Сколько зубов у человека

Сколько зубов у человека

Зубы необходимы для пережевывания еды до консистенции, пригодной для последующей переработки системой ЖКТ. Многие люди считают, что у человека должно быть 32 зубной единицы. Но это не так.
106817
Время на прочтение: 5 мин.
Толова Саида Артуровна
Информация проверена экспертом клиники ПРОПРИКУС
Стоматолог - терапевт
Стаж более 8 лет
★★★★★ 5.0

Зубы необходимы для пережевывания еды до консистенции, пригодной для последующей переработки системой ЖКТ. Многие люди считают, что у человека должно быть 32 зубной единицы. Но это не так. В сети можно увидеть статьи, рассказывающие об особенностях строения челюсти. В норме бывает от 28 до 32 зубных единиц, так как не у всех вырастают зубы мудрости.

Строение зуба

Зубная единица состоит из нескольких частей: корень, шейка, коронка и пульпа. С помощью корней зубы фиксируются в альвеолярных тканях. Корневые системы различаются в зависимости от нагрузки. Например, строение крупных корней у моляров. Шейка расположена между коронковой частью и корневой системой, ниже краев эмали. Сверху она покрыта эмалью. Внутренняя область называется пульпой: она расположена в пульповой камере и зубных каналах, а также окружена дентином.

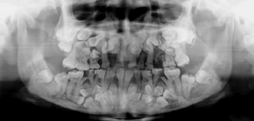
сколько зубов у человека - изображение 1

Разновидности

На протяжении жизни зубы обновляются один раз – коренные вырастают на смену молочным. Профилактика, качественная гигиена помогут сохранить здоровье полости рта.

Виды единиц разделяют на несколько категорий:

  • Временные. Это молочные зубы, которые прорезались у малыша. Первый комплект прорезывается, когда ребенок питается грудным молоком. Их анатомия практически не отличается от постоянных. Отличий всего три: маленький размер из-за небольших объемов детской челюсти, минимальная насыщенность тканей минеральными веществами, укороченная корневая система.
  • Постоянные. Коренные зубы сменяют молочные. Они имеют более сильную корневую систему, но при выпадении придется пользоваться услугами имплантации и протезирования.
  • Зубы мудрости. Располагаются в самой удаленной области челюсти. Третьи моляры прорезываются в возрасте от 18 до 25 лет и часто требуют удаления, так как становятся причиной многих проблем. Они растут не у всех, поэтому многие люди имеют 28 зубов.

Нумерация в стоматологии

Каждый зуб имеет свой номер. Нумерация не соответствует привычным порядковым числам. Часто такая схема непонятна для пациентов, но принятый порядок расположения помогает врачам.

сколько зубов у человека - изображение 4

Особенности схемы:

  • У детей. Нумерация зубов у детей варьируется в значениях от 51 до 75. Такие обозначения помогают врачам четко разделять молочные и постоянные единицы при заполнении карточки пациента.
  • У взрослых. Для удобства челюсть разделяется на 4 части: нумерация коренных зубов в правом верхнем блоке - от 11 до 18, в верхнем левом – от 21 до 28, в нижнем левом – от 31 до 38, а правом нижнем – с 41 до 48.

Зубная формула в амбулаторной карте пациента изображается в виде удобной таблицы, на которой отображаются порядковые номера временных или постоянных зубов. В такой схеме стоматологи ставят отметки об отсутствующих зубных единицах (соответствующая цифра перечеркивается крестиком). Также отмечается, на каких зубах имеется патология. Это нужно для удобного заполнения карты. Врачу не приходится писать многочисленные названия и описывать подробные симптомы.

Виды зубов

В стоматологии назвали все виды зубов. В полости имеются:

  • Клыки. После прорезывания единицы помогают расправиться с твердыми продуктами. Молочные прорезываются у малыша примерно в 1,5 года, а постоянные – с 9 лет.
  • Резцы. Входят в область улыбки и располагаются по центру ряда на нижней и верхней челюсти. С их помощью можно легко захватывать еду и откусывать кусочки. Первые зубы прорезываются после 6 месяцев, а коренные появляются у детей старше 5 лет.
  • Премоляры. Находятся за клыками. 8 малых моляров ловко измельчают продукты на маленькие кусочки. Коренные прорезываются после 10 лет.
  • Моляры. Количество таких зубных единиц аналогично премолярам. Они нужны для пережевывания еды.
типы зубов фото

Аномалии зуба

Иногда у ребенка или взрослого человека встречается аномальное количество зубов. Например, в челюстном аппарате могут отсутствовать зародыши нескольких или всех зубных единиц. Иногда зародыши погибают по разным причинам. Это может произойти в результате различных заболеваний, перенесенных мамой во время беременности. Могут сказаться и патологии, которые перенес ребенок в первые годы. В таком случае у человека будет меньше зубных единиц, чем это принято нормой.

Встречаются случаи со сверхкомплектом единиц. Например, у пациента появляются лишние премоляры или клыки. В таком случае врач может обнаружить 34 или 36 зубных единиц. Доктор может рекомендовать удалить дополнительные отростки, так как они могут испортить прикус. У 3% населения планеты обнаруживается 1 лишний зуб.

аномалии количества зубов фото

Восполнение недостатка зубов

С возрастом качество зубов ухудшается. В результате травмирования или появления патологий люди могут терять зубные единицы. Не стоит переживать, если вам пришлось удалить зуб. Отсутствие одной или нескольких зубных единиц легко корректируется, если обратиться в надежную стоматологию. Клиники предлагают установку имплантов разных категорий. Цены – от 80 000 до 300 000 рублей. Стоимость может быть и выше.

В клинике «Проприкус» предлагаются выгодные условия для восполнения недостатка зубов. Прайс зависит от модели имплантов и методики установки. На консультации врач проведет осмотр, ответит на любой вопрос, рассчитает расходы на лечение. Вы получите красивую улыбку в кратчайшие сроки.

Заявка на бесплатную консультацию
В консультацию входит 3D-сканирование, визуализация вашей новой улыбки, индивидуальный план лечения, расчёт стоимости «под ключ»
Нажимая на кнопку «Бесплатная консультация», вы соглашаетесь с политикой конфиденциальности.
Заявка на бесплатную консультацию

Запишитесь на бесплатное 3D моделирование будущей улыбки!

+ рассрочка 0% на лечение
Запишитесь на бесплатное 3D моделирование будущей улыбки!

Почему выбирают ПРОПРИКУС

11000+ пациентов

Исправляют у нас прикус и лечат зубы в целом

835 пациентов

Пришли из других клиник, потому что там не решили их проблему

более 45% новых пациентов

Приходят к нам по рекомендации тех, кто уже лечится

100% гарантия

На все виды лечения и рассрочка на все услуги

Подходящие услуги

Установка элайнеров
Установка элайнеров
Элайнеры – это прозрачные капы из тонкого медицинского пластика мягко и точно перемещают зубы в нужное положение.
Узнать подробнее
Консультация ортодонта
Консультация ортодонта
Каждый пациент заинтересован, чтобы его лечил лучший ортодонт. Во время осмотра понаблюдайте, комфортно ли вам находиться рядом с врачом.
Узнать подробнее
Установка брекетов
Установка брекетов
Брекеты позволяют избавиться от скученности, устранить межзубные промежутки и получить ровные зубы. Длительность и стоимость терапии зависят от клинической картины.
Узнать подробнее
Лечение кариеса
Лечение кариеса
Кариес – поражение твердых тканей зубной единицы. Возникает при воздействии бактерий в полости рта. Сначала начинается деминерализация эмали.
Узнать подробнее
Лечение периодонтита
Лечение периодонтита
Периодонтит - сильное воспаление окружающих тканей зубной единицы. В голове человека расположено множество нервных волокон и кровеносных сосудов.
Узнать подробнее
20
657
/blog/lechenie/skolko-zubov-u-cheloveka/
50
2000
comment@vnikuda.ru
/bitrix/components/ktoto/comments

Оставить комментарий


Оставьте заявку на запись на бесплатную консультацию ортодонта
В консультацию входит 3D-диагностика, визуализация вашей новой улыбки, индивидуальный план лечения, расчёт стоимости «под ключ».
Нажимая на кнопку «Бесплатная консультация», вы соглашаетесь с политикой конфиденциальности.
Оставьте заявку на запись на бесплатную консультацию ортодонта