Неправильный прикус и положение зубов — лечение на элайнерах 3D Smile

Неправильный прикус и положение зубов — лечение на элайнерах 3D Smile

У меня похожий случай
Итоги по кейсу
Пол
Женский
Возраст
29 лет
Жалоба
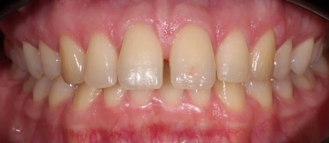
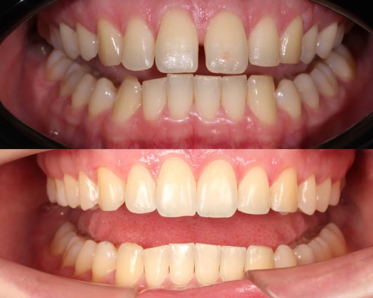
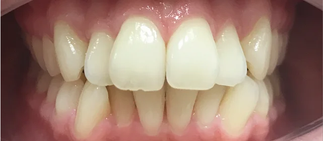
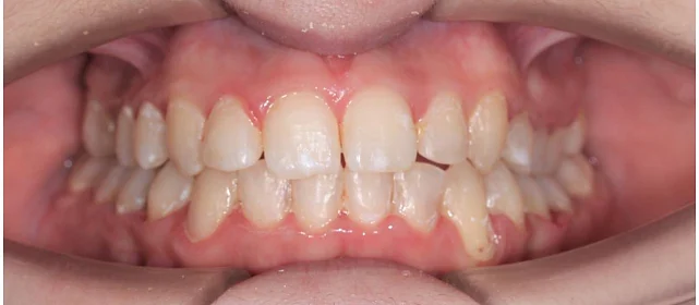
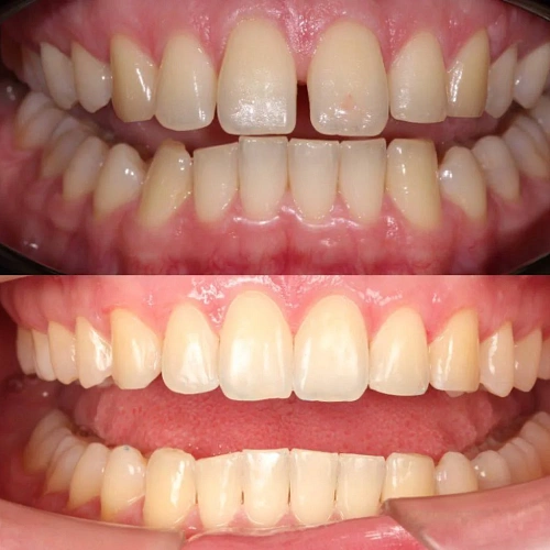
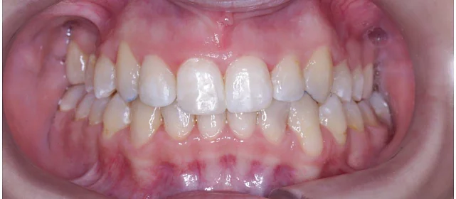
Неправильное положение зубов, неправильное смыкание.
Диагностика
Нарушение соотношения челюстей и неправильное положение зубов — зубные ряды смыкались некорректно, зубы стояли со смещением.
План лечения
Прозрачные элайнеры 3D Smile на обе челюсти. Выровнять зубы и нормализовать смыкание. Основной набор — 34 капы. Срок — около 2 лет.
Ход лечения
Лечение заняло 32 месяца (февраль 2023 — октябрь 2025). Понадобился один дополнительный набор из 28 кап — итого 62 капы. Параллельно проводилась профессиональная гигиена.
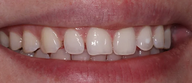
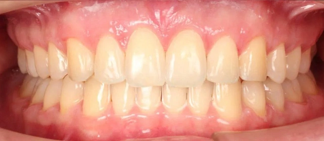
Результат
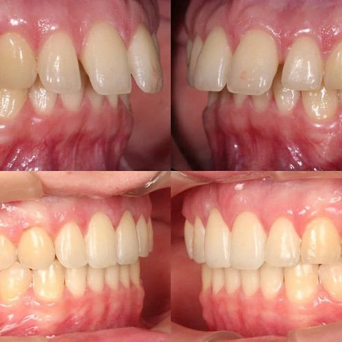
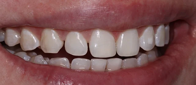
Зубы выровнены, смыкание нормализовано. Установлены несъёмные ретейнеры на обе челюсти, сняты сканы для ретенционных кап. Консультация ортопеда запланирована на более поздний срок.

Дата публикации: 30.03.26

Фотографии опубликованы с согласия пациента

Проблема: Пациентку беспокоило неправильное смыкание зубов и их положение — ряды не сходились как нужно, зубы стояли со смещением. Это влияло и на внешний вид, и на то, как распределялась нагрузка при жевании.
Решение: Поставили прозрачные элайнеры 3D Smile на обе челюсти. Начали с набора из 34 кап, но в процессе стало понятно, что для полной коррекции нужна доработка — заказали дополнительный набор из 28 кап. Это нормальная ситуация: организм реагирует на перемещение зубов индивидуально, и заранее предсказать точное количество кап до последней штуки невозможно. В итоге 62 капы за 32 месяца — зубы встали на место, смыкание пришло в норму. Параллельно следили за гигиеной, чтобы дёсны оставались здоровыми на протяжении всего лечения.
Данилова Виктория Юрьевна
Ведущий ортодонт
Стаж более 10 лет
★★★★★ 5.0
Хочу консультацию
Отзыв пациента
Лечение заняло дольше, чем я рассчитывала — но врач сразу предупредила, что может понадобиться дозаказ. Так и вышло. Зато результат такой, как хотела. Капы носить несложно, к ним привыкаешь за пару дней. Единственное, что напрягало — дисциплина: снять поесть, почистить, надеть обратно. Но это быстро входит в привычку.
Комментарий врача
Основной набор из 34 кап выполнил бо́льшую часть работы, но для финальной коррекции смыкания понадобился дополнительный комплект. Это не редкость — зубы двигаются с разной скоростью, и последние доли миллиметра часто требуют доработки. В итоге получили стабильный результат, который зафиксировали ретейнерами.
Данилова Виктория Юрьевна
Ведущий ортодонт
Оставьте заявку на запись на бесплатную консультацию ортодонта
В консультацию входит 3D-диагностика, визуализация вашей новой улыбки, индивидуальный план лечения, расчёт стоимости «под ключ».
Нажимая на кнопку «Бесплатная консультация», вы соглашаетесь с политикой конфиденциальности.
Оставьте заявку на запись на бесплатную консультацию ортодонта