Лечим прикус на металлических брекетах H4 при сужении обеих челюстей за 25 месяцев

Лечим прикус на металлических брекетах H4 при сужении обеих челюстей за 25 месяцев

У меня похожий случай
Итоги по кейсу
Пол
Женский
Возраст
30 лет
Жалоба
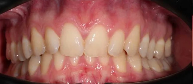
Неровные зубы на верхней челюсти, неправильный прикус. Периодически беспокоил сустав челюсти.
Диагностика
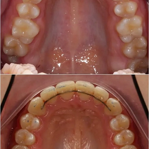
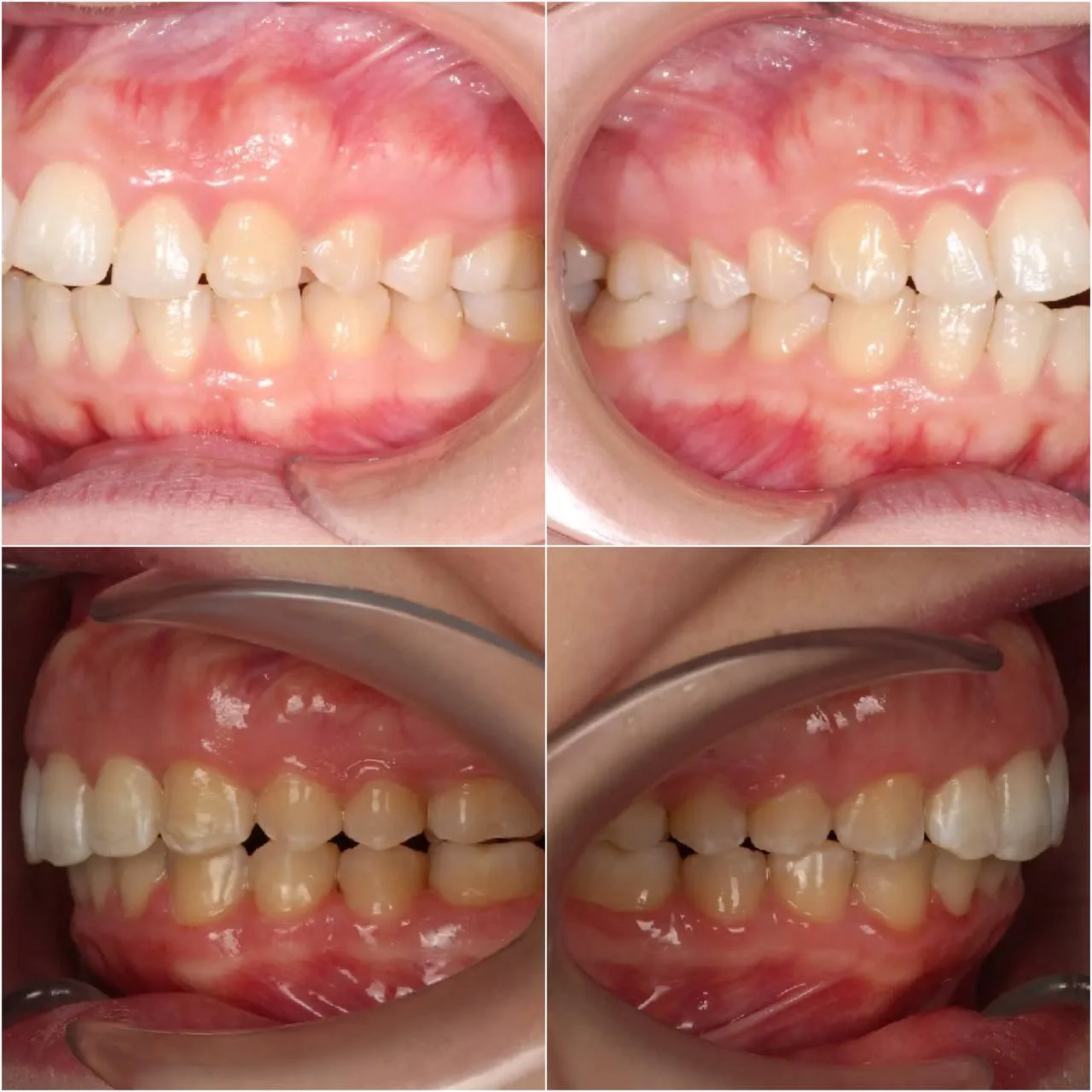
Обе челюсти сужены — зубам не хватало места, из-за чего они стояли неровно. Верхняя челюсть выступала вперёд относительно нижней с обеих сторон (II класс по Энглю).
План лечения
Металлические самолигирующие брекеты H4 на обе челюсти. Расширить зубные дуги, выровнять зубы, исправить прикус. Срок — около 2 лет.
Ход лечения
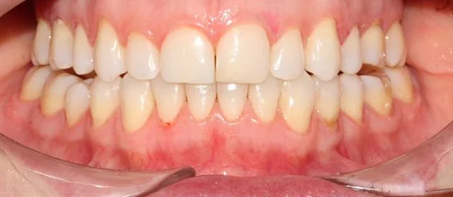
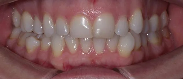
Лечение заняло 25 месяцев. Визиты к ортодонту раз в 4–6 недель для замены дуг и контроля прогресса. За счёт исправления прикуса нагрузка на сустав нормализовалась.
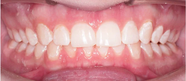
Результат
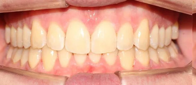
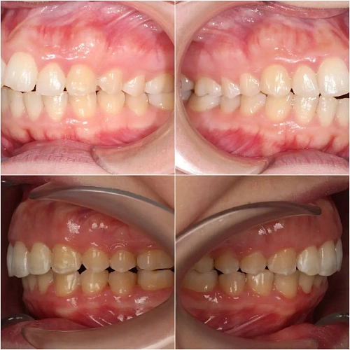
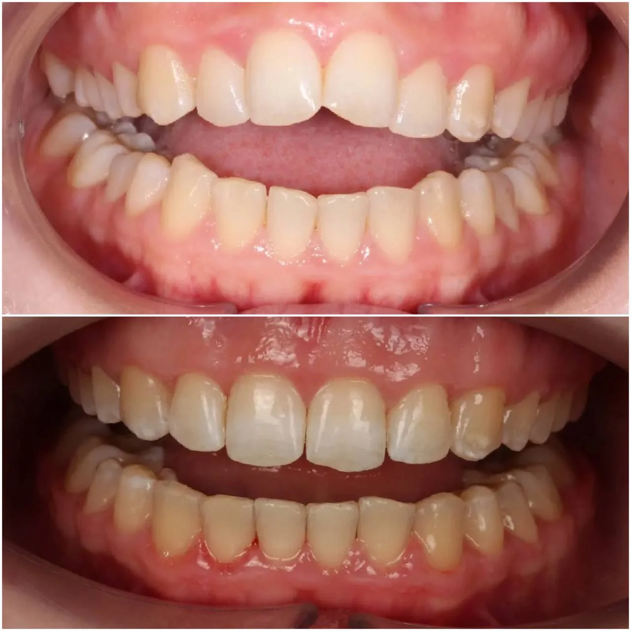
Зубы выровнены, прикус исправлен, жалобы на сустав прошли. Для закрепления результата установлены несъёмные ретейнеры на обе челюсти и изготовлены ночные капы. Пациентка направлена к ортопеду для финальных реставраций.

Дата публикации: 02.04.26

Фотографии опубликованы с согласия пациента

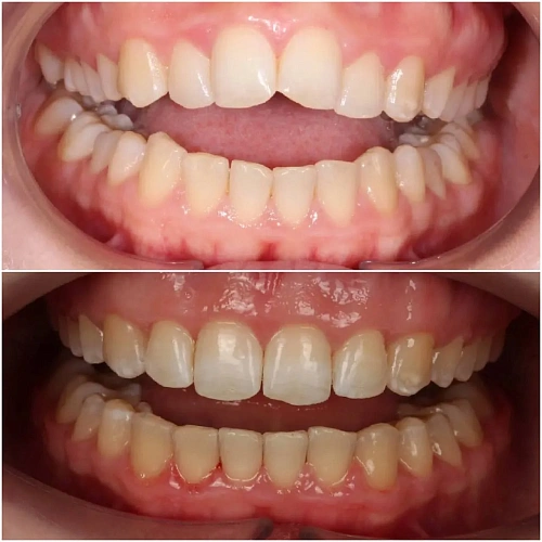
Проблема: Пациентку беспокоили неровные зубы на верхней челюсти и неправильный прикус. Периодически давал о себе знать сустав, она испытывала дискомфорт при открывании рта. При осмотре выяснилось, что обе челюсти сужены, зубам не хватает места, а верхняя челюсть выступает вперёд относительно нижней с обеих сторон. Проблема с суставом была связана с прикусом — неправильное смыкание создавало неравномерную нагрузку на ВНЧС.
Решение: Установили металлические самолигирующие брекеты H4 на обе челюсти. За 25 месяцев расширили зубные дуги, выровняли зубы, исправили соотношение челюстей. Прикус перешёл из II класса в норму, нагрузка на сустав распределилась равномерно — жалобы прошли. Зафиксировали ретейнеры на обе челюсти, сняли слепки для ретенционных кап. Пациентка записана к ортопеду и терапевту для завершающих этапов.
Данилова Виктория Юрьевна
Ведущий ортодонт
Стаж более 10 лет
★★★★★ 5.0
Хочу консультацию
Отзыв пациента
У меня помимо кривых зубов ещё периодически щёлкал и побаливал сустав. Я думала это отдельная проблема, а на консультации Виктория Юрьевна объяснила, что одно связано с другим — прикус неправильный, нагрузка идёт не туда, отсюда и сустав. Поставили брекеты, и где-то к середине лечения я вдруг поняла, что сустав перестал беспокоить. Даже не заметила, в какой момент это произошло. Сейчас зубы ровные, прикус правильный, сустав не беспокоит. Осталось дойти до ортопеда.
Комментарий врача
Сужение обеих челюстей, II класс по Энглю с двух сторон, плюс жалобы на ВНЧС. Проблемы с суставом в таких случаях — следствие неправильного прикуса: челюсть вынуждена компенсировать неправильное смыкание, и сустав берёт на себя лишнюю нагрузку. Брекеты H4 позволили расширить дуги и вывести прикус в I класс за 25 месяцев. Жалобы на сустав ушли по мере коррекции. Направила к ортопеду и терапевту для завершения.
Данилова Виктория Юрьевна
Ведущий ортодонт
Оставьте заявку на запись на бесплатную консультацию ортодонта
В консультацию входит 3D-диагностика, визуализация вашей новой улыбки, индивидуальный план лечения, расчёт стоимости «под ключ».
Нажимая на кнопку «Бесплатная консультация», вы соглашаетесь с политикой конфиденциальности.
Оставьте заявку на запись на бесплатную консультацию ортодонта