Скученность, глубокий прикус и старые коронки — лечение на элайнерах Click Aligners

Скученность, глубокий прикус и старые коронки — лечение на элайнерах Click Aligners

У меня похожий случай
Итоги по кейсу
Пол
Женский
Возраст
29 лет
Жалоба
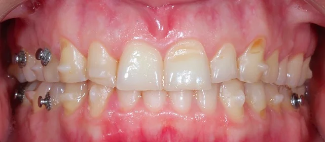
Неровные зубы, неправильный прикус.
Диагностика
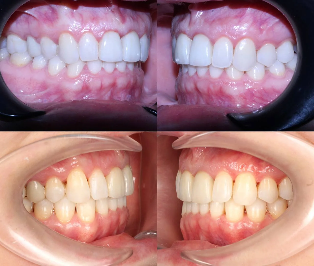
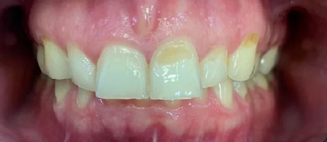
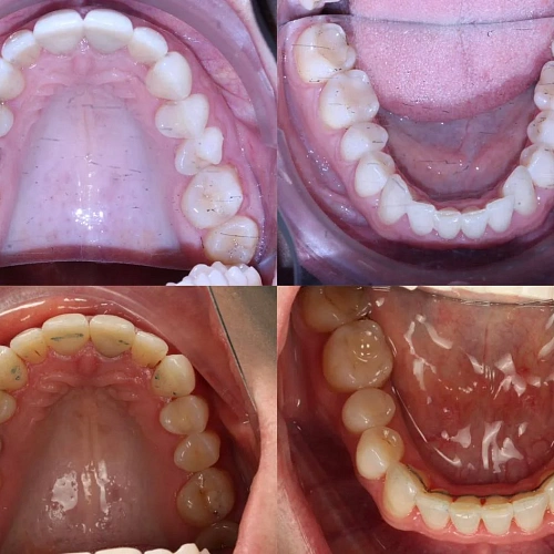
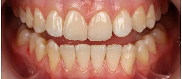
Верхняя челюсть выступала вперёд относительно нижней с обеих сторон (II класс по Энглю). Обе челюсти сужены, зубы стояли скученно. Нарушена кривая смыкания — жевательные зубы были на разной высоте. На двух передних зубах верхней челюсти ранее установлены металлокерамические коронки.
План лечения
Прозрачные элайнеры Click на обе челюсти. Расширить зубные дуги, убрать скученность, исправить прикус и выровнять линию смыкания. Лечение с учётом имеющихся коронок. Основной набор — 31 капа. Срок — около 1,5 лет.
Ход лечения
Лечение заняло 20 месяцев (июнь 2024 — февраль 2026). Понадобились два дополнительных набора: 26 и 7 кап — итого 64 капы. Несмотря на дозаказы, лечение уложилось в нормальный срок.
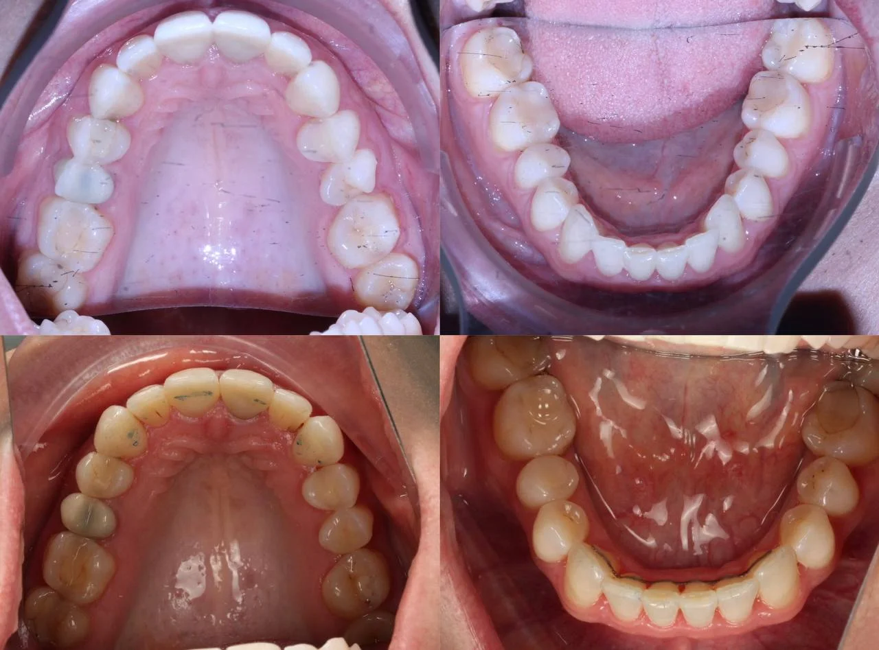
Результат
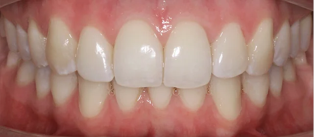
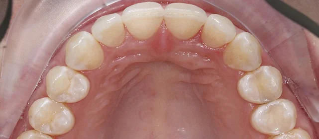
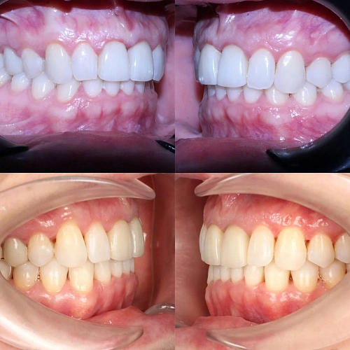
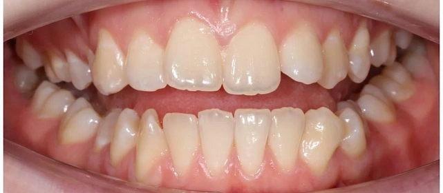
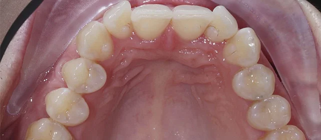
Зубы выровнены, скученность устранена, прикус исправлен, линия смыкания нормализована. Ретейнер установлен на нижнюю челюсть. На верхней ретейнер не ставили — на передних зубах коронки, вместо этого изготовлены ретенционные капы на обе челюсти. Пациентка направлена к ортопеду для замены коронок.

Дата публикации: 09.04.26

Фотографии опубликованы с согласия пациента

Проблема: Пациентку беспокоили неровные зубы и неправильный прикус. При осмотре нашли сразу несколько проблем: обе челюсти сужены, зубы стоят скученно, верхняя челюсть выступает вперёд (II класс по Энглю), кривая смыкания деформирована — жевательные зубы на разной высоте. На двух передних зубах верхней челюсти стояли старые металлокерамические коронки, которые нужно было учитывать при планировании.
Решение: Поставили элайнеры Click на обе челюсти. Основной набор — 31 капа, плюс два дозаказа: 26 и 7 кап, итого 64. При этом лечение уложилось в 20 месяцев — быстро для такого объёма работы. Расширили дуги, убрали скученность, исправили прикус, выровняли линию смыкания. Ретейнер поставили только на нижнюю челюсть. На верхней от ретейнера отказались сознательно — на передних зубах коронки, и проволока там не ляжет корректно. Вместо этого изготовили ретенционные капы на обе челюсти. Ортопедию — замену старых коронок — пациентка будет проходить у себя в городе.
Данилова Виктория Юрьевна
Ведущий ортодонт
Стаж более 10 лет
★★★★★ 5.0
Хочу консультацию
Отзыв пациента
У меня на передних зубах стояли старые коронки, и я думала, что это усложнит лечение. Врач сказала, что элайнеры справятся, просто нужно это учесть в плане. Два дозаказа были, но всё равно уложились быстрее, чем я ожидала — 20 месяцев. Теперь осталось поменять коронки на новые, и всё.
Комментарий врача
Непростой случай: II класс, сужение, скученность, деформация кривой Шпее и металлокерамические коронки на 11 и 21. Коронки ограничивают варианты ретенции — на верхней челюсти вместо ретейнера используем капы. Это осознанное решение, принятое совместно с пациенткой. 64 капы за 20 месяцев — хороший темп для такого объёма. Основной набор сделал базу, дозаказы довели до нормы.
Данилова Виктория Юрьевна
Ведущий ортодонт
Оставьте заявку на запись на бесплатную консультацию ортодонта
В консультацию входит 3D-диагностика, визуализация вашей новой улыбки, индивидуальный план лечения, расчёт стоимости «под ключ».
Нажимая на кнопку «Бесплатная консультация», вы соглашаетесь с политикой конфиденциальности.
Оставьте заявку на запись на бесплатную консультацию ортодонта