Ортодонтическое лечение зубов на брекет-системе Damon

Ортодонтическое лечение зубов на брекет-системе Damon

У меня похожий случай
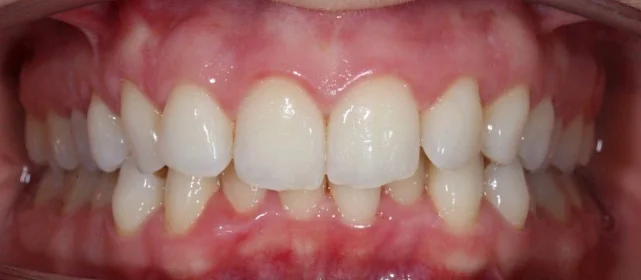
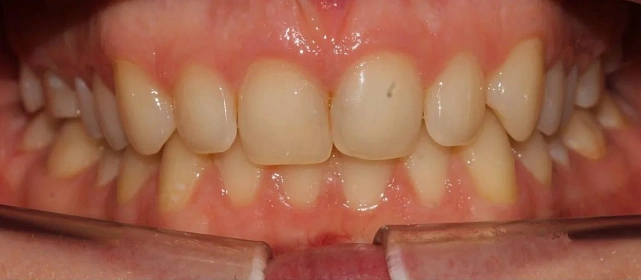
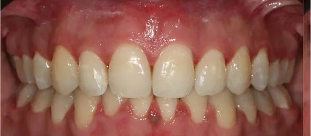
Итоги по кейсу
Пол
Женский
Возраст
34 года
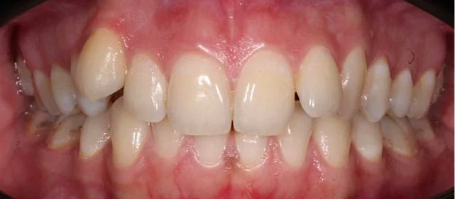
Жалоба
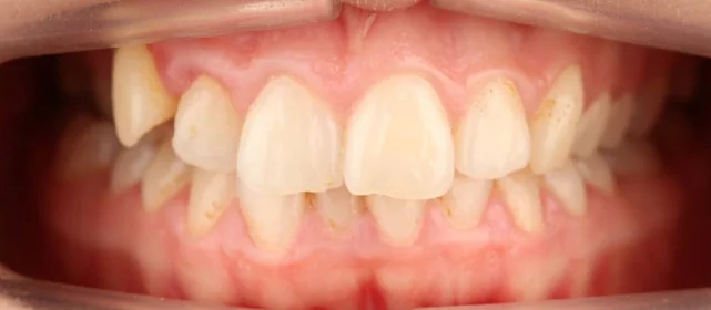
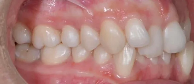
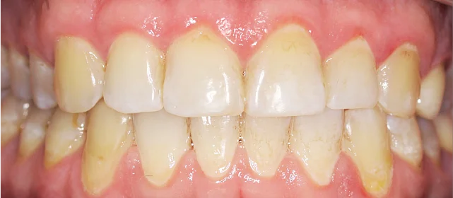
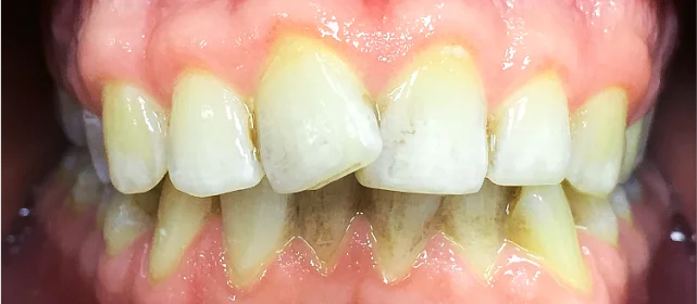
Обратилась с жалобой на скученность верхней и нижней челюсти средней степени тяжести — рецидив после подросткового лечения (ретейнер не носила).
Диагностика
КЛКТ, интраоральное сканирование, пародонтологическое обследование. Подвижности зубов нет, глубина зондирования — в пределах нормы. 
Убыль кости — начальная, не превышает 1/4 длины корня.
Дополнительно
рецессия десны в области нижних резцов, старые композитные пломбы на боковых зубах.
План лечения
пародонтологическая подготовка (2 визита), профессиональная гигиена, установка Damon Clear на обе челюсти.
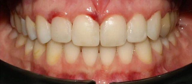
Ход лечения
общий срок — 18 месяцев, 11 визитов для замены дуг и контроля. На 4-м месяце — видимое улучшение выравнивания. На 12-м — начат этап коррекции прикуса 
с межчелюстными эластиками. На 18-м — снятие, установка ретейнеров.
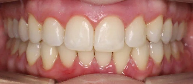
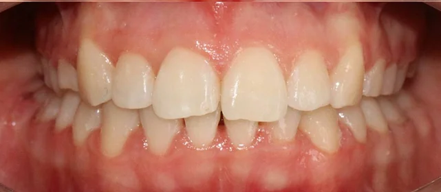
Результат
полное выравнивание зубных рядов без удаления зубов. Рецессия десны не прогрессировала (контроль по КТ через 12 месяцев). Пациентка носит несъёмные ретейнеры 
и ночные капы.

Дата публикации: 01.04.26

Фотографии опубликованы с согласия пациента

Проблема: В клинику обратился мужчина со сломанным протезом на имплантах. Протезирование верхней челюсти проводилось несколько лет назад по системе All-on-4. Акриловый протез сломался в области жевательных зубов, что влияло на эстетику и доставляло неудобства при приёме пищи. Кроме этого повышенная нагрузка на протез привела к его деформации, при осмотре обнаружены микротрещины.
Диагноз: полное отсутствие зубов, перелом протеза на имплантах.
Решение: Все четыре импланта, на которые крепился протез, остались целыми и сохранили стабильность. Поэтому пациенту нужно было заменить только сам протез на верхней челюсти. В качестве материала выбран цирконий, так как он обладает повышенной устойчивостью к нагрузкам. В конструкцию добавили титановую балку для более прочной основы. Готовый циркониевый протез сочетает в себе эстетику и надёжность.
Дзгоева Стелла Станиславовна
Стоматолог - ортодонт
Стаж более 3 лет
★★★★★ 4.9
Хочу консультацию
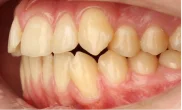
Отзыв пациента
Кривые зубы всегда были моим комплексом. Постоянно прятал улыбку, боялся смеяться в компании. Так еще и зубы со временем начали крошиться, потому что нагрузка неравномерная. С брекетами обрел уверенность.
Комментарий врача
Выбрали брекет-систему с дополнительными мини-винтами для коррекции сложного случая скученности зубов. Достигли отличного результата за 2,5 года.
Дзгоева Стелла Станиславовна
Стоматолог - ортодонт
Оставьте заявку на запись на бесплатную консультацию ортодонта
В консультацию входит 3D-диагностика, визуализация вашей новой улыбки, индивидуальный план лечения, расчёт стоимости «под ключ».
Нажимая на кнопку «Бесплатная консультация», вы соглашаетесь с политикой конфиденциальности.
Оставьте заявку на запись на бесплатную консультацию ортодонта