Устранили скученность и тесное положение зубов на элайнерах Sparks

Устранили скученность и тесное положение зубов на элайнерах Sparks

У меня похожий случай
Итоги по кейсу
Пол
Женский
Возраст
33 года
Жалоба
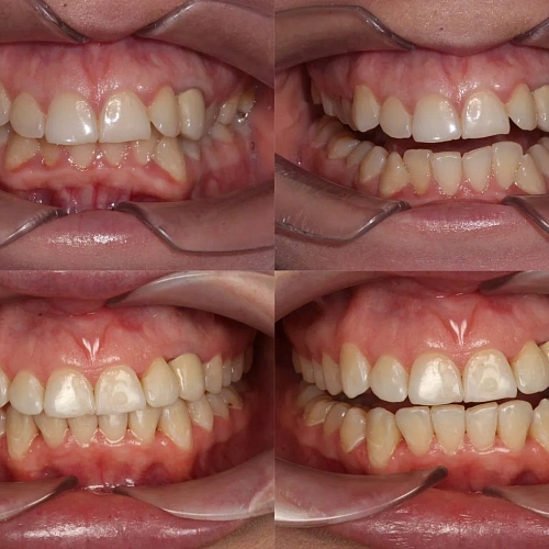
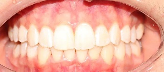
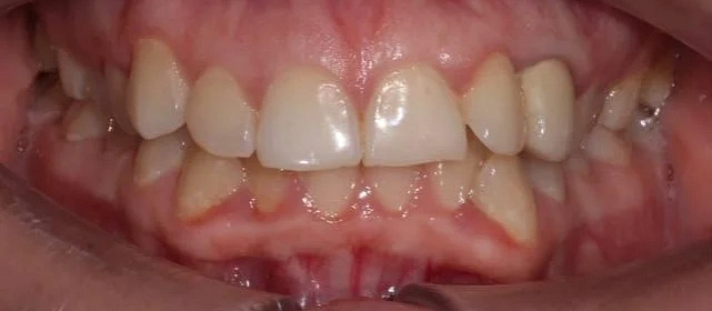
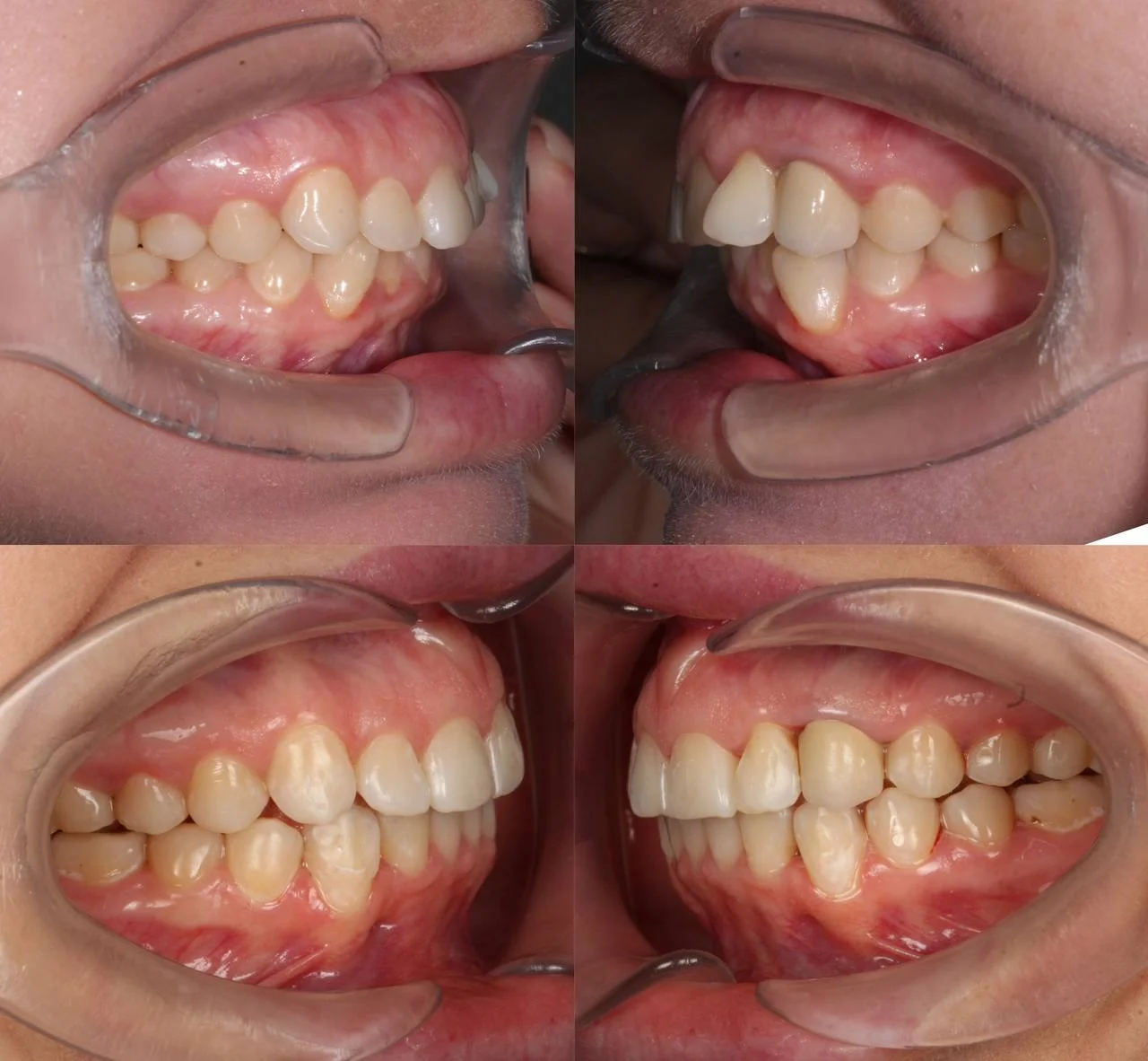
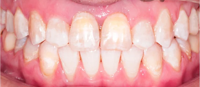
Неровные зубы, неправильный прикус.
Диагностика
Скученность зубов на верхней и нижней челюсти — зубам не хватало места, они стояли тесно и налезали друг на друга. При этом соотношение челюстей в норме (I класс) — проблема только в положении зубов, не в прикусе.
План лечения
Прозрачные элайнеры Star Smile на обе челюсти. Убрать скученность, выровнять зубные ряды. Основной набор — 35 кап. Срок — около 2 лет.
Ход лечения
Лечение заняло 3,5 года (июнь 2022 — февраль 2026). Понадобились два дополнительных набора: 30 и 9 кап — итого 74 капы.
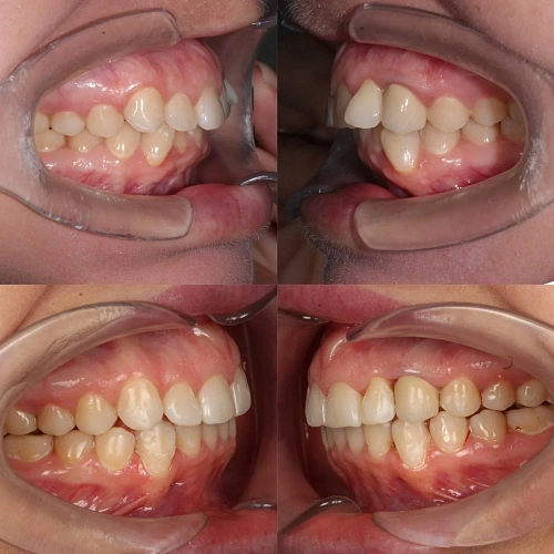
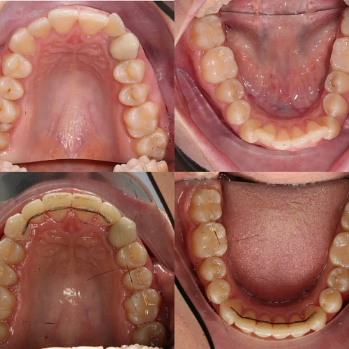
Результат
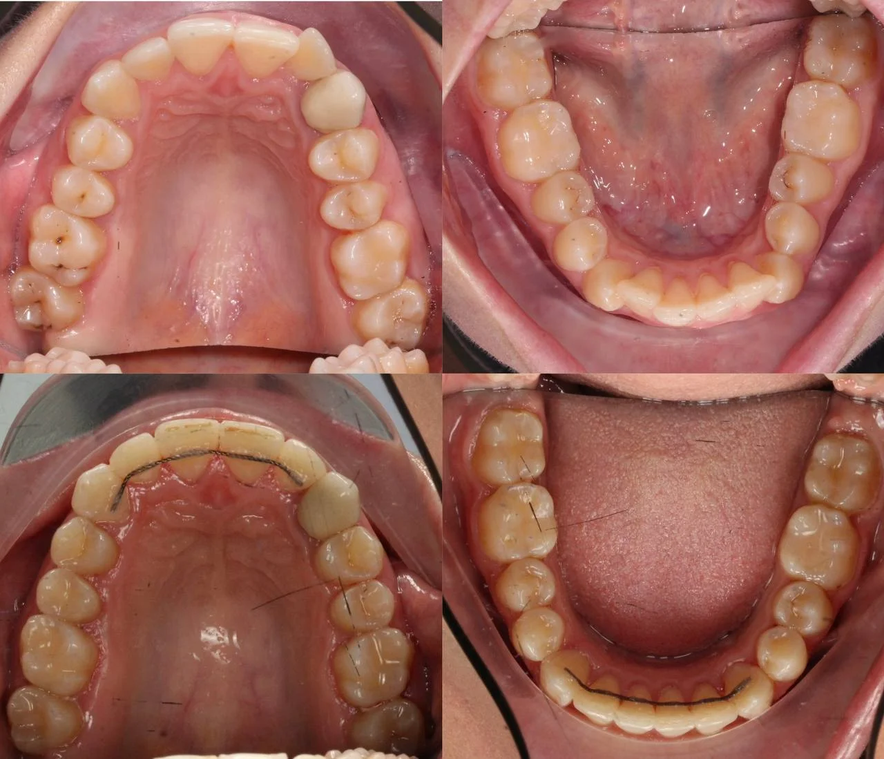
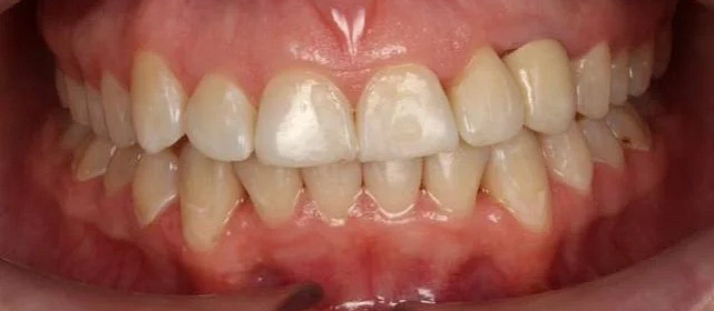
Зубы выровнены, скученность устранена. Установлены несъёмные ретейнеры на обе челюсти, сняты слепки для ретенционных кап. Пациентка направлена на КЛКТ и к ортопеду.

Дата публикации: 09.04.26

Фотографии опубликованы с согласия пациента

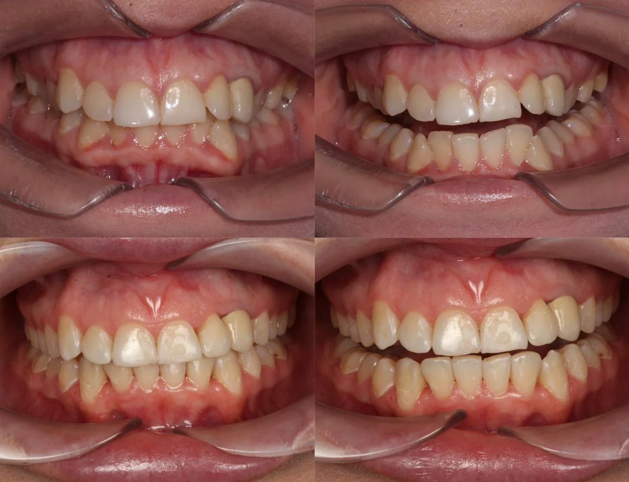
Проблема: Пациентку беспокоили неровные зубы и неправильный прикус. На обеих челюстях зубы стояли скученно — теснились и налезали друг на друга. При этом соотношение самих челюстей было в норме (I класс) — проблема только в положении зубов, а не в том, как челюсти сходятся между собой.
Решение: Поставили элайнеры Star Smile на обе челюсти. Начали с набора из 35 кап, но потребовались два дозаказа — 30 и 9 кап, итого 74. Лечение заняло 3,5 года. Это дольше стандартного, и основная причина — объём доработки: каждый дозаказ уточнял положение зубов, которые не до конца встали с предыдущего набора. В итоге скученность устранена полностью, зубы ровные. Зафиксировали ретейнеры на обе челюсти, сняли слепки для кап. Пациентка направлена на КЛКТ и к ортопеду для оценки дальнейших шагов.
Арутюнова Екатерина Ашотовна
Зав. отделением ортодонтии на Арбате
Стаж более 8 лет
★★★★★ 5.0
Хочу консультацию
Отзыв пациента
Лечение затянулось — я это понимаю. Было два дозаказа, и каждый раз казалось, что вот-вот финиш. Но врач не хотела останавливаться на «почти ровно», и я ей за это благодарна. Зубы сейчас такие, какими я хотела их видеть. Долго — да. Но лучше долго и хорошо, чем быстро и наполовину.
Комментарий врача
При I классе и скученности обычно укладываемся быстрее. В этом случае зубы двигались медленнее прогнозируемого — отсюда два дозаказа. Первый дополнительный набор из 30 кап — почти столько же, сколько основной, — потребовался для доводки положения резцов, которые не полностью отреагировали на первый курс. Второй из 9 кап — финальная подгонка. Результат стабильный, направила на КЛКТ для контроля корней и к ортопеду.
Арутюнова Екатерина Ашотовна
Зав. отделением ортодонтии на Арбате
Оставьте заявку на запись на бесплатную консультацию ортодонта
В консультацию входит 3D-диагностика, визуализация вашей новой улыбки, индивидуальный план лечения, расчёт стоимости «под ключ».
Нажимая на кнопку «Бесплатная консультация», вы соглашаетесь с политикой конфиденциальности.
Оставьте заявку на запись на бесплатную консультацию ортодонта