Золотарева Алина Анатольевна
Золотарева Алина Анатольевна

Золотарева Алина Анатольевна

★★★★★
4.9
Ортодонт
Я выбрала профессию ортодонта, потому что с самого начала обучения в Сеченовском университете, которое я завершила в 2020 году, меня восхищала идея — как немного терпения, знаний и точности могут полностью изменить чью-то улыбку и, вместе с ней, отношение человека к себе. В ординатуре МГМСУ им. Евдокимова, которую я закончила в 2022 году, я впервые увидела, как пациенты расцветают буквально на глазах. Я помню момент, когда одна девушка взглянула в зеркало после снятия брекетов — и её тихая, растерянная улыбка превратилась в настоящую, сияющую. Тогда я поняла: вот ради чего я здесь. С тех пор для меня ортодонтия — это не просто медицина. Это про доверие, про истории, про маленькие и большие перемены, которые делают людей смелее, счастливее и свободнее. Именно поэтому я выбрала эту профессию — чтобы помогать людям находить себя через улыбку.
27
Вылечено пациентов
3
Стаж врача

На приеме за 45 минут вы получите:

Диагностику и оценку вашей текущей ситуации
Консультацию с ведущим врачом
3D-сканирование полости рта
Демонстрацию вашей улыбки после лечения
Фотопротокол для определения влияния прикуса на ваше тело
Подбор вида лечения в зависимости от ваших пожеланий и клинической ситуации

Биография врача

Профессиональный рост
Дипломы в стоматологии:
  1. Первый Московский государственный университет им. Сеченова в 2020г. окончен университет
  2. МГМСУ им. Евдокимова - в 2022г. окончена ординатура
  3. Диагностика Внчс и клинические случаи PRO. Пройден обучающий семинар 2025г.
  4. МРТ ВНЧС в стоматологии в 2025г.
  5. Уверенная коммуникация с пациентом. Пройден обучающий семинар в 2025г.
  6. PROдокументы. Защити себя сам! Юридический взгляд на медицинскую документацию. Пройден обучающий семинар в 2025г.
  7. Школа ортодонтии онлайн 1 уровень. Пройден обучающий курс в 2024г.
  8. Школа ортодонтии 2 уровень. Пройден обучающий курс в 2024г.
  9. Конференция начинающих ортодонтов. Пройден обучающий семинар в 2023г.
  10. Раннее ортодонтическое лечение на брекетах и элайнерах. Пройден обучающий семинар в 2024 году 
  11. Секрет успеха при работе на элайнерах. Пройден обучающий семинар в 2021г.
  12. Применение ортодонтических кап в клинической практике ортодонта. Пройден обучающий семинар в 2020г.
Достижения
Самый показательный результат для меня — когда пациент получает не только красивую улыбку, но и функциональный, стабильный прикус: окклюзия сбалансирована, мышцы расслаблены, ВНЧС в балансе, а пациент говорит, что впервые за годы ему стало комфортно.

Моя фирменная особенность — персонализированное лечение. Я учитываю особенности образа жизни, анатомии и ожидания пациента, подбирая самый комфортный путь к результату.

Я помогаю пациентам преодолеть страх и сомнения, создавая понятность и спокойствие: подробно объясняю каждый этап, показываю прогноз результата, отвечаю на любые вопросы и поддерживаю на всём пути лечения.

Какие проблемы прикуса я лечу?

Скученность зубов
Скученность зубов
Выпирающий ряд зубов
Выпирающий ряд зубов
«Съехавший» ряд зубов
«Съехавший» ряд зубов
«Хищные» клыки
«Хищные» клыки
Глубокий прикус
Глубокий прикус
Нет смыкания
Нет смыкания

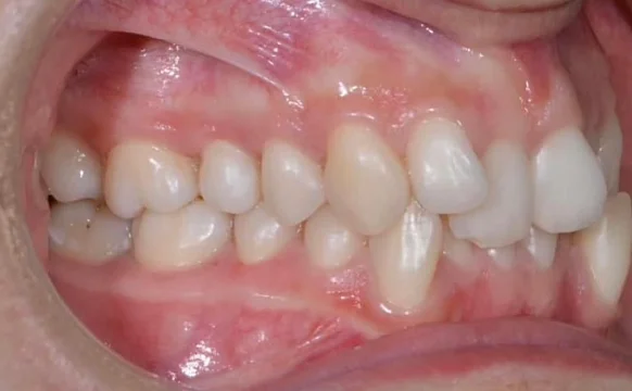
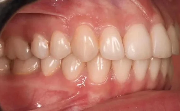
Выполненные работы

Ортодонтическое лечение на брекетах

Проблема
Скученность зубов
Врач
Золотарева Алина Анатольевна

Подход к лечению

Доказательная база

Для эффективного лечения зубов необходима качественная диагностика. Врач применяет только научно-обоснованные решения.

Комплексность

При необходимости подключает логопеда, миотерапевта и других смежных специалистов — чтобы результат был не только красивым, 
но и функционально стабильным.

Простые объяснения

Сложные рекомендации переводит на понятный язык, показывает наглядные кейсы «до/после».

Сложные случаи

Врач справляется даже с самыми сложными случаями. 
Вы можете вылечить прикус с помощью прозрачных кап или классических брекетов, а также установить виниры и коронки, пройти профессиональную гигиену для взрослых
и детей, вылечить кариес, а также удалить зубы мудрости.
Блок картинки

Сертификаты

Золотарева Алина Анатольевна
Золотарева Алина Анатольевна
Золотарева Алина Анатольевна
Золотарева Алина Анатольевна
Золотарева Алина Анатольевна
Золотарева Алина Анатольевна
Золотарева Алина Анатольевна
Золотарева Алина Анатольевна
Золотарева Алина Анатольевна
Золотарева Алина Анатольевна
Золотарева Алина Анатольевна
Золотарева Алина Анатольевна
Золотарева Алина Анатольевна

Оказываемые услуги

Элайнеры Click Aligners
Элайнеры Click Aligners нового поколения от российского производителя, разработанные ведущими ортодонтами. Протоколы лечения на элайнерах Click помогают точно спланировать перемещение зубов.
Узнать подробнее
Установка элайнеров
Элайнеры – это прозрачные капы из тонкого медицинского пластика мягко и точно перемещают зубы в нужное положение.
Узнать подробнее
Металлические брекеты
Металлические брекеты, несмотря на то, что выделяются, полностью компенсируют данный ньюанс высокой эффективностью и точностью перемещения зубов.
Узнать подробнее

Публикации врача

Брекеты при пародонтозе
Сегодня мы живем в эпоху, когда эстетика улыбки стала социальным капиталом. Instagram‑улыбки, голливудские стандарты, цифровая визуализация результата – все это формирует у пациентов четкое ожидание: «Я хочу идеально ровные зубы, несмотря ни на что». Но что, если «ни на что» подразумевает ослабленный пародонт, рецессию десны и риск дальнейшей потери костной ткани?
Узнать подробнее
Несъемные ретейнеры для зубов
Несъёмный ретейнер — обязательный этап ортодонтического лечения после снятия брекетов или элайнеров. В статье разбираем, как работает конструкция и почему зубы стремятся вернуться на место, какие виды несъёмных ретейнеров применяются в клинической практике, как проходит установка и сколько длится ретенционный период.
Узнать подробнее
Сменный прикус
Сменный прикус зубов – это физиологический процесс, который происходит в детском возрасте и характеризуется постепенной заменой молочных единиц на постоянные. Длительность периода сменного прикуса зависит от скорости прорезывания и формирования постоянного зубного ряда у ребенка.
Узнать подробнее
Оставьте заявку на запись на бесплатную консультацию ортодонта
В консультацию входит 3D-диагностика, визуализация вашей новой улыбки, индивидуальный план лечения, расчёт стоимости «под ключ».
Нажимая на кнопку «Бесплатная консультация», вы соглашаетесь с политикой конфиденциальности.
Оставьте заявку на запись на бесплатную консультацию ортодонта