Комплексный подход в лечении прикуса на элайнерах 3D Smile

Комплексный подход в лечении прикуса на элайнерах 3D Smile

У меня похожий случай
Итоги по кейсу
Пол
Женский
Возраст
38 лет
Жалоба
Неровные зубы, неправильное смыкание.
Диагностика
Нарушение соотношения челюстей и неправильное положение зубов — зубные ряды смыкались некорректно, зубы стояли со смещением.
План лечения
Прозрачные элайнеры 3D Smile на обе челюсти. Выровнять зубы и нормализовать смыкание. Лечение в связке с гигиенистом и ортопедом. Срок — около 2 лет.
Ход лечения
Лечение заняло 4 года (март 2022 — март 2026). Капы менялись каждые 1–2 недели, визиты к ортодонту каждые 6–8 недель для контроля и выдачи новых наборов. Параллельно проводилась профессиональная гигиена, пациентка наблюдалась у ортопеда.
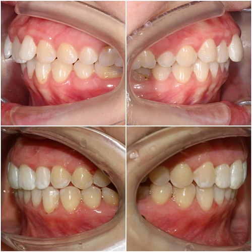
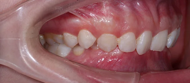
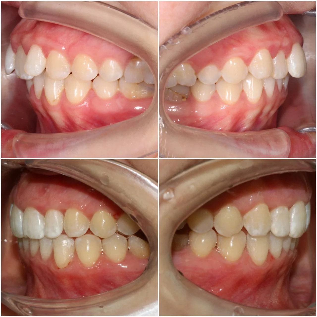
Результат
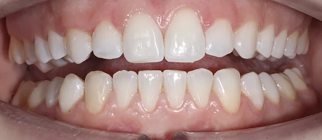
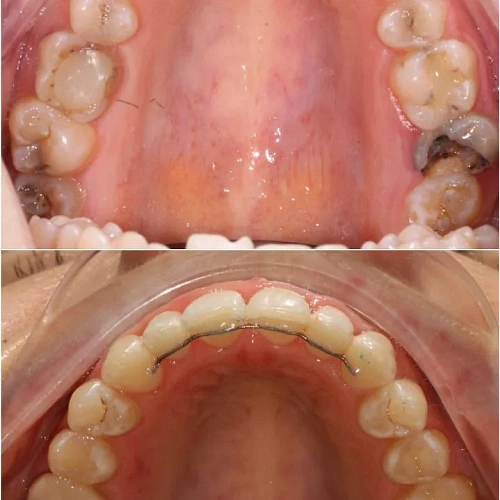
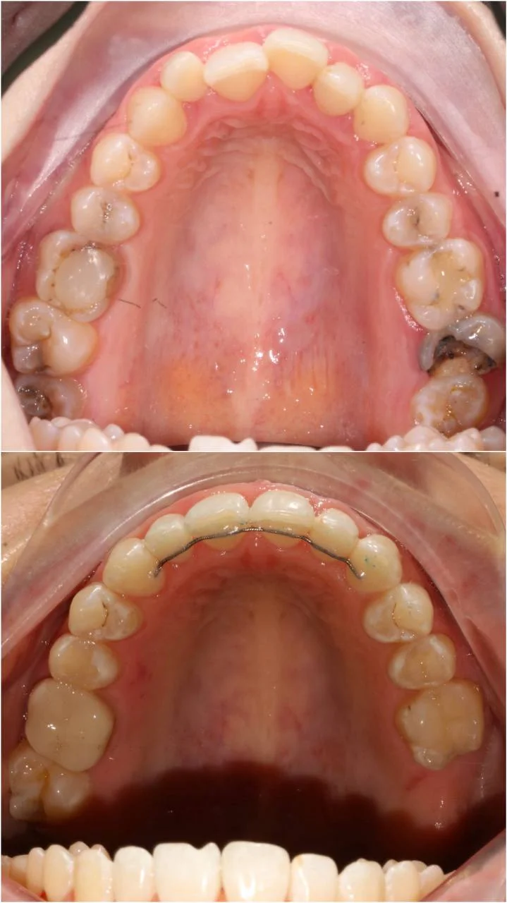
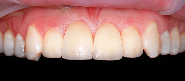
Зубы выровнены, смыкание нормализовано. Установлены несъёмные ретейнеры на обе челюсти, сняты слепки для изготовления ретенционных кап. Ортопедический этап пройден у Мирзоева Ф.М.

Дата публикации: 02.04.26

Фотографии опубликованы с согласия пациента

Проблема: Пациентка обратилась с жалобами на неровные зубы и неправильное смыкание. Ряды сходились некорректно, зубы стояли со смещением. Помимо ортодонтии, требовалось наблюдение у ортопеда и регулярная профессиональная гигиена на протяжении всего лечения.
Решение: Поставили элайнеры 3D Smile на обе челюсти. Лечение шло в связке трёх специалистов: ортодонт вела основной курс, гигиенист следила за состоянием дёсен и зубов в процессе, ортопед контролировал общую картину. Весь путь занял 4 года — несколько последовательных этапов коррекции, капы менялись каждые 1–2 недели. Зубы встали на место, смыкание пришло в норму. Зафиксировали ретейнеры на обе челюсти, сняли слепки для ретенционных кап. Ортопедический этап завершён.
Куканова Алена Витальевна
Стоматолог - ортодонт
Стаж более 5 лет
★★★★★ 4.9
Хочу консультацию
Отзыв пациента
Четыре года — это, конечно, серьёзно. Когда начинала, думала управлюсь за два. Но Алёна Витальевна ещё на старте сказала, что может быть дольше, и оказалась права. Что мне понравилось — это то, что всё в одном месте: и ортодонт, и гигиенист, и ортопед. Не нужно бегать по разным клиникам, все друг с другом на связи. Милана Рамазановна делала гигиену, у Фарруха Маратовича прошла ортопедию. Зубы ровные, всё что нужно — сделано. Жаль только что не начала раньше, лет в двадцать.
Комментарий врача
Вели пациентку командой: ортодонтия, гигиена и ортопедия параллельно. Это важно при длительном лечении — без регулярной профгигиены элайнеры могут спровоцировать проблемы с дёснами, а ортопед отслеживает общее состояние зубов и планирует восстановление. Лечение потребовало нескольких этапов коррекции. Результат стабильный, ретейнеры зафиксированы.
Куканова Алена Витальевна
Стоматолог - ортодонт
Оставьте заявку на запись на бесплатную консультацию ортодонта
В консультацию входит 3D-диагностика, визуализация вашей новой улыбки, индивидуальный план лечения, расчёт стоимости «под ключ».
Нажимая на кнопку «Бесплатная консультация», вы соглашаетесь с политикой конфиденциальности.
Оставьте заявку на запись на бесплатную консультацию ортодонта