Скученность и сужение челюстей вылечили на брекетах всего за 15 месяцев

Скученность и сужение челюстей вылечили на брекетах всего за 15 месяцев

У меня похожий случай
Итоги по кейсу
Пол
Женский
Возраст
27 лет
Жалоба
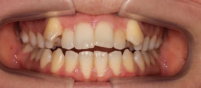
Неровные зубы.
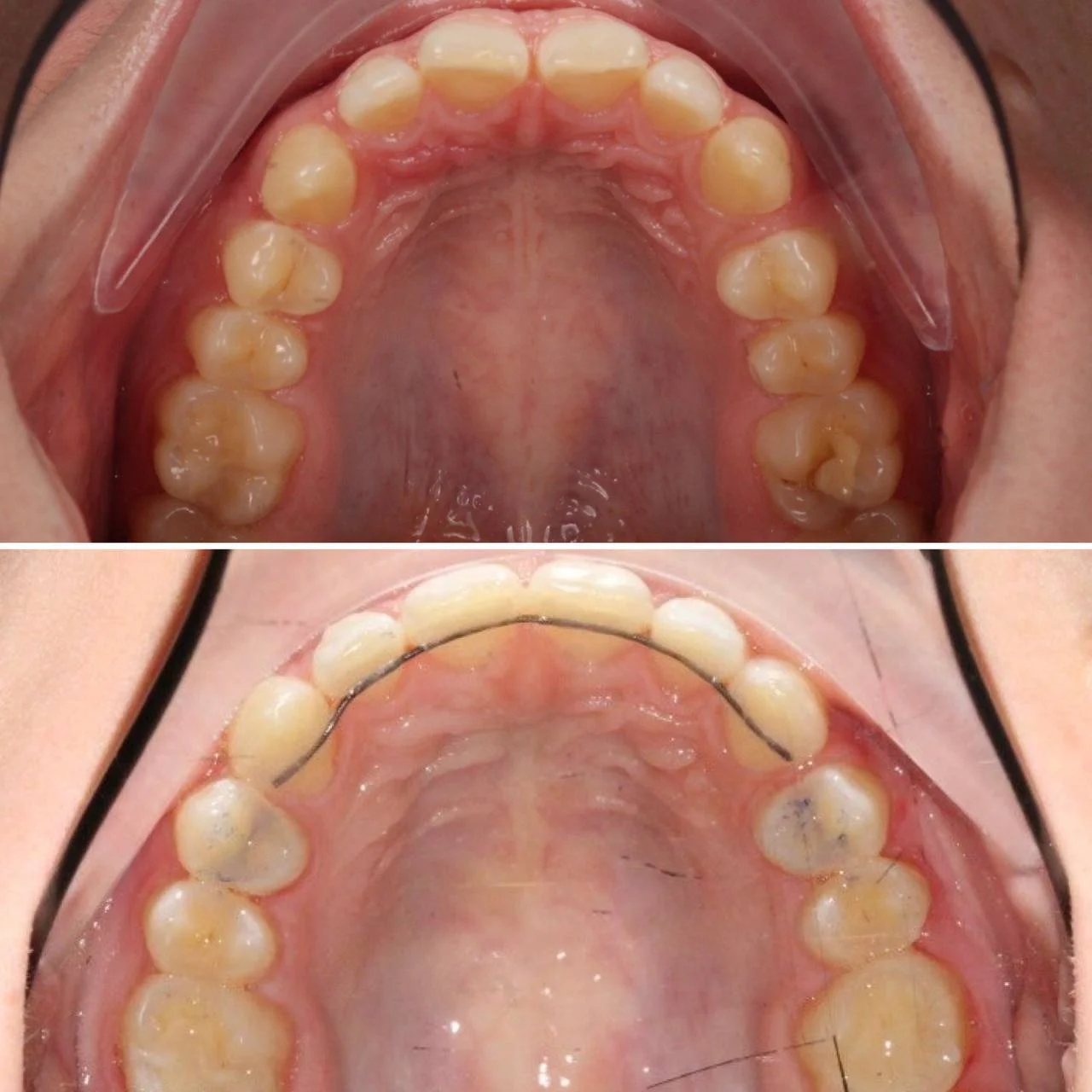
Диагностика
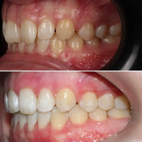
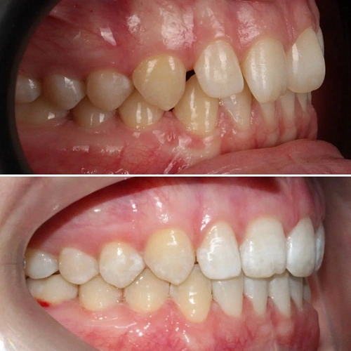
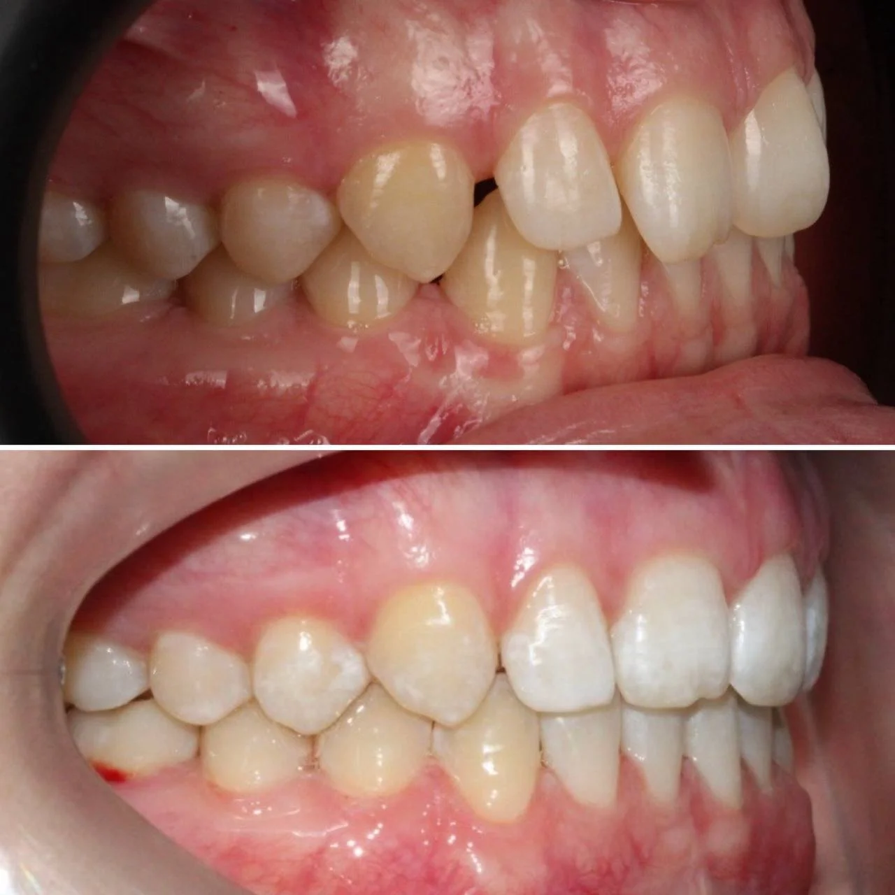
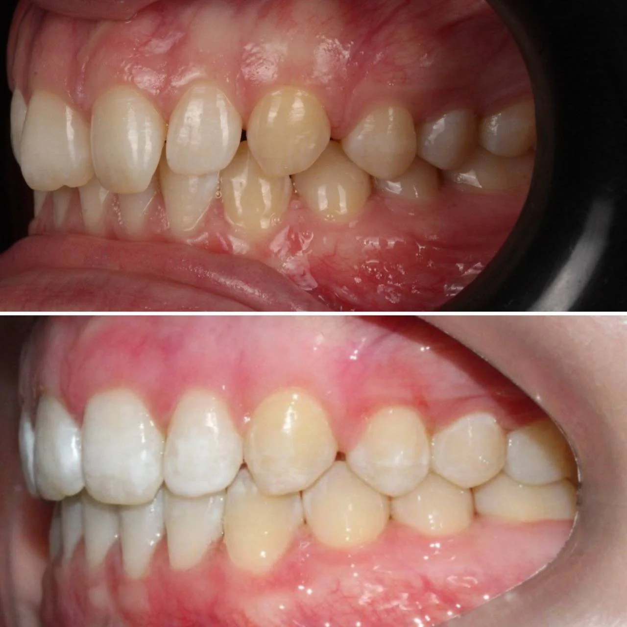
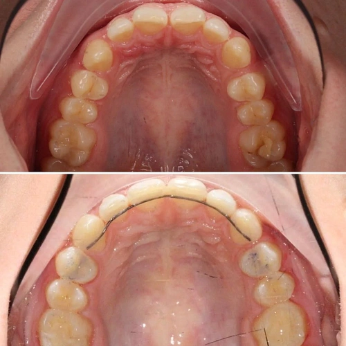
Скученность зубов, обе челюсти сужены — зубам не хватало места в ряду.
План лечения
Брекет-система на обе челюсти. Расширить зубные дуги и убрать скученность. Срок — около 1,5 лет.
Ход лечения
Лечение заняло 15 месяцев (июнь 2024 — сентябрь 2025). Визиты к ортодонту раз в 4–6 недель для замены дуг и контроля прогресса.
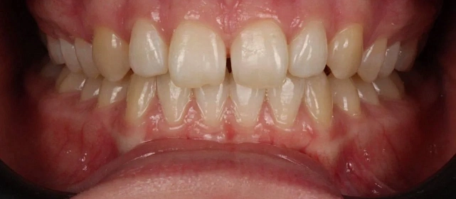
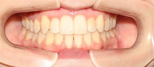
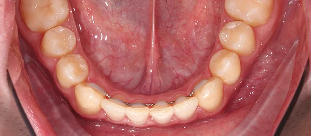
Результат
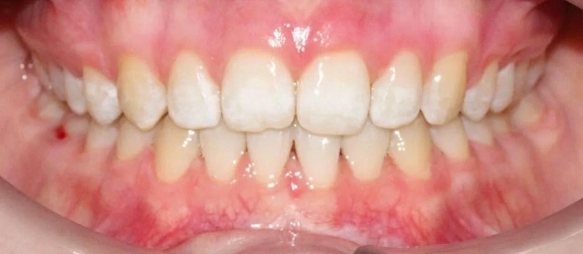
Зубы выровнены, скученность устранена. Установлены несъёмные ретейнеры на обе челюсти, сняты сканы для ретенционных кап. Ортопедия не требуется, рекомендовано лечение у терапевта.

Дата публикации: 03.04.26

Фотографии опубликованы с согласия пациента

Проблема: Пациентка обратилась с одной жалобой — неровные зубы. При осмотре обнаружили, что обе челюсти сужены, зубам банально не хватает места, отсюда скученность. Зубы здоровые, ортопедия не нужна — чисто ортодонтический случай.
Решение: Установили брекеты на обе челюсти. Расширили дуги, убрали скученность — всё за 15 месяцев. Визиты раз в 4–6 недель для замены дуг. После снятия зафиксировали ретейнеры на обе челюсти, сняли сканы для кап. Ортопед подтвердил, что протезирование не требуется. Терапевт рекомендовал лечение — пациентка записана.
Данилова Виктория Юрьевна
Ведущий ортодонт
Стаж более 10 лет
★★★★★ 5.0
Хочу консультацию
Отзыв пациента
Пятнадцать месяцев!! Я морально готовилась к двум годам минимум, начиталась всякого в интернете. Виктория Юрьевна на первой консультации сказала, что случай не самый сложный и должны уложиться побыстрее. Так и вышло. Из неприятного — первая неделя после установки и пара дней после каждой замены дуги. В остальном нормально, привыкла быстро. Когда сняли и я увидела зубы — не поверила, что это мои. Теперь вот к терапевту надо сходить, подлечить пару зубов, и вообще всё.
Комментарий врача
Скученность на обеих челюстях при сужении дуг — классический случай. Зубы здоровые, корни в хорошем состоянии, мотивация у пациентки высокая. Всё это позволило уложиться в 15 месяцев без осложнений. Ортопед подтвердил, что протезирование не нужно. Рекомендовала пройти терапевтическое лечение для полного завершени
Данилова Виктория Юрьевна
Ведущий ортодонт
Оставьте заявку на запись на бесплатную консультацию ортодонта
В консультацию входит 3D-диагностика, визуализация вашей новой улыбки, индивидуальный план лечения, расчёт стоимости «под ключ».
Нажимая на кнопку «Бесплатная консультация», вы соглашаетесь с политикой конфиденциальности.
Оставьте заявку на запись на бесплатную консультацию ортодонта