Работы наших врачей

Больше 12000 пациентов за 8 лет работы. На этой странице — часть новых улыбок, вылепленных нашими руками.




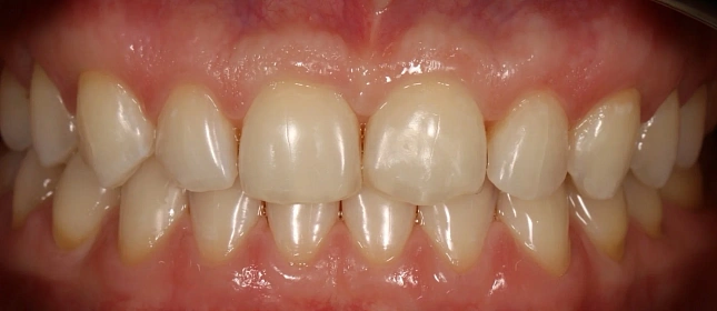
Установка виниров Установка виниров
Установка виниров
Лечащий врач
Ортопед-гнатолог Стаж более 8 лет
Подробнее
Протезирование верхнего и нижнего ряда
Лечащий врач
Ортопед-гнатолог Стаж более 8 лет
Подробнее
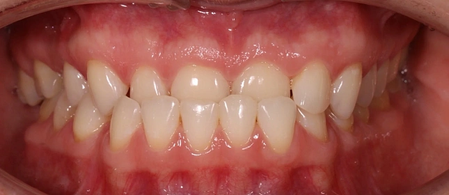
Исправление прикуса Исправление прикуса
Исправление прикуса
Лечащий врач
Ортодонт Стаж более 8 лет
Подробнее
Лечение аномалии соотношений зубных дуг на брекет-системе
Лечащий врач
Ведущий стоматолог-ортодонт Стаж более 11 лет
Подробнее
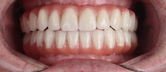
Восстановление эстетики винирами Восстановление эстетики винирами
Восстановление эстетики винирами
Лечащий врач
Ортопед-гнатолог Стаж более 8 лет
Подробнее
Лечение прикуса и восстановление эстетики винирами
Лечащий врач
Ортопед-гнатолог Стаж более 8 лет
Подробнее
Оставьте заявку на запись на бесплатную консультацию ортодонта
В консультацию входит 3D-диагностика, визуализация вашей новой улыбки, индивидуальный план лечения, расчёт стоимости «под ключ».
Нажимая на кнопку «Бесплатная консультация», вы соглашаетесь с политикой конфиденциальности.
Оставьте заявку на запись на бесплатную консультацию ортодонта