Лечение неправильного положения зубов на брекет-системе за 14 месяцев

Лечение неправильного положения зубов на брекет-системе за 14 месяцев

У меня похожий случай
Итоги по кейсу
Пол
Женский
Возраст
26 лет
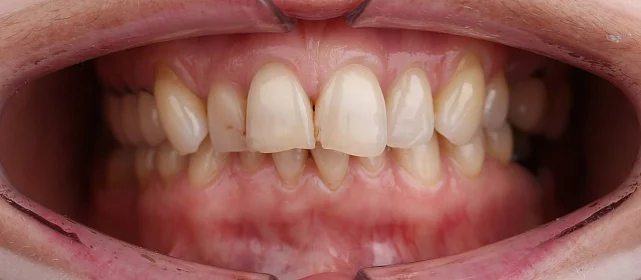
Жалоба
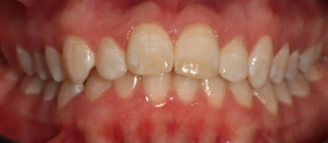
Неправильное положение зубов, неправильное смыкание.
Диагностика
Нарушение соотношения челюстей и неправильное положение зубов — зубные ряды смыкались некорректно, зубы стояли со смещением.
План лечения
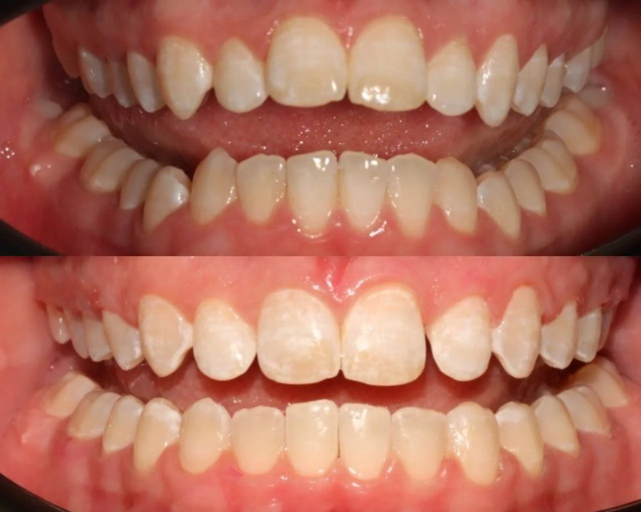
Брекет-система на обе челюсти. Выровнять зубы, исправить смыкание, подготовить к реставрациям и ортопедической реабилитации. Срок — чуть больше года.
Ход лечения
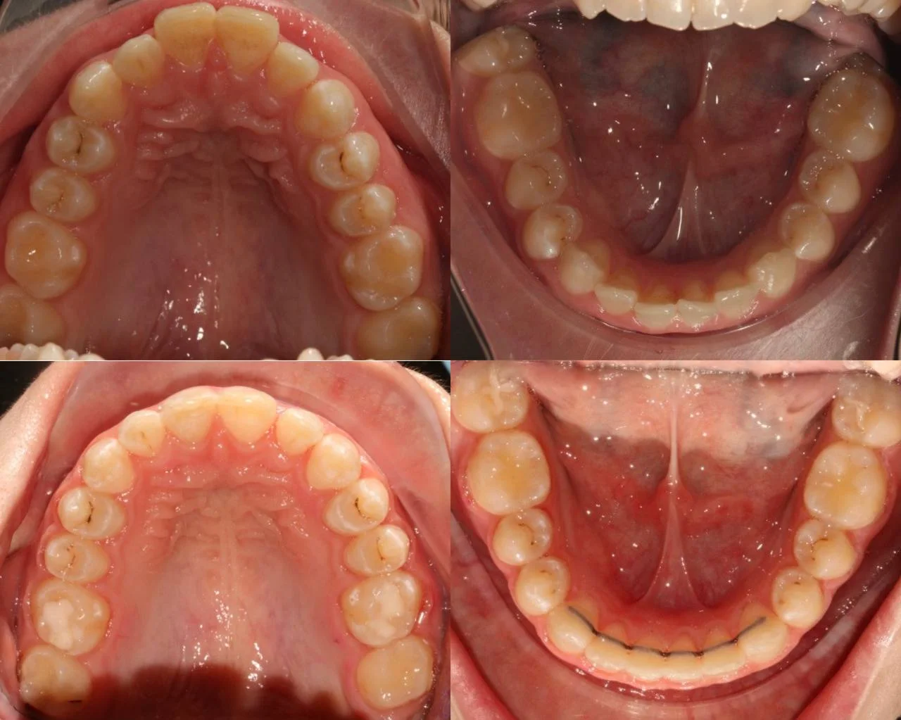
Лечение заняло 14 месяцев (февраль 2025 — апрель 2026). Параллельно проводилась профессиональная гигиена. После завершения ортодонтии — реставрации, затем установка ретейнера на верхнюю челюсть и изготовление окончательных ретенционных кап.
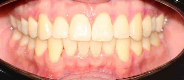
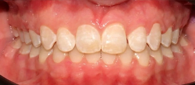
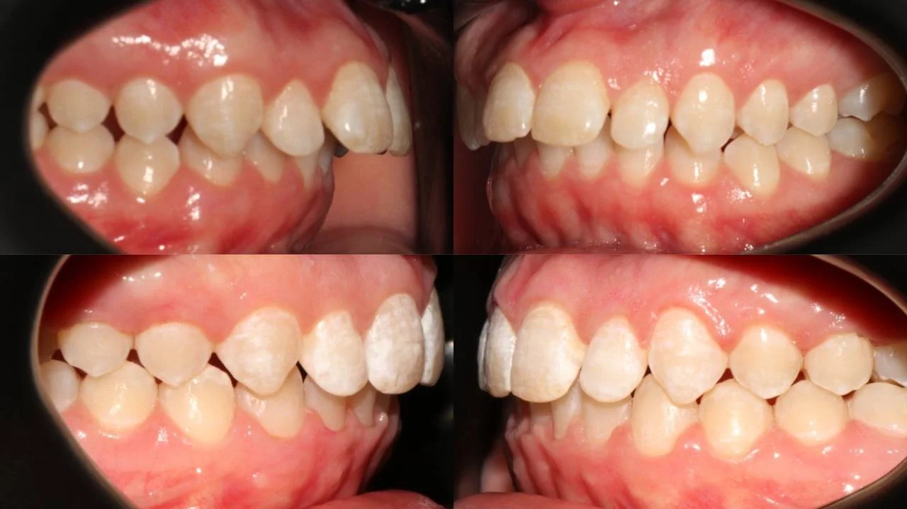
Результат
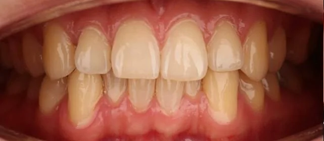
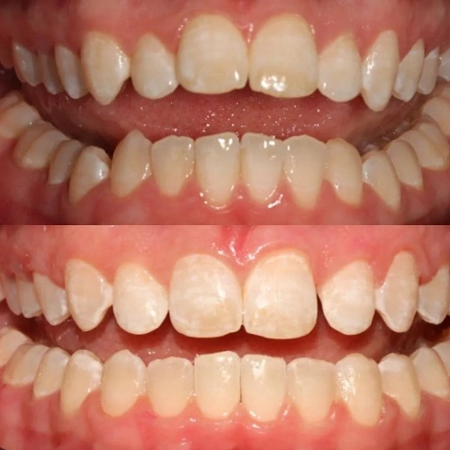
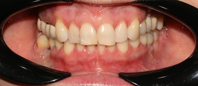
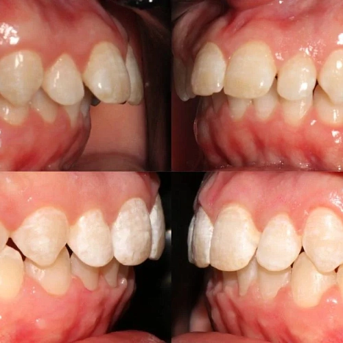
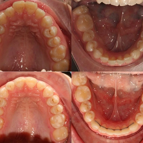
Зубы выровнены, смыкание нормализовано. Ретейнер установлен на нижнюю челюсть. Пациентка проходит реставрации, после которых будет зафиксирован ретейнер на верхнюю челюсть, переделаны ретенционные капы и начнётся ортопедическая реабилитация.

Дата публикации: 01.04.26

Фотографии опубликованы с согласия пациента

Проблема: Пациентку не устраивало положение зубов — они стояли неровно, а челюсти смыкались неправильно. Помимо самих зубов, часть из них нуждалась в реставрации, но восстанавливать их до выравнивания не имело смысла. Сначала ровный ряд, потом всё остальное.
Решение: Установили брекеты на обе челюсти. За 14 месяцев зубы встали в правильное положение, смыкание пришло в норму. После снятия брекетов зафиксировали ретейнер на нижнюю челюсть. Далее по плану будет отреставрирован верхний ряд, затем и туда будет установлен ретейнер. В самом конце будет проведена ортопедическая реабилитация. Этот тот случай, когда ортодонтия только первый этап комплексного лечения сложной проблемы.
Куканова Алена Витальевна
Стоматолог - ортодонт
Стаж более 5 лет
★★★★★ 4.9
Хочу консультацию
Отзыв пациента
Долго сомневалась, но решилась. 14 месяцев пролетели быстрее, чем я думала. Первую неделю было непривычно, потом перестала замечать. Сейчас впереди ещё реставрации, но зубы уже ровные — и это видно. Жалею только о том, что не начала раньше.
Комментарий врача
Случай потребовал поэтапного подхода: сначала ортодонтия, потом реставрации, потом ортопедия. Менять порядок нельзя — если реставрировать зубы до выравнивания, нагрузка ляжет неравномерно, и работа долго не простоит. Брекеты справились за 14 месяцев — быстро для комплексного случая. Сейчас ряд готов к следующему этапу.
Куканова Алена Витальевна
Стоматолог - ортодонт
Оставьте заявку на запись на бесплатную консультацию ортодонта
В консультацию входит 3D-диагностика, визуализация вашей новой улыбки, индивидуальный план лечения, расчёт стоимости «под ключ».
Нажимая на кнопку «Бесплатная консультация», вы соглашаетесь с политикой конфиденциальности.
Оставьте заявку на запись на бесплатную консультацию ортодонта