Стираемость зубов

Стираемость зубов

Стираемости зубных единиц подвержены все люди. Исключений нет. Одни этого не замечают. Другие страдают повышенной стираемостью. Процесс стачивания верхнего слоя зуба портит эстетичность улыбки. Патология характеризуется интенсивной убылью твердых тканей. В запущенных стадиях проблема приводит к сильному износу коронки. О причинах, опасности и возможностях лечения читайте в нашей статье.
3305
Время на прочтение: 5 мин.
Усачёва Арина Романовна
Информация проверена экспертом клиники ПРОПРИКУС
Стоматолог-ортодонт
Стаж более 2 лет
★★★★★ 5.0

Стираемости зубных единиц подвержены все люди. Исключений нет. Одни этого не замечают. Другие страдают повышенной стираемостью. Процесс стачивания верхнего слоя зуба портит эстетичность улыбки. Патология характеризуется интенсивной убылью твердых тканей. В запущенных стадиях проблема приводит к сильному износу коронки. О причинах, опасности и возможностях лечения читайте в нашей статье.

Причины стирания зубов

Патологическое стирание проявляется из-за разных факторов. Пациент может заметить, что высота зубов становится меньше. Коронки теряют природную красоту. Жевательные формы изменяются. Улыбка выглядит неэстетично.

Причины стирания:

  • вредные привычки
  • бруксизм;
  • заболевания ЖКТ;
  • проблемы с сердечно-сосудистой системой;
  • нарушения нервной системы;
  • болезни эндокринной системы;
  • нарушение прикуса;
  • неправильно подобранная ортопедическая конструкция.
стираемость зубов - изображение 1

Любители погрызть семечки или держать во рту мелкие атрибуты могут страдать высокой степенью стираемости. Проблемы с зубами настигнут при частом потреблении продуктов, имеющих повышенную кислотность. На развитие патологии влияет образ жизни. Вредные привычки управляют вами? От них нужно избавиться. Иначе остановить стирание не получится.

Последствия стертых зубов

Стираемость зубов – проблема для пациентов. Она приводит не только к потере эстетики улыбки, когда высота передних зубов уменьшается. Чем дольше игнорировать проблему, тем хуже будут последствия. Развивается повышенная чувствительность. При контакте с холодной, горячей едой болят зубы. Болевые ощущения возникают при потреблении сладких блюд и напитков. При прогрессирующей патологии даже при вдыхании холодного воздуха можно испытывать дискомфорт. Боль начинает беспокоить чаще.

Изменяется прикус. Зубной ряд деформируется. Жевательные мышцы испытывают неравномерное напряжение. Увеличиваются носогубные складки. На поверхности зубов развиваются эрозии. Изъяны заметны при улыбке и разговоре. Появляются комплексы. Качество жизни заметно снижается.

стираемость зубов - изображение 2

Диагностика проблемы стирания

Диагностировать патологию может врач. Стоматолог учитывает разные факторы. Он исследует:

  • состояние эмали;
  • открытый дентин;
  • работу нижнечелюстного сустава;
  • чувствительность жевательных мышц;
  • выраженность складок носогубки;
  • слизистые.

Врач обратит внимание на звук при смыкании челюстей. Если проблемы отсутствуют, звук будет коротким и чистым. Возникновение скрипов указывает на патологическое состояние. На приеме стоматолог уточнит о самочувствии, болевых ощущениях. Повышенный дискомфорт может возникать при сильном стирании твердых тканей.  

Виды и степени патологии

Существует несколько разновидностей заболевания. Наибольшее распространение получила классификация Бушана.

Виды стираемости:

  • физиологическая, когда затронута эмаль;
  • переходная, при которой стирается эмаль и дентин;
  • патологическая, когда нарушается дентин.

Классификация позволяет рассмотреть измененную поверхность. Понять уровень развития патологии. Подобрать методы устранения проблемы.

стираемость зубов - изображение 3

Классификацию по степени стирания разработали Л. М. Демнер и А. Г. Молдованов. Их данные показывают норму уменьшения высоты коронки. За год в норме зубы стираются не более, чем на 0,402 мм. Разделяют три степени:

  • Первая наступает до 30 лет. Проявляется в виде сглаживания бугров. Может появиться режущий зубной край.
  • Вторая достигается к 44 – 50 годам. Выражается в сильной стертости эмали.
  • Третья проявляется, когда к 50 годам достигаются границы эмали. При этом сохраняется 10 пар жевательных зубных единиц.

Лечение стирания зубов

Физиологическое стирание остановить невозможно. Но не стоит пугаться. Его можно замедлить. В первую очередь нужно изменить образ жизни. Изучите свой рацион питания. Подбирайте рекомендованные продукты. Пересмотрите способы их приготовления. Это поможет снизить процессы.

Если врач диагностировал патологическую стираемость, предлагается два способа решения проблемы:

  • Ортопедический. Исправляются дефекты прикуса. Выполняется восстановление тканей.
  • Терапевтический. Прописываются пенки, гели для укрепления зубов. Снижаются болевые ощущения.

Важно выявить причины патологии. Это позволит устранить проблему, сохранить зубы. Лечение подбирается с учетом сложности заболевания.

Восстановление поверхности

Врач может рекомендовать восстановление потерянной поверхности зубных единиц. Для этого используются материалы на основе композита. При начальной стадии острые края зубов шлифуются. Это позволяет вернуть эстетику улыбке. Специалист назначает капы. Они надеваются ночью. Во время сна зубы не пострадают. Накладки изолируют зубные единицы друг от друга. Жевательные мышцы расслабятся.


Протезирование

При выраженных повреждениях рекомендовано протезирование. Устанавливаются мосты, коронки или протезы. Они могут быть временными или постоянными. Протезирование поможет остановить прогрессирующую патологию. Часто у пациентов отсутствуют маляры и премоляры. Врач подбирает подходящую систему. Исправлять ситуацию важно в кратчайшие сроки. Со временем зубной ряд может менять положение. Клыки и резцы сильно стираются. Иногда проблема сказывается на слухе.

Высота прикуса

Установку протезов рекомендуется делать после восстановления высоты прикуса. Не пренебрегайте процедурой. Иначе коронки не прослужат долгий срок. В ближайшее время потребуется их замена. Для решения задачи можно носить капу. Накладка от стираемости предназначена для круглосуточного ношения. Постоянное использование кап поможет адаптировать мышцы к требуемой высоте прикуса. Лечение длится около 3 месяцев.

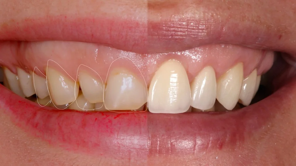
Установка виниров

Иногда можно обойтись без протезирования. Помогут керамические пластинки. Для установки виниров потребуется небольшая обточка зубной поверхности. Главное преимущество такой коррекции улыбки – не требуется удаление поврежденных зубов. Реставрация вернет эстетику.


Профилактика

При своевременном лечении проблема достаточно быстро корректируется. При выраженных последствиях лечение будет длительным. Не менее шести месяцев потребуется, чтобы улучшить состояние. Врач проводит осмотр, прописывает план лечения. Эстетика возвращается. Жевательная функция начинает работать правильно. После устранения патологии нужно сохранить результат. Для укрепления здоровья зубов и замедления процессов необходима профилактика.

Важно следовать рекомендациям врача:

  • каждые полгода посещать стоматолога, проводить диагностику;
  • при выявлении аномалий исправлять прикус;
  • корректировать дефекты;
  • устранить вредные привычки.

Неправильный прикус часто становится причиной патологической стираемости. Если устранить дефекты в детстве не получилось, начните ортодонтическое лечение сейчас. У взрослых также исправляются аномалии любой сложности. Ровные зубы и правильный прикус помогут предотвратить чрезмерное стирание.


Следите за здоровьем. Проходите осмотры. Сдавайте анализы. Патология может возникнуть при заболеваниях, не связанных со стоматологией. Проблемы с эндокринной или нервной системами, патологии органов пищеварения, недостаточный минеральный обмен и другие проблемы с организмом приводят к развитию стираемости. Заметили симптомы стирания? Обратитесь в клинику!

Заявка на бесплатную консультацию
В консультацию входит 3D-сканирование, визуализация вашей новой улыбки, индивидуальный план лечения, расчёт стоимости «под ключ»
Нажимая на кнопку «Бесплатная консультация», вы соглашаетесь с политикой конфиденциальности.
Заявка на бесплатную консультацию

Запишитесь на бесплатное 3D моделирование будущей улыбки!

+ рассрочка 0% на лечение
Запишитесь на бесплатное 3D моделирование будущей улыбки!

Почему выбирают ПРОПРИКУС

11000+ пациентов

Исправляют у нас прикус и лечат зубы в целом

835 пациентов

Пришли из других клиник, потому что там не решили их проблему

более 45% новых пациентов

Приходят к нам по рекомендации тех, кто уже лечится

100% гарантия

На все виды лечения и рассрочка на все услуги

Подходящие услуги

Элайнеры Click Aligners
Элайнеры Click Aligners
Элайнеры Click Aligners нового поколения от российского производителя, разработанные ведущими ортодонтами. Протоколы лечения на элайнерах Click помогают точно спланировать перемещение зубов.
Узнать подробнее
Установка элайнеров
Установка элайнеров
Элайнеры – это прозрачные капы из тонкого медицинского пластика мягко и точно перемещают зубы в нужное положение.
Узнать подробнее
Установка ретейнеров
Установка ретейнеров
Ретейнер — это ортодонтическая конструкция, которую устанавливают сразу после снятия брекетов.
Узнать подробнее
Консультация ортодонта
Консультация ортодонта
Каждый пациент заинтересован, чтобы его лечил лучший ортодонт. Во время осмотра понаблюдайте, комфортно ли вам находиться рядом с врачом.
Узнать подробнее
Установка брекетов
Установка брекетов
Брекеты позволяют избавиться от скученности, устранить межзубные промежутки и получить ровные зубы. Длительность и стоимость терапии зависят от клинической картины.
Узнать подробнее
20
728
/blog/ortodontiya/stiraemost-zubov/
50
2000
comment@vnikuda.ru
/bitrix/components/ktoto/comments

Оставить комментарий


Оставьте заявку на запись на бесплатную консультацию ортодонта
В консультацию входит 3D-диагностика, визуализация вашей новой улыбки, индивидуальный план лечения, расчёт стоимости «под ключ».
Нажимая на кнопку «Бесплатная консультация», вы соглашаетесь с политикой конфиденциальности.
Оставьте заявку на запись на бесплатную консультацию ортодонта