Работы наших врачей

Больше 12000 пациентов за 8 лет работы. На этой странице — часть новых улыбок, вылепленных нашими руками.




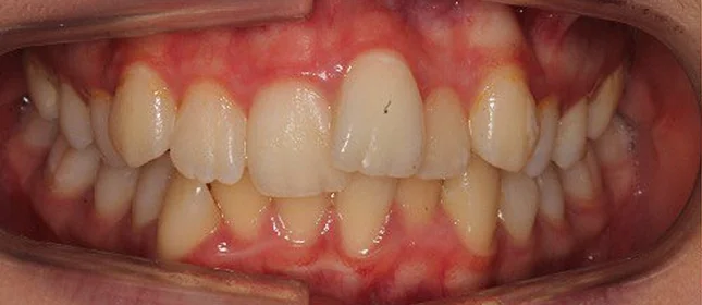
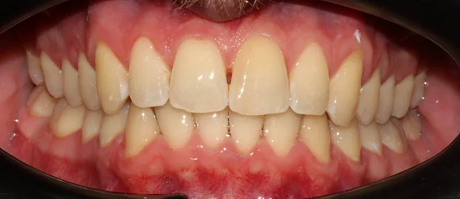
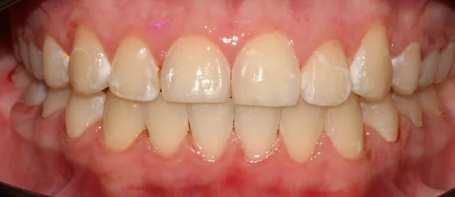
Ортодонтическое лечение на системе Click №2 Ортодонтическое лечение на системе Click №2
Ортодонтическое лечение на системе Click №2
Лечащий врач
Ведущий стоматолог-ортодонт Стаж более 11 лет
Подробнее
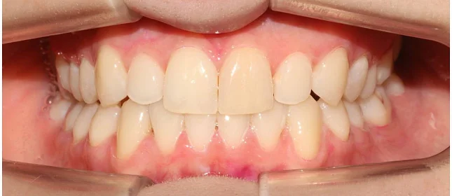
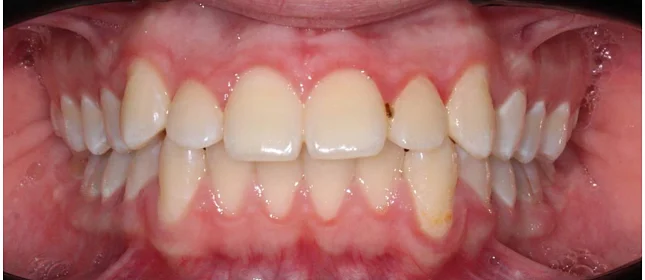
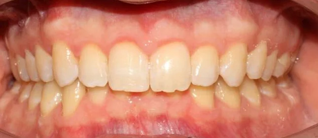
Ортодонтическое лечение на системе Click №3 Ортодонтическое лечение на системе Click №3
Ортодонтическое лечение на системе Click №3
Лечащий врач
Ведущий стоматолог-ортодонт Стаж более 11 лет
Подробнее
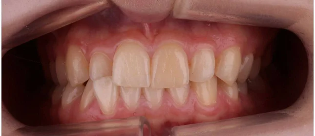
Ортодонтическое лечение на брекет-системе №3 Ортодонтическое лечение на брекет-системе №3
Ортодонтическое лечение на брекет-системе №3
Лечащий врач
Ортодонт Стаж более 8 лет
Подробнее
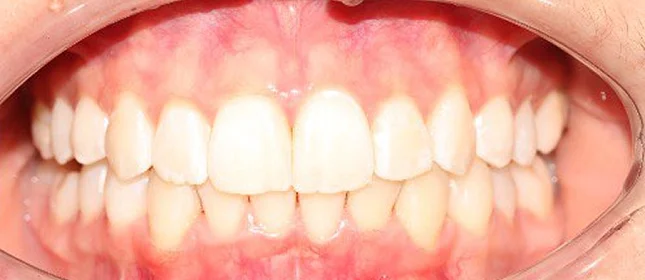
Ортодонтическое лечение на элайнерах №6 Ортодонтическое лечение на элайнерах №6
Ортодонтическое лечение на элайнерах №6
Лечащий врач
Ортодонт Стаж более 5 лет
Подробнее
Ортодонтическое лечение на элайнерах №5 Ортодонтическое лечение на элайнерах №5
Ортодонтическое лечение на элайнерах №5
Лечащий врач
Ортодонт Стаж более 8 лет
Подробнее
Ортодонтическое лечение на системе Click №4 Ортодонтическое лечение на системе Click №4
Ортодонтическое лечение на системе Click №4
Лечащий врач
Ведущий стоматолог-ортодонт Стаж более 11 лет
Подробнее
Оставьте заявку на запись на бесплатную консультацию ортодонта
В консультацию входит 3D-диагностика, визуализация вашей новой улыбки, индивидуальный план лечения, расчёт стоимости «под ключ».
Нажимая на кнопку «Бесплатная консультация», вы соглашаетесь с политикой конфиденциальности.
Оставьте заявку на запись на бесплатную консультацию ортодонта