Дзгоева Стелла Станиславовна
Дзгоева Стелла Станиславовна

Дзгоева Стелла Станиславовна

★★★★★
4.9
Ортодонт
С самого детства меня всегда привлекала медицина и возможность помогать людям. Мне казалось удивительным, что можно не просто лечить болезни, но и менять жизнь человека к лучшему — делать её полноценной и счастливой. Выбор именно профессии ортодонта стал для меня осознанным шагом. Меня вдохновляют мои учителя и коллеги — профессионалы, которые постоянно развиваются, не боятся внедрять новые технологии и всегда ставят в центр внимания потребности пациента.
50
Вылечено пациентов
3
Стаж врача

На приеме за 45 минут вы получите:

Диагностику и оценку вашей текущей ситуации
Консультацию с ведущим врачом
3D-сканирование полости рта
Демонстрацию вашей улыбки после лечения
Фотопротокол для определения влияния прикуса на ваше тело
Подбор вида лечения в зависимости от ваших пожеланий и клинической ситуации

Биография врача

Профессиональный рост
В 2018 году поступила на стоматолога. Душа лежала всегда в сферу ортодонтии. Когда ближе познакомилась с данной специальностью-поняла что это то, чем хочу заниматься В 2023 году окончила Северо-Осетинский Государственный Университет, медицинский факультет , специальность - стоматология. В 2025 году окончила Центральную Государственную Медицинскую Академию, специальность- ортодонтия. Прошла базовый курс Андрея и Сергея Тихоновых - Ортодонт Эксперт «Школа Ортодонтии». Прошла курс Парлагашвили М.М - «С Элайнерами на Ты».
Достижения
Чаще всего ко мне обращаются по рекомендации за решением вопроса эстетических проблем, проблем с суставами и головными болями, я часто работаю в команде с мануальным терапевтом, также совместно с челюстно-лицевым хирургом готовим пациентов к ортогнатическим операциям. Я добиваюсь стабильных результатов, работая как с функцией, так и с эстетикой. Мне нравится мотивировать пациентов уделять внимание своему здоровью.

Какие проблемы прикуса я лечу?

Скученность зубов
Скученность зубов
Выпирающий ряд зубов
Выпирающий ряд зубов
«Съехавший» ряд зубов
«Съехавший» ряд зубов
«Хищные» клыки
«Хищные» клыки
Глубокий прикус
Глубокий прикус
Нет смыкания
Нет смыкания

Выполненные работы

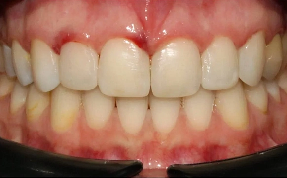
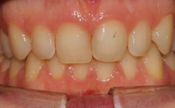
Ортодонтическое лечение зубов на брекет-системе Damon

Проблема
Комплексные зубочелюстные аномалии, включающие глубокий прикус, сужение зубных рядов, аномалии их соотношения по II классу Энгля с обеих сторон и неправильное положение отдельных зубов
Врач
Дзгоева Стелла Станиславовна

Подход к лечению

Доказательная база

Для эффективного лечения зубов необходима качественная диагностика. Врач применяет только научно-обоснованные решения.

Комплексность

При необходимости подключает логопеда, миотерапевта и других смежных специалистов — чтобы результат был не только красивым, 
но и функционально стабильным.

Простые объяснения

Сложные рекомендации переводит на понятный язык, показывает наглядные кейсы «до/после».

Сложные случаи

Врач справляется даже с самыми сложными случаями. 
Вы можете вылечить прикус с помощью прозрачных кап или классических брекетов, а также установить виниры и коронки, пройти профессиональную гигиену для взрослых
и детей, вылечить кариес, а также удалить зубы мудрости.
Блок картинки

Оказываемые услуги

Элайнеры Click Aligners
Элайнеры Click Aligners нового поколения от российского производителя, разработанные ведущими ортодонтами. Протоколы лечения на элайнерах Click помогают точно спланировать перемещение зубов.
Узнать подробнее
Установка элайнеров
Элайнеры – это прозрачные капы из тонкого медицинского пластика мягко и точно перемещают зубы в нужное положение.
Узнать подробнее
Установка брекетов
Брекеты позволяют избавиться от скученности, устранить межзубные промежутки и получить ровные зубы. Длительность и стоимость терапии зависят от клинической картины.
Узнать подробнее

Публикации врача

Соленый привкус во рту: что делать?
Постоянное ощущение соли на языке без употребления соленой пищи — сигнал организма о возможных нарушениях. Этот симптом часто возникает внезапно и сохраняется часами или днями, влияя на восприятие вкуса еды и качество жизни.
Узнать подробнее
Опухла десна: что делать?
Опухла десна, болит, мешает есть и говорить? Не переживайте — это довольно частая ситуация, и в большинстве случаев ее можно решить без осложнений.
Узнать подробнее
Оставьте заявку на запись на бесплатную консультацию ортодонта
В консультацию входит 3D-диагностика, визуализация вашей новой улыбки, индивидуальный план лечения, расчёт стоимости «под ключ».
Нажимая на кнопку «Бесплатная консультация», вы соглашаетесь с политикой конфиденциальности.
Оставьте заявку на запись на бесплатную консультацию ортодонта