54
Врач
Джурабаева Ситорахон Акбаровна

Отзывы

Данил Герасимов
Пришёл к Ситорахон Акбаровне по совету друга. У меня была скученность на нижней челюсти, мешала нормальная гигиена. Выбрали элайнеры, лечение заняло 8 месяцев. Джурабаева всегда отвечает на вопросы, ни разу не почувствовал себя брошенным. Результат отличный, зубы теперь легко чистить.
Вера Селезнева
Лечусь у Джурабаевой на брекетах, до этого был неудачный опыт в другой клинике. Ситорахон Акбаровна разобралась в ситуации и предложила план коррекции. Нравится её подход: безупречно делает свою работу, как она сама говорит. Рекомендую тем кто ищет надёжного ортодонта.
Анна Молчанова
Мне 38 лет, пришла к Ситорахон Акбаровне с глубоким перекрытием и скученностью. Выбрали элайнеры потому что работаю с людьми, брекеты не вариант. Джурабаева очень внимательная, помнит все детали моего случая. Ношу капы полгода, уже вижу как открывается прикус.
Мария Зверева
Обратилась к Джурабаевой С.А. с перекрёстным смыканием в боковом отделе. Случай был непростой, в другой клинике предлагали хирургию. Ситорахон Акбаровна предложила попробовать элайнеры сначала, и получилось! Ношу капы больше года, прикус выровнялся без операции.
Вероника Зайцева
Лечусь у Ситорахон Акбаровны на элайнерах уже 10 месяцев. Выбрала её после консультации, понравился индивидуальный подход. Врач не просто выдаёт капы, а реально анализирует каждый этап, корректирует план при необходимости. Очень ответственный специалист.

Подход к лечению

Доказательная база

Для эффективного лечения зубов необходима качественная диагностика. Врач применяет только научно-обоснованные решения.

Комплексность

При необходимости подключает логопеда, миотерапевта и других смежных специалистов — чтобы результат был не только красивым, 
но и функционально стабильным.

Простые объяснения

Сложные рекомендации переводит на понятный язык, показывает наглядные кейсы «до/после».

Сложные случаи

Врач справляется даже с самыми сложными случаями. 
Вы можете вылечить прикус с помощью прозрачных кап или классических брекетов, а также установить виниры и коронки, пройти профессиональную гигиену для взрослых
и детей, вылечить кариес, а также удалить зубы мудрости.
Блок картинки

Оказываемые услуги

Элайнеры Click Aligners
Элайнеры Click Aligners нового поколения от российского производителя, разработанные ведущими ортодонтами. Протоколы лечения на элайнерах Click помогают точно спланировать перемещение зубов.
Узнать подробнее
Установка элайнеров
Элайнеры – это прозрачные капы из тонкого медицинского пластика мягко и точно перемещают зубы в нужное положение.
Узнать подробнее
Реставрация зубов
В современной стоматологии реставрация зубов сочетает эстетику, профилактику и лечение. Выполненная в клинике художественная реставрация вернет гармонию зубного ряда и функционал поврежденных зубов.
Узнать подробнее
Установка брекетов
Брекеты позволяют избавиться от скученности, устранить межзубные промежутки и получить ровные зубы. Длительность и стоимость терапии зависят от клинической картины.
Узнать подробнее
Установка ретейнеров
Ретейнер — это ортодонтическая конструкция, которую устанавливают сразу после снятия брекетов.
Узнать подробнее
Брекеты на верхнюю челюсть
Верхние зубы далеки от идеала – в голове почти сразу возникает мысль о брекетах.
Узнать подробнее
Брекеты на нижнюю челюсть
Ортодонтическое лечение брекет-системами дает хорошие результаты в исправлении прикуса, улучшая эстетику улыбки и жевательную функцию.
Узнать подробнее
Реставрация передних зубов
Процедура реставрации зубов направлена на восстановление их эстетики и функциональных возможностей после травм или стоматологических заболеваний.
Узнать подробнее
Консультация ортодонта
Каждый пациент заинтересован, чтобы его лечил лучший ортодонт. Во время осмотра понаблюдайте, комфортно ли вам находиться рядом с врачом.
Узнать подробнее
Металлические брекеты
Металлические брекеты, несмотря на то, что выделяются, полностью компенсируют данный ньюанс высокой эффективностью и точностью перемещения зубов.
Узнать подробнее
Керамические брекеты
Керамические брекеты — современное решение в ортодонтии, сочетающее эффективность коррекции прикуса с высокой эстетикой.
Узнать подробнее
Безлигатурные (самолигирующие) брекеты
Безлигатурные (самолигирующие) брекеты — это системы, в которых дуга фиксируется в замке без помощи специальных лигатур. Они имеют ряд плюсов по сравнению с другими системами.
Узнать подробнее
Брекеты Damon
Брекеты Даймон – безлигатурные системы нового поколения, с помощью которых можно качественно выровнять зубной ряд и откорректировать прикус.
Узнать подробнее
Брекеты Damon Q
Брекет-система Damon Q — эстетичные саморегулирующие металлические брекеты, популярные, эстетичные и самые современные самолигирующие металлические брекеты от американского бренда ORMCO.
Узнать подробнее
Брекеты Damon Clear
Ортодонтические конструкции Damon разработаны специалистами американской компании Ormco, имеющей все необходимые лицензии для обеспечения качества и безопасности лечения.
Узнать подробнее
Диагностика зубов и полости рта
Качественная стоматологическая диагностика нужна для раннего выявления зубных заболеваний.
Узнать подробнее

Публикации врача

«Акулья улыбка» у детей
«Акулья улыбка» (полиодонтия) – это не просто образное выражение, а реальная стоматологическая патология, которая достаточно редко наблюдается у детей и подростков.
Узнать подробнее
Как убрать зубной камень
Зубной камень – проблема, с которой сталкиваются люди разных возрастов. Более 65% человек страдают от частого появления каменных отложений. Как только вы заметили легкий налет, обратитесь к стоматологу. Он может развиваться на открытой поверхности зуба, появляется в поддесневом пространстве. А это вызывает более серьезные патологии.
Узнать подробнее
Молочница во рту
Кандидоз или молочница – распространенное инфекционное заболевание, вызванное дрожжеподобными грибами. Часто развивается в слизистой полости рта. Не важно, сколько вам лет. Проблема возникает в любом возрасте. Патологию вызывает грибок рода Candida. На слизистой оболочке появляются бляшки. Образования имеют творожистую массу. Пациенты испытывают жжение и другие неприятные ощущения. Пережевывание еды вызывает дискомфорт. Чувствуется болезненность при разговоре. Неприятный запах, сухость и боль требуют немедленной помощи врача.
Узнать подробнее
Оставьте заявку на запись на бесплатную консультацию ортодонта
В консультацию входит 3D-диагностика, визуализация вашей новой улыбки, индивидуальный план лечения, расчёт стоимости «под ключ».
Нажимая на кнопку «Бесплатная консультация», вы соглашаетесь с политикой конфиденциальности.
Оставьте заявку на запись на бесплатную консультацию ортодонта