70 кап без единого дозаказа — сложный случай на элайнерах Spark за 3,5 года

70 кап без единого дозаказа — сложный случай на элайнерах Spark за 3,5 года

У меня похожий случай
Итоги по кейсу
Пол
Женский
Возраст
28 лет
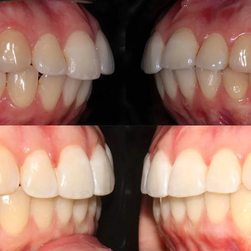
Жалоба
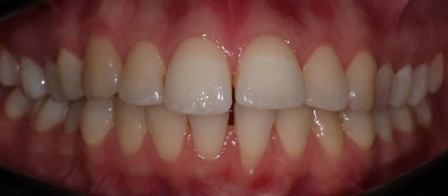
Неправильное положение зубов, неправильное смыкание.
Диагностика
Нарушение соотношения челюстей и неправильное положение зубов — зубные ряды смыкались некорректно, зубы стояли со смещением.
План лечения
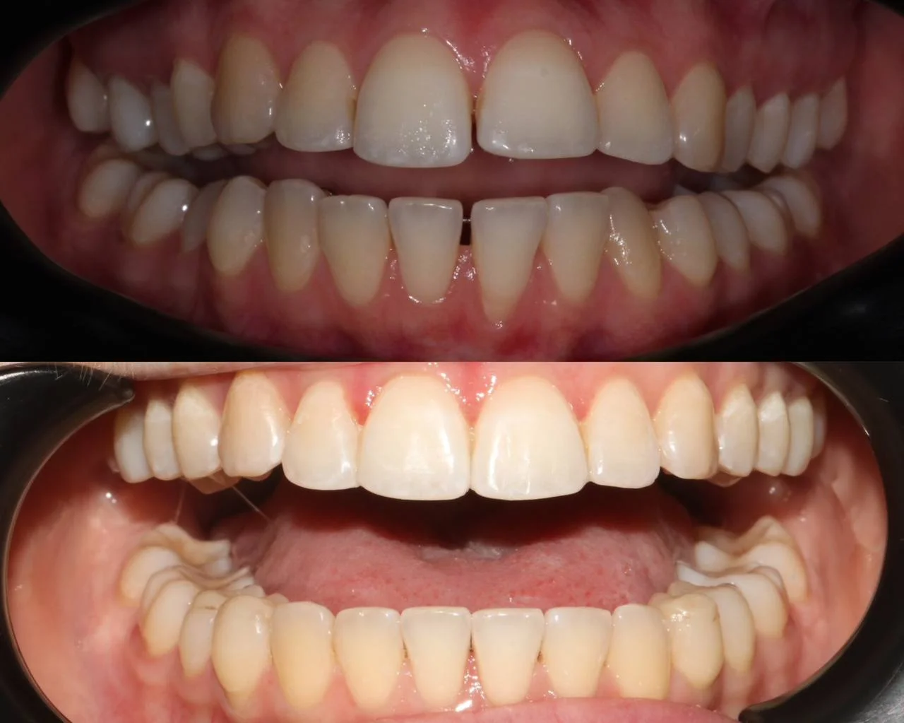
Прозрачные элайнеры Spark на обе челюсти. Выровнять зубы и нормализовать смыкание. Основной набор — 70 кап. Срок — около 2 лет.
Ход лечения
Лечение заняло 3,5 года (апрель 2022 — сентябрь 2025). При основном наборе в 70 кап дозаказов не потребовалось — но сам срок ношения оказался длительным.
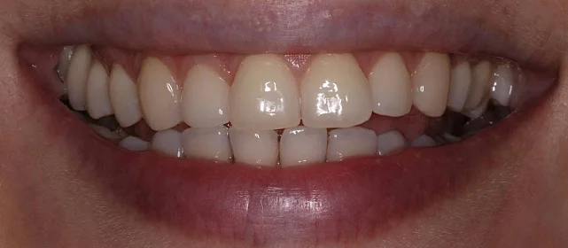
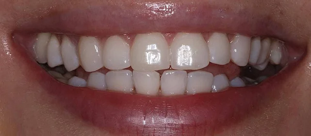
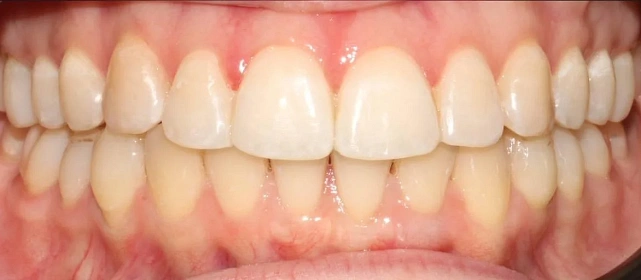
Результат
Зубы выровнены, смыкание нормализовано. Установлены несъёмные ретейнеры на обе челюсти. Ретенционные капы будут изготовлены после ортопедического этапа.

Дата публикации: 09.04.26

Фотографии опубликованы с согласия пациента

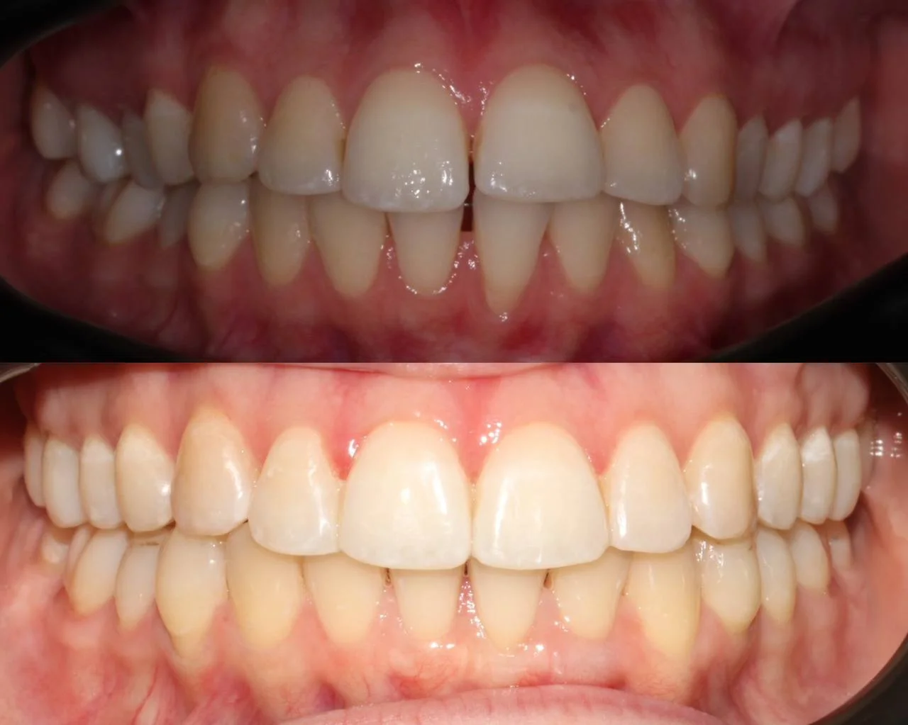
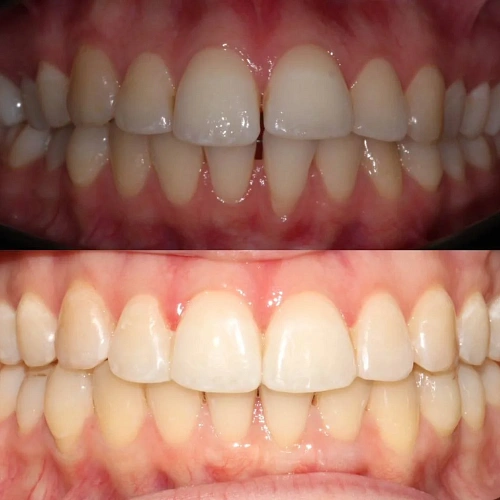
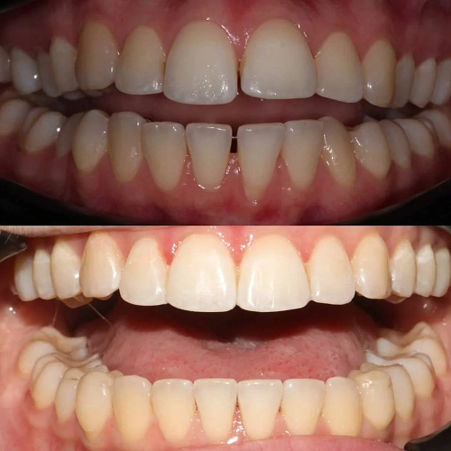
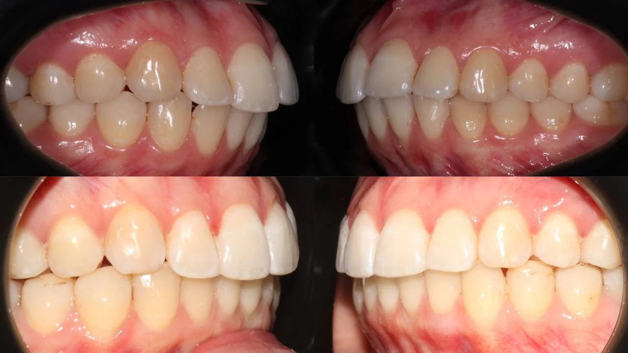
Проблема: Пациентку не устраивало положение зубов и смыкание челюстей. Зубные ряды сходились неправильно, зубы стояли со смещением. Случай оказался объёмным — для коррекции потребовалось серьёзное перемещение зубов.
Решение: Поставили прозрачные элайнеры Spark на обе челюсти. Основной набор — 70 кап, и этого хватило полностью: ни одного дозаказа. 70 кап при смене каждые две недели — это само по себе около 2,5 лет чистого ношения, а с учётом перерывов и корректировок лечение заняло 3,5 года. Долго, но объём работы того требовал. Зато результат получен с первого набора — зубы на месте, смыкание в норме. Ретейнеры зафиксированы на обе челюсти.
Арутюнова Екатерина Ашотовна
Зав. отделением ортодонтии на Арбате
Стаж более 8 лет
★★★★★ 5.0
Хочу консультацию
Отзыв пациента
Когда мне сказали «70 кап» — я честно испугалась. Это много. Но врач объяснила, что случай сложный и укоротить путь не получится, зато дозаказов скорее всего не будет. Так и вышло — ни одного. Три с половиной года — долго, не буду врать. Но капы прозрачные, к ним привыкаешь, и жизнь продолжается. Результат того стоит.
Комментарий врача
Большой набор — 70 кап — говорит о значительном объёме перемещений. Но планирование оказалось точным: дозаказов не потребовалось, весь путь от начала до финиша прошли на одном наборе. Срок лечения 3,5 года объясняется именно количеством кап, а не проблемами по ходу. Для таких случаев это нормальная продолжительность.
Арутюнова Екатерина Ашотовна
Зав. отделением ортодонтии на Арбате
Оставьте заявку на запись на бесплатную консультацию ортодонта
В консультацию входит 3D-диагностика, визуализация вашей новой улыбки, индивидуальный план лечения, расчёт стоимости «под ключ».
Нажимая на кнопку «Бесплатная консультация», вы соглашаетесь с политикой конфиденциальности.
Оставьте заявку на запись на бесплатную консультацию ортодонта