Исправили неправильный прикус на элайнерах Star Smile за 25 месяцев

Исправили неправильный прикус на элайнерах Star Smile за 25 месяцев

У меня похожий случай
Итоги по кейсу
Пол
Женский
Возраст
34 года
Жалоба
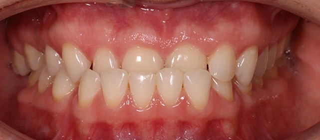
Неровные зубы, неправильный прикус.
Диагностика
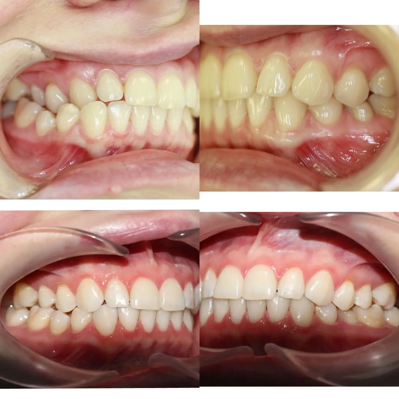
Нарушение соотношения челюстей и неправильное положение зубов — ряды смыкались некорректно, зубы стояли со смещением.
План лечения
Прозрачные элайнеры Star Smile на обе челюсти. Выровнять зубы, исправить прикус, подготовить к ортопедическому лечению. Срок — около 2 лет.
Ход лечения
Лечение заняло 25 месяцев (февраль 2024 — март 2026). Капы менялись каждые 1–2 недели, визиты к ортодонту для контроля прогресса и выдачи новых наборов.
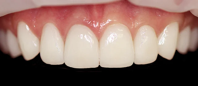
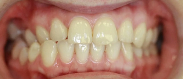
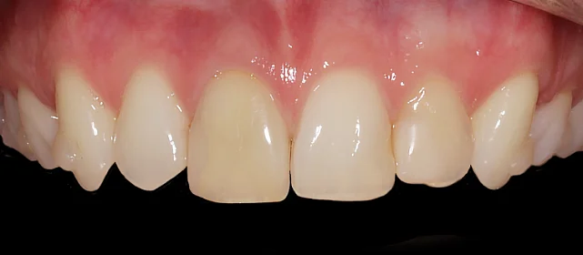
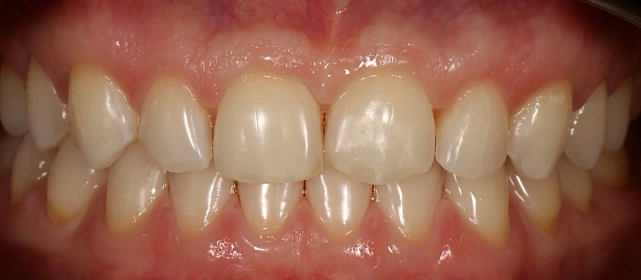
Результат
Прикус исправлен, зубы выровнены. Установлены несъёмные ретейнеры на обе челюсти. После завершения ортопедического этапа будут изготовлены ретенционные капы.

Дата публикации: 03.04.26

Фотографии опубликованы с согласия пациента

Проблема: Пациентка обратилась с двумя жалобами — неровные зубы и неправильный прикус. Зубные ряды смыкались некорректно, зубы стояли со смещением. Помимо выравнивания, в перспективе требовалось ортопедическое лечение, но проводить его до исправления прикуса смысла не было — сначала нужна была ровная база.
Решение: Поставили элайнеры Star Smile на обе челюсти. За 25 месяцев выровняли зубы и привели прикус в норму. Капы менялись каждые 1–2 недели, контрольные визиты — для отслеживания прогресса и выдачи новых наборов. После снятия элайнеров зафиксировали ретейнеры на обе челюсти. Ретенционные капы изготовят после завершения ортопедии — чтобы форма кап соответствовала окончательному контуру зубов.
Дьячкова Инна Владимировна
Стоматолог - ортодонт
Стаж более 11 лет
★★★★★ 5.0
Хочу консультацию
Отзыв пациента
Ну вот, два года позади! Инна Владимировна с самого начала предупредила, что после элайнеров нужна будет ещё ортопедия, и что капы для ретенции сделают уже после неё. То есть сразу был план на несколько шагов вперёд, и это подкупило — не люблю когда на каждом приёме что-то новое вылезает. Элайнеры носила исправно, к ним привыкла буквально за неделю. Сейчас зубы ровные, прикус на месте, осталось дойти до ортопеда и закрыть оставшееся.
Комментарий врача
Лечение строилось с учётом последующей ортопедии — это влияло и на план перемещений, и на последовательность этапов. Ретенционные капы сознательно отложили до завершения ортопедического этапа: если изготовить их сейчас, после протезирования контур зубов изменится, и капы придётся переделывать. Элайнеры Star Smile отработали за 25 месяцев, прикус стабилен.
Дьячкова Инна Владимировна
Стоматолог - ортодонт
Оставьте заявку на запись на бесплатную консультацию ортодонта
В консультацию входит 3D-диагностика, визуализация вашей новой улыбки, индивидуальный план лечения, расчёт стоимости «под ключ».
Нажимая на кнопку «Бесплатная консультация», вы соглашаетесь с политикой конфиденциальности.
Оставьте заявку на запись на бесплатную консультацию ортодонта