Мамедов Эльшан Мехманович
Мамедов Эльшан Мехманович

Мамедов Эльшан Мехманович

★★★★★
5.0
Хирург-имплантолог
Наверное, у каждого в детстве болели зубы. И все помнят это непреодолимое чувство страха перед походом к стоматологу. Мое первое посещение стоматолога было таким: когда я учился в первом классе, на уроке очень сильно заболел зуб, когда я сообщил об этом преподавателю, она сразу же позвонила моим родителям, чтобы те приехали и отвели меня к врачу-стоматологу. Пока я ждал приезда мамы, мои одноклассники сочувственно хлопали меня по плечу, показывая этим, что процедура предстоит не очень приятная. И вот, буквально, через час, я уже сидел возле кабинета стоматолога, ожидая своей участи. Страшно было жутко, моментами даже казалось, что уже и зуб перестал болеть. Вот и пришла моя очередь, я прошел в кабинет. И каково было мое удивление, когда там меня ожидала приятная, добродушная женщина, которая спокойно объяснила всю предстоящую процедуру, разговаривая со мной как со взрослым. Потом очень аккуратно полечила зуб. Было совсем не больно и уже не страшно.

Именно тогда, еще ребенком, я решил, что тоже хочу в будущем стать таким врачом, который может растворить страх пациента добротой и вылечить его при помощи своих знаний и навыков.
313
Вылечено пациентов
8
Стаж врача

На приеме за 45 минут вы получите:

Диагностику и оценку вашей текущей ситуации
Консультацию с ведущим врачом
3D-сканирование полости рта
Демонстрацию вашей улыбки после лечения
Фотопротокол для определения влияния прикуса на ваше тело
Подбор вида лечения в зависимости от ваших пожеланий и клинической ситуации

Биография врача

Профессиональный рост
Московский Государственный Медико-стоматологический университет им. А.И. Евдокимова, стоматологический факультет Ординатура в Центральной Государственной Медицинской Академии Управления делами Президента РФ
Достижения
Профессиональный подход ко всем видам процедур, имею огромный опыт в хирургии: удаление “сложных” зубов, установка ортодонтических минивинтов,лечение воспалительных заболеваний, имплантация, пластика мягких и костных тканей. Прошел множество курсов по мягкотканой и костной пластике. Работаю в тесном сотрудничестве с врачами других специальностей.

Какие проблемы прикуса я лечу?

Скученность зубов
Скученность зубов
Выпирающий ряд зубов
Выпирающий ряд зубов
«Съехавший» ряд зубов
«Съехавший» ряд зубов
«Хищные» клыки
«Хищные» клыки
Глубокий прикус
Глубокий прикус
Нет смыкания
Нет смыкания

Выполненные работы

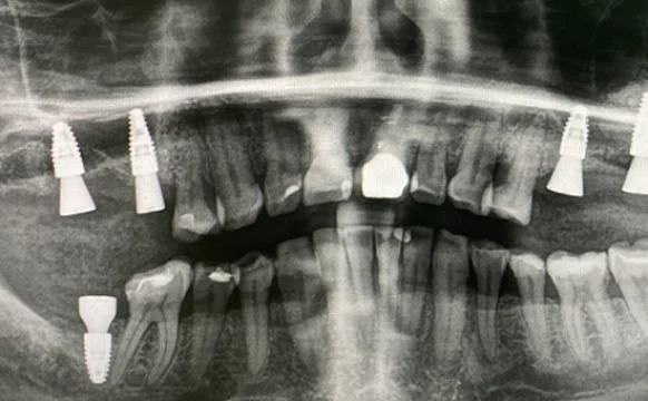
Имплантация Straumann

Проблема
отсутствие зуба
Врач
Мамедов Эльшан Мехманович

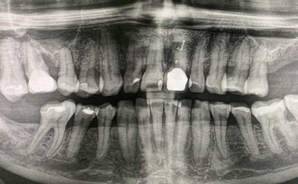
Установка имплантатов Straumann BLT

Проблема
подвижные зубы и отсутствие зубов
Врач
Мамедов Эльшан Мехманович

Отзывы

Каримова Назира
Каримова Назира
Хочу выразить благодарность доктору Эльшан Мехмановичу , была на консультации у 4х хирургов по удалению 8-ых зубов, все в один голос говорили сложные зубы парастезия и предлагали методы без моментального удаления зубов, либо отказывались. Он единственный предложил удаление зубов, предупредил о рисках, но я доверилась и не пожалела. По итогу удалили 2 зуба меньше, чем за час. Реабилитация прошла отлично, отёк держался 2 дня, рекомендации данные врачом соблюдала,а самое важное никакой парастезии чувствительность сохранена. Буду советовать всем )
Ирина
Ирина
Я дико боялась удаления, но Эльшан сказал, что больно не будет и все случилось быстро, не больно и с максимальным профессионализмом. Удивительный врач и удивительная клиника!

Подход к лечению

Доказательная база

Для эффективного лечения зубов необходима качественная диагностика. Врач применяет только научно-обоснованные решения.

Комплексность

При необходимости подключает логопеда, миотерапевта и других смежных специалистов — чтобы результат был не только красивым, 
но и функционально стабильным.

Простые объяснения

Сложные рекомендации переводит на понятный язык, показывает наглядные кейсы «до/после».

Сложные случаи

Врач справляется даже с самыми сложными случаями. 
Вы можете вылечить прикус с помощью прозрачных кап или классических брекетов, а также установить виниры и коронки, пройти профессиональную гигиену для взрослых
и детей, вылечить кариес, а также удалить зубы мудрости.
Блок картинки

Сертификаты

Сертификат №1 Мамедов Эльшан Мехманович
Сертификат №2 Мамедов Эльшан Мехманович
Сертификат №3 Мамедов Эльшан Мехманович
Сертификат №4 Мамедов Эльшан Мехманович
Сертификат №5 Мамедов Эльшан Мехманович
Сертификат №6 Мамедов Эльшан Мехманович
Сертификат №7 Мамедов Эльшан Мехманович
Сертификат №8 Мамедов Эльшан Мехманович
Сертификат №9 Мамедов Эльшан Мехманович
Сертификат №10 Мамедов Эльшан Мехманович

Оказываемые услуги

Удаление зубов мудрости
Зубы мудрости - восьмые моляры, которые, в отличие от остального зубного ряда, прорезаются в большом промежутке времени.
Узнать подробнее
Имплантация зубов за 1 день
Удаление зубной единицы, подготовка области, вживление, протезирование можно выполнить за одно или два посещения стоматологии.
Узнать подробнее
Удаление ретинированного зуба мудрости
Ретенция – это задержка в прорезывании зуба. Ретинированные единицы при полной ретенции не появляются над поверхностью десны, оставаясь в челюсти, а при частичной прорезаются не до конца.
Узнать подробнее
Имплантация 1 зуба
Процесс имплантации и последующей установки коронки называется протезирование. Для этой процедуры вы пройдете консультацию у двух врачей: ортопеда и хирурга-имплантолога.
Узнать подробнее
Наращивание зуба
Наращивание зуба - сложная методика. Предполагает восстановление поврежденных зубных единиц. Способ соприкасается с терапией, ортопедией и реставрацией.
Узнать подробнее
Удаление зубов
Быстрое удаление зуба без боли и осложнений – стандарт хирургической стоматологии. Операция называется также экстракцией или экзодонтией.
Узнать подробнее
Имплантация зубов нижней челюсти
Зубной ряд снизу испытывает повышенную нагрузку, которую обеспечивает постоянное пережевывание еды. Из-за особенностей строения там скапливается больше отложений, чем в верхних зубах.
Узнать подробнее
Реставрация зубов
В современной стоматологии реставрация зубов сочетает эстетику, профилактику и лечение. Выполненная в клинике художественная реставрация вернет гармонию зубного ряда и функционал поврежденных зубов.
Узнать подробнее
Сложное удаление зуба
При запущенных стоматологических заболеваниях, новообразованиях, запоздалом обращении за медицинской помощью необходимо вмешательство стоматолога-хирурга.
Узнать подробнее
Имплантация зубов верхней челюсти
Имплантация зубов верхней челюсти тесно связана с особенностями строения лица и расположением гайморовых или придаточных пазух носа.
Узнать подробнее
Пластика десны
Гингивопластика – малотравматичная хирургическая операция, призванная скорректировать контуры одной или нескольких десен.
Узнать подробнее
Коронка на имплант
Искусственная коронка по своей форме и функциям аналогична настоящему зубу, что делает ее незаметной для окружающих.
Узнать подробнее
Имплантация передних зубов
Восстановление передних зубных единиц — сложная процедура, позволяющая восстановить природную красоту и здоровье улыбки.
Узнать подробнее
Композитная реставрация зубов
Реставрация зубов композитом позволяет восстановить эстетику улыбки. Поверхность не стирается. Материалы выдерживают высокие нагрузки.
Узнать подробнее
Удаление нерва зуба
Зубной нерв является частью пульпы. Состоит из сосудов и нервных волокон. Она расположена под эмалью. Защищает от вредных бактерий.
Узнать подробнее
Протезирование зубов
Механические повреждения, недостаточная гигиена, возрастные изменения влияют на состояние зубочелюстной системы.
Узнать подробнее
Одномоментная имплантация
Немедленная, или моментальная, имплантация назначается не во всех случаях и возможна только после тщательного томографического и рентгенологического исследования.
Узнать подробнее
Реставрация передних зубов
Процедура реставрации зубов направлена на восстановление их эстетики и функциональных возможностей после травм или стоматологических заболеваний.
Узнать подробнее
Удаление корня зуба
В стоматологии ПРОПРИКУС можно удалять корни потерянных или сильно разрушенных зубных единиц без боли.
Узнать подробнее
Съемные протезы
Съемное протезирование позволяет вернуть эстетику улыбке, жевательную функциональность зубов.
Узнать подробнее
Удаление кисты зуба
Киста — это патологическое образование на корне. Представляет собой полость, заполненную жидкостью.
Узнать подробнее
Полный съемный протез
Протезирование всех зубов — альтернатива имплантации. Это быстрый и недорогой вариант восстановить утраченные единицы.
Узнать подробнее
Имплантация All-on-4
All-on-4 – это методика восстановления целостности зубного ряда на четырёх имплантах.
Узнать подробнее
Вкладка на зуб
Зубная вкладка – метод восстановления поврежденной зубной единицы. Методика помогает вернуть функции и эстетичность.
Узнать подробнее
Имплантация All-on-6
Метод имплантации и протезирования зубов ALL-ON-6 («Всё на шести имплантах») разработан и запатентован американской компанией Nobel Biocare.
Узнать подробнее
Керамическая вкладка
Керамическая вкладка создается в стоматологической лаборатории из CAM/CAD материалов
Узнать подробнее
Костная пластика при имплантации
Костную пластику чаще всего назначают при имплантации. Для вживления титанового штифта нужен достаточный объем кости.
Узнать подробнее
Композитные виниры
Пластинки из композита считаются доступной по цене альтернативой керамическим.
Узнать подробнее
Имплант Dentium
Dentium выпускают импланты премиум-класса, недорогие варианты и системы для фиксации съемных протезов.
Узнать подробнее
Лечение гранулемы зуба
Гранулемой зуба называется образование из грануляционной ткани, покрытое фиброзной оболочкой. Она локализуется в зоне верхушки зубной единиц.
Узнать подробнее
Имплант Nobel
Nobel Biocare - ведущий производитель зубных имплантатов в мире. Используя в своей продукции биосовместимый титан.
Узнать подробнее
Имплант Astra Tech
Имплантация — надежная и эффективная технология восстановления утраченных зубов. Эта процедура создает условия для правильного распределения жевательной нагрузки и предотвращает атрофию костной ткани
Узнать подробнее
Импланты Straumann
Импланты Straumann (Швейцария) выпускаются швейцарским производителем с безупречной репутацией.
Узнать подробнее
Герметизация фиссур
Герметизация фиссур нужна для формирование защитного барьера на естественном рельефе молочных, постоянных зубов.
Узнать подробнее
Диагностика зубов и полости рта
Качественная стоматологическая диагностика нужна для раннего выявления зубных заболеваний.
Узнать подробнее

Публикации врача

Стекловолоконный штифт
Восстановление сильно разрушенных зубов — одна из самых частых проблем в современной стоматологии. Сохранить корень, укрепить остаточные ткани и при этом добиться идеального эстетического результата можно при помощи инновационных методов, таких как установление стекловидного штифта.
Узнать подробнее
Отбеливание зубов ZOOM
Суть технологии отбеливания зубов ЗУМ заключается в действии геля, содержащего концентрированную перекись водорода. Эффект усиливается ультрафиолетовым излучением специальной лампы Philips. UV-лучи взаимодействуют с пероксидом геля, в результате химической реакции начинается выделение кислорода. Кислород проникает в поры зубной эмали и окисляет накопившиеся в них пигменты. Методика позволяет сделать эмаль светлее на 10-12 тонов за один час.
Узнать подробнее
Шинирование зубов
Шинирование или шунтирование – процесс установки постоянной или временной шины, которая фиксирует подвижные зубные единицы. Метод защищает от расшатывания, смещения и выпадения зубов. Шины необходимо поставить при заболеваниях пародонта. В стоматологии доступны разные методы шинирования. Например, временное или постоянное. Способ подбирается в зависимости от патологии.
Узнать подробнее
Виды виниров
Стоматология ПРОПРИКУС работает со всеми видами вин.иров и проводит лечение только после тщательной диагностики и при отсутствии противопоказаний.
Узнать подробнее
Гиперсаливация
Гиперсаливация — патологическое состояние постоянного или временного характера, для которого свойственна усиленная выработка слюны.
Узнать подробнее
Перикоронит
Перикоронит - это патология, при которой затрагиваются десна рядом с зубом мудрости. Заболевание развивается на нижней челюсти. При болезни воспаляются десневые ткани. Воспаление вызывает прорезывание восьмерки. Патология часто встречается у взрослых людей. Симптомы крайне неприятны. Без эффективного лечения не обойтись. В статье мы расскажем, почему важно лечить болезнь.
Узнать подробнее
Периодонтит
Периодонтит — воспаление, которое встречается достаточно часто. При патологии наблюдается поражение периодонта. Соединительная ткань улучшает фиксацию зуба в лунке.
Узнать подробнее
Оставьте заявку на запись на бесплатную консультацию ортодонта
В консультацию входит 3D-диагностика, визуализация вашей новой улыбки, индивидуальный план лечения, расчёт стоимости «под ключ».
Нажимая на кнопку «Бесплатная консультация», вы соглашаетесь с политикой конфиденциальности.
Оставьте заявку на запись на бесплатную консультацию ортодонта