Лечение прикуса на элайнерах Invisalign — от неправильного прикуса к ровной улыбке

Лечение прикуса на элайнерах Invisalign — от неправильного прикуса к ровной улыбке

У меня похожий случай
Итоги по кейсу
Пол
Мужской
Возраст
23 года
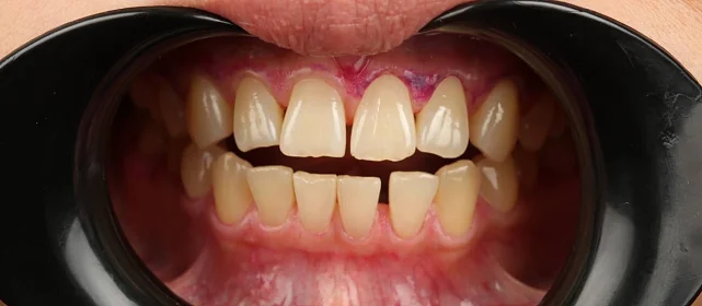
Жалоба
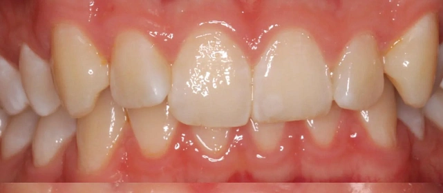
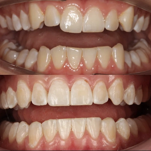
Неправильное положение зубов, неправильное смыкание.
Диагностика
Нарушение соотношения челюстей и неправильное положение зубов — зубные ряды смыкались некорректно, зубы стояли со смещением.
План лечения
Прозрачные элайнеры Invisalign на обе челюсти. Выровнять зубы и нормализовать смыкание. Срок — около 2 лет.
Ход лечения
Лечение заняло 4 года (февраль 2022 — март 2026). Капы менялись каждые 1–2 недели, визиты к ортодонту для контроля и выдачи новых наборов.
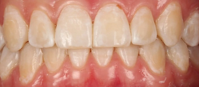
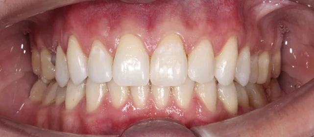
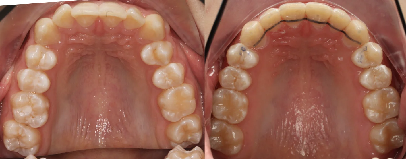
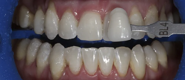
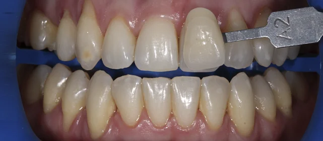
Результат
Зубы выровнены, смыкание нормализовано. Установлены несъёмные ретейнеры на обе челюсти. Пациент направлен к ортопеду.

Дата публикации: 02.04.26

Фотографии опубликованы с согласия пациента

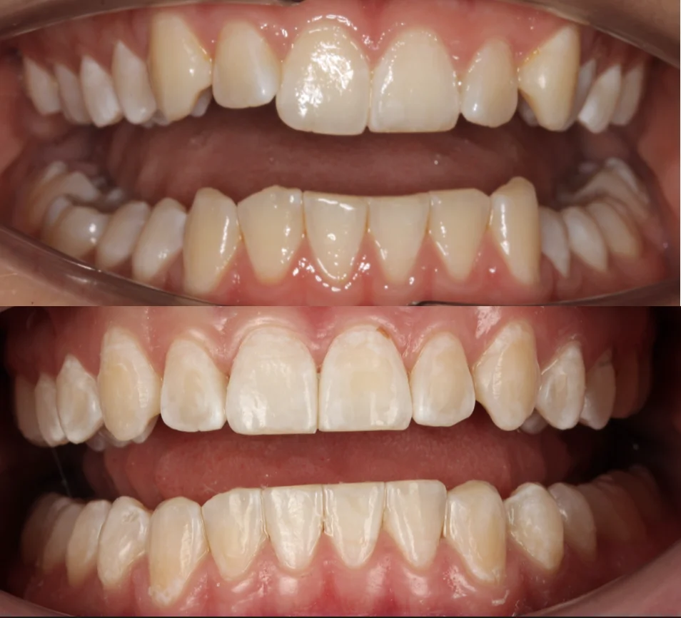
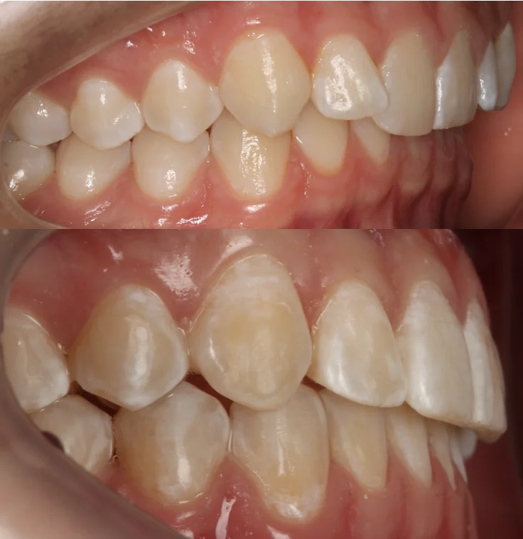
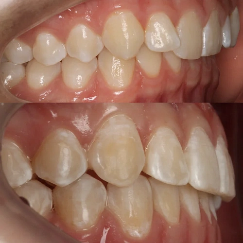
Проблема: В клинику обратился мужчина с жалобами на неправильное положение зубов и смыкание — ряды сходились некорректно, зубы стояли со смещением. При этом было важно, чтобы лечение оставалось незаметным для окружающих, поэтому вариант с брекетами не рассматривался.
Решение: Поставили элайнеры Invisalign на обе челюсти. Лечение заняло 4 года — случай потребовал нескольких этапов коррекции, каждый из которых последовательно приближал зубы к нужному положению. Капы менялись каждые 1–2 недели, контрольные визиты — для отслеживания прогресса и выдачи новых наборов. Зубы встали на место, смыкание пришло в норму. Зафиксировали ретейнеры на обе челюсти, пациент направлен к ортопеду для завершающего этапа.
Куканова Алена Витальевна
Стоматолог - ортодонт
Стаж более 5 лет
★★★★★ 4.9
Хочу консультацию
Отзыв пациента
Четыре года на элайнерах. Долго — да, но у меня был непростой случай, и Алёна Витальевна сразу об этом предупредила. Для меня принципиально было обойтись без брекетов — специфика работы. Invisalign в этом плане себя оправдал, за всё время вопросов ни у кого не возникало. По итогу: зубы ровные, прикус правильный. Записан к ортопеду, закрываю оставшиеся моменты. Клинику рекомендую — работают чётко, без лишней суеты.
Комментарий врача
Случай потребовал нескольких последовательных этапов коррекции. Invisalign позволяет дозаказывать капы в рамках лечения, и здесь это понадобилось — каждый следующий этап доводил положение зубов точнее. Результат достигнут, прикус стабилен, ретейнеры на месте. Пациента направила к ортопеду.
Куканова Алена Витальевна
Стоматолог - ортодонт
Оставьте заявку на запись на бесплатную консультацию ортодонта
В консультацию входит 3D-диагностика, визуализация вашей новой улыбки, индивидуальный план лечения, расчёт стоимости «под ключ».
Нажимая на кнопку «Бесплатная консультация», вы соглашаетесь с политикой конфиденциальности.
Оставьте заявку на запись на бесплатную консультацию ортодонта