Работы наших врачей

Больше 12000 пациентов за 8 лет работы. На этой странице — часть новых улыбок, вылепленных нашими руками.




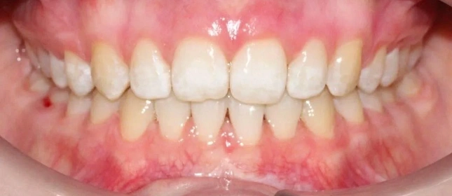
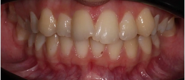
Передние зубы на обеих челюстях были наклонены внутрь (ретрузия). Отсутствовал нижний жевательный зуб (36). Генерализованная стираемость — эмаль истончена на зубах обеих челюстей.
Лечащий врач
Ортодонт Стаж более 8 лет
Подробнее
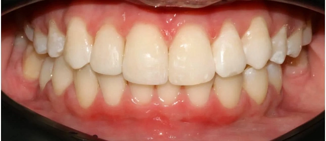
Нарушение соотношения челюстей и неправильное положение зубов — зубные ряды смыкались некорректно, зубы стояли со смещением.
Лечащий врач
Ортодонт Стаж более 4 лет
Подробнее
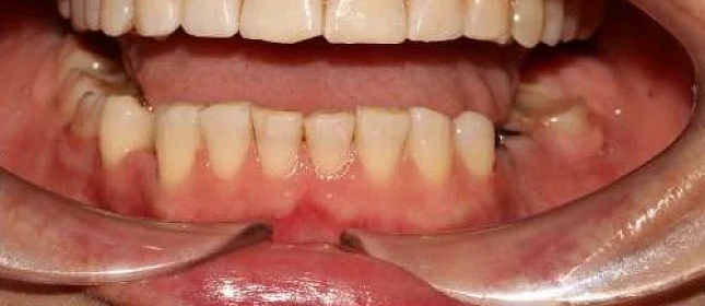
Нарушение соотношения челюстей и неправильное положение зубов — зубные ряды смыкались некорректно, зубы стояли со смещением.
Лечащий врач
Ортодонт Стаж более 8 лет
Подробнее
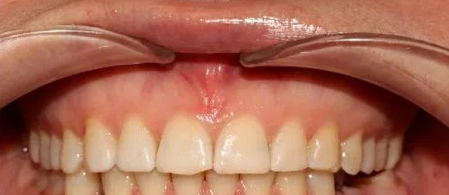
Скученность зубов, обе челюсти сужены — зубам не хватало места в ряду.
Лечащий врач
Ортодонт Стаж более 10 лет
Подробнее
Нарушение соотношения челюстей и неправильное положение зубов — ряды смыкались некорректно, зубы стояли со смещением.
Лечащий врач
Ортодонт Стаж более 5 лет
Подробнее
Нарушение соотношения челюстей и неправильное положение зубов — зубные ряды смыкались некорректно, зубы стояли со смещением.
Лечащий врач
Ведущий ортодонт Стаж более 17 лет
Подробнее
Оставьте заявку на запись на бесплатную консультацию ортодонта
В консультацию входит 3D-диагностика, визуализация вашей новой улыбки, индивидуальный план лечения, расчёт стоимости «под ключ».
Нажимая на кнопку «Бесплатная консультация», вы соглашаетесь с политикой конфиденциальности.
Оставьте заявку на запись на бесплатную консультацию ортодонта