Работы наших врачей

Больше 12000 пациентов за 8 лет работы. На этой странице — часть новых улыбок, вылепленных нашими руками.




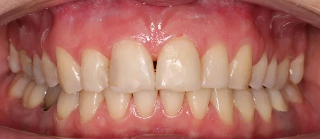
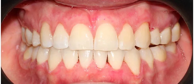
Ортодонтическое лечение на брекет-системе №4 Ортодонтическое лечение на брекет-системе №4
Ортодонтическое лечение на брекет-системе №4
Лечащий врач
Ведущий стоматолог-ортодонт Стаж более 11 лет
Подробнее
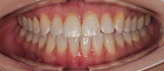
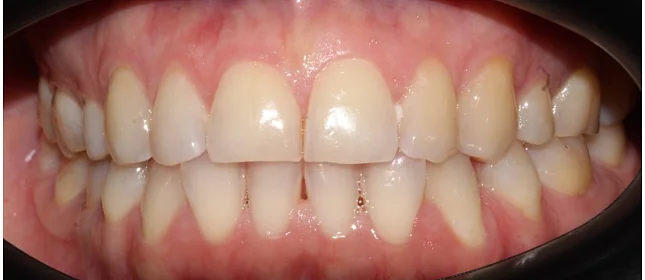
Ортодонтическое лечение на элайнерах №4 Ортодонтическое лечение на элайнерах №4
Ортодонтическое лечение на элайнерах №4
Лечащий врач
Ортодонт Стаж более 8 лет
Подробнее
Сужение верхней челюсти, скученное положение зубов. Срок лечения 16 месяцев
Лечащий врач
Ортодонт Стаж более 5 лет
Подробнее
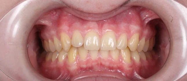
Соотношение зубных рядов до 3 классу Энгля, скученное положение зубов. Срок лечения 2 года
Лечащий врач
Ортодонт Стаж более 5 лет
Подробнее
Гигиена
Лечащий врач
Стоматолог-гигиенист Стаж более 14 лет
Подробнее
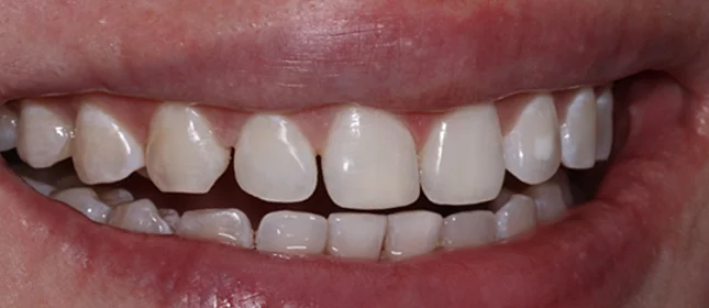
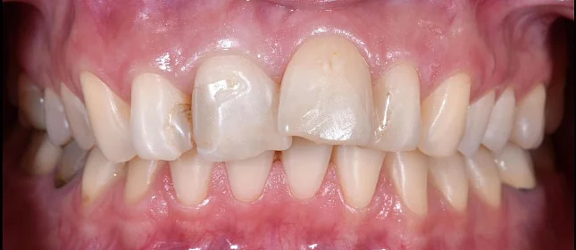
Реставрация
Лечащий врач
Терапевт Стаж более 8 лет
Подробнее
Оставьте заявку на запись на бесплатную консультацию ортодонта
В консультацию входит 3D-диагностика, визуализация вашей новой улыбки, индивидуальный план лечения, расчёт стоимости «под ключ».
Нажимая на кнопку «Бесплатная консультация», вы соглашаетесь с политикой конфиденциальности.
Оставьте заявку на запись на бесплатную консультацию ортодонта