Бюгельные протезы

Бюгельный протез — частичный съёмный протез на металлическом каркасе — служит 7–12 лет. Крепится к опорным зубам кламмерами или аттачментами. Аттачментное крепление эстетичнее, но требует специальной подготовки зубов.
2633
Время на прочтение: 5 мин.
Усачёва Арина Романовна
Информация проверена экспертом клиники ПРОПРИКУС
Стоматолог-ортодонт
Стаж более 2 лет
★★★★★ 5.0

При отсутствующих зубных единицах стоматологи рекомендуют выполнить имплантацию. Множество причин не позволяют установить импланты. Восстановить функциональные и эстетические свойства возможно. Помогут бюгельные протезы. Протезирование успешно выполняется как на верхнюю, так и на нижнюю челюсти. Бюгельные конструкции с пластмассовой или металлической дугой дополняются искусственными зубами. Они крепятся на каркас, похожий на настоящую десну. Фиксирующие элементы, включающие коронки, замочки и крючки, надежно удерживают зубные единицы. Шинирующий протез имеет много плюсов. Модели на кламмерах, замках или телескопических коронках помогут вам получить красивую улыбку.

Разработка бюгельных протезов

Каркас бюгельного протеза делится на несколько типов. Различается по методике производства. Например, паяный и цельнолитой. Наиболее прогрессивными типами считаются фрезерованный. А также выполненный на особом спекании посредством лазера наночастиц порошка из металлического сплава. Техники разрабатывают конструкции для любой челюсти. Она будет комфортна в носке. Такие протезы долго служат. Их преимущества неоспоримы. Не требуют сложного ухода. Выдерживают повышенные жевательные нагрузки. Сохраняют внешний вид. Не теряются.

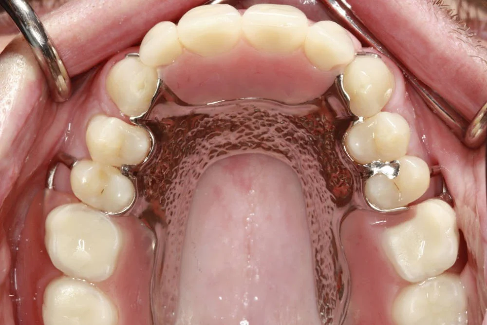
бюгельный протез фото

Разработка протезов выполняется в несколько этапов:

  • осмотр;
  • выполнение гипсовой модели;
  • отливание прототипа, сканирование на основе созданной модели из гипса;
  • моделирование каркаса конструкции точным сканированием на ПК;
  • спекание, фрезеровка протеза.

При грамотной работе бюгельный протез будет плотно прилегать к поверхности десны и зубам. Конструкция будет выглядеть натурально, эстетично. Она выдержит ежедневные нагрузки. Протез не сломается. Сохранит красоту улыбки. Пациент сможет носить его каждый день. И не важно, сколько зубов он потерял. Разрабатываются удобные крепления при отсутствии всех или нескольких зубных единиц.

бюгельные протезы челюсть фото

Пользоваться изделием легко. Особенности фиксации зависят от их вида. Они надежно крепятся. Не выпадают. Держатся в течение дня. Например, во время спорта. Не царапают ткани. В них можно танцевать, гулять, работать. Нет никаких ограничений. Крепление выполняется:

  • На кламмерах. Крючки из металла надежно обхватывают опорную зубную единицу. Крепление выполняется без стачивая эмали. Это возможно, если опорные зубы полностью здоровы.
  • На аттачнемах или замках. Бюгельное изделие состоит из двух частей. Одна крепится на опорные зубы после обточки. Другая закрепляется с помощью замочков на саму конструкцию. Отличается большей неподвижностью.
  • На телескопических коронках. На опорные зубные единицы ставятся несъемные коронки из металла. После выполняются коронки в протез из керамики.

Выбираете съемные бюгельные протезы? Они удобны и надежны. С ними ваша улыбка будет эстетичной. Зубы будут без труда выполнять свои функциональные задачи. Больше не придется прятать улыбку. Появится уверенность в себе.

бюгельный съемный протез

Показания к установке бюгельного протеза

Красивая улыбка – мечта для многих. Недостатки портят качество жизни. Нередко пациентам отказывают в установке имплантов. Кто-то не может потратить крупную сумму на классическое протезирование. Высокая стоимость, сложность установки - минусы установки имплантов. Но выход есть. Вы можете использовать особые конструкции съемного типа. Многочисленные показания делают процедуру доступной.

Бюгельные протезы показаны при:

  • запрете использования имплантов;
  • восстановлении одного зуба;
  • необходимости шинирования зубов, пораженных пародонтозом или пародонтитом с внутренней стороны;
  • необходимости замены нескольких зубных единиц с концевым дефектом.

Когда имеется несколько опорных зубов установка протеза возможна. Бюгельное протезирование позволяет выполнить восстановление зубного ряда полностью. Нередко такой протез используют для поддержания зубов. Она прекрасно замещает отсутствующие части коронки, продлевая функциональность пораженных зубов.

бюгельные зубные протезы

Противопоказания

Не всегда врачи могут рекомендовать съемные бюгельные конструкции. Модели подойдут не для каждого пациента. На приеме врач осмотрит полость рта. Даст рекомендации по установке системы.

Методики бюгельного протезирования имеют противопоказания:

  • обострение заболеваний ротовой полости;
  • патологии, приводящие к потерям костных тканей;
  • чрезмерная стираемость зубных единиц;
  • слишком глубокий прикус;
  • отсутствие опорных зубов или их небольшая высота;
  • уздечка языка короткая;
  • аллергия на металлический элемент;
  • неврологические заболевания.

Выполнить протезирование по показаниям невозможно? Не стоит огорчаться. Врач подберет метод, который лучше подойдет. Вы вернете природную красоту. Забудете о проблемах с зубами.

Уход за бюгельными протезами

От правильного ухода зависит срок службы элементов. Любое съемное протезирование нуждается в бережном отношении. И бюгельный протез не является исключением. Они не требуют длительного привыкания. Привыкнуть к ним можно за пару дней. В первые дни некоторые пациенты замечают нарушения в дикции. Дуга ощущается. Разговаривать действительно может быть трудно. Но речевые дефекты легко устраняются. Помогут особые упражнения. Привыкнуть к инородному телу можно с помощью чтения вслух. Не бойтесь больше разговаривать. Это поможет быстро привыкнуть к протезам. Дикция восстановится. Говорить станет гораздо легче. Вы забудете, что носите зубные конструкции.

уход за бюгельными протезами

Трудности могут возникнуть во время еды. Снизить неприятные болевые ощущения не так сложно. Чаще достаточно уменьшить порции. Рекомендуется исключить твердые продукты. Могут навредить и липкие конфеты, различные сладости. Коррекция питания вначале носки поможет быстрее привыкнуть к съемной конструкции. Для более оперативного восстановления не стоит снимать протез на ночь.

Утром и вечером изделие нужно очищать от налета. Сделать это просто. Достаточно снять конструкцию. Очистить ее с помощью рекомендованных средств. Дополнительно следует промывать протез особым антибактериальным раствором. Об эффективных составах расскажет врач. Не нужно хранить изделие в воде. Для хранения используют контейнер.

Иногда модели ломаются. Поломки часто возникают при нарушении предписаний доктора. Неправильный уход, потребление запрещенных продуктов и другие причины влияют на степень износа. Лучше сразу обратиться в клинику. Зубной техник стоматологии быстро исправит проблему.

Преимущества бюгельного протеза на зубы

Бюгельные модели выбирают по разным причинам. Их плюсы неоспоримы. При правильной эксплуатации они долго служат. Опыт зубных техников позволяет разрабатывать надежные системы. Они не менее комфортны имплантов. Прекрасно носятся. Не вызывают раздражений слизистой. Не мешают.

бюгельный протез отзывы

Протезы имеют множество достоинств:

  • систему можно устанавливать на верхнюю, нижнюю челюсть;
  • жевательная нагрузка распределяется равномерно;
  • отсутствуют хрупкие пластмассовые элементы;
  • прочные изделия выдерживают высокие нагрузки;
  • продуманные крепления сохраняют хорошее состояние соседних зубов;
  • плотное прилегание, легкость исключают даже минимальные дискомфортные ощущения;
  • быстрое привыкание;
  • хорошо фиксируются;
  • не выпадают;
  • не повреждают слизистую;
  • отсутствие дискомфорта при долгой носке;
  • высокая износостойкость.

Не стоит сомневаться в надежности бюгельных конструкций. Cъемные протезы восстановят функциональность зубных единиц. Вы забудете о комплексах. Улыбка станет эстетичной. Более 10 лет вам не придется задумываться о смене системы протезирования.

Сколько стоит бюгельный протез

Разработка протезов – сложный процесс. При работе учитывается много деталей. Изделия выполняются по слепкам пациента. Это помогает создать точно подходящие элементы. Гарантируется комфорт во время носки. В Москве цены на лучшие съемные конструкции гораздо ниже, чем на классическое протезирование. Расходы включают стоимость материалов, работу техника. Также влияет способ крепления.


В клинике ПРОПРИКУС устанавливаются новейшие бюгельные элементы. Отличный вариант для многих. Рекомендуется при частичном отсутствии зубов. Подходит и при полной потере. Крепкий каркас, прочный бюгель и ряд других преимуществ обеспечат длительную, комфортную носку. Минимальные сроки изготовления позволяют восстановить функции полости в самых сложных случаях.

Заявка на бесплатную консультацию
В консультацию входит 3D-сканирование, визуализация вашей новой улыбки, индивидуальный план лечения, расчёт стоимости «под ключ»
Нажимая на кнопку «Бесплатная консультация», вы соглашаетесь с политикой конфиденциальности.
Заявка на бесплатную консультацию

Запишитесь на бесплатное 3D моделирование будущей улыбки!

+ рассрочка 0% на лечение
Запишитесь на бесплатное 3D моделирование будущей улыбки!

Почему выбирают ПРОПРИКУС

11000+ пациентов

Исправляют у нас прикус и лечат зубы в целом

835 пациентов

Пришли из других клиник, потому что там не решили их проблему

более 45% новых пациентов

Приходят к нам по рекомендации тех, кто уже лечится

100% гарантия

На все виды лечения и рассрочка на все услуги

Подходящие услуги

Коронки на зубы
Коронки на зубы
Зубная коронка — это метод протезирования и восстановления наддесневой части единицы.
Узнать подробнее
Протезирование зубов
Протезирование зубов
Механические повреждения, недостаточная гигиена, возрастные изменения влияют на состояние зубочелюстной системы.
Узнать подробнее
Установка виниров
Установка виниров
Виниры – это тонкие пластинки, которые фиксируются на передней поверхности зубов
Узнать подробнее
Композитные виниры
Композитные виниры
Пластинки из композита считаются доступной по цене альтернативой керамическим.
Узнать подробнее
Керамические виниры
Керамические виниры
Из всех методов восстановления зубов в зоне улыбки, именно керамические виниры считаются наиболее долговечным и эстетичным вариантом.
Узнать подробнее
20
677
/blog/protezirovanie/byugelnye-protezy/
50
2000
comment@vnikuda.ru
/bitrix/components/ktoto/comments

Оставить комментарий


Оставьте заявку на запись на бесплатную консультацию ортодонта
В консультацию входит 3D-диагностика, визуализация вашей новой улыбки, индивидуальный план лечения, расчёт стоимости «под ключ».
Нажимая на кнопку «Бесплатная консультация», вы соглашаетесь с политикой конфиденциальности.
Оставьте заявку на запись на бесплатную консультацию ортодонта