Скученность зубов — выравнивание зубов на элайнерах Click Aligners

Скученность зубов — выравнивание зубов на элайнерах Click Aligners

У меня похожий случай
Итоги по кейсу
Пол
Женский
Возраст
27 лет
Жалоба
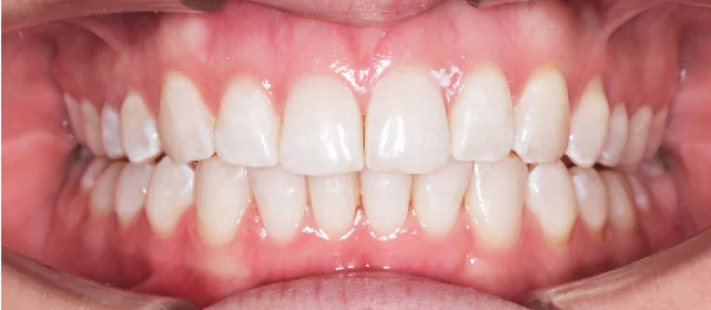
Неровные зубы.
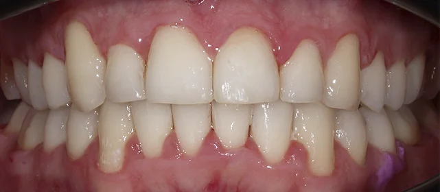
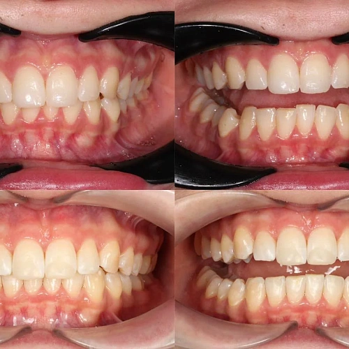
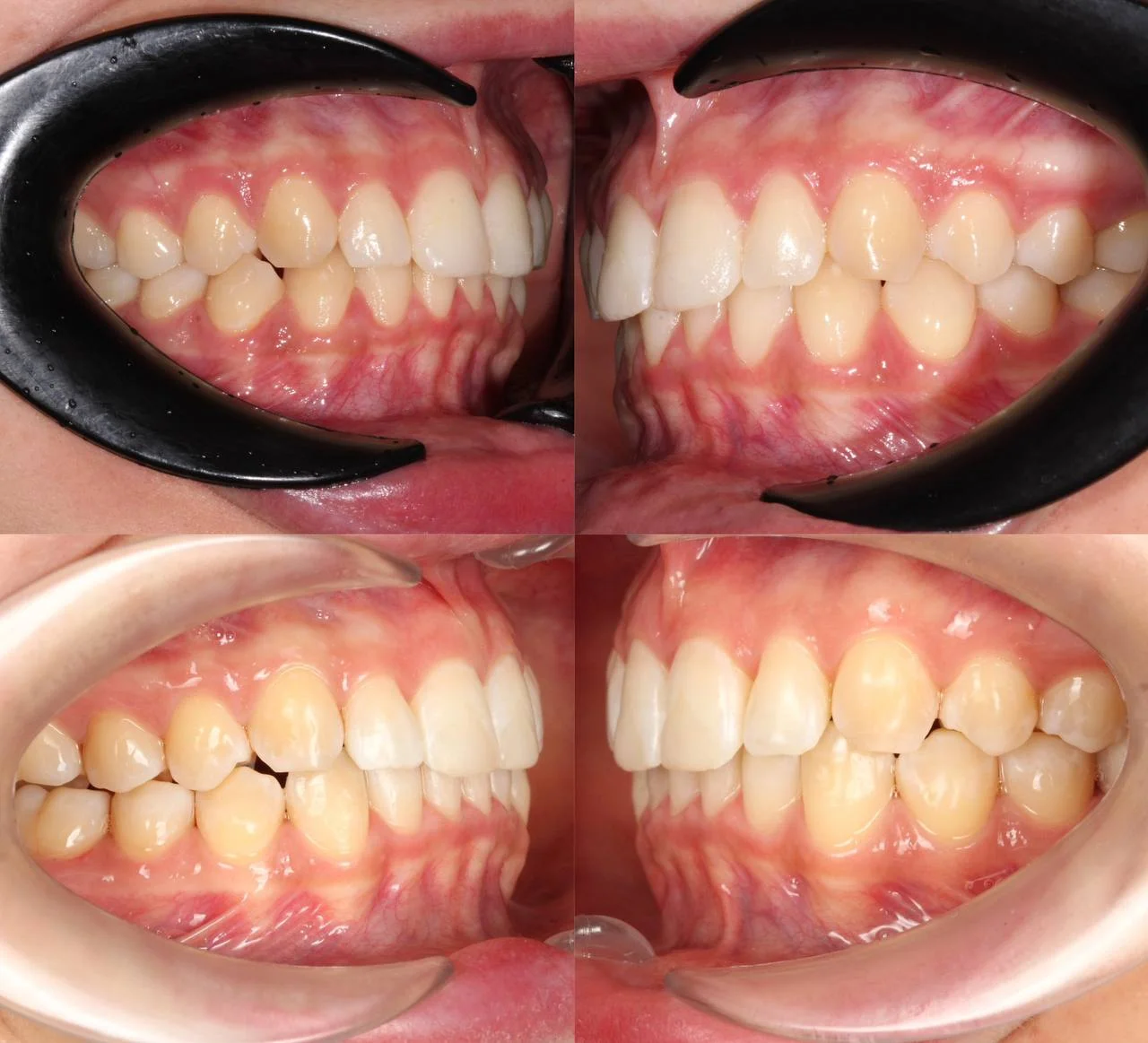
Диагностика
Обе челюсти сужены — зубам не хватало места, они стояли скученно на верхней и нижней челюсти. Нарушена кривая смыкания — жевательные зубы были на разной высоте.
План лечения
Прозрачные элайнеры Click на обе челюсти. Расширить зубные дуги, убрать скученность, выровнять линию смыкания. Основной набор — 32 капы. Срок — около 2 лет.
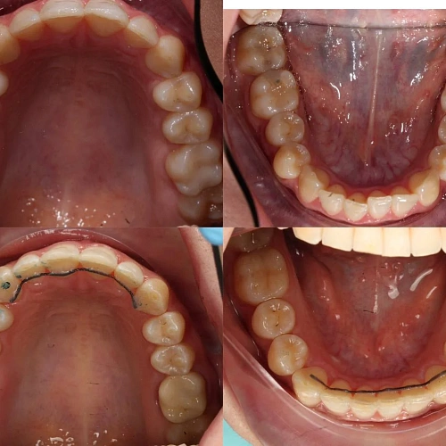
Ход лечения
Лечение заняло 30 месяцев (август 2023 — февраль 2026). Понадобились три дополнительных набора: 30, 10 и 10 кап — итого 82 капы. Пациентка живёт за рубежом, приезжала на визиты — что иногда влияло на частоту контроля и сроки. На ретенцию приехала отдельно.
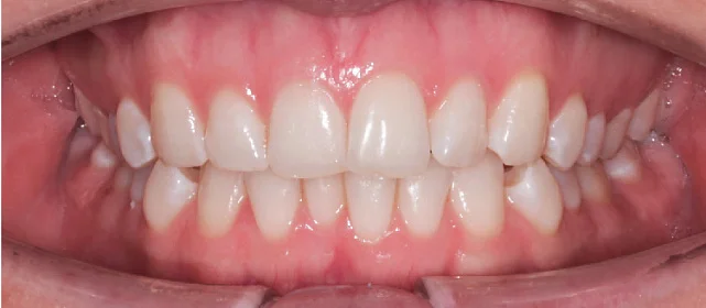
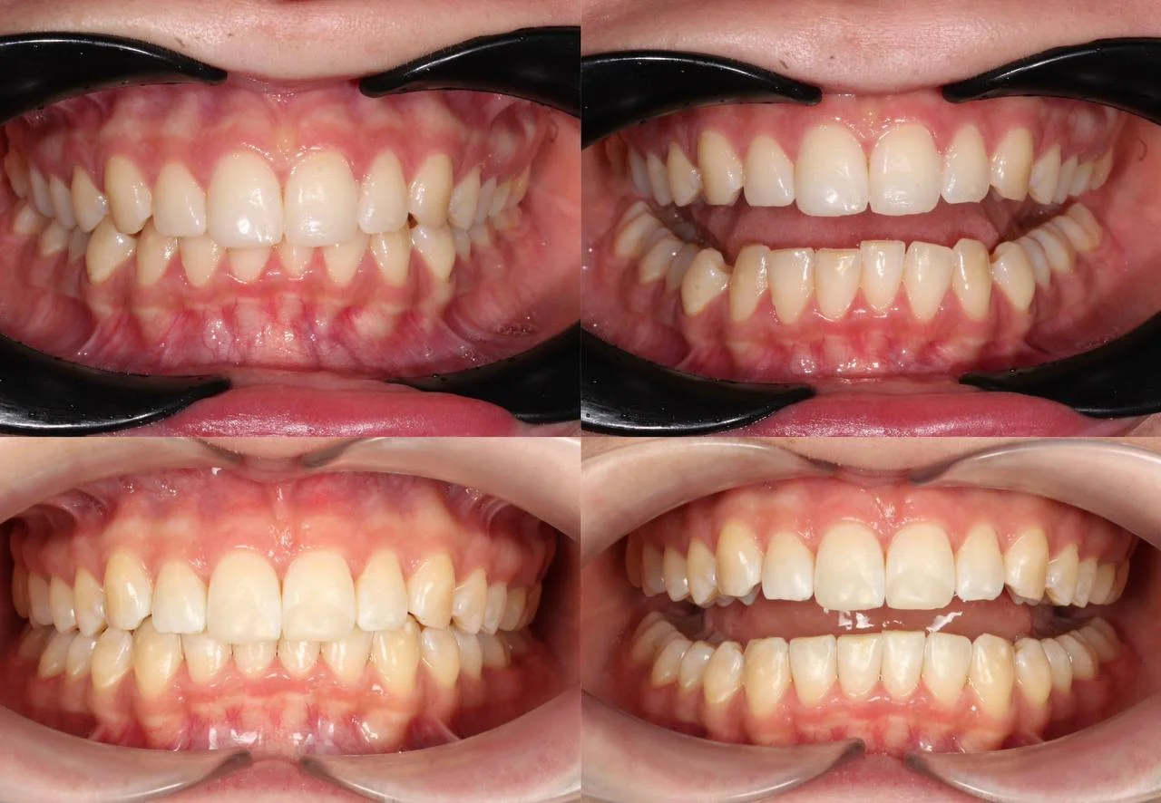
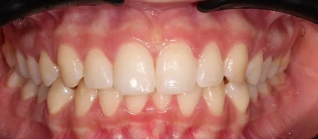
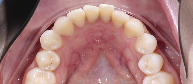
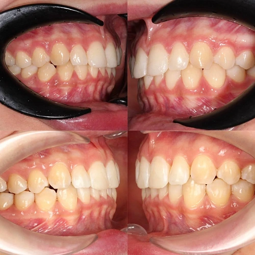
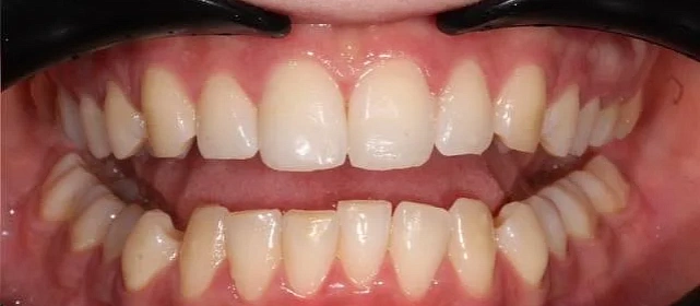
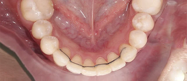
Результат
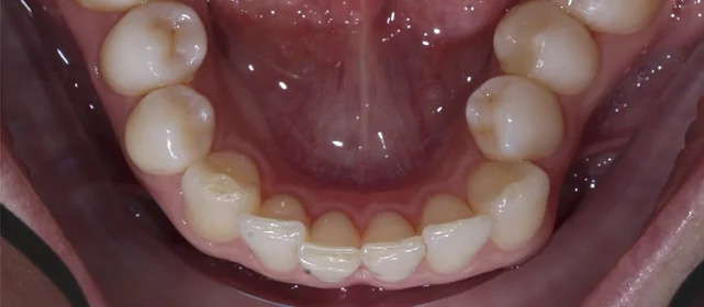
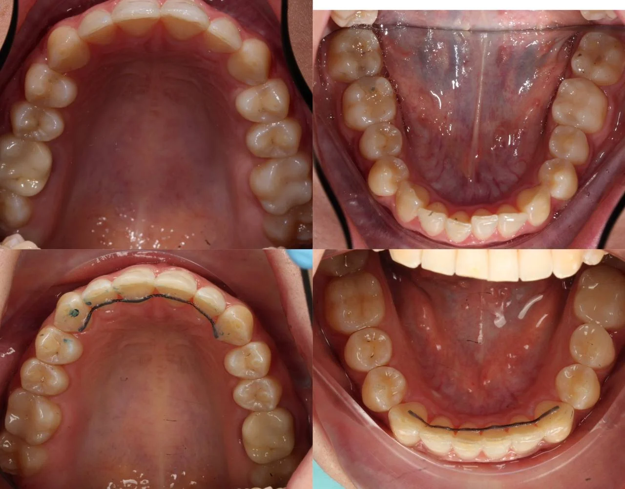
Зубы выровнены, скученность устранена, линия смыкания нормализована. Установлены несъёмные ретейнеры на обе челюсти, сняты слепки для ретенционных кап.

Дата публикации: 09.04.26

Фотографии опубликованы с согласия пациента

Проблема: Пациентка живёт за рубежом и обратилась с жалобами на неровные зубы. При осмотре обнаружили сужение обеих челюстей, скученность на верхней и нижней, а также деформацию кривой смыкания — жевательные зубы стояли на разной высоте, из-за чего нагрузка при еде распределялась неравномерно. Дополнительная сложность — пациентка не могла приезжать на визиты часто.
Решение: Поставили элайнеры Click на обе челюсти. Начали с 32 кап, но случай потребовал три дозаказа: 30, 10 и 10 кап — итого 82 капы за 30 месяцев. Количество дозаказов объясняется и сложностью случая (скученность плюс деформация кривой Шпее), и тем, что контрольные визиты были реже обычного из-за проживания за границей. Тем не менее результат достигнут: зубы ровные, смыкание в норме. На ретенцию пациентка приехала отдельно — зафиксировали ретейнеры на обе челюсти, сняли слепки для ретенционных кап.
Куканова Алена Витальевна
Стоматолог - ортодонт
Стаж более 5 лет
★★★★★ 4.9
Хочу консультацию
Отзыв пациента
Я живу не в России, поэтому прилетать часто не получалось. Врач это учла и выстроила лечение так, чтобы между визитами проходило больше времени. Дозаказов было три — каждый раз ждала новые капы и начинала заново. Это растягивает процесс, но я понимала, что мой случай непростой. Зато на ретенцию прилетела и увидела финальный результат — зубы ровные, кайф.
Комментарий врача
Сложный случай: скученность на обеих челюстях плюс деформация кривой Шпее — жевательные зубы на разной высоте. Дополнительный вызов — пациентка живёт за рубежом, визиты реже, контроль сложнее. Три дозаказа — много, но каждый был обоснован: основной набор расширил дуги и убрал основную скученность, дозаказы последовательно довели смыкание до нормы. 82 капы за 30 месяцев — результат получен.
Куканова Алена Витальевна
Стоматолог - ортодонт
Оставьте заявку на запись на бесплатную консультацию ортодонта
В консультацию входит 3D-диагностика, визуализация вашей новой улыбки, индивидуальный план лечения, расчёт стоимости «под ключ».
Нажимая на кнопку «Бесплатная консультация», вы соглашаетесь с политикой конфиденциальности.
Оставьте заявку на запись на бесплатную консультацию ортодонта