Толова Саида Артуровна
Толова Саида Артуровна

Толова Саида Артуровна

★★★★★
5.0
Терапевт
Выбор моей профессии не случаен.

С самого маленького возраста я твёрдо решила, что пойду учиться именно на стоматолога, потому что имела печальный опыт с походами в стоматологии-неудачное лечение зубов, грубое отношение и непрофессионализм докторов.

Я росла и вместе со мной росло мое огромное желание помогать людям, дарить улыбки и просто делать их счастливыми . На мой взгляд определённые черты моего характера такие как: терпение, усидчивость, любовь к людям и безумное желание им помочь, являются самым важным для это профессии.

Для каждого человека поход к стоматологу своего рода стресс.

Профессионализм, правильный психологический подход к больному и ответственность за проведенные манипуляции - это уже 90% успеха, остальные 10% - умение задать изначально правильную и спокойную атмосферу на приёме.

Я полностью чувствую себя частью того дела, которым занимаюсь и с огромным удовольствием буду прививать эту любовь вам.
870
Вылечено пациентов
8
Стаж врача

На приеме за 45 минут вы получите:

Диагностику и оценку вашей текущей ситуации
Консультацию с ведущим врачом
3D-сканирование полости рта
Демонстрацию вашей улыбки после лечения
Фотопротокол для определения влияния прикуса на ваше тело
Подбор вида лечения в зависимости от ваших пожеланий и клинической ситуации

Биография врача

Профессиональный рост
  • 2016 «Regeneration day. Биоматериалы: кратчайший путь к нужному результату»
  • 2016 «Имплантация и протезирование на имплантатах XIVE»
  • 2020 «Direct Posterior. Путь художника»
  • 2020 «КЛКТ в практике врача стоматолога. Топ-7 инструментов для профессиональной визуализации»
  • 2021 Научно-практический семинар «Оказание экстренной медицинской помощи на амбулаторном стоматологическом приеме»

Какие проблемы прикуса я лечу?

Скученность зубов
Скученность зубов
Выпирающий ряд зубов
Выпирающий ряд зубов
«Съехавший» ряд зубов
«Съехавший» ряд зубов
«Хищные» клыки
«Хищные» клыки
Глубокий прикус
Глубокий прикус
Нет смыкания
Нет смыкания

Выполненные работы

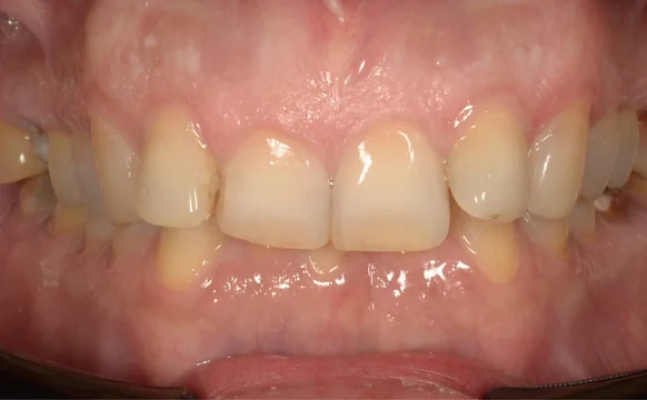
Реабилитация возрастных пациентов 


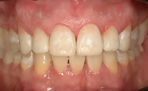
Проблема
Множественный кариес. Снижение высоты прикуса за счет множественной стираемости зубов и неправильно восстановленной анатомии зубов.
Врач
Толова Саида Артуровна

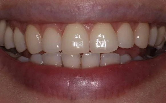
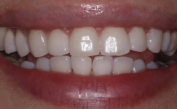
Реставрация

Проблема
Эстетическая стоматология
Врач
Толова Саида Артуровна

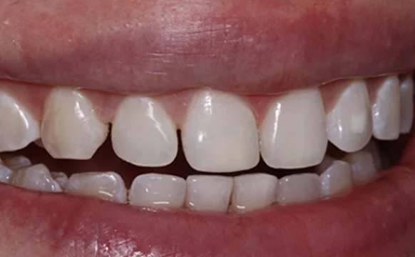
Реставрация переднего зуба

Проблема
Эстетическая стоматология
Врач
Толова Саида Артуровна

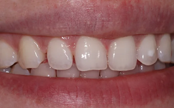
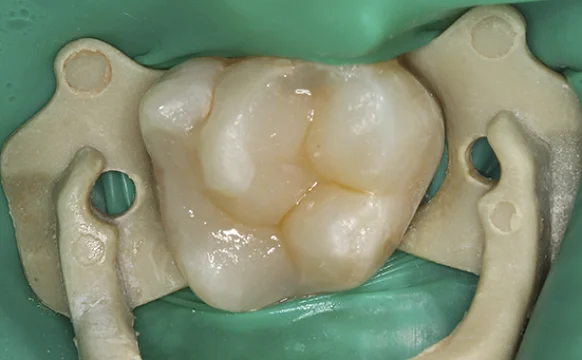
Лечение от кариеса

Проблема
Боль в зубе, кариес
Врач
Толова Саида Артуровна

Лечение кариеса

Проблема
Врач
Толова Саида Артуровна

Лечение кариеса зубов

Проблема
Врач
Толова Саида Артуровна

Эстетическая реставрация задних зубов

Проблема
Врач
Кламм Алиса Вячеславовна

Реставрация зубов

Проблема
Врач
Кламм Алиса Вячеславовна

Эстетическая реставрация жевательной группы зубов

Проблема
Врач
Кламм Алиса Вячеславовна

Эстетическая реставрация фронтальной группы зубов

Проблема
Врач
Кламм Алиса Вячеславовна

Детская профилактическая гигиена полости рта

Проблема
Врач
Кламм Алиса Вячеславовна

Профилактическая гигиена полости рта на этапе лечения на элайнерах

Проблема
Врач
Кламм Алиса Вячеславовна

Восстановление цвета эмали с помощью отбеливания Zoom 4

Проблема
Врач
Кламм Алиса Вячеславовна

Отбеливание системой ZOOM4

Проблема
Врач
Кламм Алиса Вячеславовна

Отбеливание системой Zoom 4

Проблема
Врач
Кламм Алиса Вячеславовна

Отзывы

Нургия
Нургия
Меня зовут Нургия, я лечусь ПРОПРИКУС. У меня ортодонтическое лечение брекетами, и меня всё здесь очень устраивает, мне здесь всё очень нравится. Сейчас была гигиена у Саиды Артурны, и было очень комфортно, спасибо ей огромное. И в целом спасибо этой клиники за такой чувствительный подход каждому проценту.
Пациент клиники Проприкус
Пациент клиники Проприкус
Мы закончили лечение в клинике Проприкус. У меня был замечательный врач, Саида Артуровна, которая сделала эту шикарную улыбку, за что я очень благодарен всем, кто над ней работал. Спасибо большое.
Артемова Ксения
Артемова Ксения
Здравствуйте, меня зовут Артемова Ксения, я проходила в клинике ПРОПРИКУС ортодотническое лечение и очень довольна этим лечением, особенно и довольна терапевтом Толовой Саидой Артуровной. Я ее очень люблю, она настоящая профессионала своего дела.
Янборисова Аида
Янборисова Аида
Добрый день!
Мой сын Алан проходит ортодонтическое лечение на брекетах в клинике Проприкус и каждые 3-4 месяца проходит профилактический осмотр и чистку у прекрасного врача Толовой Саиды Артуровны.
Пользуясь случаем, хочу поблагодарить вас, Саида Артуровна, за профессионализм, чуткость, терпение и рекомендации, которые вы даете после каждой чистки.
Благополучия и процветания вам и  клинике.
Екатерина Карпова
Екатерина Карпова
Всем добрый день! Меня зовут Карпова Екатерина Леонидовна.
Я сегодня закончила лечение на элайнерах. Если честно, то немного грустно, потому что к ним настолько привыкаешь, они ни капли не мешают повседневной жизни, а наоборот даже являются изюминкой для тех, кто присматривался. Им было интересно, потому что в основном люди привыкли к брекетам или железным конструкциям, а тут что-то необычное и незаметное, что помогает сделать улыбку симпатичнее.
Еще помимо ортодонтического лечения я была на гигиене у Саиды Артуровны.
Врачи очень внимательные и компетентные. Всем рекомендую.
Валентина Трубникова
Валентина Трубникова
Сегодня сделала чистку у Саиды Артуровны. Безумно понравилось.
Я сидела, ожидала. Всегда боялась делать чистку, но чистка настолько была безболезненна, вообще в радость. Она объясняла каждую детальку, каждый зубик. Я с удовольствием сегодня сделала чистку и получила очень классных много эмоций. Врач просто от бога. Приходите и чистите свои зубки.

Видео отзывы пациентов

Подход к лечению

Доказательная база

Для эффективного лечения зубов необходима качественная диагностика. Врач применяет только научно-обоснованные решения.

Комплексность

При необходимости подключает логопеда, миотерапевта и других смежных специалистов — чтобы результат был не только красивым, 
но и функционально стабильным.

Простые объяснения

Сложные рекомендации переводит на понятный язык, показывает наглядные кейсы «до/после».

Сложные случаи

Врач справляется даже с самыми сложными случаями. 
Вы можете вылечить прикус с помощью прозрачных кап или классических брекетов, а также установить виниры и коронки, пройти профессиональную гигиену для взрослых
и детей, вылечить кариес, а также удалить зубы мудрости.
Блок картинки

Сертификаты

Сертификат №1 Толова Саида Артуровна
Сертификат №3 Толова Саида Артуровна
Сертификат №3 Толова Саида Артуровна
Сертификат №4 Толова Саида Артуровна
Сертификат №5 Толова Саида Артуровна
Сертификат №6 Толова Саида Артуровна
Сертификат №7 Толова Саида Артуровна
Сертификат №8 Толова Саида Артуровна

Оказываемые услуги

Лечение кариеса
Кариес – поражение твердых тканей зубной единицы. Возникает при воздействии бактерий в полости рта. Сначала начинается деминерализация эмали.
Узнать подробнее
Наращивание зуба
Наращивание зуба - сложная методика. Предполагает восстановление поврежденных зубных единиц. Способ соприкасается с терапией, ортопедией и реставрацией.
Узнать подробнее
Лечение пришеечного кариеса
Пришеечный кариес развивается на границе десны и эмали. В этом месте зуб наиболее подвержен воздействию болезнетворных бактерий из-за скопления налета.
Узнать подробнее
Керамические коронки
Керамика - искусственный аналог зубной эмали. Поэтому керамические коронки практически нельзя отличить от настоящего зуба.
Узнать подробнее
Реставрация зубов
В современной стоматологии реставрация зубов сочетает эстетику, профилактику и лечение. Выполненная в клинике художественная реставрация вернет гармонию зубного ряда и функционал поврежденных зубов.
Узнать подробнее
Пульпит
Острая зубная боль может быть признаком опасного заболевания — пульпита. Не терпите боль, приходите в клинику ПРОПРИКУС.
Узнать подробнее
Художественная реставрация зубов
Художественное восстановление зубов исправляет все видимые дефекты современными стоматологическими методиками.
Узнать подробнее
Пластика десны
Гингивопластика – малотравматичная хирургическая операция, призванная скорректировать контуры одной или нескольких десен.
Узнать подробнее
Установка пломбы на зуб
Пломбы активно используются при восстановлении коронок и зубных каналов. Такая работа необходима при лечении пульпита и периодонтита.
Узнать подробнее
Композитная реставрация зубов
Реставрация зубов композитом позволяет восстановить эстетику улыбки. Поверхность не стирается. Материалы выдерживают высокие нагрузки.
Узнать подробнее
Удаление нерва зуба
Зубной нерв является частью пульпы. Состоит из сосудов и нервных волокон. Она расположена под эмалью. Защищает от вредных бактерий.
Узнать подробнее
Лечение зубов под микроскопом
Лечение под микроскопом – современная методика в стоматологии, при которой можно в деталях рассмотреть поверхность зуба во время художественной реставрации или его внутреннюю структуру во время эндодонтической терапии.
Узнать подробнее
Реставрация передних зубов
Процедура реставрации зубов направлена на восстановление их эстетики и функциональных возможностей после травм или стоматологических заболеваний.
Узнать подробнее
Удаление корня зуба
В стоматологии ПРОПРИКУС можно удалять корни потерянных или сильно разрушенных зубных единиц без боли.
Узнать подробнее
Базальная имплантация
К одноэтапным протоколам лечения относится базальная имплантация зубов — методика, рекомендованная при частичной или полной адентии.
Узнать подробнее
Лечение кариеса ICON
Методика инфильтрации ICON используется для эффективного лечения начального проявления кариеса. Чтобы убрать первые дефекты от кариозного поражения, не нужно проводить сверление зубов.
Узнать подробнее
Удаление кисты зуба
Киста — это патологическое образование на корне. Представляет собой полость, заполненную жидкостью.
Узнать подробнее
Лечение каналов зуба
Канал зуба - тонкие полости, которые проходят по длине корней. В корневой системе располагается пульпа, состоящая из сосудов и нерва.
Узнать подробнее
Вкладка на зуб
Зубная вкладка – метод восстановления поврежденной зубной единицы. Методика помогает вернуть функции и эстетичность.
Узнать подробнее
Чистка каналов зуба
Корень состоит из нерва и сосудов, которые расположены в пульпе. При кариозных повреждениях и других заболеваниях ткани могут воспаляться.
Узнать подробнее
Пломбировка каналов зуба
Когда стоматолог удаляет пульпу, он проводит герметизацию корневых каналов с помощью пломбирования. Такой метод позволяет предупредить инфицирование канальной полости.
Узнать подробнее
Лечение пародонтита
Пародонтит – это воспалительное заболевание зубодесневого комплекса, сопровождающееся патологической подвижностью зубных единиц.
Узнать подробнее
Лечение периодонтита
Периодонтит - сильное воспаление окружающих тканей зубной единицы. В голове человека расположено множество нервных волокон и кровеносных сосудов.
Узнать подробнее
Лечение гранулемы зуба
Гранулемой зуба называется образование из грануляционной ткани, покрытое фиброзной оболочкой. Она локализуется в зоне верхушки зубной единиц.
Узнать подробнее
Герметизация фиссур
Герметизация фиссур нужна для формирование защитного барьера на естественном рельефе молочных, постоянных зубов.
Узнать подробнее
Диагностика зубов и полости рта
Качественная стоматологическая диагностика нужна для раннего выявления зубных заболеваний.
Узнать подробнее

Публикации врача

Сколько нельзя есть после установки пломбы
Пломбирование зуба — это важный этап в лечении зубов. Несмотря на свою кажущуюся простоту, эта манипуляция требует от пациента соблюдения определенных правил после посещения врача.
Узнать подробнее
Сколько зубов у человека
Зубы необходимы для пережевывания еды до консистенции, пригодной для последующей переработки системой ЖКТ. Многие люди считают, что у человека должно быть 32 зубной единицы. Но это не так.
Узнать подробнее
Анестезия в стоматологии
Анестезия в стоматологии – это обезболивание обрабатываемой области перед хирургическим вмешательством. При длительных операциях, затрагивающих челюстную кость и лицевые мышцы врачи применяют общую анестезию или седацию в сочетании с другими видами обезболивания.
Узнать подробнее
Желтый налет на языке
Налет на языке - прозрачный белого цвета, вполне естественное явление, не вызывающее у врачей каких-либо вопросов к здоровью пациента. Но что предпринять, если он имеет желтый цвет? На какие проблемы со здоровьем или заболевания указывают подобные отложения? Предлагаем рассмотреть эти вопросы подробнее.
Узнать подробнее
Гранулема зуба
Некоторые стоматологические проблемы не проявляются на ранних стадиях заболевания, обнаруживаясь совершенно случайно на рентгеновском снимке или с началом развития осложнений. К таким патологиям относится гранулема. Рассмотрим в статье, какие клинические проявления дает этот процесс и можно ли его вылечить.
Узнать подробнее
Оставьте заявку на запись на бесплатную консультацию ортодонта
В консультацию входит 3D-диагностика, визуализация вашей новой улыбки, индивидуальный план лечения, расчёт стоимости «под ключ».
Нажимая на кнопку «Бесплатная консультация», вы соглашаетесь с политикой конфиденциальности.
Оставьте заявку на запись на бесплатную консультацию ортодонта