Лечение неправильного прикуса зубов на элайнерах Click Aligners за 23 месяца

Лечение неправильного прикуса зубов на элайнерах Click Aligners за 23 месяца

У меня похожий случай
Итоги по кейсу
Пол
Женский
Возраст
26 лет
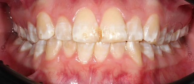
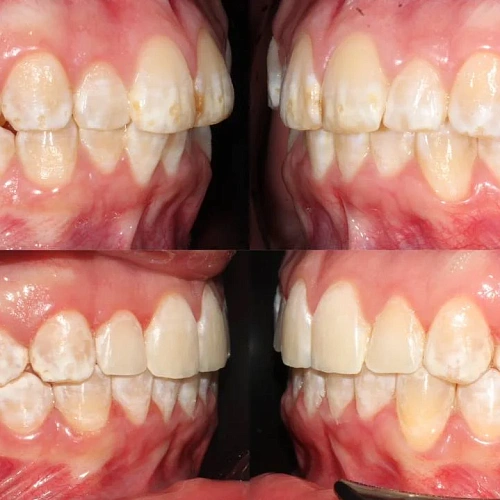
Жалоба
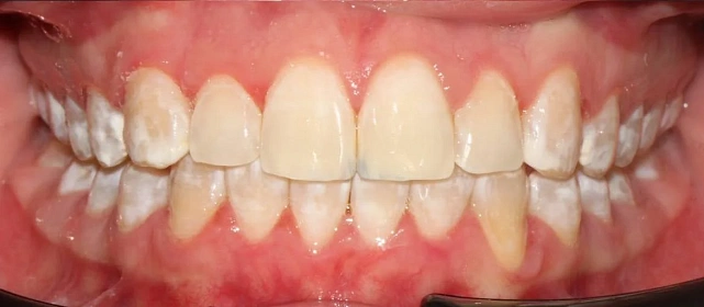
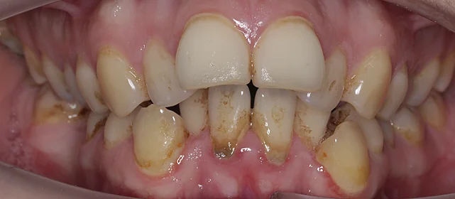
Неправильное положение зубов, неправильное смыкание.
Диагностика
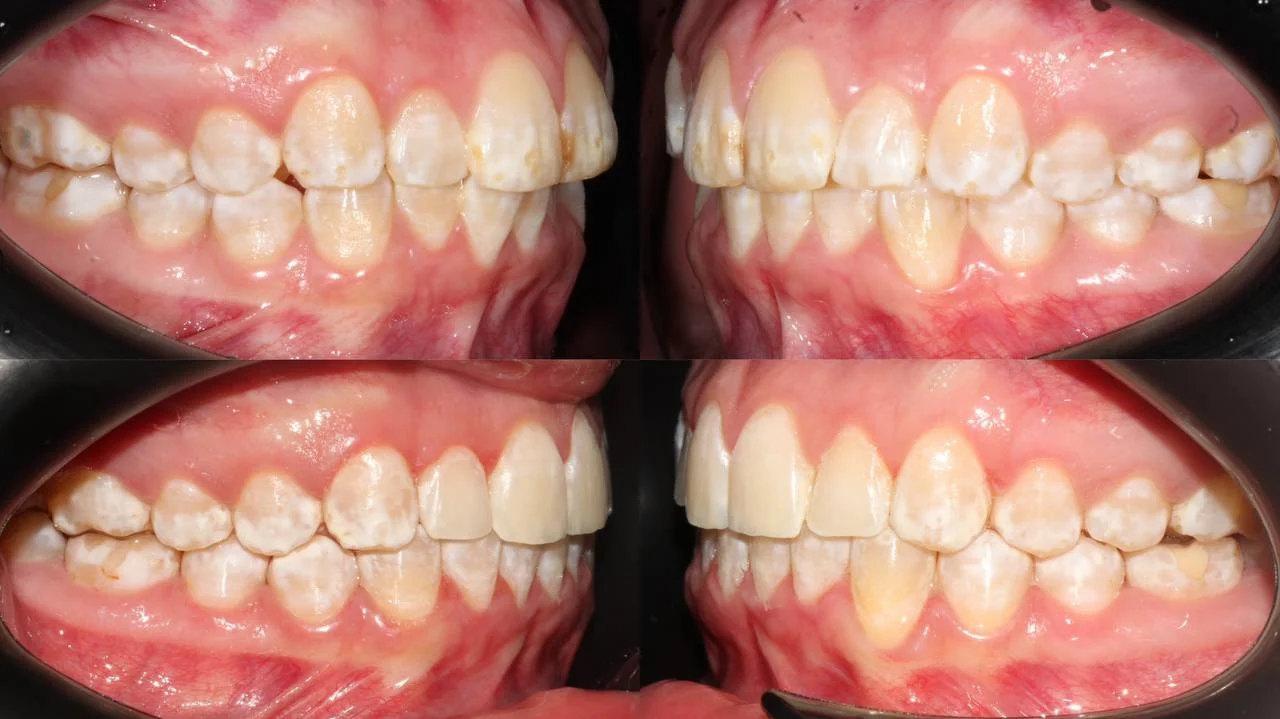
Нарушение соотношения челюстей и неправильное положение зубов — зубные ряды смыкались некорректно, зубы стояли со смещением.
План лечения
Прозрачные элайнеры Click на обе челюсти. Выровнять зубы и нормализовать смыкание. Основной набор — 20 кап. Срок — около 1 года.
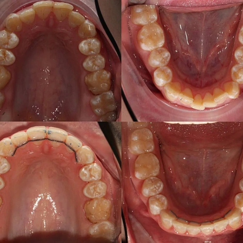
Ход лечения
Лечение заняло 23 месяца (октябрь 2023 — сентябрь 2025). Понадобился один дополнительный набор из 10 кап — итого 30 кап.
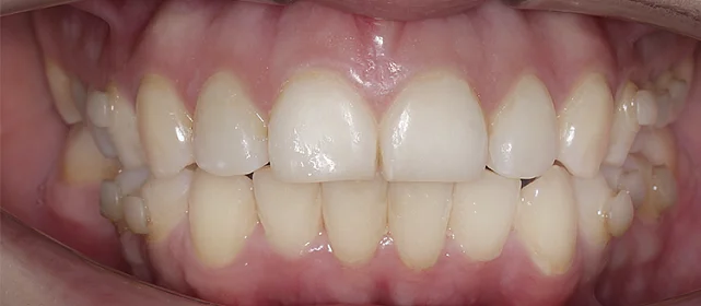
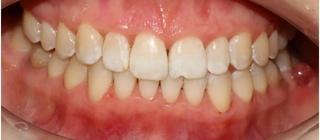
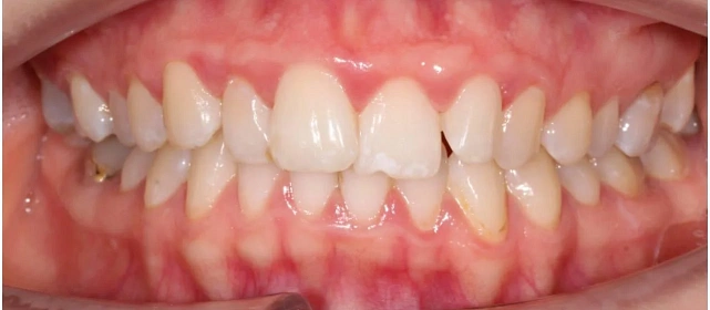
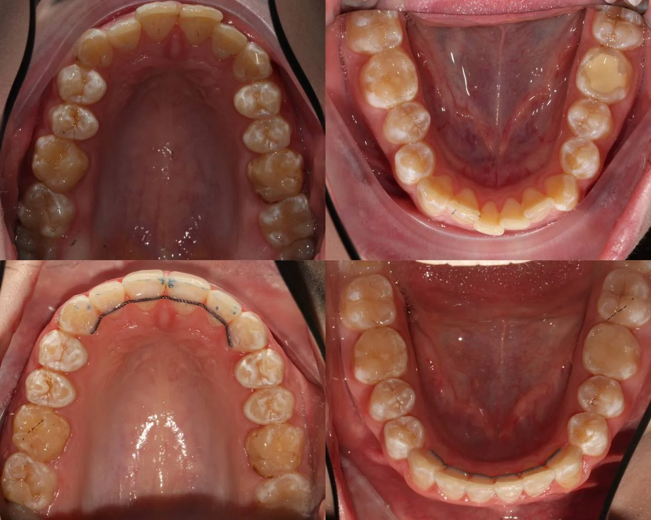
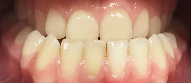
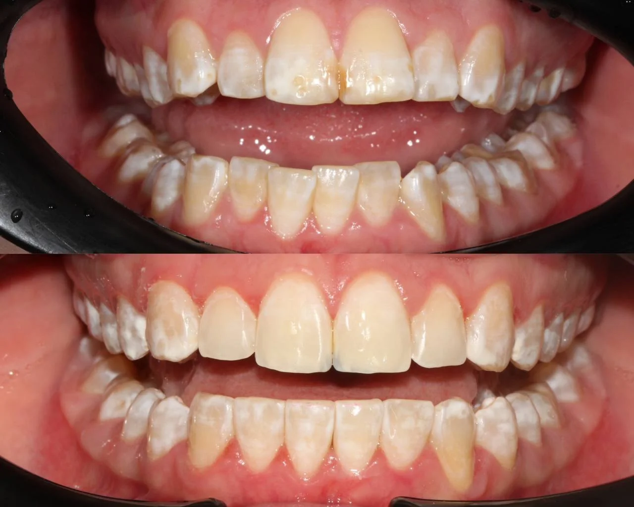
Результат
Зубы выровнены, смыкание нормализовано. Установлены несъёмные ретейнеры на обе челюсти, сняты сканы для ретенционных кап.

Дата публикации: 03.04.26

Фотографии опубликованы с согласия пациента

Проблема: Пациентку не устраивало положение зубов и то, как смыкаются челюсти. Зубы стояли неровно, ряды сходились неправильно.
Решение: Поставили прозрачные элайнеры Click — начали с компактного набора из 20 кап. Основной комплект сделал основной объем работы, но для финальной доводки понадобился дополнительный набор из 10 кап. Итого 30 кап за 23 месяца. Результат — зубы на месте, смыкание в норме. Зафиксировали ретейнеры на обе челюсти, сняли сканы для ретенционных кап.
Арутюнова Екатерина Ашотовна
Зав. отделением ортодонтии на Арбате
Стаж более 8 лет
★★★★★ 5.0
Хочу консультацию
Отзыв пациента
Мне поставили всего 20 кап, и я думала — за полтора года управлюсь. Вышло чуть дольше, потому что потребовался дозаказ. Но 10 дополнительных кап — это мелочь по сравнению с основным лечением. Зато результат довели до конца, а не остановились на «почти ровно».
Комментарий врача
Небольшой по объёму случай — 20 кап в основном наборе. Этого хватило для основного выравнивания, но финальная коррекция смыкания потребовала ещё 10 кап. Предпочитаю доработать, чем оставить компромиссный результат. 30 кап за 23 месяца — спокойный темп, без спешки.
Арутюнова Екатерина Ашотовна
Зав. отделением ортодонтии на Арбате
Оставьте заявку на запись на бесплатную консультацию ортодонта
В консультацию входит 3D-диагностика, визуализация вашей новой улыбки, индивидуальный план лечения, расчёт стоимости «под ключ».
Нажимая на кнопку «Бесплатная консультация», вы соглашаетесь с политикой конфиденциальности.
Оставьте заявку на запись на бесплатную консультацию ортодонта