Исправление прикуса на брекетах за 28 месяцев перед протезированием

Исправление прикуса на брекетах за 28 месяцев перед протезированием

У меня похожий случай
Итоги по кейсу
Пол
Женский
Возраст
42 года
Жалоба
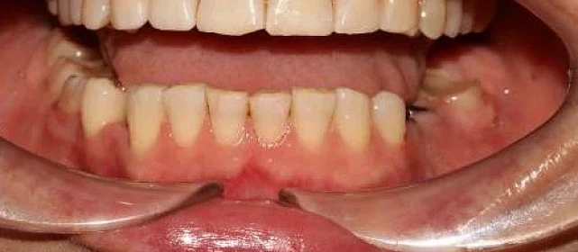
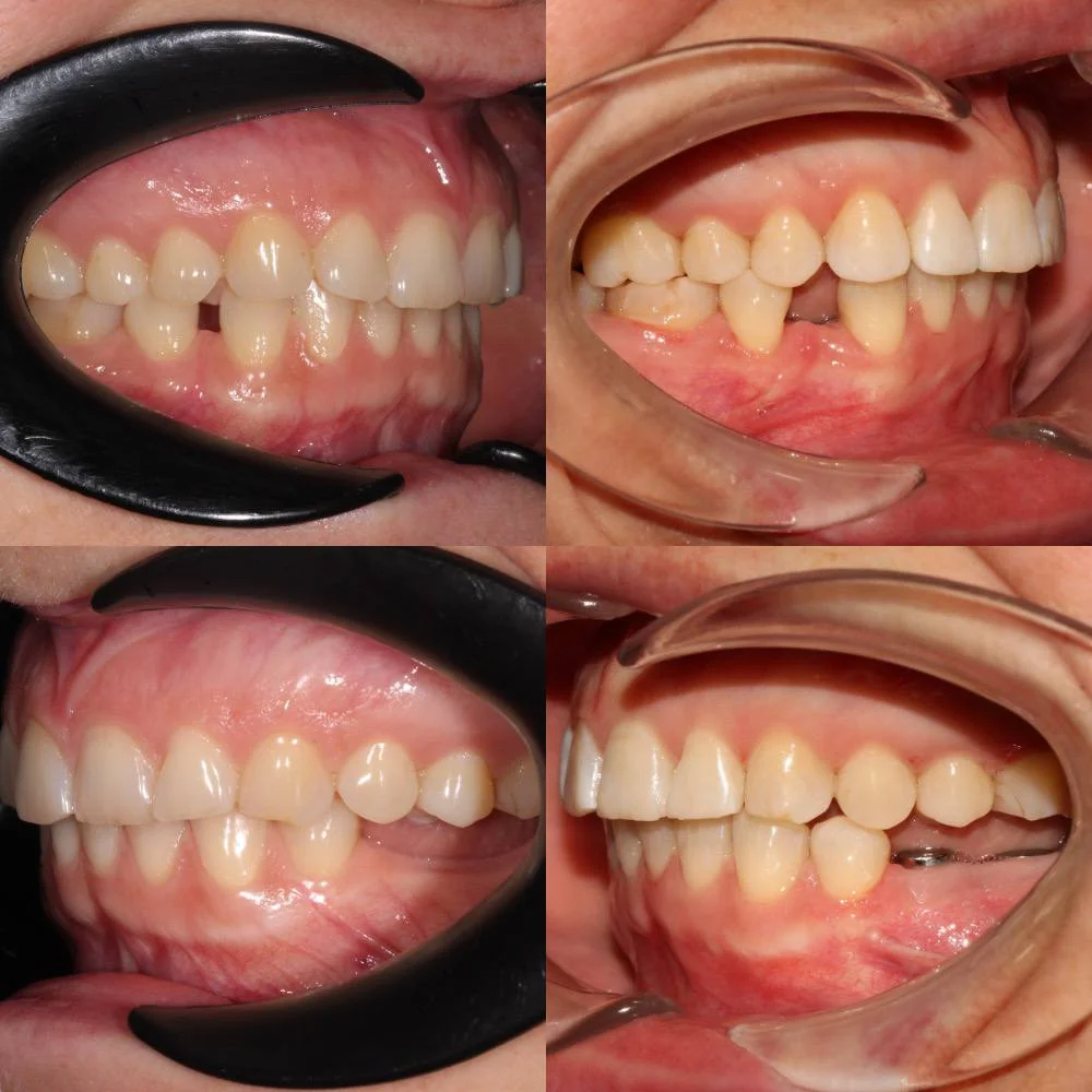
Неровные зубы, неправильный прикус.
Диагностика
Нарушение соотношения челюстей и неправильное положение зубов — ряды смыкались некорректно, зубы стояли со смещением.
План лечения
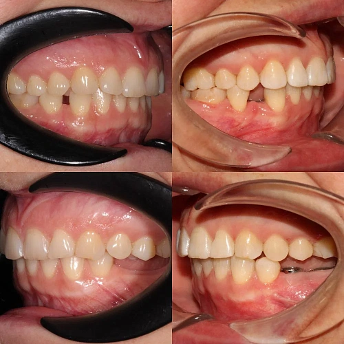
Металлические самолигирующие брекеты H4 на обе челюсти. Выровнять зубы, исправить прикус, подготовить к установке коронок. Срок — около 2,5 лет.
Ход лечения
Лечение заняло 28 месяцев (ноябрь 2023 — март 2026). После снятия брекетов пациентка направлена к ортопеду для установки коронок.
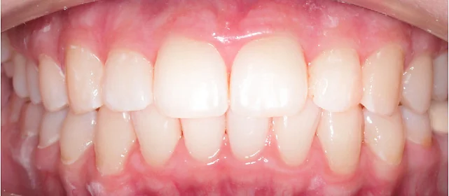
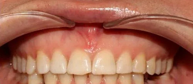
Результат
Прикус исправлен, зубы выровнены. Установлены несъёмные ретейнеры на обе челюсти, после установки коронок будут изготовлены ретенционные капы.

Дата публикации: 03.04.26

Фотографии опубликованы с согласия пациента

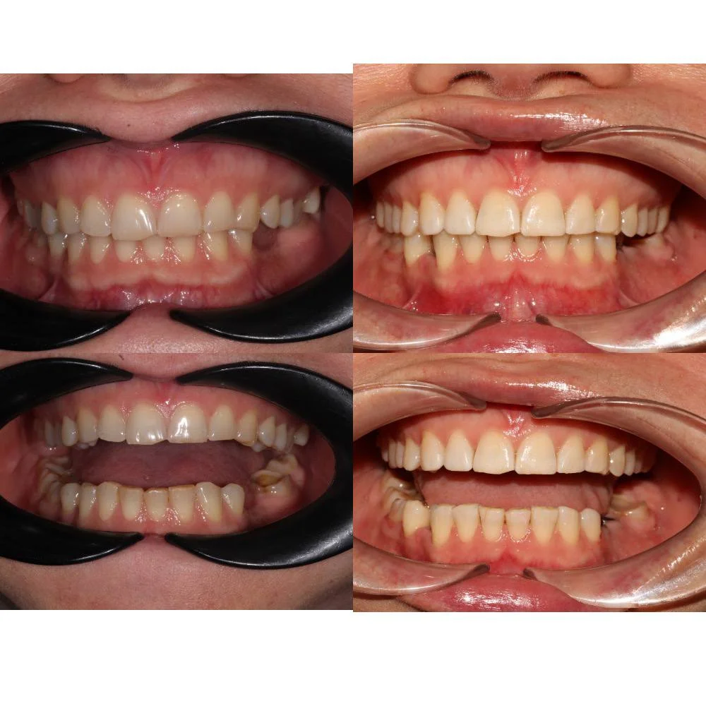
Проблема: Пациентка обратилась с жалобами на неровные зубы и неправильный прикус. Челюсти смыкались некорректно, зубы стояли со смещением. Часть зубов нуждалась в восстановлении коронками, но ставить их на кривой ряд с неправильным прикусом значит заведомо сократить им срок службы. Нагрузка будет распределяться неравномерно, и конструкции быстро выйдут из строя. Поэтому первый этап — ортодонтия, второй — протезирование.
Решение: Установили металлические самолигирующие брекеты H4 на обе челюсти. За 28 месяцев выровняли зубы и привели прикус в норму. После снятия брекетов зафиксировали ретейнеры на обе челюсти. Пациентка направлена к ортопеду — в течение недели устанавливает коронки, после чего будет проведено сканирование и изготовлены ретенционные капы уже по окончательному контуру зубов.
Поленок Мария Сергеевна
Стоматолог - ортодонт
Стаж более 5 лет
★★★★★ 4.9
Хочу консультацию
Отзыв пациента
Мне было важно понимать план целиком, что да как, прежде, чем стартовать лечение. Мария Сергеевна на первой же консультации объяснила: сначала выравниваем, потом коронки и почему именно в таком порядке. 28 месяцев в брекетах — не скажу, что это было легко, особенно первые пару недель. Но потом привыкаешь и перестаёшь обращать внимание. Сейчас зубы ровные, далее будем ставить коронки!
Комментарий врача
Двухэтапный случай: сначала ортодонтия, потом протезирование. Ставить коронки при неправильном прикусе нельзя — нагрузка ляжет неравномерно, конструкции не прослужат долго. Брекеты H4 отработали за 28 месяцев, ряд подготовлен. Ретенционные капы сознательно делаем после коронок — контур зубов изменится, и капы должны соответствовать финальному результату.
Поленок Мария Сергеевна
Стоматолог - ортодонт
Оставьте заявку на запись на бесплатную консультацию ортодонта
В консультацию входит 3D-диагностика, визуализация вашей новой улыбки, индивидуальный план лечения, расчёт стоимости «под ключ».
Нажимая на кнопку «Бесплатная консультация», вы соглашаетесь с политикой конфиденциальности.
Оставьте заявку на запись на бесплатную консультацию ортодонта