Усачёва Арина Романовна
Усачёва Арина Романовна

Усачёва Арина Романовна

★★★★★
5.0
Стоматолог-ортодонт
Почему я стала стоматологом-ортодонтом? До последнего я готовилась поступать в экономический. Мне казалось, что моя дорога — в цифрах, бумагах, возможно, даже в зале суда. Но в один момент — почти интуитивно — мы с мамой решили попробовать медицину. Это было желание моей бабушки, и, как ни странно, именно этот поворот оказался правильным. Учёба была сложной, но увлекательной. Откровенно говоря, не было какого-то яркого озарения — просто шаг за шагом я поняла, что нахожусь в профессии, где могу быть собой. Я интроверт: люблю слушать, а не говорить, ценю тишину и точность. Именно поэтому стоматология стала моей средой. Ортодонтия — это не только про здоровье, но и про красоту. Я люблю видеть прогресс: как постепенно меняется улыбка, как человек начинает улыбаться шире, как в глазах появляется радость. В этой тонкой работе есть и смысл, и удовольствие — особенно когда пациент говорит: «А вы знаете, у вас лёгкая рука». Я только в начале своего профессионального пути, но уже точно знаю: каждый красивый результат — это обоюдная работа врача и пациента. И я с удовольствием буду частью этой перемены.
25
Вылечено пациентов
2
Стаж врача

На приеме за 45 минут вы получите:

Диагностику и оценку вашей текущей ситуации
Консультацию с ведущим врачом
3D-сканирование полости рта
Демонстрацию вашей улыбки после лечения
Фотопротокол для определения влияния прикуса на ваше тело
Подбор вида лечения в зависимости от ваших пожеланий и клинической ситуации

Биография врача

Профессиональный рост

2023 г. — Курский государственный медицинский университет. Стоматология

2025 г. — Ординатура в РязГМУ

Какие проблемы прикуса я лечу?

Скученность зубов
Скученность зубов
Выпирающий ряд зубов
Выпирающий ряд зубов
«Съехавший» ряд зубов
«Съехавший» ряд зубов
«Хищные» клыки
«Хищные» клыки
Глубокий прикус
Глубокий прикус
Нет смыкания
Нет смыкания

Выполненные работы

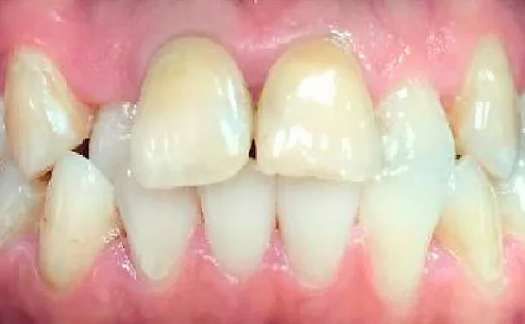
Исправление прикуса. 38 кап, 19 месяцев лечения Исправление прикуса. 38 кап, 19 месяцев лечения

Исправление прикуса. 38 кап, 19 месяцев лечения

Проблема
обратное перекрытие в области резцов, перекрестная окклюзия в боковом отделе
Врач
Усачёва Арина Романовна

Отзывы

Марьяна Васильева
Пришла к Усачёвой исправлять прикус в 29 лет. Арина Романовна сказала что возраст вообще не проблема, главное мотивация пациента. Ношу элайнеры полгода, очень довольна динамикой. Врач молодая но профессиональная, рекомендую!
Милана Никифорова
Сыну 16 лет, лечимся у Арины Романовны. Подросток сам выбрал врача после консультации, сказал что с ней комфортно. Усачёва объясняет всё именно ему, не только мне как маме. Это важно для мотивации ребёнка носить капы как положено.
Полина Макарова
Обратилась к Арине Романовне с обратным перекрытием передних зубов. Боялась что потребуется долгое лечение, но врач подобрала оптимальный план. Ношу элайнеры, каждый приём Усачёва проверяет как идёт движение зубов. Нравится её аккуратность и лёгкая рука.
София Николаева
Выбирала ортодонта долго, остановилась на Усачёвой по отзывам. Арина Романовна очень спокойная и внимательная, не торопит и не давит. На консультации честно сказала что случай сложный и займёт время. Такая честность подкупила, начала лечение и не жалею.
Елизавета Коновалова
Лечусь у Арины Романовны на элайнерах, пришла с перекрёстным прикусом. Несмотря на то что врач молодая, сразу видно что знает своё дело. Всё объясняет подробно, показывает на модели что происходит с зубами. Ношу капы уже год, осталось совсем немного до конца лечения.

Подход к лечению

Доказательная база

Для эффективного лечения зубов необходима качественная диагностика. Врач применяет только научно-обоснованные решения.

Комплексность

При необходимости подключает логопеда, миотерапевта и других смежных специалистов — чтобы результат был не только красивым, 
но и функционально стабильным.

Простые объяснения

Сложные рекомендации переводит на понятный язык, показывает наглядные кейсы «до/после».

Сложные случаи

Врач справляется даже с самыми сложными случаями. 
Вы можете вылечить прикус с помощью прозрачных кап или классических брекетов, а также установить виниры и коронки, пройти профессиональную гигиену для взрослых
и детей, вылечить кариес, а также удалить зубы мудрости.
Блок картинки

Оказываемые услуги

Элайнеры Click Aligners
Элайнеры Click Aligners нового поколения от российского производителя, разработанные ведущими ортодонтами. Протоколы лечения на элайнерах Click помогают точно спланировать перемещение зубов.
Узнать подробнее
Установка элайнеров
Элайнеры – это прозрачные капы из тонкого медицинского пластика мягко и точно перемещают зубы в нужное положение.
Узнать подробнее
Установка брекетов
Брекеты позволяют избавиться от скученности, устранить межзубные промежутки и получить ровные зубы. Длительность и стоимость терапии зависят от клинической картины.
Узнать подробнее
Художественная реставрация зубов
Художественное восстановление зубов исправляет все видимые дефекты современными стоматологическими методиками.
Узнать подробнее
Установка ретейнеров
Ретейнер — это ортодонтическая конструкция, которую устанавливают сразу после снятия брекетов.
Узнать подробнее
Брекеты на верхнюю челюсть
Верхние зубы далеки от идеала – в голове почти сразу возникает мысль о брекетах.
Узнать подробнее
Брекеты на нижнюю челюсть
Ортодонтическое лечение брекет-системами дает хорошие результаты в исправлении прикуса, улучшая эстетику улыбки и жевательную функцию.
Узнать подробнее
Консультация ортодонта
Каждый пациент заинтересован, чтобы его лечил лучший ортодонт. Во время осмотра понаблюдайте, комфортно ли вам находиться рядом с врачом.
Узнать подробнее
Металлические брекеты
Металлические брекеты, несмотря на то, что выделяются, полностью компенсируют данный ньюанс высокой эффективностью и точностью перемещения зубов.
Узнать подробнее
Керамические брекеты
Керамические брекеты — современное решение в ортодонтии, сочетающее эффективность коррекции прикуса с высокой эстетикой.
Узнать подробнее
Сапфировые брекеты
Сапфировые брекеты — ортодонтическая система с замками из монокристаллического оксида алюминия. Подходят взрослым и подросткам, которым важен эстетичный вид во время лечения.
Узнать подробнее
Брекеты Damon
Брекеты Даймон – безлигатурные системы нового поколения, с помощью которых можно качественно выровнять зубной ряд и откорректировать прикус.
Узнать подробнее
Брекеты Damon Q
Брекет-система Damon Q — эстетичные саморегулирующие металлические брекеты, популярные, эстетичные и самые современные самолигирующие металлические брекеты от американского бренда ORMCO.
Узнать подробнее
Брекеты Damon Clear
Ортодонтические конструкции Damon разработаны специалистами американской компании Ormco, имеющей все необходимые лицензии для обеспечения качества и безопасности лечения.
Узнать подробнее

Публикации врача

Капы и глубокий прикус
Исправить глубокий прикус у взрослых можно брекетами или элайнерами (прозрачными капами) — в большинстве случаев без хирургии. Метод подбирается индивидуально после диагностики: ключевой критерий — глубина перекрытия и наличие скелетной аномалии.
Узнать подробнее
Лингвальные брекеты: что это, как работают и сколько стоит лечение
Лингвальные брекеты — это внутренние брекет-системы, которые крепятся к зубам со стороны языка и абсолютно невидимы при разговоре и улыбке. В статье разбираем, кому они подходят, как проходит установка, сколько длится адаптация и почему их цена выше, чем у классических вестибулярных систем. Также сравниваем лингвальные брекеты с элайнерами и отвечаем на три самых популярных вопроса пациентов.
Узнать подробнее
Зубная нить: как правильно пользоваться, виды и советы по выбору
Зубная нить очищает то, до чего щётка не достаёт — боковые поверхности зубов. В статье разбираем виды флосса, объясняем правильную технику и отвечаем на главный вопрос: нить или ирригатор?
Узнать подробнее
Депульпирование зуба перед протезированием
Внутри каждого зуба есть небольшое пространство, которое стоматологи называют пульпарной полостью. В ней находится пульпа — мягкая ткань, состоящая из нервов, кровеносных сосудов и соединительных клеток.
Узнать подробнее
Что такое надкусочная пломба
Глубокий прикус, ношение брекет-системы и некоторые другие причины требуют установки надкусочных пломб. Что представляет из себя такое ортодонтическое устройство, какие есть особенности и разновидности, как жевать с надкусочными пломбами, чтобы не часто ходить ортодонту на корректирующие процедуры рассказываем в нашей статье.
Узнать подробнее
Пришлифовывание зубов
Пришлифовывание зубов – это высокоточная стоматологическая процедура, направленная на коррекцию формы и высоты зубов для достижения оптимального контакта между зубными рядами.
Узнать подробнее
Температура при прорезывании зубов у детей
Период прорезывания молочных зубов — важный этап в развитии ребенка, который зачастую вызывает беспокойство у родителей. Температура при прорезывании зубов у детей становится одним из главных поводов для беспокойства.
Узнать подробнее
Кламмеры в стоматологии
В ортопедической стоматологии надежная фиксация съемных протезов обеспечивает комфорт пациента, правильное функционирование конструкции и здоровье опорных зубов. Специальные фиксирующие элементы — кламмеры играют важнейшую роль в успешном протезировании, особенно при использовании бюгельных систем.
Узнать подробнее
Как остановить кровь после удаления зуба
В процессе удаления зубной единицы травмируются ткани, находящиеся рядом с зубом и удерживающие его в лунке. Кровоточивость после операции – это нормально, но в отдельных случаях это признак патологии.
Узнать подробнее
Пластины для зубов
Стоматологи рекомендуют контролировать прикус ребенка с раннего возраста. Лечение следует начинать сразу, как только обнаружится проблема.
Узнать подробнее
Стираемость зубов
Стираемости зубных единиц подвержены все люди. Исключений нет. Одни этого не замечают. Другие страдают повышенной стираемостью. Процесс стачивания верхнего слоя зуба портит эстетичность улыбки. Патология характеризуется интенсивной убылью твердых тканей. В запущенных стадиях проблема приводит к сильному износу коронки. О причинах, опасности и возможностях лечения читайте в нашей статье.
Узнать подробнее
Как ухаживать за зубами с брекетами
Брекеты требуют особого подхода к гигиене — стандартной щётки здесь недостаточно. В статье рассказываем, как чистить зубы с брекет-системой, какие инструменты для этого нужны и почему профессиональная чистка раз в квартал важна не меньше ежедневного ухода дома.
Узнать подробнее
Перфорация зуба
К осложнениям эндодонтического лечения относится перфорация или прокол между корнем или коронкой зуба и периодонтом. Патология сопровождается острой болью, поэтому стоматолог может определить ее уже во время лечебных манипуляций либо позднее на основании данных рентгенографии.
Узнать подробнее
Бюгельные протезы
Бюгельный протез — частичный съёмный протез на металлическом каркасе — служит 7–12 лет. Крепится к опорным зубам кламмерами или аттачментами. Аттачментное крепление эстетичнее, но требует специальной подготовки зубов.
Узнать подробнее
Сколько у детей молочных зубов
Первые зубы ребенка называют молочными. Впервые термин «молочные зубы» был предложен Гиппократом, врачевателем из Древней Греции.
Узнать подробнее
Оставьте заявку на запись на бесплатную консультацию ортодонта
В консультацию входит 3D-диагностика, визуализация вашей новой улыбки, индивидуальный план лечения, расчёт стоимости «под ключ».
Нажимая на кнопку «Бесплатная консультация», вы соглашаетесь с политикой конфиденциальности.
Оставьте заявку на запись на бесплатную консультацию ортодонта