Работы наших врачей

Больше 12000 пациентов за 8 лет работы. На этой странице — часть новых улыбок, вылепленных нашими руками.




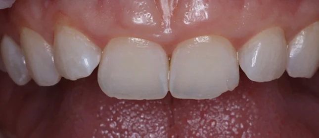
Реставрация переднего зуба
Лечащий врач
Терапевт Стаж более 8 лет
Подробнее
Имплантация Straumann
Лечащий врач
Хирург-имплантолог Стаж более 8 лет
Подробнее
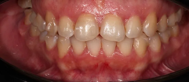
Реставрация зуба
Лечащий врач
Терапевт Стаж более 11 лет
Подробнее
Эстетическая реставрация передних зубов
Лечащий врач
Терапевт Стаж более 11 лет
Подробнее
Лечение от кариеса
Лечащий врач
Терапевт Стаж более 8 лет
Подробнее
Лечение кариеса
Лечащий врач
Терапевт Стаж более 8 лет
Подробнее
Оставьте заявку на запись на бесплатную консультацию ортодонта
В консультацию входит 3D-диагностика, визуализация вашей новой улыбки, индивидуальный план лечения, расчёт стоимости «под ключ».
Нажимая на кнопку «Бесплатная консультация», вы соглашаетесь с политикой конфиденциальности.
Оставьте заявку на запись на бесплатную консультацию ортодонта