Работы наших врачей

Больше 12000 пациентов за 8 лет работы. На этой странице — часть новых улыбок, вылепленных нашими руками.




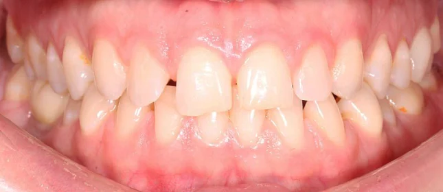
Ортодонтическое лечение с последующей ортопедией
Лечащий врач
Ортодонт Стаж более 10 лет
Подробнее
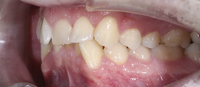
Односторонний второй класс смыкания: лечение
Лечащий врач
Ортодонт Стаж более 10 лет
Подробнее
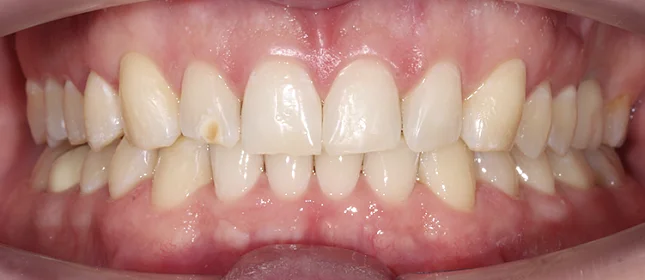
Исправление глубокого прикуса
Лечащий врач
Ортодонт Стаж более 10 лет
Подробнее
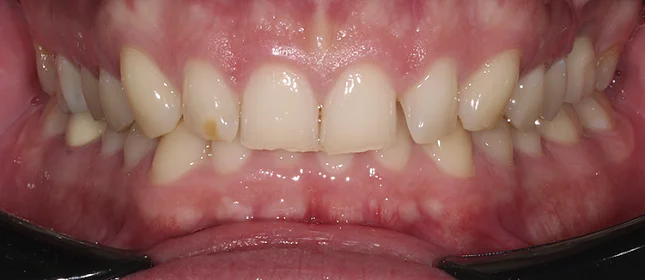
Исправление скученности, второго класса смыкания
Лечащий врач
Ортодонт Стаж более 10 лет
Подробнее
Исправление скученности зубов на верхней и нижней челюсти
Лечащий врач
Ортодонт Стаж более 10 лет
Подробнее
Эстетическая реставрация зубов
Лечащий врач
Терапевт Стаж более 11 лет
Подробнее
Оставьте заявку на запись на бесплатную консультацию ортодонта
В консультацию входит 3D-диагностика, визуализация вашей новой улыбки, индивидуальный план лечения, расчёт стоимости «под ключ».
Нажимая на кнопку «Бесплатная консультация», вы соглашаетесь с политикой конфиденциальности.
Оставьте заявку на запись на бесплатную консультацию ортодонта