Работы наших врачей

Больше 12000 пациентов за 8 лет работы. На этой странице — часть новых улыбок, вылепленных нашими руками.




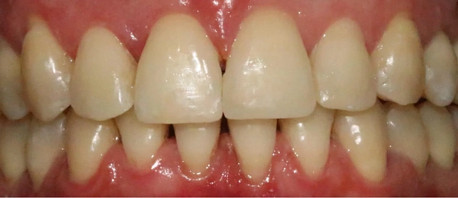
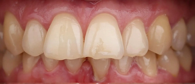
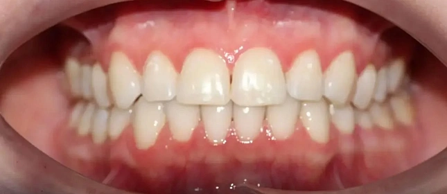
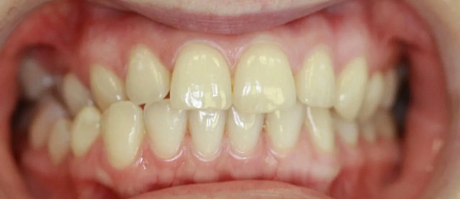
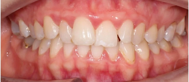
Сужение челюстей, выступающие резцы и скученность — 81 капа на элайнерах Spark
Обе челюсти сужены — зубам не хватало места. На верхней челюсти передние зубы выступали вперёд и были наклонены. На нижней — зубы стояли скученно, налезая друг на друга.
Подробнее
Нарушение соотношения челюстей и неправильное положение зубов — ряды смыкались некорректно, зубы стояли со смещением.
Лечащий врач
Ведущий стоматолог-ортодонт Стаж более 11 лет
Подробнее
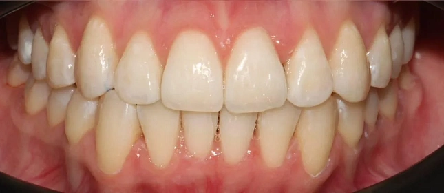
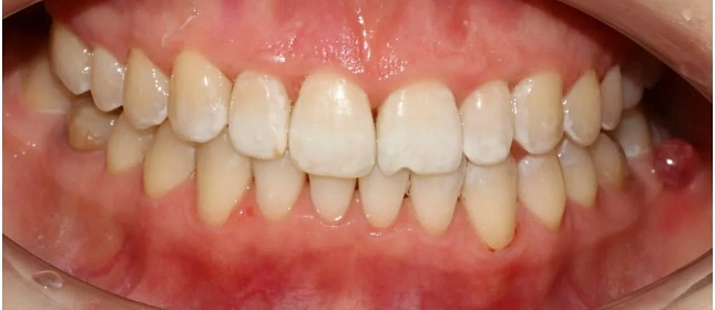
Нарушение соотношения челюстей и неправильное положение зубов. Зубные ряды смыкались некорректно, зубы стояли со смещением.
Лечащий врач
Ортодонт Стаж более 8 лет
Подробнее
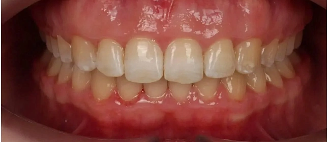
Неправильный прикус и положение зубов — лечение на элайнерах Spark
Нарушение соотношения челюстей и неправильное положение зубов — зубные ряды смыкались некорректно, зубы стояли со смещением.
Подробнее
Обе челюсти сужены — зубам не хватало места, из-за чего они стояли неровно. Верхняя челюсть выступала вперёд относительно нижней с обеих сторон (II класс по Энглю).
Лечащий врач
Ортодонт Стаж более 10 лет
Подробнее
Нарушение соотношения челюстей и неправильное положение зубов — зубные ряды смыкались некорректно, зубы стояли со смещением.
Лечащий врач
Ортодонт Стаж более 5 лет
Подробнее
Оставьте заявку на запись на бесплатную консультацию ортодонта
В консультацию входит 3D-диагностика, визуализация вашей новой улыбки, индивидуальный план лечения, расчёт стоимости «под ключ».
Нажимая на кнопку «Бесплатная консультация», вы соглашаетесь с политикой конфиденциальности.
Оставьте заявку на запись на бесплатную консультацию ортодонта