Лечение скученности и неправильного прикуса на элайнерах 3D Smile

Лечение скученности и неправильного прикуса на элайнерах 3D Smile

У меня похожий случай
Итоги по кейсу
Пол
Женский
Возраст
38 лет
Жалоба
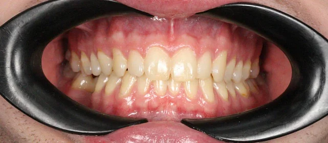
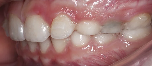
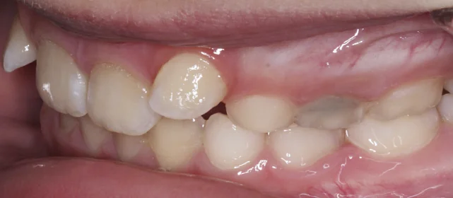
Неправильное положение зубов, неправильное смыкание.
Диагностика
Нарушение соотношения челюстей и неправильное положение зубов — зубные ряды смыкались некорректно, зубы стояли со смещением.
План лечения
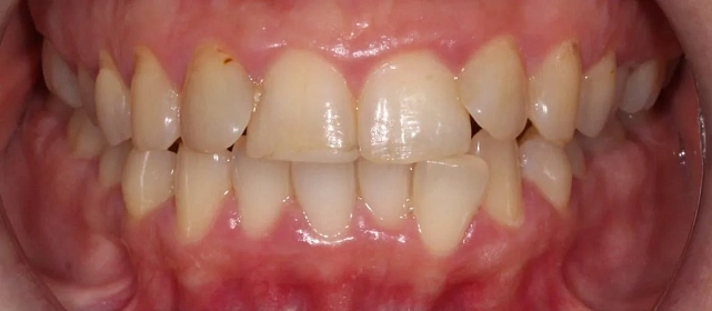
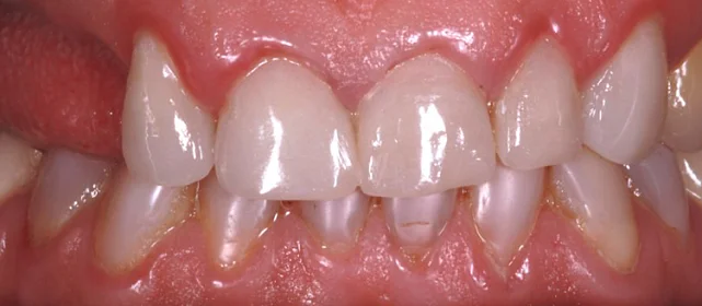
Прозрачные элайнеры 3D Smile на обе челюсти. Выровнять зубы и нормализовать смыкание. Основной набор — 24 капы. Срок — около 1,5 лет.
Ход лечения
Лечение заняло 31 месяц (февраль 2023 — сентябрь 2025). Понадобились два дополнительных набора: 21 и 6 кап — итого 51 капа. Параллельно проводилась профессиональная гигиена.
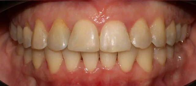
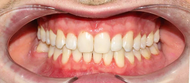
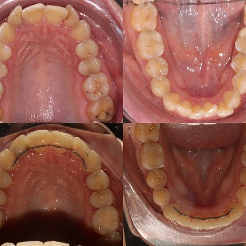
Результат
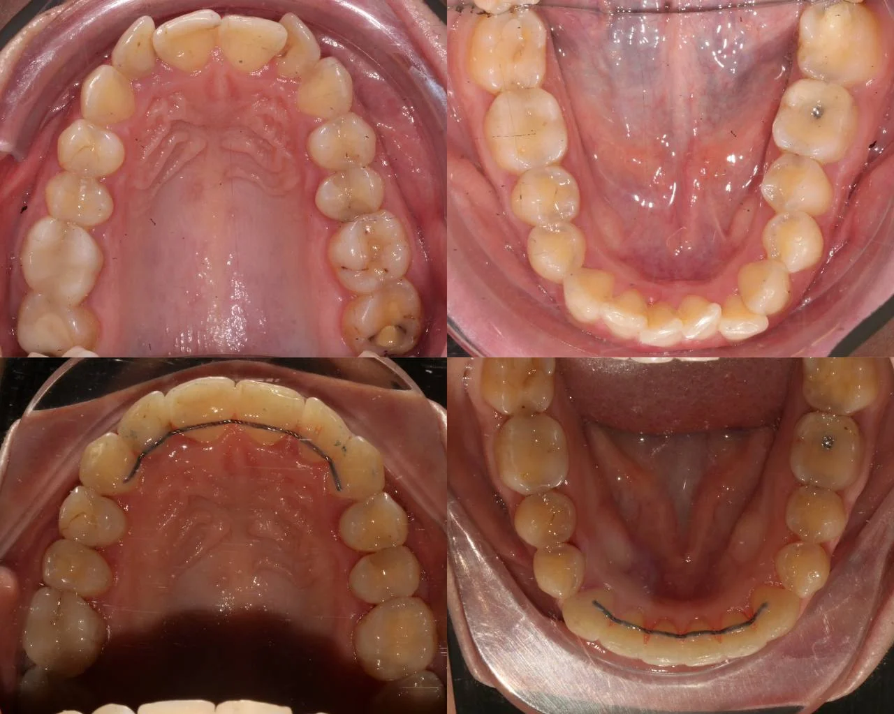
Зубы выровнены, смыкание нормализовано. Установлены несъёмные ретейнеры на обе челюсти, сняты сканы для ретенционных кап.

Дата публикации: 03.04.26

Фотографии опубликованы с согласия пациента

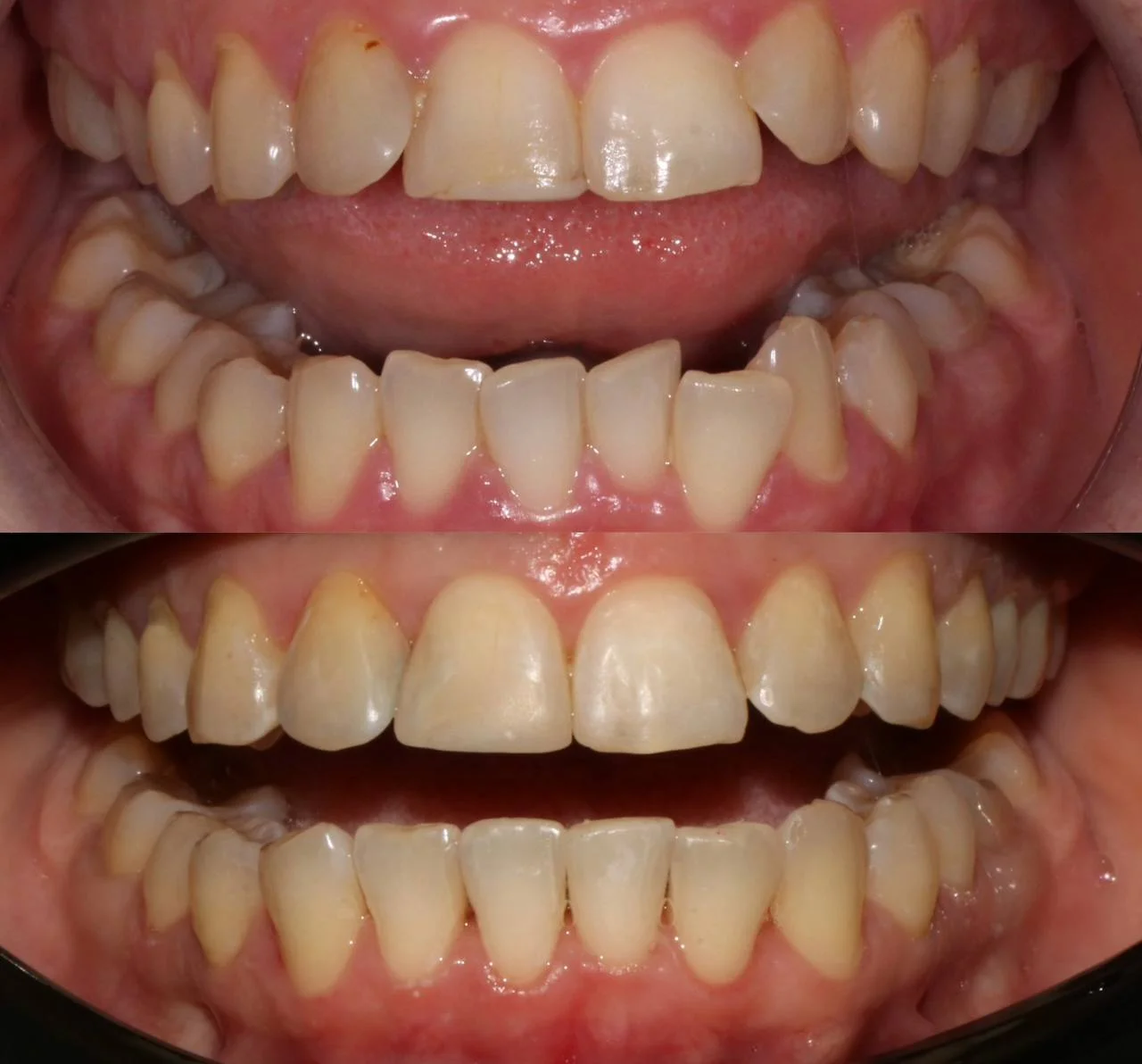
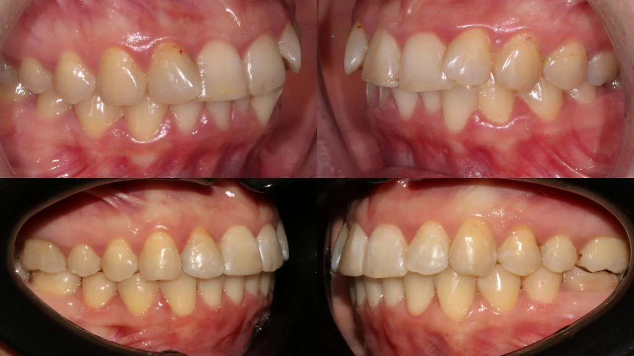
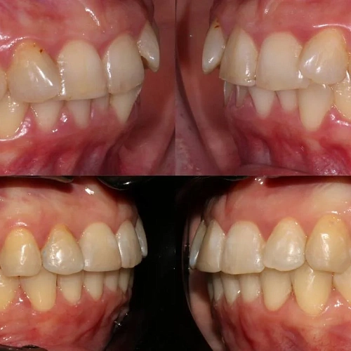
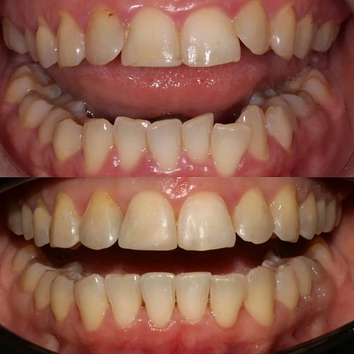
Проблема: Пациентку беспокоило неправильное положение зубов и смыкание — зубные ряды не сходились как нужно, зубы стояли со смещением. Это влияло на внешний вид улыбки и создавало неравномерную нагрузку при жевании.
Решение: Поставили прозрачные элайнеры 3D Smile на обе челюсти. Начали с 24 кап, но по ходу лечения понадобились два дополнительных набора — 21 и 6 кап. Зубы двигаются с индивидуальной скоростью, и финальная подгонка часто требует доработки. В итоге 51 капа за 31 месяц — зубы на месте, смыкание в норме. Зафиксировали ретейнеры на обе челюсти, сняли сканы для ретенционных кап. На этом ортодонтический этап завершён полностью.
Шевченко Алина Борисовна
Стоматолог - ортодонт
Стаж более 4 лет
★★★★★ 5.0
Хочу консультацию
Отзыв пациента
Были два дозаказа — это растянуло лечение. Каждый раз ждёшь новые капы пару недель, потом снова начинаешь цикл. Морально к этому надо быть готовой, но врач на берегу предупредила, что такое возможно, и объяснила зачем. Зато результат — зубы ровные, прикус правильный и уже навсегда.
Комментарий врача
Основной набор из 24 кап выполнил большую часть работы. Первый дозаказ из 21 капы потребовался для доводки положения отдельных зубов, второй из 6 — для финальной подгонки смыкания. Это не аномалия, а особенность работы с элайнерами: чем ближе к идеалу, тем тоньше настройка. Итог стабильный, ретейнеры на месте.
Шевченко Алина Борисовна
Стоматолог - ортодонт
Оставьте заявку на запись на бесплатную консультацию ортодонта
В консультацию входит 3D-диагностика, визуализация вашей новой улыбки, индивидуальный план лечения, расчёт стоимости «под ключ».
Нажимая на кнопку «Бесплатная консультация», вы соглашаетесь с политикой конфиденциальности.
Оставьте заявку на запись на бесплатную консультацию ортодонта