Работы наших врачей

Больше 12000 пациентов за 8 лет работы. На этой странице — часть новых улыбок, вылепленных нашими руками.




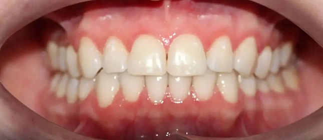
Лечение сужения ВЧ, скученности и дистального прикуса
Лечащий врач
Ведущий стоматолог-ортодонт Стаж более 11 лет
Подробнее
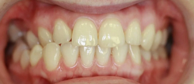
Исправление дистального прикуса элайнерами
Лечащий врач
Ведущий стоматолог-ортодонт Стаж более 11 лет
Подробнее
Установка имплантатов Straumann BLT
Лечащий врач
Хирург-имплантолог Стаж более 8 лет
Подробнее
Скученность, глубокий прикус и старые коронки — лечение на элайнерах Click
Верхняя челюсть выступала вперёд относительно нижней с обеих сторон (II класс по Энглю). Обе челюсти сужены, зубы стояли скученно. Нарушена кривая смыкания — жевательные зубы были на разной высоте.
Подробнее
Неровные зубы и нарушение прикуса — лечение на элайнерах 3D Smile
Нарушение соотношения челюстей и неправильное положение зубов — зубные ряды смыкались некорректно, зубы стояли со смещением.
Подробнее
Ортодонтическое лечение на системе StarSmile
Лечащий врач
Ведущий стоматолог-ортодонт Стаж более 11 лет
Подробнее
Оставьте заявку на запись на бесплатную консультацию ортодонта
В консультацию входит 3D-диагностика, визуализация вашей новой улыбки, индивидуальный план лечения, расчёт стоимости «под ключ».
Нажимая на кнопку «Бесплатная консультация», вы соглашаетесь с политикой конфиденциальности.
Оставьте заявку на запись на бесплатную консультацию ортодонта